JavaScript is disabled in your browser. Please enable JavaScript to view this website.
AB233090

Anti-SLAMF7/CS1 antibody [EPR21155] - BSA and Azide free

Be the first to review this product! Submit a review

|

(1 Publication)

Rabbit Recombinant Monoclonal SLAMF7/CS1 antibody. Carrier free. Suitable for IP, WB, IHC-P and reacts with Human samples. Cited in 1 publication.

View Alternative Names

CD319, CS1, UNQ576/PRO1138, SLAMF7, SLAM family member 7, CD2 subset 1, CD2-like receptor-activating cytotoxic cells, Membrane protein FOAP-12, Novel Ly9, Protein 19A, CRACC

3 Images
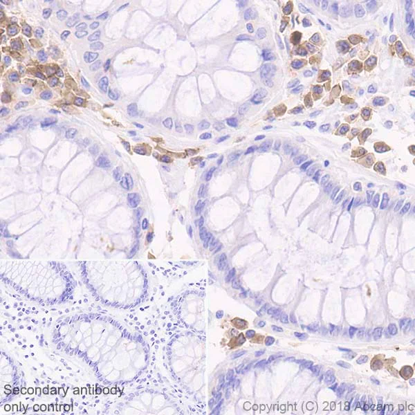
Immunohistochemistry (Formalin/PFA-fixed paraffin-embedded sections) - Anti-SLAMF7/CS1 antibody [EPR21155] - BSA and Azide free (AB233090)
  • IHC-P

Supplier Data

Immunohistochemistry (Formalin/PFA-fixed paraffin-embedded sections) - Anti-SLAMF7/CS1 antibody [EPR21155] - BSA and Azide free (AB233090)

Immunohistochemical analysis of paraffin-embedded human colon tissue labeling SLAMF7/CS1 with ab230945 at 1/2000 dilution, followed by a ready to use Goat Anti-Rabbit IgG H&L (HRP). Mainly cytoplasmic staining in plasma cells of human colon (PMID : 24299175) is observed. Counter stained with Hematoxylin.

Secondary antibody only control : Used PBS instead of primary antibody, secondary antibody is a ready to use Goat Anti-Rabbit IgG H&L (HRP).

Perform heat mediated antigen retrieval using ab93684 (Tris/EDTA buffer, pH 9.0).

This data was developed using the same antibody clone in a different buffer formulation containing PBS, BSA, glycerol, and sodium azide (ab230945).

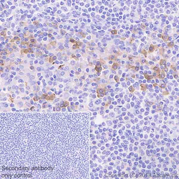
Immunohistochemistry (Formalin/PFA-fixed paraffin-embedded sections) - Anti-SLAMF7/CS1 antibody [EPR21155] - BSA and Azide free (AB233090)
  • IHC-P

Supplier Data

Immunohistochemistry (Formalin/PFA-fixed paraffin-embedded sections) - Anti-SLAMF7/CS1 antibody [EPR21155] - BSA and Azide free (AB233090)

Immunohistochemical analysis of paraffin-embedded human tonsil tissue labeling SLAMF7/CS1 with ab230945 at 1/2000 dilution, followed by a ready to use Goat Anti-Rabbit IgG H&L (HRP). Mainly cytoplasmic staining in plasma cells of human tonsil is observed. Counter stained with Hematoxylin.

Secondary antibody only control : Used PBS instead of primary antibody, secondary antibody is a ready to use Goat Anti-Rabbit IgG H&L (HRP).

Perform heat mediated antigen retrieval using ab93684 (Tris/EDTA buffer, pH 9.0).

This data was developed using the same antibody clone in a different buffer formulation containing PBS, BSA, glycerol, and sodium azide (ab230945).

Immunoprecipitation - Anti-SLAMF7/CS1 antibody [EPR21155] - BSA and Azide free (AB233090)
  • IP

Supplier Data

Immunoprecipitation - Anti-SLAMF7/CS1 antibody [EPR21155] - BSA and Azide free (AB233090)

SLAMF7/CS1 was immunoprecipitated from 0.35 mg of IM-9 (human multiple myeloma B lymphoblast cell line) whole cell lysate with ab230945 at 1/30 dilution. Western blot was performed from the immunoprecipitate using ab230945 at 1/1000 dilution. VeriBlot for IP Detection Reagent (HRP) (ab131366), was used for detection at 1/5000 dilution.

