JavaScript is disabled in your browser. Please enable JavaScript to view this website.
AB247057

Anti-SLC13A5 antibody

Be the first to review this product! Submit a review

|

(1 Publication)

Rabbit Polyclonal SLC13A5 antibody. Suitable for IHC-P, WB and reacts with Human samples. Cited in 1 publication. Immunogen corresponding to Recombinant Fragment Protein within Human SLC13A5 aa 350-450.

View Alternative Names

NACT, SLC13A5, Na(+)/citrate cotransporter, NaCT, Sodium-coupled citrate transporter, Sodium-dependent citrate transporter, Solute carrier family 13 member 5

3 Images
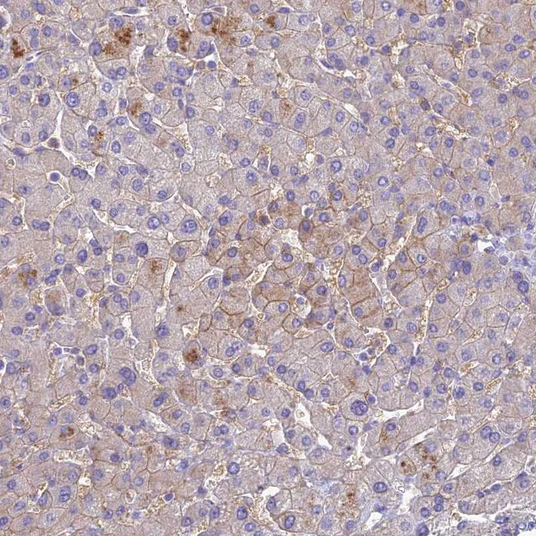
Immunohistochemistry (Formalin/PFA-fixed paraffin-embedded sections) - Anti-SLC13A5 antibody (AB247057)
  • IHC-P

Unknown

Immunohistochemistry (Formalin/PFA-fixed paraffin-embedded sections) - Anti-SLC13A5 antibody (AB247057)

Paraffin-embedded human liver tissue stained for SLC13A5 using ab247057 at 1/50 dilution in immunohistochemical analysis.

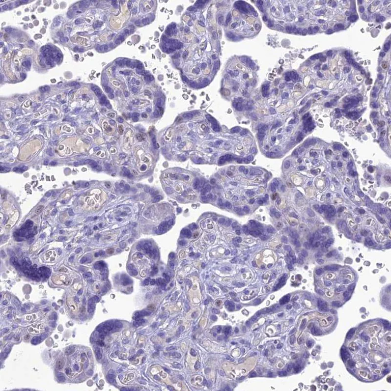
Immunohistochemistry (Formalin/PFA-fixed paraffin-embedded sections) - Anti-SLC13A5 antibody (AB247057)
  • IHC-P

Unknown

Immunohistochemistry (Formalin/PFA-fixed paraffin-embedded sections) - Anti-SLC13A5 antibody (AB247057)

Paraffin-embedded human placenta tissue stained for SLC13A5 using ab247057 at 1/50 dilution in immunohistochemical analysis. No positivity in trophoblastic cells as expected.

Western blot - Anti-SLC13A5 antibody (AB247057)
  • WB

Unknown

Western blot - Anti-SLC13A5 antibody (AB247057)

All lanes:

Western blot - Anti-SLC13A5 antibody (ab247057) at 0.4 µg/mL

Lane 1:

Vector only transfected HEK-293T (Human epithelial cell line from embryonic kidney transformed with large T antigen) lysate

Lane 2:

SLC13A5 overexpression HEK-293T cell lysate

Predicted band size: 63 kDa

false

Key facts

Host species

Rabbit

Clonality

Polyclonal

Isotype

IgG

Carrier free

No

Reacts with

Human

Applications

WB, IHC-P

applications

Immunogen

Recombinant Fragment Protein within Human SLC13A5 aa 350-450. The exact immunogen used to generate this antibody is proprietary information.

Q86YT5

Reactivity data

{ "title": "Reactivity Data", "filters": { "stats": ["", "Species", "Dilution Info", "Notes"], "tabs": { "all-applications": {"fullname" : "All Applications", "shortname": "All Applications"}, "IHCP" : {"fullname" : "Immunohistochemistry (Formalin/PFA-fixed paraffin-embedded sections)", "shortname":"IHC-P"}, "WB" : {"fullname" : "Western blot", "shortname":"WB"} }, "product-promise": { "all": "all", "testedAndGuaranteed": "tested", "guaranteed": "expected", "predicted": "predicted", "notRecommended": "not-recommended" } }, "values": { "Human": { "IHCP-species-checked": "testedAndGuaranteed", "IHCP-species-dilution-info": "1/50 - 1/200", "IHCP-species-notes": "<p></p> Perform heat-mediated antigen retrieval with citrate buffer pH 6 before commencing with IHC staining protocol.", "WB-species-checked": "testedAndGuaranteed", "WB-species-dilution-info": "0.04-0.4 µg/mL", "WB-species-notes": "<p></p>" } } }

