JavaScript is disabled in your browser. Please enable JavaScript to view this website.
AB316192

Anti-SLC12A3 antibody [EPR27106-48] - BSA and Azide free

Be the first to review this product! Submit a review

|

(0 Publication)

Rabbit Recombinant Monoclonal SLC12A3 antibody. Carrier free. Suitable for Dot, IHC-P, WB and reacts with Transfected cell lysate - Human, Human, Mouse, Rat samples.

View Alternative Names

NCC, TSC, SLC12A3, Solute carrier family 12 member 3, Na-Cl cotransporter, Na-Cl symporter, Thiazide-sensitive sodium-chloride cotransporter

11 Images
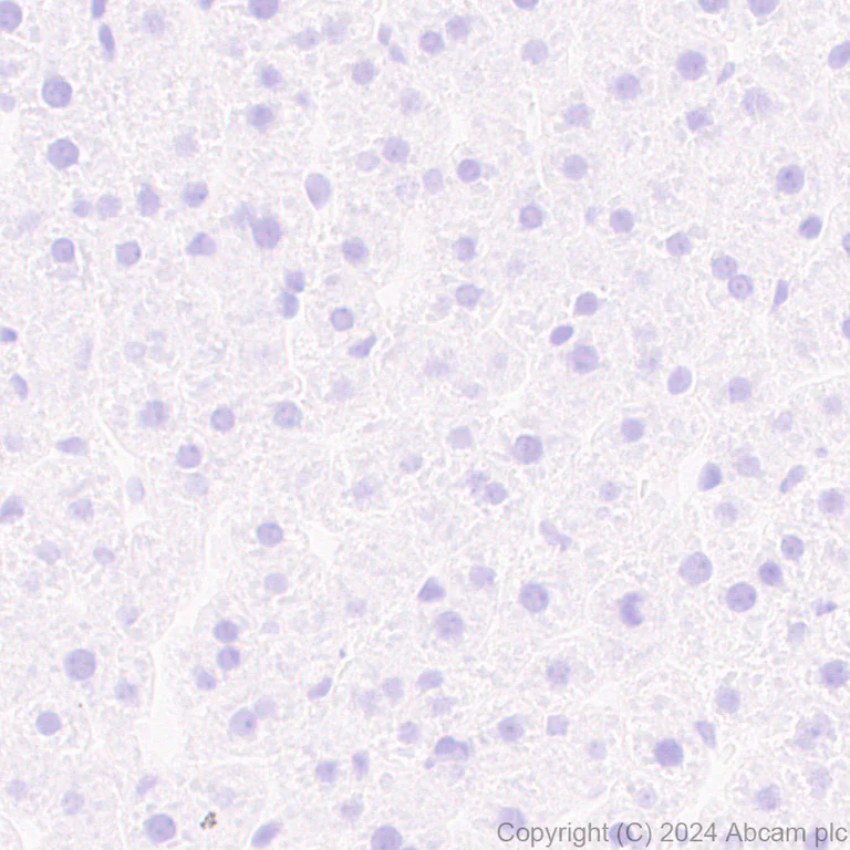
Immunohistochemistry (Formalin/PFA-fixed paraffin-embedded sections) - Anti-SLC12A3 antibody [EPR27106-48] - BSA and Azide free (AB316192)
  • IHC-P

Supplier Data

Immunohistochemistry (Formalin/PFA-fixed paraffin-embedded sections) - Anti-SLC12A3 antibody [EPR27106-48] - BSA and Azide free (AB316192)

This data was developed using ab316191, the same antibody clone in a different buffer formulation.

Immunohistochemical analysis of paraffin-embedded Human liver tissue labeling SLC12A3 with ab316191 at 1/100 (5.08 ug/ml) dilution, followed by a ready to use LeicaDS9800 (Bond™ Polymer Refine Detection).

Negative control : No staining on human liver (PMID : 8812482).
The section was incubated with ab316191 for 30 mins at room temperature.
The immunostaining was performed on a Leica Biosystems BOND® RX instrument.

Counterstained with Hematoxylin.

Secondary antibody only control : Secondary antibody is a ready to use LeicaDS9800 (Bond™ Polymer Refine Detection).

Heat mediated antigen retrieval was performed with Tris-EDTA buffer (pH 9.0, Epitope Retrieval Solution2) for 20 mins.