Lane 1 : IM-9 whole cell lysate 10 μg (Input).

Lane 2 : ab230945 IP in IM-9 whole cell lysate.

Lane 3 : Rabbit monoclonal IgG (ab172730) instead of ab230945 in IM-9 whole cell lysate.

Blocking and dilution buffer and concentration : 5% NFDM/TBST.

Exposure time : 8 seconds.

The expression profile observed is consistent with what has been described in the literature (PMID : 18451245; 11698418; 25312647), with the bands greater than 37 kDa predicted to be glycosylated SLAMF7/CS1.

This data was developed using the same antibody clone in a different buffer formulation containing PBS, BSA, glycerol, and sodium azide (ab230945).

All lanes:

Immunoprecipitation - Anti-SLAMF7/CS1 antibody [EPR21155] (<a href='/en-us/products/primary-antibodies/slamf7-cs1-antibody-epr21155-ab230945'>ab230945</a>)

Predicted band size: 37 kDa

Observed band size: 37-60 kDa

true

Key facts

Host species

Rabbit

Clonality

Monoclonal

Clone number

EPR21155

Isotype

IgG

Carrier free

Yes

Reacts with

Human

Applications

IP, IHC-P, WB

applications

Immunogen

The exact immunogen used to generate this antibody is proprietary information.

Reactivity data

{ "title": "Reactivity Data", "filters": { "stats": ["", "Species", "Dilution Info", "Notes"], "tabs": { "all-applications": {"fullname" : "All Applications", "shortname": "All Applications"}, "IP" : {"fullname" : "Immunoprecipitation", "shortname":"IP"}, "WB" : {"fullname" : "Western blot", "shortname":"WB"}, "IHCP" : {"fullname" : "Immunohistochemistry (Formalin/PFA-fixed paraffin-embedded sections)", "shortname":"IHC-P"} }, "product-promise": { "all": "all", "testedAndGuaranteed": "tested", "guaranteed": "expected", "predicted": "predicted", "notRecommended": "not-recommended" } }, "values": { "Human": { "IP-species-checked": "testedAndGuaranteed", "IP-species-dilution-info": "", "IP-species-notes": "<p></p>", "WB-species-checked": "guaranteed", "WB-species-dilution-info": "", "WB-species-notes": "<p></p>", "IHCP-species-checked": "testedAndGuaranteed", "IHCP-species-dilution-info": "", "IHCP-species-notes": "<p></p>" } } }

Product details

ab233090 is the carrier-free version of ab230945.

Patented technology
Our RabMAb® technology is a patented hybridoma-based technology for making rabbit monoclonal antibodies. For details on our patents, please refer to RabMAb® patents.

What are the advantages of a recombinant monoclonal antibody?
This product is a recombinant monoclonal antibody, which offers several advantages including:

  • - High batch-to-batch consistency and reproducibility
  • - Improved sensitivity and specificity
  • - Long-term security of supply
  • - Animal-free batch production

For more information, read more on recombinant antibodies.

Conjugation ready
Our carrier-free antibodies are typically supplied in a PBS-only formulation, purified and free of BSA, sodium azide and glycerol. This conjugation-ready format is designed for use with fluorochromes, metal isotopes, oligonucleotides, and enzymes, which makes them ideal for antibody labelling, functional and cell-based assays, flow-based assays (e.g. mass cytometry) and Multiplex Imaging applications.

Use our conjugation kits for antibody conjugates that are ready-to-use in as little as 20 minutes with 1 minute hands-on-time and 100% antibody recovery: available for fluorescent dyes, HRP, biotin and gold.

Compatibility
This product is compatible with the Maxpar® Antibody Labeling Kit from Fluidigm, without the need for antibody preparation. Maxpar® is a trademark of Fluidigm Canada Inc.

