JavaScript is disabled in your browser. Please enable JavaScript to view this website.
AB316191

Anti-SLC12A3 antibody [EPR27106-48]

  • BOND RX™ Validated
  • 20ul selling size
  • Recombinant
  • RabMAb
  • What is this?

Be the first to review this product! Submit a review

|

(0 Publication)

Rabbit Recombinant Monoclonal SLC12A3 antibody. Suitable for Dot, IHC-P, WB and reacts with Transfected cell lysate - Human, Human, Mouse, Rat samples.

View Alternative Names

NCC, TSC, SLC12A3, Solute carrier family 12 member 3, Na-Cl cotransporter, Na-Cl symporter, Thiazide-sensitive sodium-chloride cotransporter

13 Images
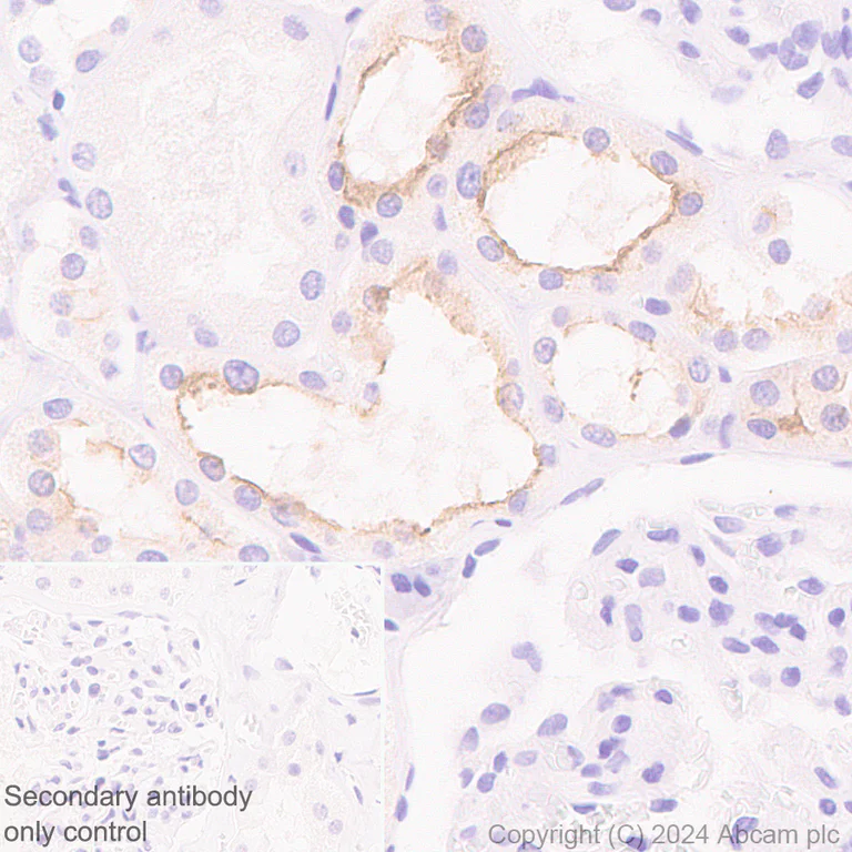
Immunohistochemistry (Formalin/PFA-fixed paraffin-embedded sections) - Anti-SLC12A3 antibody [EPR27106-48] (AB316191)
  • IHC-P

Supplier Data

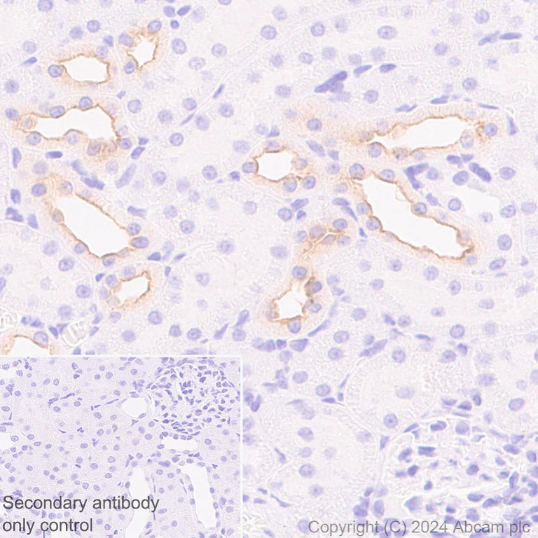
Immunohistochemistry (Formalin/PFA-fixed paraffin-embedded sections) - Anti-SLC12A3 antibody [EPR27106-48] (AB316191)