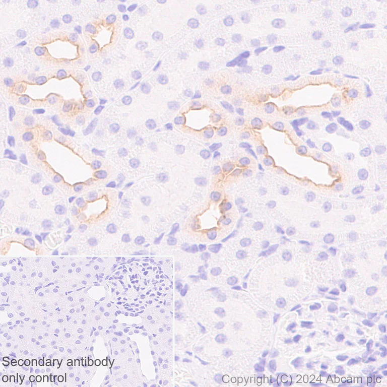
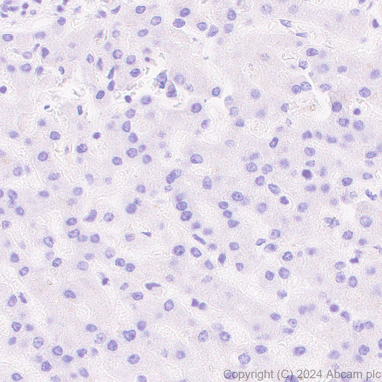
Immunohistochemistry (Formalin/PFA-fixed paraffin-embedded sections) - Anti-SLC12A3 antibody [EPR27106-48] - BSA and Azide free (AB316192)
  • IHC-P

Supplier Data

Immunohistochemistry (Formalin/PFA-fixed paraffin-embedded sections) - Anti-SLC12A3 antibody [EPR27106-48] - BSA and Azide free (AB316192)

This data was developed using ab316191, the same antibody clone in a different buffer formulation.

Immunohistochemical analysis of paraffin-embedded Human kidney tissue labeling SLC12A3 with ab316191 at 1/100 (5.08 ug/ml) dilution, followed by a ready to use LeicaDS9800 (Bond™ Polymer Refine Detection).

Positive staining on distal tubules of human kidney (PMID : 33328404).
The section was incubated with ab316191 for 30 mins at room temperature.
The immunostaining was performed on a Leica Biosystems BOND® RX instrument.

Counterstained with Hematoxylin.

Secondary antibody only control : Secondary antibody is a ready to use LeicaDS9800 (Bond™ Polymer Refine Detection).

Heat mediated antigen retrieval was performed with Tris-EDTA buffer (pH 9.0, Epitope Retrieval Solution2) for 20 mins.

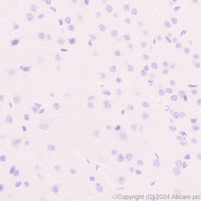
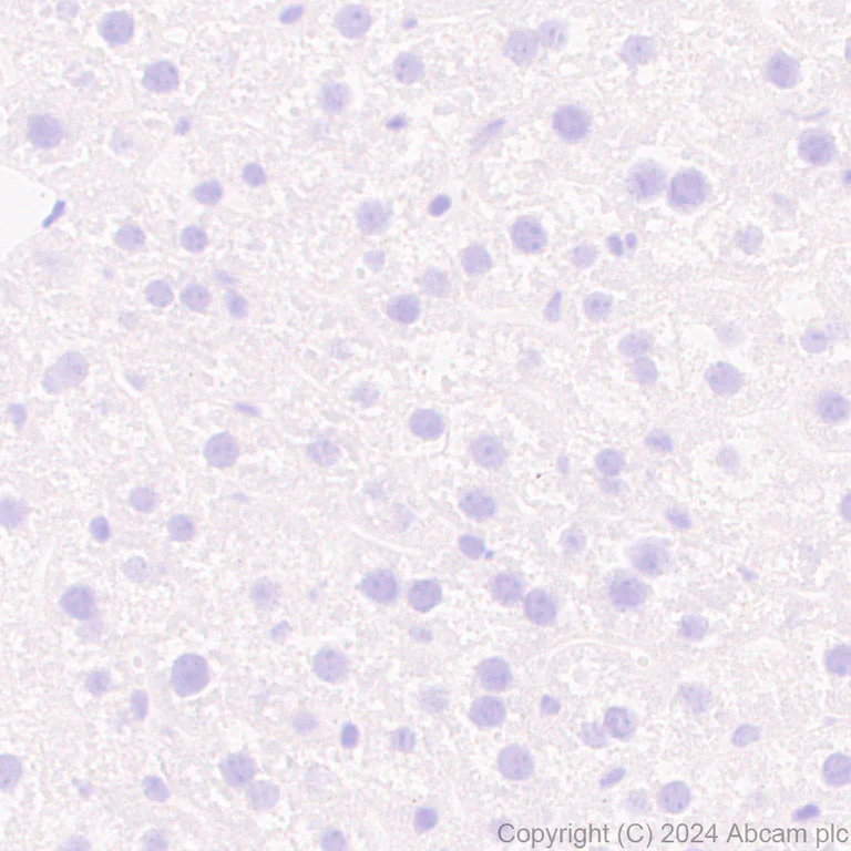
Immunohistochemistry (Formalin/PFA-fixed paraffin-embedded sections) - Anti-SLC12A3 antibody [EPR27106-48] - BSA and Azide free (AB316192)
  • IHC-P