Properties and storage information

Form
Liquid
Purification technique
Affinity purification Protein A
Storage buffer
pH: 7.2 - 7.4 Constituents: PBS
Shipped at conditions
Blue Ice
Appropriate short-term storage conditions
+4°C
Appropriate long-term storage conditions
+4°C
Storage information
Do Not Freeze

Supplementary information

This supplementary information is collated from multiple sources and compiled automatically.

SLAMF7 also known as CS1 is a glycoprotein with a mass of approximately 70 kDa. This protein localizes on the surface of immune cells mainly on natural killer (NK) cells certain subsets of T cells and mature dendritic cells. It does not express in resting B cells but can be induced upon activation. CS1 plays a role in immune modulation by facilitating cell-to-cell interactions and activating various signaling pathways that enable immune responses.
Biological function summary

SLAMF7/CS1 modulates immune functions by engaging in interactions with other cell surface receptors. It often operates in the context of hematopoietic cells integrating signals that influence cell proliferation differentiation and survival. It does not require an associated adaptor molecule like most of the SLAM family members as it signals through its ability to recruit EAT-2. The CS1 protein modulates pathways related to immune cell activation and control making it an important player in the regulation of immune responses.

Pathways

CS1 participates prominently in immune signaling pathways where it interacts with proteins such as SAP and EAT-2. It is particularly involved in the immunoregulatory interactions contributing to NK cell-mediated cytotoxicity and modulation of T-cell responses. These interactions illustrate CS1's role in the modulation of immune responses positioning it within the broader network of immune signaling pathways important for maintaining immune homeostasis and defense mechanisms.

SLAMF7/CS1 shows key relevance in multiple myeloma and systemic lupus erythematosus (SLE). In multiple myeloma CS1 presents an overexpression and serves as a therapeutic target; its relationship with CD38 another important marker illustrates the potential for targeted therapies. In SLE improper signaling involving CS1 can contribute to the dysregulation of immune responses. Overall the intricate interactions of CS1 with other proteins highlight its significance in disease pathology and therapeutic potential.

Product protocols

For this product, it's our understanding that no specific protocols are required. You can visit:

Target data

Self-ligand receptor of the signaling lymphocytic activation molecule (SLAM) family. SLAM receptors triggered by homo- or heterotypic cell-cell interactions are modulating the activation and differentiation of a wide variety of immune cells and thus are involved in the regulation and interconnection of both innate and adaptive immune response. Activities are controlled by presence or absence of small cytoplasmic adapter proteins, SH2D1A/SAP and/or SH2D1B/EAT-2. Isoform 1 mediates NK cell activation through a SH2D1A-independent extracellular signal-regulated ERK-mediated pathway (PubMed : 11698418). Positively regulates NK cell functions by a mechanism dependent on phosphorylated SH2D1B. Downstream signaling implicates PLCG1, PLCG2 and PI3K (PubMed : 16339536). In addition to heterotypic NK cells-target cells interactions also homotypic interactions between NK cells may contribute to activation. However, in the absence of SH2D1B, inhibits NK cell function. Acts also inhibitory in T-cells (By similarity). May play a role in lymphocyte adhesion (PubMed : 11802771). In LPS-activated monocytes negatively regulates production of pro-inflammatory cytokines (PubMed : 23695528).. Isoform 3 does not mediate any NK cell activation.
See full target information SLAMF7

Publications (1)

Recent publications for all applications. Explore the full list and refine your search

Animal science journal = Nihon chikusan Gakkaiho 93:e13754 PubMed35791780

2022

The expression of nutrient chemosensing gate molecules in the ileum and colon is altered for goats fed on a high-grain diet.

Applications

Unspecified application

Species

Unspecified reactive species

Changxin Tian,Jian Wu,Jinzhen Jiao,Chuanshe Zhou,Zhiliang Tan
View all publications

Product promise

We are committed to supporting your work with high-quality reagents, and we're here for you every step of the way. In the unlikely event that one of our products does not perform as expected, you're protected by our Product Promise.
For full details, please see our Terms & Conditions

Please note: All products are 'FOR RESEARCH USE ONLY. NOT FOR USE IN DIAGNOSTIC OR THERAPEUTIC PROCEDURES'.

For licensing inquiries, please contact partnerships@abcam.com