Properties and storage information

Form
Liquid
Purification technique
Affinity purification Immunogen
Storage buffer
pH: 7.2 Preservative: 0.02% Sodium azide Constituents: PBS, 40% Glycerol (glycerin, glycerine)
Shipped at conditions
Blue Ice
Appropriate short-term storage duration
1-2 weeks
Appropriate short-term storage conditions
+4°C
Appropriate long-term storage conditions
-20°C
Aliquoting information
Upon delivery aliquot
Storage information
Avoid freeze / thaw cycle

Supplementary information

This supplementary information is collated from multiple sources and compiled automatically.

SLC13A5 also known as the sodium/citrate cotransporter is an important transporter that facilitates the uptake of citrate across cellular membranes. This protein is also referred to as NaCT and has a molecular mass of approximately 62 kDa. Researchers found its expression most notably in the liver brain and testes. SLC13A5 operates by coupling the inward movement of sodium ions with the transport of citrate which is an intermediary in metabolic pathways.
Biological function summary

SLC13A5 plays an important role in cellular metabolism by importing citrate into cells which then serves as a precursor for fatty acid cholesterol and glucose synthesis. The protein does not form part of a multi-protein complex but functions individually to regulate citrate levels within the cell. By modulating intracellular citrate SLC13A5 influences the balance between energy production and storage.

Pathways

SLC13A5 contributes directly to the citrate shuttle and indirectly influences the tricarboxylic acid (TCA) cycle. In the citrate shuttle pathway citrate transported by SLC13A5 provides carbon for the biosynthesis of lipids. This transport influences pathways involving acetyl-CoA production. Additionally it interacts with proteins such as ATP citrate lyase which converts citrate to acetyl-CoA within the cytosol impacting lipid metabolism pathways.

Researchers have linked SLC13A5 to early infantile epileptic encephalopathy (EIEE) a neurological disorder characterized by severe seizures. Mutations in the SLC13A5 gene reduce or eliminate the transport of citrate leading to metabolic disruptions. Additionally studies suggest links between dysregulated citrate transport and metabolic disorders like non-alcoholic fatty liver disease (NAFLD). The protein may interact with acyl-CoA synthetase short-chain family member 2 (ACSS2) in these contexts suggesting a broader impact on fatty acid metabolism.

Product protocols

For this product, it's our understanding that no specific protocols are required. You can visit:

Target data

High-affinity sodium/citrate cotransporter that mediates the entry of citrate into cells, which is a critical participant of biochemical pathways (PubMed : 12445824, PubMed : 12826022, PubMed : 26324167, PubMed : 26384929, PubMed : 30054523, PubMed : 33597751). May function in various metabolic processes in which citrate has a critical role such as energy production (Krebs cycle), fatty acid synthesis, cholesterol synthesis, glycolysis, and gluconeogenesis (PubMed : 12826022). Transports citrate into the cell in a Na(+)-dependent manner, recognizing the trivalent form of citrate (physiological pH) rather than the divalent form (PubMed : 12445824, PubMed : 12826022, PubMed : 26324167, PubMed : 26384929, PubMed : 30054523, PubMed : 33597751). Can recognize succinate as a substrate, but its affinity for succinate is several fold lower than for citrate (PubMed : 26324167). The stoichiometry is probably 4 Na(+) for each carboxylate, irrespective of whether the translocated substrate is divalent or trivalent, rendering the process electrogenic (PubMed : 12445824, PubMed : 12826022). Involved in the regulation of citrate levels in the brain (By similarity).
See full target information SLC13A5

Publications (1)

Recent publications for all applications. Explore the full list and refine your search

Communications biology 7:177 PubMed38418614

2024

Modular tissue-in-a-CUBE platform to model blood-brain barrier (BBB) and brain interaction.

Applications

Unspecified application

Species

Unspecified reactive species

Isabel Koh,Masaya Hagiwara
View all publications

Product promise

We are committed to supporting your work with high-quality reagents, and we're here for you every step of the way. In the unlikely event that one of our products does not perform as expected, you're protected by our Product Promise.
For full details, please see our Terms & Conditions

Please note: All products are 'FOR RESEARCH USE ONLY. NOT FOR USE IN DIAGNOSTIC OR THERAPEUTIC PROCEDURES'.

For licensing inquiries, please contact partnerships@abcam.com