Immunohistochemical analysis of paraffin-embedded Human kidney tissue labeling SLC12A3 with ab316191 at 1/100 (5.08 ug/ml) dilution, followed by a ready to use LeicaDS9800 (Bond™ Polymer Refine Detection).

Positive staining on distal tubules of human kidney (PMID : 33328404).
The section was incubated with ab316191 for 30 mins at room temperature.
The immunostaining was performed on a Leica Biosystems BOND® RX instrument.

Counterstained with Hematoxylin.

Secondary antibody only control : Secondary antibody is a ready to use LeicaDS9800 (Bond™ Polymer Refine Detection).

Heat mediated antigen retrieval was performed with Tris-EDTA buffer (pH 9.0, Epitope Retrieval Solution2) for 20 mins.

Multiplex immunohistochemistry - Anti-SLC12A3 antibody [EPR27106-48] (AB316191)
  • mIHC

Supplier Data

Multiplex immunohistochemistry - Anti-SLC12A3 antibody [EPR27106-48] (AB316191)

Multiplex immunohistochemistry analysis of formalin/PFA-fixed paraffin-embedded human kidney tissue staining GLEPP1/PTPRO with ab322047 at a 1 : 2000 (0.261 ug/ml) dilution, ab320086 anti-SLC5A2 used at 1 : 1000 (0.508 ug/ml) dilution and ab316191 anti-SLC12A3 used at a 1 : 100 (5.08 ug/ml) dilution.

Panel A : merged staining of anti-PTPRP (magenta; Opal™690), anti-SLC5A2 (green; Opal™520) and anti-SLC12A3 (gray; Opal™570) on human kidney.
Panel B : anti-PTPRP staining glomerulus in human kidney.
Panel C : anti-SLC5A2 staining proximal tubules in human kidney.
Panel D : anti-SLC12A3 staining distal tubules in human kidney.
Nuclear DNA was labeled with DAPI (shown in blue).

The section was incubated in three rounds of staining : in the order of ab322047, ab320086 and ab316191 for 30 mins at room temperature. Each round was followed by a separate fluorescent tyramide signal amplification system.

The immunostaining was performed on a Leica Biosystems BOND® RX instrument with an Opal™ 4-color kit. Image acquisition was performed with Leica SP8 confocal microscope.

Nuclear counter stain with DAPI.

Heat mediated antigen retrieval with Tris-EDTA buffer (pH 9.0, epitope retrieval solution2) for 20 mins.

Immunohistochemistry (Formalin/PFA-fixed paraffin-embedded sections) - Anti-SLC12A3 antibody [EPR27106-48] (AB316191)
  • IHC-P

Supplier Data

Immunohistochemistry (Formalin/PFA-fixed paraffin-embedded sections) - Anti-SLC12A3 antibody [EPR27106-48] (AB316191)

Immunohistochemical analysis of paraffin-embedded Mouse kidney tissue labeling SLC12A3 with ab316191 at 1/2000 (0.254 ug/ml) dilution, followed by a ready to use LeicaDS9800 (Bond™ Polymer Refine Detection).

Positive staining on distal tubules of mouse kidney (PMID : 26337786).
The section was incubated with ab316191 for 30 mins at room temperature.
The immunostaining was performed on a Leica Biosystems BOND® RX instrument.

Counterstained with Hematoxylin.

Secondary antibody only control : Secondary antibody is a ready to use LeicaDS9800 (Bond™ Polymer Refine Detection).

Heat mediated antigen retrieval was performed with Tris-EDTA buffer (pH 9.0, Epitope Retrieval Solution2) for 20 mins.