Supplier Data

Immunohistochemistry (Formalin/PFA-fixed paraffin-embedded sections) - Anti-SLC12A3 antibody [EPR27106-48] - BSA and Azide free (AB316192)

This data was developed using ab316191, the same antibody clone in a different buffer formulation.

Immunohistochemical analysis of paraffin-embedded Human cerebrum tissue labeling SLC12A3 with ab316191 at 1/100 (5.08 ug/ml) dilution, followed by a ready to use LeicaDS9800 (Bond™ Polymer Refine Detection).

Negative control : No staining on human cerebrum (PMID : 8812482).
The section was incubated with ab316191 for 30 mins at room temperature.
The immunostaining was performed on a Leica Biosystems BOND® RX instrument.

Counterstained with Hematoxylin.

Secondary antibody only control : Secondary antibody is a ready to use LeicaDS9800 (Bond™ Polymer Refine Detection).

Heat mediated antigen retrieval was performed with Tris-EDTA buffer (pH 9.0, Epitope Retrieval Solution2) for 20 mins.

Immunohistochemistry (Formalin/PFA-fixed paraffin-embedded sections) - Anti-SLC12A3 antibody [EPR27106-48] - BSA and Azide free (AB316192)
  • IHC-P

Supplier Data

Immunohistochemistry (Formalin/PFA-fixed paraffin-embedded sections) - Anti-SLC12A3 antibody [EPR27106-48] - BSA and Azide free (AB316192)

This data was developed using ab316191, the same antibody clone in a different buffer formulation.

Immunohistochemical analysis of paraffin-embedded Mouse liver tissue labeling SLC12A3 with ab316191 at 1/2000 (0.254 ug/ml) dilution, followed by a ready to use LeicaDS9800 (Bond™ Polymer Refine Detection).

Negative control : No staining on mouse liver.
The section was incubated with ab316191 for 30 mins at room temperature.
The immunostaining was performed on a Leica Biosystems BOND® RX instrument.

Counterstained with Hematoxylin.

Secondary antibody only control : Secondary antibody is a ready to use LeicaDS9800 (Bond™ Polymer Refine Detection).

Heat mediated antigen retrieval was performed with Tris-EDTA buffer (pH 9.0, Epitope Retrieval Solution2) for 20 mins.

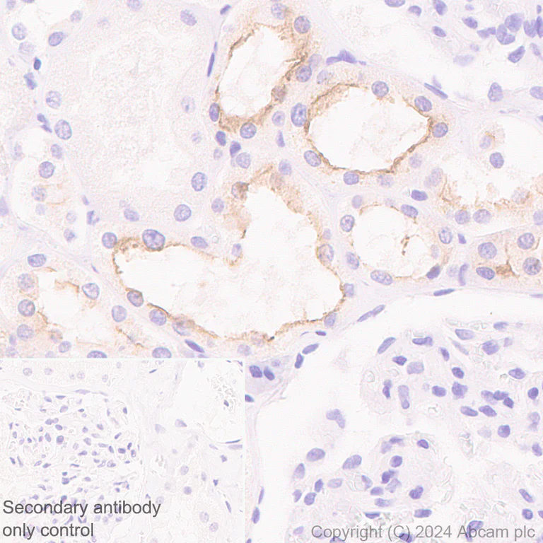
Immunohistochemistry (Formalin/PFA-fixed paraffin-embedded sections) - Anti-SLC12A3 antibody [EPR27106-48] - BSA and Azide free (AB316192)
  • IHC-P

Supplier Data

Immunohistochemistry (Formalin/PFA-fixed paraffin-embedded sections) - Anti-SLC12A3 antibody [EPR27106-48] - BSA and Azide free (AB316192)

This data was developed using ab316191, the same antibody clone in a different buffer formulation.

