JavaScript is disabled in your browser. Please enable JavaScript to view this website.
AB190497

Anti-SLC16A3/MCT 4 antibody - C-terminal

Be the first to review this product! Submit a review

|

(1 Publication)

Rabbit Polyclonal SLC16A3/MCT 4 antibody. C-terminal. Suitable for IP, WB and reacts with Human samples. Cited in 1 publication. Immunogen corresponding to Synthetic Peptide within Human SLC16A3 aa 400-450.

View Alternative Names

MCT3, MCT4, SLC16A3, Monocarboxylate transporter 4, MCT 4, Solute carrier family 16 member 3

2 Images
Immunoprecipitation - Anti-SLC16A3/MCT 4 antibody - C-terminal (AB190497)
  • IP

Supplier Data

Immunoprecipitation - Anti-SLC16A3/MCT 4 antibody - C-terminal (AB190497)

Immunoprecipitation analysis of HeLa cell lysate (1 mg per IP reaction; 20% of IP loaded) labeling SLC16A3/MCT 4 using ab190497 at 6 μg per reaction (lane 1). A Control IgG was used in lane 2. For blotting immunoprecipitated SLC16A3, ab190497 was used at 0.4 μg/ml. Detection : Chemiluminescence with an exposure time of 30 seconds.

All lanes:

Immunoprecipitation - Anti-SLC16A3/MCT 4 antibody - C-terminal (ab190497)

Predicted band size: 49 kDa

false

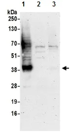
Western blot - Anti-SLC16A3/MCT 4 antibody - C-terminal (AB190497)
  • WB

Supplier Data

Western blot - Anti-SLC16A3/MCT 4 antibody - C-terminal (AB190497)

All lanes:

Western blot - Anti-SLC16A3/MCT 4 antibody - C-terminal (ab190497) at 0.1 µg/mL

Lane 1:

HeLa cell lysate at 50 µg

Lane 2:

293T cell lysate at 50 µg

Lane 3:

Jurkat cell lysate at 50 µg

Predicted band size: 49 kDa

true

Exposure time: 3min

Key facts

Host species

Rabbit

Clonality

Polyclonal

Isotype

IgG

Carrier free

No

Reacts with

Human

Applications

IP, WB

applications

Immunogen

Synthetic Peptide within Human SLC16A3 aa 400-450. The exact immunogen used to generate this antibody is proprietary information.

O15427

Reactivity data

{ "title": "Reactivity Data", "filters": { "stats": ["", "Species", "Dilution Info", "Notes"], "tabs": { "all-applications": {"fullname" : "All Applications", "shortname": "All Applications"}, "IP" : {"fullname" : "Immunoprecipitation", "shortname":"IP"}, "WB" : {"fullname" : "Western blot", "shortname":"WB"} }, "product-promise": { "all": "all", "testedAndGuaranteed": "tested", "guaranteed": "expected", "predicted": "predicted", "notRecommended": "not-recommended" } }, "values": { "Human": { "IP-species-checked": "testedAndGuaranteed", "IP-species-dilution-info": "2-10 µg/mg of lysate", "IP-species-notes": "<p></p>", "WB-species-checked": "testedAndGuaranteed", "WB-species-dilution-info": "1/2000 - 1/10000", "WB-species-notes": "<p></p>" }, "Gorilla": { "IP-species-checked": "predicted", "IP-species-dilution-info": "", "IP-species-notes": "", "WB-species-checked": "predicted", "WB-species-dilution-info": "", "WB-species-notes": "" }, "Rhesus monkey": { "IP-species-checked": "predicted", "IP-species-dilution-info": "", "IP-species-notes": "", "WB-species-checked": "predicted", "WB-species-dilution-info": "", "WB-species-notes": "" } } }

Properties and storage information

Form
Liquid
Purification technique
Affinity purification Immunogen
Storage buffer
pH: 7 - 8 Preservative: 0.09% Sodium azide Constituents: 99% Tris citrate/phosphate
Shipped at conditions
Blue Ice
Appropriate short-term storage duration
1-2 weeks
Appropriate short-term storage conditions
+4°C
Appropriate long-term storage conditions
+4°C
Aliquoting information
Upon delivery aliquot
Storage information
Avoid freeze / thaw cycle

Supplementary information

This supplementary information is collated from multiple sources and compiled automatically.

