JavaScript is disabled in your browser. Please enable JavaScript to view this website.
AB236619

Anti-SLC13A4/SUT1 antibody

Be the first to review this product! Submit a review

|

(2 Publications)

Rabbit Polyclonal SLC13A4/SUT1 antibody. Suitable for WB, IHC-P, ICC/IF and reacts with Human samples. Cited in 2 publications. Immunogen corresponding to Recombinant Fragment Protein within Human SLC13A4 aa 100-300.

View Alternative Names

SUT1, SLC13A4, Solute carrier family 13 member 4, Na(+)/sulfate cotransporter SUT-1, NaS2

4 Images
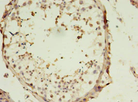
Immunohistochemistry (Formalin/PFA-fixed paraffin-embedded sections) - Anti-SLC13A4/SUT1 antibody (AB236619)
  • IHC-P

Supplier Data

Immunohistochemistry (Formalin/PFA-fixed paraffin-embedded sections) - Anti-SLC13A4/SUT1 antibody (AB236619)

Paraffin-embedded human testis tissue stained for SLC13A4/SUT1 with ab236619 at a 1/100 dilution in immunohistochemical analysis.

Immunohistochemistry (Formalin/PFA-fixed paraffin-embedded sections) - Anti-SLC13A4/SUT1 antibody (AB236619)
  • IHC-P

Supplier Data

Immunohistochemistry (Formalin/PFA-fixed paraffin-embedded sections) - Anti-SLC13A4/SUT1 antibody (AB236619)

Paraffin-embedded human placenta tissue stained for SLC13A4/SUT1 with ab236619 at a 1/100 dilution in immunohistochemical analysis.

Immunocytochemistry/ Immunofluorescence - Anti-SLC13A4/SUT1 antibody (AB236619)
  • ICC/IF

Supplier Data

Immunocytochemistry/ Immunofluorescence - Anti-SLC13A4/SUT1 antibody (AB236619)

HEK-293 (Human epithelial cell line from embryonic kidney) cells stained for SLC13A4/SUT1 (Green) using ab236619 at a 1/100 dilution in ICC/IF. Secondary used is an Alexa-Fluor®488-conjugated Goat Anti-Rabbit IgG (H+L).

Western blot - Anti-SLC13A4/SUT1 antibody (AB236619)
  • WB

Supplier Data

Western blot - Anti-SLC13A4/SUT1 antibody (AB236619)

All lanes:

Western blot - Anti-SLC13A4/SUT1 antibody (ab236619) at 1/500 dilution

All lanes:

HEK-293T (Human epithelial cell line from embryonic kidney transformed with large T antigen) whole cell lysate

Secondary

All lanes:

Goat polyclonal to rabbit IgG at 1/10000 dilution

Predicted band size: 69 kDa

false

Key facts

Host species

Rabbit

Clonality

Polyclonal

Isotype

IgG

Carrier free

No

Reacts with

Human

Applications

ICC/IF, IHC-P, WB

applications

Immunogen

Recombinant Fragment Protein within Human SLC13A4 aa 100-300. The exact immunogen used to generate this antibody is proprietary information.

Q9UKG4

Reactivity data

{ "title": "Reactivity Data", "filters": { "stats": ["", "Species", "Dilution Info", "Notes"], "tabs": { "all-applications": {"fullname" : "All Applications", "shortname": "All Applications"}, "WB" : {"fullname" : "Western blot", "shortname":"WB"}, "IHCP" : {"fullname" : "Immunohistochemistry (Formalin/PFA-fixed paraffin-embedded sections)", "shortname":"IHC-P"}, "ICCIF" : {"fullname" : "Immunocytochemistry/ Immunofluorescence", "shortname":"ICC/IF"} }, "product-promise": { "all": "all", "testedAndGuaranteed": "tested", "guaranteed": "expected", "predicted": "predicted", "notRecommended": "not-recommended" } }, "values": { "Human": { "WB-species-checked": "testedAndGuaranteed", "WB-species-dilution-info": "1/500 - 1/5000", "WB-species-notes": "<p></p>", "IHCP-species-checked": "testedAndGuaranteed", "IHCP-species-dilution-info": "1/20 - 1/200", "IHCP-species-notes": "<p></p>", "ICCIF-species-checked": "testedAndGuaranteed", "ICCIF-species-dilution-info": "1/50 - 1/200", "ICCIF-species-notes": "<p></p>" } } }

