JavaScript is disabled in your browser. Please enable JavaScript to view this website.
AB240542

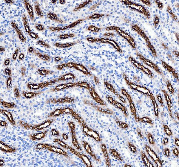
Anti-SLC12A1/NKCC2 antibody

Be the first to review this product! Submit a review

|

(5 Publications)

Goat Polyclonal SLC12A1/NKCC2 antibody. Suitable for IHC-P and reacts with Human samples. Cited in 5 publications. Immunogen corresponding to Synthetic Peptide within Human SLC12A1 aa 1-100.

View Alternative Names

NKCC2, SLC12A1, Solute carrier family 12 member 1, Bumetanide-sensitive sodium-(potassium)-chloride cotransporter 1, Kidney-specific Na-K-Cl symporter, Na-K-2Cl cotransporter 2, BSC1

Key facts

Host species

Goat

Clonality

Polyclonal

Isotype

IgG

Carrier free

No

Reacts with

Human

Applications

IHC-P

applications

Immunogen

Synthetic Peptide within Human SLC12A1 aa 1-100. The exact immunogen used to generate this antibody is proprietary information.

Q13621

Reactivity data

{ "title": "Reactivity Data", "filters": { "stats": ["", "Species", "Dilution Info", "Notes"], "tabs": { "all-applications": {"fullname" : "All Applications", "shortname": "All Applications"}, "IHCP" : {"fullname" : "Immunohistochemistry (Formalin/PFA-fixed paraffin-embedded sections)", "shortname":"IHC-P"} }, "product-promise": { "all": "all", "testedAndGuaranteed": "tested", "guaranteed": "expected", "predicted": "predicted", "notRecommended": "not-recommended" } }, "values": { "Human": { "IHCP-species-checked": "testedAndGuaranteed", "IHCP-species-dilution-info": "3-6 µg/mL", "IHCP-species-notes": "<p>Steamed antigen retrieval with citrate buffer pH 6.</p>" }, "Mouse": { "IHCP-species-checked": "predicted", "IHCP-species-dilution-info": "", "IHCP-species-notes": "" }, "Rat": { "IHCP-species-checked": "predicted", "IHCP-species-dilution-info": "", "IHCP-species-notes": "" } } }

Properties and storage information

Form
Liquid
Purification technique
Affinity purification Immunogen
Purification notes
Purified from goat serum by ammonium sulphate precipitation followed by antigen affinity chromatography using the immunizing peptide.
Storage buffer
pH: 7.3 Preservative: 0.02% Sodium azide Constituents: Tris buffered saline, 0.5% BSA
Shipped at conditions
Blue Ice
Appropriate short-term storage duration
1-2 weeks
Appropriate short-term storage conditions
+4°C
Appropriate long-term storage conditions
-20°C
Aliquoting information
Upon delivery aliquot
Storage information
Avoid freeze / thaw cycle

Supplementary information

This supplementary information is collated from multiple sources and compiled automatically.

The SLC12A1 protein also known as the NKCC2 transporter is an important player in ion transport within renal physiology. With a molecular weight of around 120 kDa NKCC2 functions in the reabsorption of sodium potassium and chloride ions a function facilitated by its location in the thick ascending limb of the loop of Henle in the kidneys. This location and functionality are critical for renal concentration mechanisms and contribute to the maintenance of electrolyte and fluid balance.
Biological function summary

This transporter plays an essential role in concentrating urine and regulating blood pressure. NKCC2 is a part of the larger solute carrier family and does not usually form complexes with other proteins. It facilitates the trans-epithelial movement of Na+ K+ and 2Cl- ions from the lumen into renal epithelial cells which is fundamental for the creation of an osmotic gradient essential for water reabsorption.

Pathways

The SLC12A1 protein is a significant component of renal electrolyte transport and blood pressure regulation pathways. It is intricately involved in the renin-angiotensin-aldosterone system (RAAS) which regulates blood volume and systemic vascular resistance. In these pathways NKCC2's activity tightly connects it to other ion channel proteins and transporters such as ENaC which also play roles in blood pressure regulation by influencing sodium handling in the nephron.

