JavaScript is disabled in your browser. Please enable JavaScript to view this website.
AB251615

Anti-SLAMF7/CS1 antibody [CAL7] - BSA and Azide free

Be the first to review this product! Submit a review

|

(1 Publication)

Rabbit Recombinant Monoclonal SLAMF7/CS1 antibody. Carrier free. Suitable for IP, WB, IHC-P and reacts with Human samples. Cited in 1 publication.

View Alternative Names

CD319, CS1, UNQ576/PRO1138, SLAMF7, SLAM family member 7, CD2 subset 1, CD2-like receptor-activating cytotoxic cells, Membrane protein FOAP-12, Novel Ly9, Protein 19A, CRACC

4 Images
Immunohistochemistry (Formalin/PFA-fixed paraffin-embedded sections) - Anti-SLAMF7/CS1 antibody [CAL7] - BSA and Azide free (AB251615)
  • IHC-P

Lab

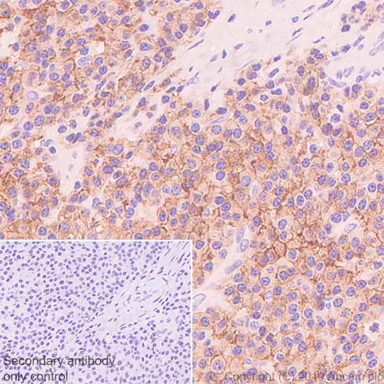
Immunohistochemistry (Formalin/PFA-fixed paraffin-embedded sections) - Anti-SLAMF7/CS1 antibody [CAL7] - BSA and Azide free (AB251615)

Immunohistochemical analysis of paraffin-embedded human multiple myeloma tissue labelling SLAMF7/CS1 with ab237730 at 1/800 dilution for 15 minutes at room temperature, followed by ready to use Goat Anti-Rabbit IgG H&L (HRP). Mainly membranous staining on the human multiple myeloma is observed. Counterstained with Hematoxylin. The immunostaining was performed on a Leica Biosystems BOND® RX instrument.

Secondary antibody only control : Used PBS instead of primary antibody, secondary antibody is a ready to use Goat Anti-Rabbit IgG H&L (HRP).

This data was developed using the same antibody clone in a different buffer formulation containing PBS and sodium azide (ab237730).

Immunohistochemistry (Formalin/PFA-fixed paraffin-embedded sections) - Anti-SLAMF7/CS1 antibody [CAL7] - BSA and Azide free (AB251615)
  • IHC-P

Lab

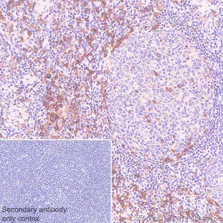
Immunohistochemistry (Formalin/PFA-fixed paraffin-embedded sections) - Anti-SLAMF7/CS1 antibody [CAL7] - BSA and Azide free (AB251615)

Immunohistochemical analysis of paraffin-embedded human tonsil tissue labelling SLAMF7/CS1 with ab237730 at 1/800 dilution for 15 minutes at room temperature, followed by ready to use Goat Anti-Rabbit IgG H&L (HRP). Positive staining on human tonsil is observed. Counterstained with Hematoxylin. The immunostaining was performed on a Leica Biosystems BOND® RX instrument.

Secondary antibody only control : Used PBS instead of primary antibody, secondary antibody is a ready to use Goat Anti-Rabbit IgG H&L (HRP).

This data was developed using the same antibody clone in a different buffer formulation containing PBS and sodium azide (ab237730).

Immunoprecipitation - Anti-SLAMF7/CS1 antibody [CAL7] - BSA and Azide free (AB251615)
  • IP

Lab

Immunoprecipitation - Anti-SLAMF7/CS1 antibody [CAL7] - BSA and Azide free (AB251615)

SLAMF7/CS1 was immunoprecipitated from 0.35mg of IM-9 (human multiple myeloma B Lymphoblast) whole cell lysate with ab237730 at 1/30 dilution. Western blot was performed from the immunoprecipitated using ab237730 at 1/1000 dilution. VeriBlot for IP Detection Reagent (HRP) (ab131366) was used as secondary antibody at 1/5000 dilution.

Lane 1 : Human tonsil lysate 10μg (Input)

Lane 2 : ab237730 IP in Human tonsil lysate

Lane 3 : Rabbit monoclonal IgG (ab172730) instead of ab237730 in IM-9 whole cell lysate

Blocking/Diluting buffer and concentration : 5% NFDM/TBST

This data was developed using the same antibody clone in a different buffer formulation containing PBS and sodium azide (ab237730).