Immunohistochemical analysis of paraffin-embedded Mouse kidney tissue labeling SLC12A3 with ab316191 at 1/2000 (0.254 ug/ml) dilution, followed by a ready to use LeicaDS9800 (Bond™ Polymer Refine Detection).

Positive staining on distal tubules of mouse kidney (PMID : 26337786).
The section was incubated with ab316191 for 30 mins at room temperature.
The immunostaining was performed on a Leica Biosystems BOND® RX instrument.

Counterstained with Hematoxylin.

Secondary antibody only control : Secondary antibody is a ready to use LeicaDS9800 (Bond™ Polymer Refine Detection).

Heat mediated antigen retrieval was performed with Tris-EDTA buffer (pH 9.0, Epitope Retrieval Solution2) for 20 mins.

Immunohistochemistry (Formalin/PFA-fixed paraffin-embedded sections) - Anti-SLC12A3 antibody [EPR27106-48] - BSA and Azide free (AB316192)
  • IHC-P

Supplier Data

Immunohistochemistry (Formalin/PFA-fixed paraffin-embedded sections) - Anti-SLC12A3 antibody [EPR27106-48] - BSA and Azide free (AB316192)

This data was developed using ab316191, the same antibody clone in a different buffer formulation.

Immunohistochemical analysis of paraffin-embedded Rat kidney tissue labeling SLC12A3 with ab316191 at 1/2000 (0.254 ug/ml) dilution, followed by a ready to use LeicaDS9800 (Bond™ Polymer Refine Detection).

Positive staining on distal tubules of rat kidney (PMID : 21865292).
The section was incubated with ab316191 for 30 mins at room temperature.
The immunostaining was performed on a Leica Biosystems BOND® RX instrument.

Counterstained with Hematoxylin.

Secondary antibody only control : Secondary antibody is a ready to use LeicaDS9800 (Bond™ Polymer Refine Detection).

Heat mediated antigen retrieval was performed with Tris-EDTA buffer (pH 9.0, Epitope Retrieval Solution2) for 20 mins.

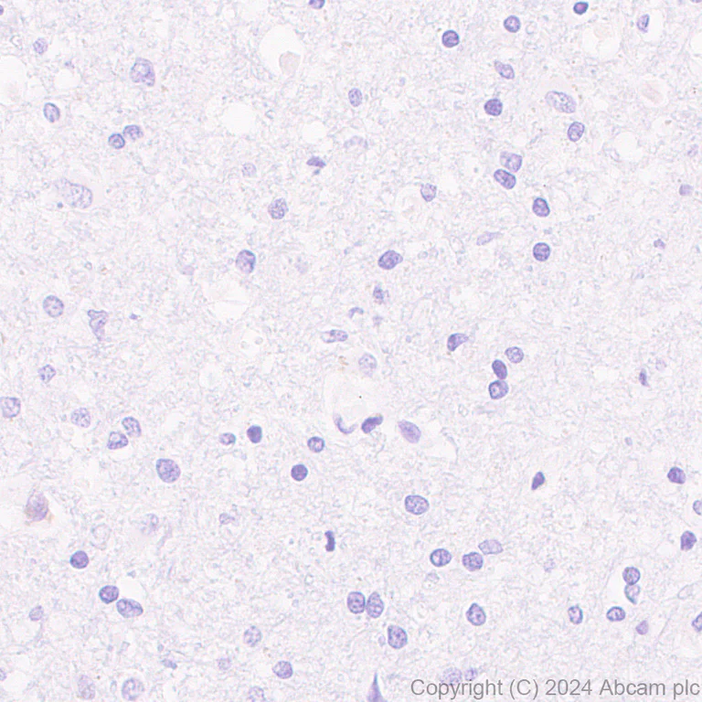
Immunohistochemistry (Formalin/PFA-fixed paraffin-embedded sections) - Anti-SLC12A3 antibody [EPR27106-48] - BSA and Azide free (AB316192)
  • IHC-P

Supplier Data

Immunohistochemistry (Formalin/PFA-fixed paraffin-embedded sections) - Anti-SLC12A3 antibody [EPR27106-48] - BSA and Azide free (AB316192)

This data was developed using ab316191, the same antibody clone in a different buffer formulation.