Dysregulation of NKCC2 function can result in Bartter syndrome and hypertension. Bartter syndrome a rare disorder characterized by salt wasting and electrolyte imbalances stems from mutations affecting NKCC2. This transporter also impacts hypertension where its dysregulation can alter sodium reabsorption processes linking it to other proteins involved in blood pressure control such as the mineralocorticoid receptor. Understanding the role of NKCC2 provides insight into potential therapeutic targets for these conditions.

Product protocols

For this product, it's our understanding that no specific protocols are required. You can visit:

Target data

Renal sodium, potassium and chloride ion cotransporter that mediates the transepithelial NaCl reabsorption in the thick ascending limb and plays an essential role in the urinary concentration and volume regulation (PubMed : 21321328). Electrically silent transporter system (By similarity).
See full target information SLC12A1

Publications (5)

Recent publications for all applications. Explore the full list and refine your search

FASEB journal : official publication of the Federation of American Societies for Experimental Biology 39:e70352 PubMed39874047

2025

Segment specific loss of NFAT5 function in the kidneys is sufficient to induce a global kidney injury like phenotype.

Applications

Unspecified application

Species

Unspecified reactive species

Kristina Engel,Vera Anna Kulow,Dmitry Chernyakov,Edith Willscher,Michael Fähling,Bayram Edemir

Cell stem cell 31:921-939.e17 PubMed38692273

2024

Long-term expandable mouse and human-induced nephron progenitor cells enable kidney organoid maturation and modeling of plasticity and disease.

Applications

Unspecified application

Species

Unspecified reactive species

Biao Huang,Zipeng Zeng,Sunghyun Kim,Connor C Fausto,Kari Koppitch,Hui Li,Zexu Li,Xi Chen,Jinjin Guo,Chennan C Zhang,Tianyi Ma,Pedro Medina,Megan E Schreiber,Mateo W Xia,Ariel C Vonk,Tianyuan Xiang,Tadrushi Patel,Yidan Li,Riana K Parvez,Balint Der,Jyun Hao Chen,Zhenqing Liu,Matthew E Thornton,Brendan H Grubbs,Yarui Diao,Yali Dou,Ksenia Gnedeva,Qilong Ying,Nuria M Pastor-Soler,Teng Fei,Kenneth R Hallows,Nils O Lindström,Andrew P McMahon,Zhongwei Li

Theranostics 13:4356-4375 PubMed37649595

2023

TRPM2 protects against cisplatin-induced acute kidney injury and mitochondrial dysfunction via modulating autophagy.

Applications

Unspecified application

Species

Unspecified reactive species

Binfeng Yu,Lini Jin,Xi Yao,Yi Zhang,Gensheng Zhang,Fangqin Wang,Xinwan Su,Qiuyuan Fang,Liang Xiao,Yi Yang,Lin-Hua Jiang,Jianghua Chen,Wei Yang,Weiqiang Lin,Fei Han

Journal of the American Society of Nephrology : JASN 34:554-571 PubMed36735940

2023

Lineage Tracing and Single-Nucleus Multiomics Reveal Novel Features of Adaptive and Maladaptive Repair after Acute Kidney Injury.

Applications

Unspecified application

Species

Unspecified reactive species

Louisa M S Gerhardt,Kari Koppitch,Jordi van Gestel,Jinjin Guo,Sam Cho,Haojia Wu,Yuhei Kirita,Benjamin D Humphreys,Andrew P McMahon

Physiological reports 10:e15453 PubMed36117416

2022

Olfactomedin 4 as a novel loop of Henle-specific acute kidney injury biomarker.

Applications

Unspecified application

Species

Unspecified reactive species

Denise C Hasson,Kelli Krallman,Katherine VanDenHeuvel,Shina Menon,Giovanna Piraino,Prasad Devarajan,Stuart L Goldstein,Matthew N Alder
View all publications

Product promise

We are committed to supporting your work with high-quality reagents, and we're here for you every step of the way. In the unlikely event that one of our products does not perform as expected, you're protected by our Product Promise.
For full details, please see our Terms & Conditions

Please note: All products are 'FOR RESEARCH USE ONLY. NOT FOR USE IN DIAGNOSTIC OR THERAPEUTIC PROCEDURES'.

For licensing inquiries, please contact partnerships@abcam.com