All lanes:

Immunoprecipitation - Anti-SLAMF7/CS1 antibody [CAL7] (<a href='/en-us/products/primary-antibodies/slamf7-cs1-antibody-cal7-ab237730'>ab237730</a>)

Predicted band size: 37 kDa

false

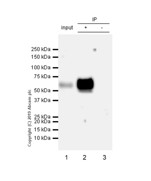
Immunoprecipitation - Anti-SLAMF7/CS1 antibody [CAL7] - BSA and Azide free (AB251615)
  • IP

Lab

Immunoprecipitation - Anti-SLAMF7/CS1 antibody [CAL7] - BSA and Azide free (AB251615)

SLAMF7/CS1 was immunoprecipitated from 0.35mg of IM-9 (human multiple myeloma B Lymphoblast) whole cell lysate with ab237730 at 1/30 dilution. Western blot was performed from the immunoprecipitated using ab237730 at 1/1000 dilution. VeriBlot for IP Detection Reagent (HRP) (ab131366) was used as secondary antibody at 1/5000 dilution.

Lane 1 : IM-9 (human multiple myeloma B Lymphoblast) whole cell lysate 10μg (Input)

Lane 2 : ab237730 IP in IM-9 lysate

Lane 3 : Rabbit monoclonal IgG (ab172730) instead of ab237730 in IM-9 whole cell lysate

Blocking/diluting buffer and concentration : 5% NFDM/TBST

The expression profile observed is consistent with what has been described in the literature (PMID : 18451245; 11698418; 25312647), with the bands greater than 37 kDa predicted to be glycosylated SLAMF7/CS1.

This data was developed using the same antibody clone in a different buffer formulation containing PBS and sodium azide (ab237730).

All lanes:

Immunoprecipitation - Anti-SLAMF7/CS1 antibody [CAL7] (<a href='/en-us/products/primary-antibodies/slamf7-cs1-antibody-cal7-ab237730'>ab237730</a>)

Predicted band size: 37 kDa

Observed band size: 37 kDa

false

Exposure time: 10s

Key facts

Host species

Rabbit

Clonality

Monoclonal

Clone number

CAL7

Isotype

IgG

Carrier free

Yes

Reacts with

Human

Applications

IHC-P, WB, IP

applications

Immunogen

The exact immunogen used to generate this antibody is proprietary information.

Reactivity data

{ "title": "Reactivity Data", "filters": { "stats": ["", "Species", "Dilution Info", "Notes"], "tabs": { "all-applications": {"fullname" : "All Applications", "shortname": "All Applications"}, "IP" : {"fullname" : "Immunoprecipitation", "shortname":"IP"}, "FlowCyt" : {"fullname" : "Flow Cytometry", "shortname":"Flow Cyt"}, "WB" : {"fullname" : "Western blot", "shortname":"WB"}, "ICCIF" : {"fullname" : "Immunocytochemistry/ Immunofluorescence", "shortname":"ICC/IF"}, "IHCP" : {"fullname" : "Immunohistochemistry (Formalin/PFA-fixed paraffin-embedded sections)", "shortname":"IHC-P"} }, "product-promise": { "all": "all", "testedAndGuaranteed": "tested", "guaranteed": "expected", "predicted": "predicted", "notRecommended": "not-recommended" } }, "values": { "Human": { "IP-species-checked": "testedAndGuaranteed", "IP-species-dilution-info": "", "IP-species-notes": "<p></p>", "FlowCyt-species-checked": "notRecommended", "FlowCyt-species-dilution-info": "", "FlowCyt-species-notes": "<p></p>", "WB-species-checked": "guaranteed", "WB-species-dilution-info": "", "WB-species-notes": "<p></p>", "ICCIF-species-checked": "notRecommended", "ICCIF-species-dilution-info": "", "ICCIF-species-notes": "<p></p>", "IHCP-species-checked": "testedAndGuaranteed", "IHCP-species-dilution-info": "", "IHCP-species-notes": "<p></p>" } } }

Product details

ab251615 is the carrier-free version of ab237730.

Conjugation ready
Our carrier-free antibodies are typically supplied in a PBS-only formulation, purified and free of BSA, sodium azide and glycerol. This conjugation-ready format is designed for use with fluorochromes, metal isotopes, oligonucleotides, and enzymes, which makes them ideal for antibody labelling, functional and cell-based assays, flow-based assays (e.g. mass cytometry) and Multiplex Imaging applications.

Use our conjugation kits for antibody conjugates that are ready-to-use in as little as 20 minutes with 1 minute hands-on-time and 100% antibody recovery: available for fluorescent dyes, HRP, biotin and gold.