Immunohistochemistry (Formalin/PFA-fixed paraffin-embedded sections) - Anti-SLC12A3 antibody [EPR27106-48] (AB316191)
  • IHC-P

Supplier Data

Immunohistochemistry (Formalin/PFA-fixed paraffin-embedded sections) - Anti-SLC12A3 antibody [EPR27106-48] (AB316191)

Immunohistochemical analysis of paraffin-embedded Rat kidney tissue labeling SLC12A3 with ab316191 at 1/2000 (0.254 ug/ml) dilution, followed by a ready to use LeicaDS9800 (Bond™ Polymer Refine Detection).

Positive staining on distal tubules of rat kidney (PMID : 21865292).
The section was incubated with ab316191 for 30 mins at room temperature.
The immunostaining was performed on a Leica Biosystems BOND® RX instrument.

Counterstained with Hematoxylin.

Secondary antibody only control : Secondary antibody is a ready to use LeicaDS9800 (Bond™ Polymer Refine Detection).

Heat mediated antigen retrieval was performed with Tris-EDTA buffer (pH 9.0, Epitope Retrieval Solution2) for 20 mins.

Multiplex immunohistochemistry - Anti-SLC12A3 antibody [EPR27106-48] (AB316191)
  • mIHC

Supplier Data

Multiplex immunohistochemistry - Anti-SLC12A3 antibody [EPR27106-48] (AB316191)

Multiplex immunohistochemistry analysis of formalin/PFA-fixed paraffin-embedded mouse kidney tissue staining GLEPP1/PTPRO with ab322047 at a 1 : 2000 (0.261 ug/ml) dilution, ab316191 anti-SLC12A3 used at 1 : 2000 (0.254 ug/ml) dilution and ab254222 anti-Angiotensin Converting Enzyme 1 used at a 1 : 4000 (0.141 ug/ml) dilution.

Panel A : merged staining of anti-PTPRO (magenta; Opal™690), anti-SCL12A3 (green; Opal™520) and anti-Angiotensin Converting Enzyme 1 (gray; Opal™570) on mouse kidney.
Panel B : anti-PTPRO staining glomerulus in mouse kidney.
Panel C : anti-SCL12A3 staining distal tubules in mouse kidney.
Panel D : anti-Angiotensin Converting Enzyme 1 staining proximal tubules in mouse kidney.
Nuclear DNA was labeled with DAPI (shown in blue).

The section was incubated in three rounds of staining : in the order of ab322047, ab316191 and ab254222 for 30 mins at room temperature. Each round was followed by a separate fluorescent tyramide signal amplification system.

The immunostaining was performed on a Leica Biosystems BOND® RX instrument with an Opal™ 4-color kit. Image acquisition was performed with Leica SP8 confocal microscope.

Nuclear counter stain with DAPI.

Heat mediated antigen retrieval with Tris-EDTA buffer (pH 9.0, epitope retrieval solution2) for 20 mins.

Western blot - Anti-SLC12A3 antibody [EPR27106-48] (AB316191)
  • WB

Supplier Data

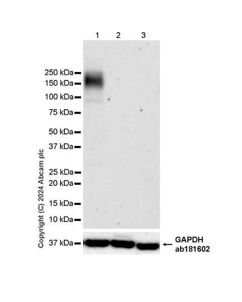
Western blot - Anti-SLC12A3 antibody [EPR27106-48] (AB316191)

Negative control : lung (PMID : 35591852), liver (PMID : 35591852).

Samples are non-boiled as boiling may cause protein aggregation.

In Western blot, Anti-GAPDH antibody [EPR16891] - Loading Control (ab181602) staining at 1/200000 dilution.

