JavaScript is disabled in your browser. Please enable JavaScript to view this website.
AB307550

Anti-SLC10A1/NTCP1 antibody [EPR27105-63]

Be the first to review this product! Submit a review

|

(0 Publication)

Rabbit Recombinant Monoclonal SLC10A1/NTCP1 antibody. Suitable for WB and reacts with Rat, Mouse, Human samples.

View Alternative Names

NTCP, GIG29, SLC10A1, Hepatic sodium/bile acid cotransporter, Cell growth-inhibiting gene 29 protein, Na(+)/bile acid cotransporter, Na(+)/taurocholate transport protein, Sodium/taurocholate cotransporting polypeptide, Solute carrier family 10 member 1

1 Images
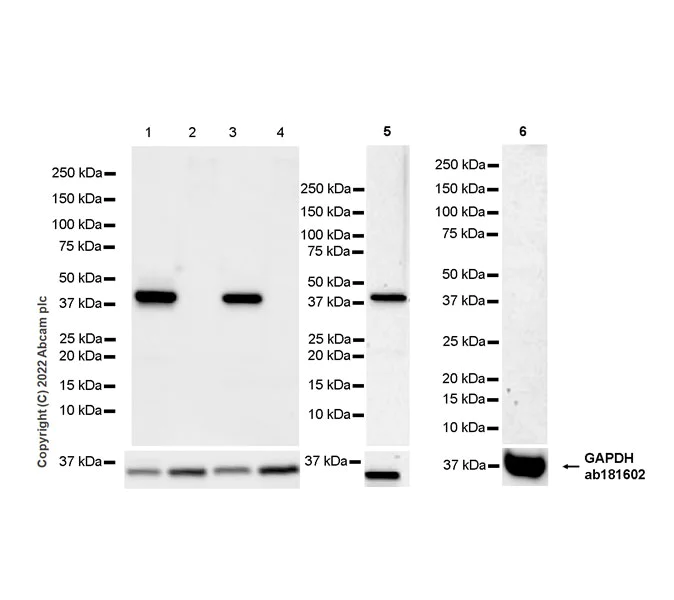
Western blot - Anti-SLC10A1/NTCP1 antibody [EPR27105-63] (AB307550)
  • WB

Supplier Data

Western blot - Anti-SLC10A1/NTCP1 antibody [EPR27105-63] (AB307550)

Blocking and diluting buffer and concentration : 5% NFDM/TBSTNegative control : brain, cerebellum (Human Protein Atlas Database) Exposure time :

All lanes:

Western blot - Anti-SLC10A1/NTCP1 antibody [EPR27105-63] (ab307550) at 1/1000 dilution

Lane 1:

Mouse liver tissue lysate 20 μg

Lane 2:

Mouse brain tissue lysate 20 μg

Lane 3:

Rat liver tissue lysate 20 μg

Lane 4:

Rat brain tissue lysate 20 μg

Lane 5:

Human liver tissue lysate 20 μg

Lane 6:

Human cerebellum tissue lysate 20 μg

Secondary

All lanes:

Western blot - Goat Anti-Rabbit IgG H&L (HRP) (<a href='/en-us/products/secondary-antibodies/goat-rabbit-igg-h-l-hrp-ab97051'>ab97051</a>) at 1/100000 dilution

Observed band size: 38 kDa

false

Exposure time: 15s

  • Carrier free

    Anti-SLC10A1/NTCP1 antibody [EPR27105-63] - BSA and Azide free

Key facts

Host species

Rabbit

Clonality

Monoclonal

Clone number

EPR27105-63

Isotype

IgG

Carrier free

No

Reacts with

Mouse, Rat, Human

Applications

WB

applications

Immunogen

The exact immunogen used to generate this antibody is proprietary information.

Reactivity data

{ "title": "Reactivity Data", "filters": { "stats": ["", "Species", "Dilution Info", "Notes"], "tabs": { "all-applications": {"fullname" : "All Applications", "shortname": "All Applications"}, "IP" : {"fullname" : "Immunoprecipitation", "shortname":"IP"}, "IHCFr" : {"fullname" : "Immunohistochemistry (Frozen sections)", "shortname":"IHC-Fr"}, "IHCP" : {"fullname" : "Immunohistochemistry (Formalin/PFA-fixed paraffin-embedded sections)", "shortname":"IHC-P"}, "WB" : {"fullname" : "Western blot", "shortname":"WB"} }, "product-promise": { "all": "all", "testedAndGuaranteed": "tested", "guaranteed": "expected", "predicted": "predicted", "notRecommended": "not-recommended" } }, "values": { "Human": { "IP-species-checked": "notRecommended", "IP-species-dilution-info": "", "IP-species-notes": "<p></p>", "IHCFr-species-checked": "notRecommended", "IHCFr-species-dilution-info": "", "IHCFr-species-notes": "", "IHCP-species-checked": "notRecommended", "IHCP-species-dilution-info": "", "IHCP-species-notes": "<p></p>", "WB-species-checked": "testedAndGuaranteed", "WB-species-dilution-info": "1/1000", "WB-species-notes": "<p></p>" }, "Mouse": { "IP-species-checked": "notRecommended", "IP-species-dilution-info": "", "IP-species-notes": "", "IHCFr-species-checked": "notRecommended", "IHCFr-species-dilution-info": "", "IHCFr-species-notes": "<p></p>", "IHCP-species-checked": "notRecommended", "IHCP-species-dilution-info": "", "IHCP-species-notes": "<p></p>", "WB-species-checked": "testedAndGuaranteed", "WB-species-dilution-info": "1/1000", "WB-species-notes": "<p></p>" }, "Rat": { "IP-species-checked": "notRecommended", "IP-species-dilution-info": "", "IP-species-notes": "", "IHCFr-species-checked": "notRecommended", "IHCFr-species-dilution-info": "", "IHCFr-species-notes": "<p></p>", "IHCP-species-checked": "notRecommended", "IHCP-species-dilution-info": "", "IHCP-species-notes": "<p></p>", "WB-species-checked": "testedAndGuaranteed", "WB-species-dilution-info": "1/1000", "WB-species-notes": "<p></p>" } } }