Immunohistochemical analysis of paraffin-embedded Rat cerebrum tissue labeling SLC12A3 with ab316191 at 1/2000 (0.254 ug/ml) dilution, followed by a ready to use LeicaDS9800 (Bond™ Polymer Refine Detection).

Negative control : No staining on rat cerebrum.
The section was incubated with ab316191 for 30 mins at room temperature.
The immunostaining was performed on a Leica Biosystems BOND® RX instrument.

Counterstained with Hematoxylin.

Secondary antibody only control : Secondary antibody is a ready to use LeicaDS9800 (Bond™ Polymer Refine Detection).

Heat mediated antigen retrieval was performed with Tris-EDTA buffer (pH 9.0, Epitope Retrieval Solution2) for 20 mins.

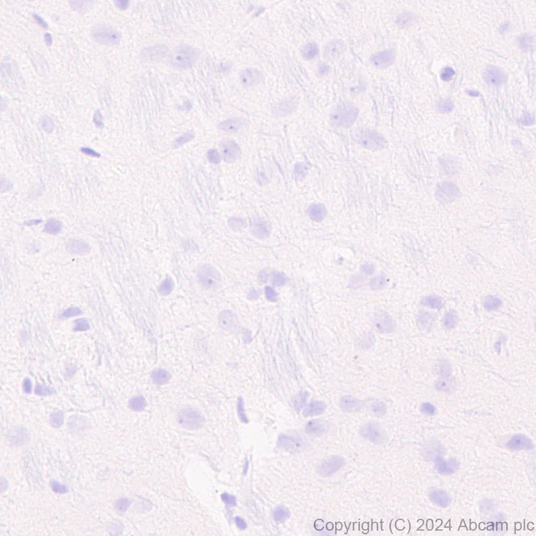
Immunohistochemistry (Formalin/PFA-fixed paraffin-embedded sections) - Anti-SLC12A3 antibody [EPR27106-48] - BSA and Azide free (AB316192)
  • IHC-P

Supplier Data

Immunohistochemistry (Formalin/PFA-fixed paraffin-embedded sections) - Anti-SLC12A3 antibody [EPR27106-48] - BSA and Azide free (AB316192)

This data was developed using ab316191, the same antibody clone in a different buffer formulation.

Immunohistochemical analysis of paraffin-embedded Mouse cerebrum tissue labeling SLC12A3 with ab316191 at 1/2000 (0.254 ug/ml) dilution, followed by a ready to use LeicaDS9800 (Bond™ Polymer Refine Detection).

Negative control : No staining on mouse cerebrum.
The section was incubated with ab316191 for 30 mins at room temperature.
The immunostaining was performed on a Leica Biosystems BOND® RX instrument.

Counterstained with Hematoxylin.

Secondary antibody only control : Secondary antibody is a ready to use LeicaDS9800 (Bond™ Polymer Refine Detection).

Heat mediated antigen retrieval was performed with Tris-EDTA buffer (pH 9.0, Epitope Retrieval Solution2) for 20 mins.

Immunohistochemistry (Formalin/PFA-fixed paraffin-embedded sections) - Anti-SLC12A3 antibody [EPR27106-48] - BSA and Azide free (AB316192)
  • IHC-P

Supplier Data

Immunohistochemistry (Formalin/PFA-fixed paraffin-embedded sections) - Anti-SLC12A3 antibody [EPR27106-48] - BSA and Azide free (AB316192)

This data was developed using ab316191, the same antibody clone in a different buffer formulation.

Immunohistochemical analysis of paraffin-embedded Rat liver tissue labeling SLC12A3 with ab316191 at 1/2000 (0.254 ug/ml) dilution, followed by a ready to use LeicaDS9800 (Bond™ Polymer Refine Detection).

Negative control : No staining on rat liver.
The section was incubated with ab316191 for 30 mins at room temperature.
The immunostaining was performed on a Leica Biosystems BOND® RX instrument.