All lanes:

Western blot - Anti-SLC12A3 antibody [EPR27106-48] (ab316191) at 1/1000 dilution

Lane 1:

Mouse kidney tissue lysate at 20 µg with 5% NFDM/TBST

Lane 2:

Mouse liver tissue lysate at 20 µg with 5% NFDM/TBST

Lane 3:

Mouse lung tissue lysate at 20 µg with 5% NFDM/TBST

Secondary

All lanes:

Western blot - Goat Anti-Rabbit IgG H&L (HRP) (<a href='/en-us/products/secondary-antibodies/goat-rabbit-igg-h-l-hrp-ab97051'>ab97051</a>) at 1/2000 dilution

Observed band size: 150 kDa,36 kDa

false

Exposure time: 180s

Immunohistochemistry (Formalin/PFA-fixed paraffin-embedded sections) - Anti-SLC12A3 antibody [EPR27106-48] (AB316191)
  • IHC-P

Supplier Data

Immunohistochemistry (Formalin/PFA-fixed paraffin-embedded sections) - Anti-SLC12A3 antibody [EPR27106-48] (AB316191)

Immunohistochemical analysis of paraffin-embedded Rat liver tissue labeling SLC12A3 with ab316191 at 1/2000 (0.254 ug/ml) dilution, followed by a ready to use LeicaDS9800 (Bond™ Polymer Refine Detection).

Negative control : No staining on rat liver.
The section was incubated with ab316191 for 30 mins at room temperature.
The immunostaining was performed on a Leica Biosystems BOND® RX instrument.

Counterstained with Hematoxylin.

Secondary antibody only control : Secondary antibody is a ready to use LeicaDS9800 (Bond™ Polymer Refine Detection).

Heat mediated antigen retrieval was performed with Tris-EDTA buffer (pH 9.0, Epitope Retrieval Solution2) for 20 mins.

Immunohistochemistry (Formalin/PFA-fixed paraffin-embedded sections) - Anti-SLC12A3 antibody [EPR27106-48] (AB316191)
  • IHC-P

Supplier Data

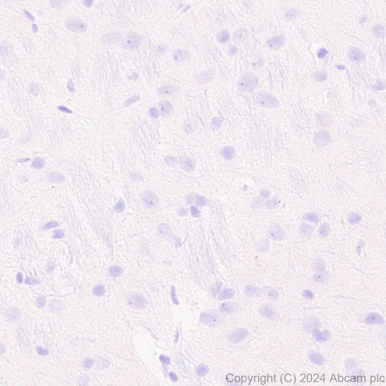
Immunohistochemistry (Formalin/PFA-fixed paraffin-embedded sections) - Anti-SLC12A3 antibody [EPR27106-48] (AB316191)

Immunohistochemical analysis of paraffin-embedded Human cerebrum tissue labeling SLC12A3 with ab316191 at 1/100 (5.08 ug/ml) dilution, followed by a ready to use LeicaDS9800 (Bond™ Polymer Refine Detection).

Negative control : No staining on human cerebrum (PMID : 8812482).
The section was incubated with ab316191 for 30 mins at room temperature.
The immunostaining was performed on a Leica Biosystems BOND® RX instrument.

Counterstained with Hematoxylin.

Secondary antibody only control : Secondary antibody is a ready to use LeicaDS9800 (Bond™ Polymer Refine Detection).

Heat mediated antigen retrieval was performed with Tris-EDTA buffer (pH 9.0, Epitope Retrieval Solution2) for 20 mins.

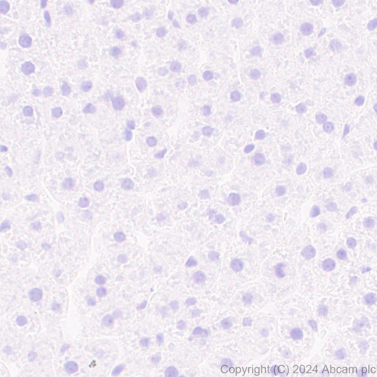
Immunohistochemistry (Formalin/PFA-fixed paraffin-embedded sections) - Anti-SLC12A3 antibody [EPR27106-48] (AB316191)
  • IHC-P