Properties and storage information

Form
Liquid
Purification technique
Affinity purification Protein G
Purification notes
Purity >95%
Storage buffer
pH: 7.4 Preservative: 0.03% Proclin 300 Constituents: PBS, 50% Glycerol (glycerin, glycerine)
Shipped at conditions
Blue Ice
Appropriate short-term storage duration
1-2 weeks
Appropriate short-term storage conditions
+4°C
Appropriate long-term storage conditions
-20°C
Aliquoting information
Upon delivery aliquot
Storage information
Avoid freeze / thaw cycle

Supplementary information

This supplementary information is collated from multiple sources and compiled automatically.

SLC13A4 also known as SUT1 is a protein that functions as a sodium-coupled transporter. It plays a role in the transport of sulfate ions across cellular membranes utilizing sodium gradients. SLC13A4 has a mass of approximately 68 kDa. It is expressed mainly in the placenta suggesting its importance in maternal-fetal transport processes. This protein also shows expression in other tissues albeit at lower levels.
Biological function summary

This transporter is involved in sulfate homeostasis within the body. Sulfate is essential for synthesizing sulfated compounds which include glycosaminoglycans and proteoglycans. These are vital for various cellular functions including cell signaling and structural integrity. SLC13A4 does not operate as part of a larger protein complex. Instead it functions independently to ensure proper sulfate levels.

Pathways

Transport processes involving SLC13A4 are key in metabolic and sulfur metabolism pathways. It is particularly involved in cellular uptake of sulfate essential for transferring sulfate from mother to fetus. SLC13A4 interacts with other membrane transport proteins such as SLC26A1 and SLC13A2 helping maintain the balance of sulfate within different tissues.

SLC13A4 disturbances can affect conditions such as placental insufficiency which impacts fetal development. Research also links its dysfunction to preeclampsia a pregnancy complication characterized by high blood pressure. Abnormal SLC13A4 activity affects sulfate availability disrupting the sulfation processes. Its interaction with proteins like SLC26A1 becomes particularly important because it compensates for imbalanced sulfate transport.

Product protocols

For this product, it's our understanding that no specific protocols are required. You can visit:

Target data

Sodium : sulfate symporter that mediates sulfate reabsorption in the high endothelial venules (HEV).
See full target information SLC13A4

Publications (2)

Recent publications for all applications. Explore the full list and refine your search

Cell reports 44:116025 PubMed40700020

2025

IGSF10 is a RET antagonist regulating Ewing sarcoma growth and GnRH neuron migration.

Applications

Unspecified application

Species

Unspecified reactive species

Panneerselvam Jayabal,Xiuye Ma,Maleeha Akram,Hannah Bow,Pranay Mandal,Naira Mansano,Yidong Chen,Susan T Weintraub,Peter J Houghton,Susan Wray,Yuzuru Shiio

Scientific reports 14:13989 PubMed38886371

2024

In vitro evolution and whole genome analysis to study chemotherapy drug resistance in haploid human cells.

Applications

Unspecified application

Species

Unspecified reactive species

Juan Carlos Jado,Michelle Dow,Krypton Carolino,Adam Klie,Gregory J Fonseca,Trey Ideker,Hannah Carter,Elizabeth A Winzeler
View all publications

Product promise

We are committed to supporting your work with high-quality reagents, and we're here for you every step of the way. In the unlikely event that one of our products does not perform as expected, you're protected by our Product Promise.
For full details, please see our Terms & Conditions

Please note: All products are 'FOR RESEARCH USE ONLY. NOT FOR USE IN DIAGNOSTIC OR THERAPEUTIC PROCEDURES'.

For licensing inquiries, please contact partnerships@abcam.com