Counterstained with Hematoxylin.

Secondary antibody only control : Secondary antibody is a ready to use LeicaDS9800 (Bond™ Polymer Refine Detection).

Heat mediated antigen retrieval was performed with Tris-EDTA buffer (pH 9.0, Epitope Retrieval Solution2) for 20 mins.

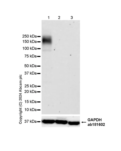
Western blot - Anti-SLC12A3 antibody [EPR27106-48] - BSA and Azide free (AB316192)
  • WB

Supplier Data

Western blot - Anti-SLC12A3 antibody [EPR27106-48] - BSA and Azide free (AB316192)

This data was developed using ab316191, the same antibody clone in a different buffer formulation.

Negative control : lung (PMID : 35591852), liver (PMID : 35591852).

Samples are non-boiled as boiling may cause protein aggregation.

In Western blot, Anti-GAPDH antibody [EPR16891] - Loading Control (ab181602) staining at 1/200000 dilution.

All lanes:

Western blot - Anti-SLC12A3 antibody [EPR27106-48] (<a href='/en-us/products/primary-antibodies/slc12a3-antibody-epr27106-48-ab316191'>ab316191</a>) at 1/1000 dilution

Lane 1:

Mouse kidney tissue lysate at 20 µg with 5% NFDM/TBST

Lane 2:

Mouse liver tissue lysate at 20 µg with 5% NFDM/TBST

Lane 3:

Mouse lung tissue lysate at 20 µg with 5% NFDM/TBST

Secondary

All lanes:

Western blot - Goat Anti-Rabbit IgG H&L (HRP) (<a href='/en-us/products/secondary-antibodies/goat-rabbit-igg-h-l-hrp-ab97051'>ab97051</a>) at 1/2000 dilution

Observed band size: 150 kDa,36 kDa

false

Exposure time: 180s

Dot Blot - Anti-SLC12A3 antibody [EPR27106-48] - BSA and Azide free (AB316192)
  • Dot

Supplier Data

Dot Blot - Anti-SLC12A3 antibody [EPR27106-48] - BSA and Azide free (AB316192)

This data was developed using ab316191, the same antibody clone in a different buffer formulation.

Dot blot analysis of SLC12A3 using ab316191 at 1 : 1000 (0.508 ug/ml) followed by a Goat Anti-Rabbit IgG, (H+L), Peroxidase conjugated (ab97051) at 1 : 100,000 dilution.

Blocking and diluting buffer and concentration : 5% NFDM/TBST.

This antibody does not cross-react with human SLC12A1 and human SLC12A2.

All lanes:

Dot Blot - Anti-SLC12A3 antibody [EPR27106-48] (<a href='/en-us/products/primary-antibodies/slc12a3-antibody-epr27106-48-ab316191'>ab316191</a>) at 1/1000 dilution

Lane 1:

293T cells transfected with an empty vector containing a His-tag, whole cell lysate at 10 µg

Lane 2:

293T cells transfected with a SLC12A3 expression vector containing a His-tag, whole cell lysate at 10 µg

Lane 3:

293T cells transfected with a SLC12A1 expression vector containing a His-tag, whole cell lysate at 10 µg

Lane 4:

293T cells transfected with a SLC12A2 expression vector containing a His-tag, whole cell lysate at 10 µg

Secondary

All lanes:

Dot Blot - Goat Anti-Rabbit IgG H&L (HRP) (<a href='/en-us/products/secondary-antibodies/goat-rabbit-igg-h-l-hrp-ab97051'>ab97051</a>) at 1/100000 dilution

false

Exposure time: 169s

Key facts

Host species

Rabbit

Clonality

Monoclonal

Clone number

EPR27106-48

Isotype

IgG

Carrier free

Yes

Reacts with

Human, Mouse, Rat

Applications

Dot, IHC-P, WB

applications

Immunogen

The exact immunogen used to generate this antibody is proprietary information.

Specificity

Not suitable for Human WB and Rat WB.