Supplier Data

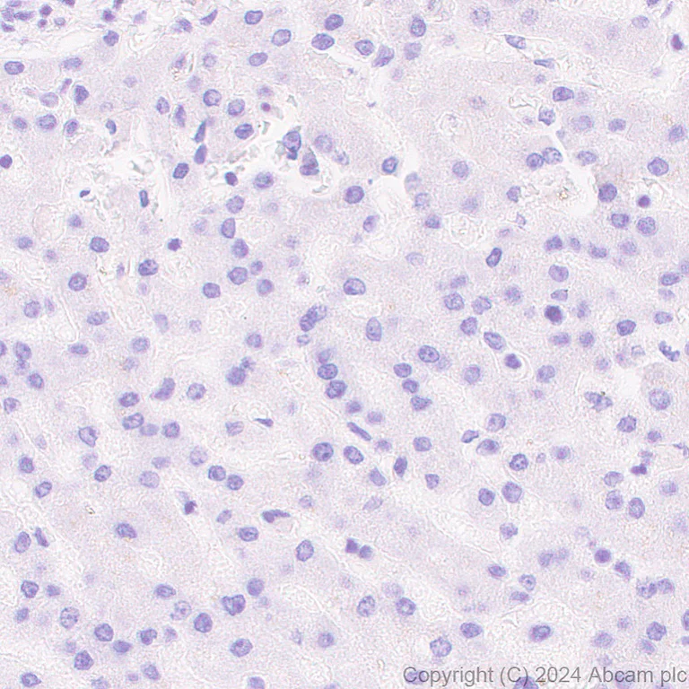
Immunohistochemistry (Formalin/PFA-fixed paraffin-embedded sections) - Anti-SLC12A3 antibody [EPR27106-48] (AB316191)

Immunohistochemical analysis of paraffin-embedded Human liver tissue labeling SLC12A3 with ab316191 at 1/100 (5.08 ug/ml) dilution, followed by a ready to use LeicaDS9800 (Bond™ Polymer Refine Detection).

Negative control : No staining on human liver (PMID : 8812482).
The section was incubated with ab316191 for 30 mins at room temperature.
The immunostaining was performed on a Leica Biosystems BOND® RX instrument.

Counterstained with Hematoxylin.

Secondary antibody only control : Secondary antibody is a ready to use LeicaDS9800 (Bond™ Polymer Refine Detection).

Heat mediated antigen retrieval was performed with Tris-EDTA buffer (pH 9.0, Epitope Retrieval Solution2) for 20 mins.

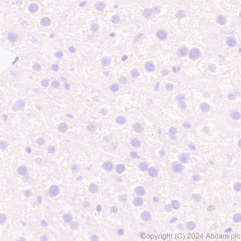
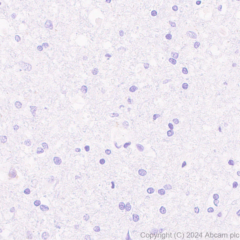
Immunohistochemistry (Formalin/PFA-fixed paraffin-embedded sections) - Anti-SLC12A3 antibody [EPR27106-48] (AB316191)
  • IHC-P

Supplier Data

Immunohistochemistry (Formalin/PFA-fixed paraffin-embedded sections) - Anti-SLC12A3 antibody [EPR27106-48] (AB316191)

Immunohistochemical analysis of paraffin-embedded Rat cerebrum tissue labeling SLC12A3 with ab316191 at 1/2000 (0.254 ug/ml) dilution, followed by a ready to use LeicaDS9800 (Bond™ Polymer Refine Detection).

Negative control : No staining on rat cerebrum.
The section was incubated with ab316191 for 30 mins at room temperature.
The immunostaining was performed on a Leica Biosystems BOND® RX instrument.

Counterstained with Hematoxylin.

Secondary antibody only control : Secondary antibody is a ready to use LeicaDS9800 (Bond™ Polymer Refine Detection).

Heat mediated antigen retrieval was performed with Tris-EDTA buffer (pH 9.0, Epitope Retrieval Solution2) for 20 mins.

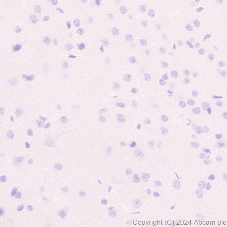
Immunohistochemistry (Formalin/PFA-fixed paraffin-embedded sections) - Anti-SLC12A3 antibody [EPR27106-48] (AB316191)
  • IHC-P

Supplier Data

Immunohistochemistry (Formalin/PFA-fixed paraffin-embedded sections) - Anti-SLC12A3 antibody [EPR27106-48] (AB316191)

Immunohistochemical analysis of paraffin-embedded Mouse cerebrum tissue labeling SLC12A3 with ab316191 at 1/2000 (0.254 ug/ml) dilution, followed by a ready to use LeicaDS9800 (Bond™ Polymer Refine Detection).