SLC16A3 also known as MCT4 or MCT-4 is a member of the monocarboxylate transporter family. It is responsible for the transport of lactate and other monocarboxylates across cell membranes. Typically the molecular weight of MCT4 is approximately 45-50 kDa. This transporter is most abundant in tissues with high glycolytic activity including muscle and certain types of tumors where it facilitates the export of lactate produced during anaerobic metabolism to maintain intracellular pH balance and energy production efficiency.
Biological function summary

The transport function of SLC16A3/MCT4 is important for maintaining the energy equilibrium in cells that rely heavily on glycolysis. MCT4 does not function independently; it associates with ancillary proteins like CD147/Basigin which is essential for its correct localization to the plasma membrane. This association enhances the transport efficiency of lactate making MCT4 an important player in the lactate shuttle system a mechanism that allows for effective energy utilization in muscle fibers and tumor cells and significantly contributes to the regulation of the tissue microenvironment.

Pathways

SLC16A3/MCT4 plays a significant role in metabolic pathways particularly the glycolytic pathway by facilitating lactate efflux. The transporter is also implicated in the Cori cycle where lactate is shuttled from muscles to the liver for gluconeogenesis. Its functions overlap with those of other monocarboxylate transporters such as MCT1 which generally handles the import of lactate in oxidative tissues. Together these transporters maintain homeostasis of lactate levels in various tissues preventing lactate accumulation.

Alterations in SLC16A3/MCT4 expression or function are associated with cancer and anaerobic exercise intolerance. In cancer overexpression of MCT4 correlates with aggressive tumor behavior due to its role in lactate export aiding in the acidic tumor microenvironment development which favors cancer cell survival and invasion. Additionally interactions with proteins like CD147 are thought to modulate tumor progression. In exercise intolerance impaired lactate transport leads to muscle fatigue and reduced exercise capacity highlighting the critical role MCT4 plays in normal metabolic responses during intense physical activity.

Product protocols

For this product, it's our understanding that no specific protocols are required. You can visit:

Target data

Proton-dependent transporter of monocarboxylates such as L-lactate and pyruvate (PubMed : 11101640, PubMed : 23935841, PubMed : 31719150). Plays a predominant role in L-lactate efflux from highly glycolytic cells (By similarity).
See full target information SLC16A3

Publications (1)

Recent publications for all applications. Explore the full list and refine your search

Cell 179:1191-1206.e21 PubMed31730857

2019

B Cells and T Follicular Helper Cells Mediate Response to Checkpoint Inhibitors in High Mutation Burden Mouse Models of Breast Cancer.

Applications

Unspecified application

Species

Unspecified reactive species

Daniel P Hollern,Nuo Xu,Aatish Thennavan,Cherise Glodowski,Susana Garcia-Recio,Kevin R Mott,Xiaping He,Joseph P Garay,Kelly Carey-Ewend,David Marron,John Ford,Siyao Liu,Sarah C Vick,Miguel Martin,Joel S Parker,Benjamin G Vincent,Jonathan S Serody,Charles M Perou
View all publications

Product promise

We are committed to supporting your work with high-quality reagents, and we're here for you every step of the way. In the unlikely event that one of our products does not perform as expected, you're protected by our Product Promise.
For full details, please see our Terms & Conditions

Please note: All products are 'FOR RESEARCH USE ONLY. NOT FOR USE IN DIAGNOSTIC OR THERAPEUTIC PROCEDURES'.

For licensing inquiries, please contact partnerships@abcam.com