Compatibility
This product is compatible with the Maxpar® Antibody Labeling Kit from Fluidigm, without the need for antibody preparation. Maxpar® is a trademark of Fluidigm Canada Inc.

Properties and storage information

Form
Liquid
Purification technique
Affinity purification Protein A
Purification notes
Purity is greater than 99%.
Storage buffer
pH: 7.2 - 7.4 Constituents: PBS
Shipped at conditions
Blue Ice
Appropriate short-term storage conditions
+4°C
Appropriate long-term storage conditions
+4°C
Storage information
Do Not Freeze

Supplementary information

This supplementary information is collated from multiple sources and compiled automatically.

SLAMF7 also known as CS1 is a glycoprotein with a mass of approximately 70 kDa. This protein localizes on the surface of immune cells mainly on natural killer (NK) cells certain subsets of T cells and mature dendritic cells. It does not express in resting B cells but can be induced upon activation. CS1 plays a role in immune modulation by facilitating cell-to-cell interactions and activating various signaling pathways that enable immune responses.
Biological function summary

SLAMF7/CS1 modulates immune functions by engaging in interactions with other cell surface receptors. It often operates in the context of hematopoietic cells integrating signals that influence cell proliferation differentiation and survival. It does not require an associated adaptor molecule like most of the SLAM family members as it signals through its ability to recruit EAT-2. The CS1 protein modulates pathways related to immune cell activation and control making it an important player in the regulation of immune responses.

Pathways

CS1 participates prominently in immune signaling pathways where it interacts with proteins such as SAP and EAT-2. It is particularly involved in the immunoregulatory interactions contributing to NK cell-mediated cytotoxicity and modulation of T-cell responses. These interactions illustrate CS1's role in the modulation of immune responses positioning it within the broader network of immune signaling pathways important for maintaining immune homeostasis and defense mechanisms.

SLAMF7/CS1 shows key relevance in multiple myeloma and systemic lupus erythematosus (SLE). In multiple myeloma CS1 presents an overexpression and serves as a therapeutic target; its relationship with CD38 another important marker illustrates the potential for targeted therapies. In SLE improper signaling involving CS1 can contribute to the dysregulation of immune responses. Overall the intricate interactions of CS1 with other proteins highlight its significance in disease pathology and therapeutic potential.

Product protocols

For this product, it's our understanding that no specific protocols are required. You can visit:

Target data

Self-ligand receptor of the signaling lymphocytic activation molecule (SLAM) family. SLAM receptors triggered by homo- or heterotypic cell-cell interactions are modulating the activation and differentiation of a wide variety of immune cells and thus are involved in the regulation and interconnection of both innate and adaptive immune response. Activities are controlled by presence or absence of small cytoplasmic adapter proteins, SH2D1A/SAP and/or SH2D1B/EAT-2. Isoform 1 mediates NK cell activation through a SH2D1A-independent extracellular signal-regulated ERK-mediated pathway (PubMed : 11698418). Positively regulates NK cell functions by a mechanism dependent on phosphorylated SH2D1B. Downstream signaling implicates PLCG1, PLCG2 and PI3K (PubMed : 16339536). In addition to heterotypic NK cells-target cells interactions also homotypic interactions between NK cells may contribute to activation. However, in the absence of SH2D1B, inhibits NK cell function. Acts also inhibitory in T-cells (By similarity). May play a role in lymphocyte adhesion (PubMed : 11802771). In LPS-activated monocytes negatively regulates production of pro-inflammatory cytokines (PubMed : 23695528).. Isoform 3 does not mediate any NK cell activation.
See full target information SLAMF7

Publications (1)

Recent publications for all applications. Explore the full list and refine your search

Cancer communications (London, England) 43:435-454 PubMed36855844

2023

Combining radiation and the ATR inhibitor berzosertib activates STING signaling and enhances immunotherapy via inhibiting SHP1 function in colorectal cancer.

Applications

Unspecified application

Species

Unspecified reactive species

Chaofan Liu,Xi Wang,Wan Qin,Jingyao Tu,Chunya Li,Weiheng Zhao,Li Ma,Bo Liu,Hong Qiu,Xianglin Yuan
View all publications

Product promise

We are committed to supporting your work with high-quality reagents, and we're here for you every step of the way. In the unlikely event that one of our products does not perform as expected, you're protected by our Product Promise.
For full details, please see our Terms & Conditions

Please note: All products are 'FOR RESEARCH USE ONLY. NOT FOR USE IN DIAGNOSTIC OR THERAPEUTIC PROCEDURES'.

For licensing inquiries, please contact partnerships@abcam.com