Negative control : No staining on mouse cerebrum.
The section was incubated with ab316191 for 30 mins at room temperature.
The immunostaining was performed on a Leica Biosystems BOND® RX instrument.

Counterstained with Hematoxylin.

Secondary antibody only control : Secondary antibody is a ready to use LeicaDS9800 (Bond™ Polymer Refine Detection).

Heat mediated antigen retrieval was performed with Tris-EDTA buffer (pH 9.0, Epitope Retrieval Solution2) for 20 mins.

Immunohistochemistry (Formalin/PFA-fixed paraffin-embedded sections) - Anti-SLC12A3 antibody [EPR27106-48] (AB316191)
  • IHC-P

Supplier Data

Immunohistochemistry (Formalin/PFA-fixed paraffin-embedded sections) - Anti-SLC12A3 antibody [EPR27106-48] (AB316191)

Immunohistochemical analysis of paraffin-embedded Mouse liver tissue labeling SLC12A3 with ab316191 at 1/2000 (0.254 ug/ml) dilution, followed by a ready to use LeicaDS9800 (Bond™ Polymer Refine Detection).

Negative control : No staining on mouse liver.
The section was incubated with ab316191 for 30 mins at room temperature.
The immunostaining was performed on a Leica Biosystems BOND® RX instrument.

Counterstained with Hematoxylin.

Secondary antibody only control : Secondary antibody is a ready to use LeicaDS9800 (Bond™ Polymer Refine Detection).

Heat mediated antigen retrieval was performed with Tris-EDTA buffer (pH 9.0, Epitope Retrieval Solution2) for 20 mins.

Dot Blot - Anti-SLC12A3 antibody [EPR27106-48] (AB316191)
  • Dot

Supplier Data

Dot Blot - Anti-SLC12A3 antibody [EPR27106-48] (AB316191)

Dot blot analysis of SLC12A3 using ab316191 at 1 : 1000 (0.508 ug/ml) followed by a Goat Anti-Rabbit IgG, (H+L), Peroxidase conjugated (ab97051) at 1 : 100,000 dilution.

Blocking and diluting buffer and concentration : 5% NFDM/TBST.

This antibody does not cross-react with human SLC12A1 and human SLC12A2.

All lanes:

Dot Blot - Anti-SLC12A3 antibody [EPR27106-48] (ab316191) at 1/1000 dilution

Lane 1:

293T cells transfected with an empty vector containing a His-tag, whole cell lysate at 10 µg

Lane 2:

293T cells transfected with a SLC12A3 expression vector containing a His-tag, whole cell lysate at 10 µg

Lane 3:

293T cells transfected with a SLC12A1 expression vector containing a His-tag, whole cell lysate at 10 µg

Lane 4:

293T cells transfected with a SLC12A2 expression vector containing a His-tag, whole cell lysate at 10 µg

Secondary

All lanes:

Dot Blot - Goat Anti-Rabbit IgG H&L (HRP) (<a href='/en-us/products/secondary-antibodies/goat-rabbit-igg-h-l-hrp-ab97051'>ab97051</a>) at 1/100000 dilution

false

Exposure time: 169s

  • Carrier free

    Anti-SLC12A3 antibody [EPR27106-48] - BSA and Azide free

Key facts

Host species

Rabbit

Clonality

Monoclonal

Clone number

EPR27106-48

Isotype

IgG

Carrier free

No

Reacts with

Human, Mouse, Rat

Applications

IHC-P, WB, Dot

applications

Immunogen

The exact immunogen used to generate this antibody is proprietary information.

Specificity

Not suitable for Human WB and Rat WB.