Reactivity data

{ "title": "Reactivity Data", "filters": { "stats": ["", "Species", "Dilution Info", "Notes"], "tabs": { "all-applications": {"fullname" : "All Applications", "shortname": "All Applications"}, "Dot" : {"fullname" : "Dot Blot", "shortname":"Dot"}, "IHCP" : {"fullname" : "Immunohistochemistry (Formalin/PFA-fixed paraffin-embedded sections)", "shortname":"IHC-P"}, "WB" : {"fullname" : "Western blot", "shortname":"WB"}, "ICCIF" : {"fullname" : "Immunocytochemistry/ Immunofluorescence", "shortname":"ICC/IF"}, "FlowCytIntra" : {"fullname" : "Flow Cytometry (Intracellular)", "shortname":"Flow Cyt (Intra)"}, "IP" : {"fullname" : "Immunoprecipitation", "shortname":"IP"} }, "product-promise": { "all": "all", "testedAndGuaranteed": "tested", "guaranteed": "expected", "predicted": "predicted", "notRecommended": "not-recommended" } }, "values": { "Human": { "Dot-species-checked": "guaranteed", "Dot-species-dilution-info": "", "Dot-species-notes": "", "IHCP-species-checked": "testedAndGuaranteed", "IHCP-species-dilution-info": "", "IHCP-species-notes": "<p></p>", "WB-species-checked": "notRecommended", "WB-species-dilution-info": "", "WB-species-notes": "<p></p>", "ICCIF-species-checked": "notRecommended", "ICCIF-species-dilution-info": "", "ICCIF-species-notes": "<p></p>", "FlowCytIntra-species-checked": "notRecommended", "FlowCytIntra-species-dilution-info": "", "FlowCytIntra-species-notes": "<p></p>", "IP-species-checked": "notRecommended", "IP-species-dilution-info": "", "IP-species-notes": "<p></p>" }, "Mouse": { "Dot-species-checked": "guaranteed", "Dot-species-dilution-info": "", "Dot-species-notes": "", "IHCP-species-checked": "testedAndGuaranteed", "IHCP-species-dilution-info": "", "IHCP-species-notes": "<p></p>", "WB-species-checked": "testedAndGuaranteed", "WB-species-dilution-info": "", "WB-species-notes": "<p></p>", "ICCIF-species-checked": "notRecommended", "ICCIF-species-dilution-info": "", "ICCIF-species-notes": "<p></p>", "FlowCytIntra-species-checked": "notRecommended", "FlowCytIntra-species-dilution-info": "", "FlowCytIntra-species-notes": "", "IP-species-checked": "notRecommended", "IP-species-dilution-info": "", "IP-species-notes": "" }, "Rat": { "Dot-species-checked": "guaranteed", "Dot-species-dilution-info": "", "Dot-species-notes": "", "IHCP-species-checked": "testedAndGuaranteed", "IHCP-species-dilution-info": "", "IHCP-species-notes": "<p></p>", "WB-species-checked": "notRecommended", "WB-species-dilution-info": "", "WB-species-notes": "<p></p>", "ICCIF-species-checked": "notRecommended", "ICCIF-species-dilution-info": "", "ICCIF-species-notes": "", "FlowCytIntra-species-checked": "notRecommended", "FlowCytIntra-species-dilution-info": "", "FlowCytIntra-species-notes": "", "IP-species-checked": "notRecommended", "IP-species-dilution-info": "", "IP-species-notes": "" }, "Transfected cell lysate - Human": { "Dot-species-checked": "testedAndGuaranteed", "Dot-species-dilution-info": "", "Dot-species-notes": "<p></p>", "IHCP-species-checked": "notRecommended", "IHCP-species-dilution-info": "", "IHCP-species-notes": "", "WB-species-checked": "notRecommended", "WB-species-dilution-info": "", "WB-species-notes": "", "ICCIF-species-checked": "notRecommended", "ICCIF-species-dilution-info": "", "ICCIF-species-notes": "", "FlowCytIntra-species-checked": "notRecommended", "FlowCytIntra-species-dilution-info": "", "FlowCytIntra-species-notes": "", "IP-species-checked": "notRecommended", "IP-species-dilution-info": "", "IP-species-notes": "" } } }

Product details

ab316192 is the carrirer-free version of ab316191.

Patented technology
Our RabMAb® technology is a patented hybridoma-based technology for making rabbit monoclonal antibodies. For details on our patents, please refer to RabMAb® patents.