Product details

Patented technology
Our RabMAb® technology is a patented hybridoma-based technology for making rabbit monoclonal antibodies. For details on our patents, please refer to RabMAb® patents.

What are the advantages of a recombinant monoclonal antibody?
This product is a recombinant monoclonal antibody, which offers several advantages including:

  • - High batch-to-batch consistency and reproducibility
  • - Improved sensitivity and specificity
  • - Long-term security of supply
  • - Animal-free batch production

For more information, read more on recombinant antibodies.

Properties and storage information

Form
Liquid
Purification technique
Affinity purification Protein A
Storage buffer
pH: 7.2 - 7.4 Preservative: 0.01% Sodium azide Constituents: PBS, 40% Glycerol (glycerin, glycerine), 0.05% BSA
Shipped at conditions
Blue Ice
Appropriate short-term storage duration
1-2 weeks
Appropriate short-term storage conditions
+4°C
Appropriate long-term storage conditions
-20°C
Aliquoting information
Upon delivery aliquot
Storage information
Avoid freeze / thaw cycle

Supplementary information

This supplementary information is collated from multiple sources and compiled automatically.

SLC10A1 also known as NTCP1 (Na+/taurocholate co-transporting polypeptide) is an important membrane transporter responsible for the uptake of bile acids. It has a molecular mass of approximately 38 kDa. This protein is predominantly expressed in the liver where it is located on the basolateral membrane of hepatocytes. By facilitating the transport of sodium ions and bile acids NTCP1 plays a significant role in maintaining bile acid homeostasis within the body.
Biological function summary

NTCP1 is essential for hepatic bile acid uptake which is an important step in bile acid recycling and metabolism. It functions as a solitary transporter without forming complexes with other proteins. The protein intake bile salts and conjugates them with taurine and glycine. This process ensures the efficient cycling and detoxification of bile acids regulating their levels in the liver and bloodstream.

Pathways

The NTCP1 is critical in the enterohepatic circulation of bile acids a process tightly controlled within the body. It significantly influences pathways like the bile acid synthesis pathway where it works alongside other transporters such as ASBT (apical sodium-dependent bile acid transporter) and OSTα/OSTβ (organic solute transporter alpha/beta). Additionally NTCP1 is involved in the Farnesoid X Receptor (FXR) regulatory pathway which modulates bile acid synthesis regulating the expression of genes that encode for enzymes involved in the biosynthesis of bile acids.

Improper functioning of NTCP1 relates to liver diseases such as cholestasis. This condition results from impaired bile flow causing accumulation of bile acids that can damage liver cells. Another relevant disorder is hepatitis B infection. NTCP1 acts as a receptor for the hepatitis B virus mediating viral entry into hepatocytes. This interaction emphasizes its potential role in the development and progression of hepatitis B where proteins like hepatitis B surface antigens (HBsAg) engage with NTCP1 to facilitate the infection process.

Product protocols

For this product, it's our understanding that no specific protocols are required. You can visit:

Target data

As a major transporter of conjugated bile salts from plasma into the hepatocyte, it plays a key role in the enterohepatic circulation of bile salts necessary for the solubilization and absorption of dietary fat and fat-soluble vitamins (PubMed : 14660639, PubMed : 24867799, PubMed : 34060352, PubMed : 8132774). It is strictly dependent on the extracellular presence of sodium (PubMed : 14660639, PubMed : 24867799, PubMed : 34060352, PubMed : 8132774). It exhibits broad substrate specificity and transports various bile acids, such as taurocholate, cholate, as well as non-bile acid organic compounds, such as estrone sulfate (PubMed : 14660639, PubMed : 34060352). Works collaboratively with the ileal transporter (NTCP2), the organic solute transporter (OST), and the bile salt export pump (BSEP), to ensure efficacious biological recycling of bile acids during enterohepatic circulation (PubMed : 33222321).. (Microbial infection) Acts as a receptor for hepatitis B virus.
See full target information SLC10A1

Product promise

We are committed to supporting your work with high-quality reagents, and we're here for you every step of the way. In the unlikely event that one of our products does not perform as expected, you're protected by our Product Promise.
For full details, please see our Terms & Conditions

Please note: All products are 'FOR RESEARCH USE ONLY. NOT FOR USE IN DIAGNOSTIC OR THERAPEUTIC PROCEDURES'.

For licensing inquiries, please contact partnerships@abcam.com