Reactivity data

{ "title": "Reactivity Data", "filters": { "stats": ["", "Species", "Dilution Info", "Notes"], "tabs": { "all-applications": {"fullname" : "All Applications", "shortname": "All Applications"}, "Dot" : {"fullname" : "Dot Blot", "shortname":"Dot"}, "IHCP" : {"fullname" : "Immunohistochemistry (Formalin/PFA-fixed paraffin-embedded sections)", "shortname":"IHC-P"}, "WB" : {"fullname" : "Western blot", "shortname":"WB"}, "ICCIF" : {"fullname" : "Immunocytochemistry/ Immunofluorescence", "shortname":"ICC/IF"}, "FlowCytIntra" : {"fullname" : "Flow Cytometry (Intracellular)", "shortname":"Flow Cyt (Intra)"}, "IP" : {"fullname" : "Immunoprecipitation", "shortname":"IP"} }, "product-promise": { "all": "all", "testedAndGuaranteed": "tested", "guaranteed": "expected", "predicted": "predicted", "notRecommended": "not-recommended" } }, "values": { "Human": { "Dot-species-checked": "guaranteed", "Dot-species-dilution-info": "", "Dot-species-notes": "", "IHCP-species-checked": "testedAndGuaranteed", "IHCP-species-dilution-info": "1/100", "IHCP-species-notes": "<p></p> Perform heat-mediated antigen retrieval with Tris/EDTA buffer pH 9.0 before commencing with IHC staining protocol.", "WB-species-checked": "notRecommended", "WB-species-dilution-info": "", "WB-species-notes": "<p></p>", "ICCIF-species-checked": "notRecommended", "ICCIF-species-dilution-info": "", "ICCIF-species-notes": "<p></p>", "FlowCytIntra-species-checked": "notRecommended", "FlowCytIntra-species-dilution-info": "", "FlowCytIntra-species-notes": "<p></p>", "IP-species-checked": "notRecommended", "IP-species-dilution-info": "", "IP-species-notes": "<p></p>" }, "Mouse": { "Dot-species-checked": "guaranteed", "Dot-species-dilution-info": "", "Dot-species-notes": "", "IHCP-species-checked": "testedAndGuaranteed", "IHCP-species-dilution-info": "1/2000", "IHCP-species-notes": "<p></p> Perform heat-mediated antigen retrieval with Tris/EDTA buffer pH 9.0 before commencing with IHC staining protocol.", "WB-species-checked": "testedAndGuaranteed", "WB-species-dilution-info": "1/1000", "WB-species-notes": "<p></p>", "ICCIF-species-checked": "notRecommended", "ICCIF-species-dilution-info": "", "ICCIF-species-notes": "<p></p>", "FlowCytIntra-species-checked": "notRecommended", "FlowCytIntra-species-dilution-info": "", "FlowCytIntra-species-notes": "", "IP-species-checked": "notRecommended", "IP-species-dilution-info": "", "IP-species-notes": "" }, "Rat": { "Dot-species-checked": "guaranteed", "Dot-species-dilution-info": "", "Dot-species-notes": "", "IHCP-species-checked": "testedAndGuaranteed", "IHCP-species-dilution-info": "1/2000", "IHCP-species-notes": "<p></p> Perform heat-mediated antigen retrieval with Tris/EDTA buffer pH 9.0 before commencing with IHC staining protocol.", "WB-species-checked": "notRecommended", "WB-species-dilution-info": "", "WB-species-notes": "<p></p>", "ICCIF-species-checked": "notRecommended", "ICCIF-species-dilution-info": "", "ICCIF-species-notes": "", "FlowCytIntra-species-checked": "notRecommended", "FlowCytIntra-species-dilution-info": "", "FlowCytIntra-species-notes": "", "IP-species-checked": "notRecommended", "IP-species-dilution-info": "", "IP-species-notes": "" }, "Transfected cell lysate - Human": { "Dot-species-checked": "testedAndGuaranteed", "Dot-species-dilution-info": "1/1000", "Dot-species-notes": "<p></p>", "IHCP-species-checked": "notRecommended", "IHCP-species-dilution-info": "", "IHCP-species-notes": "", "WB-species-checked": "notRecommended", "WB-species-dilution-info": "", "WB-species-notes": "", "ICCIF-species-checked": "notRecommended", "ICCIF-species-dilution-info": "", "ICCIF-species-notes": "", "FlowCytIntra-species-checked": "notRecommended", "FlowCytIntra-species-dilution-info": "", "FlowCytIntra-species-notes": "", "IP-species-checked": "notRecommended", "IP-species-dilution-info": "", "IP-species-notes": "" } } }

Product details

Patented technology
Our RabMAb® technology is a patented hybridoma-based technology for making rabbit monoclonal antibodies. For details on our patents, please refer to RabMAb® patents.