What are the advantages of a recombinant monoclonal antibody?
This product is a recombinant monoclonal antibody, which offers several advantages including:

  • - High batch-to-batch consistency and reproducibility
  • - Improved sensitivity and specificity
  • - Long-term security of supply
  • - Animal-free batch production

For more information, read more on recombinant antibodies.

Conjugation ready
Our carrier-free antibodies are typically supplied in a PBS-only formulation, purified and free of BSA, sodium azide and glycerol. This conjugation-ready format is designed for use with fluorochromes, metal isotopes, oligonucleotides, and enzymes, which makes them ideal for antibody labelling, functional and cell-based assays, flow-based assays (e.g. mass cytometry) and Multiplex Imaging applications.

Use our conjugation kits for antibody conjugates that are ready-to-use in as little as 20 minutes with 1 minute hands-on-time and 100% antibody recovery: available for fluorescent dyes, HRP, biotin and gold.

Compatibility
This product is compatible with the Maxpar® Antibody Labeling Kit from Fluidigm, without the need for antibody preparation. Maxpar® is a trademark of Fluidigm Canada Inc.

Properties and storage information

Form
Liquid
Purification technique
Affinity purification Protein A
Storage buffer
pH: 7.2 - 7.4 Constituents: PBS
Shipped at conditions
Blue Ice
Appropriate short-term storage conditions
+4°C
Appropriate long-term storage conditions
+4°C

Supplementary information

This supplementary information is collated from multiple sources and compiled automatically.

The SLC12A3 gene encodes the thiazide-sensitive sodium-chloride co-transporter (NCC) also known as solute carrier family 12 member 3. This protein plays an important role in sodium and chloride ion transport across cell membranes in the distal convoluted tubule of the nephron in the kidney influencing electrolyte and fluid balance. It is a membrane protein with a mass of about 108 kDa. SLC12A3 is highly expressed in the kidney specifically localized in the distal convoluted tubule where it contributes to ions balance.
Biological function summary

The activity of SLC12A3 regulates blood pressure and volume homeostasis. It is an integral part of ion transport mechanisms and operates within a network of other transporters and channels in the kidney. The proper function of this transporter balances sodium and chloride reabsorption preventing excessive loss or retention. While not directly forming a complex its activity correlates with the function of other ion transport proteins in maintaining ion balance.

Pathways

The SLC12A3 protein integrates into the renal system's regulation of electrolyte homeostasis. It interacts within the salt-sensitive pathway by influencing the reabsorption of sodium chloride which impacts the renin-angiotensin-aldosterone system (RAAS) indirectly. The activity of SLC12A3 influences blood pressure regulation connecting it functionally with proteins like WNK kinases which modulate its phosphorylation state altering its transport capacity.

SLC12A3 mutations lead to Gitelman syndrome a kidney disorder causing hypokalemic alkalosis hypomagnesemia and low blood pressure. Individuals with this disorder have impaired function of the SLC12A3 protein resulting in improper sodium and chloride reabsorption. The disorder connects with the renin-angiotensin pathway which tries to compensate by increasing renin production. It contrasts with conditions involving the CFTR protein which affects ion transport in diseases such as cystic fibrosis but focuses on chloride channels rather than co-transporters.

Product protocols

For this product, it's our understanding that no specific protocols are required. You can visit:

Target data

Electroneutral sodium and chloride ion cotransporter, which acts as a key mediator of sodium and chloride reabsorption in kidney distal convoluted tubules (PubMed : 18270262, PubMed : 21613606, PubMed : 22009145, PubMed : 36351028, PubMed : 36792826). Also acts as a receptor for the pro-inflammatory cytokine IL18, thereby contributing to IL18-induced cytokine production, including IFNG, IL6, IL18 and CCL2 (By similarity). May act either independently of IL18R1, or in a complex with IL18R1 (By similarity).
See full target information SLC12A3

Product promise

We are committed to supporting your work with high-quality reagents, and we're here for you every step of the way. In the unlikely event that one of our products does not perform as expected, you're protected by our Product Promise.
For full details, please see our Terms & Conditions

Please note: All products are 'FOR RESEARCH USE ONLY. NOT FOR USE IN DIAGNOSTIC OR THERAPEUTIC PROCEDURES'.

For licensing inquiries, please contact partnerships@abcam.com