What are the advantages of a recombinant monoclonal antibody?
This product is a recombinant monoclonal antibody, which offers several advantages including:

  • - High batch-to-batch consistency and reproducibility
  • - Improved sensitivity and specificity
  • - Long-term security of supply
  • - Animal-free batch production

For more information, read more on recombinant antibodies.

Properties and storage information

Form
Liquid
Purification technique
Affinity purification Protein A
Storage buffer
pH: 7.2 - 7.4 Preservative: 0.01% Sodium azide Constituents: PBS, 40% Glycerol (glycerin, glycerine), 0.05% BSA
Shipped at conditions
Blue Ice
Appropriate short-term storage duration
1-2 weeks
Appropriate short-term storage conditions
+4°C
Appropriate long-term storage conditions
-20°C
Aliquoting information
Upon delivery aliquot
Storage information
Avoid freeze / thaw cycle

Supplementary information

This supplementary information is collated from multiple sources and compiled automatically.

The SLC12A3 gene encodes the thiazide-sensitive sodium-chloride co-transporter (NCC) also known as solute carrier family 12 member 3. This protein plays an important role in sodium and chloride ion transport across cell membranes in the distal convoluted tubule of the nephron in the kidney influencing electrolyte and fluid balance. It is a membrane protein with a mass of about 108 kDa. SLC12A3 is highly expressed in the kidney specifically localized in the distal convoluted tubule where it contributes to ions balance.
Biological function summary

The activity of SLC12A3 regulates blood pressure and volume homeostasis. It is an integral part of ion transport mechanisms and operates within a network of other transporters and channels in the kidney. The proper function of this transporter balances sodium and chloride reabsorption preventing excessive loss or retention. While not directly forming a complex its activity correlates with the function of other ion transport proteins in maintaining ion balance.

Pathways

The SLC12A3 protein integrates into the renal system's regulation of electrolyte homeostasis. It interacts within the salt-sensitive pathway by influencing the reabsorption of sodium chloride which impacts the renin-angiotensin-aldosterone system (RAAS) indirectly. The activity of SLC12A3 influences blood pressure regulation connecting it functionally with proteins like WNK kinases which modulate its phosphorylation state altering its transport capacity.

SLC12A3 mutations lead to Gitelman syndrome a kidney disorder causing hypokalemic alkalosis hypomagnesemia and low blood pressure. Individuals with this disorder have impaired function of the SLC12A3 protein resulting in improper sodium and chloride reabsorption. The disorder connects with the renin-angiotensin pathway which tries to compensate by increasing renin production. It contrasts with conditions involving the CFTR protein which affects ion transport in diseases such as cystic fibrosis but focuses on chloride channels rather than co-transporters.

Product protocols

For this product, it's our understanding that no specific protocols are required. You can visit:

Target data

Electroneutral sodium and chloride ion cotransporter, which acts as a key mediator of sodium and chloride reabsorption in kidney distal convoluted tubules (PubMed : 18270262, PubMed : 21613606, PubMed : 22009145, PubMed : 36351028, PubMed : 36792826). Also acts as a receptor for the pro-inflammatory cytokine IL18, thereby contributing to IL18-induced cytokine production, including IFNG, IL6, IL18 and CCL2 (By similarity). May act either independently of IL18R1, or in a complex with IL18R1 (By similarity).
See full target information SLC12A3

Product promise

We are committed to supporting your work with high-quality reagents, and we're here for you every step of the way. In the unlikely event that one of our products does not perform as expected, you're protected by our Product Promise.
For full details, please see our Terms & Conditions

Please note: All products are 'FOR RESEARCH USE ONLY. NOT FOR USE IN DIAGNOSTIC OR THERAPEUTIC PROCEDURES'.

For licensing inquiries, please contact partnerships@abcam.com