JavaScript is disabled in your browser. Please enable JavaScript to view this website.
AB308528

Anti-SLC16A3/MCT 4 antibody [EPR28177-30]

  • BOND RX™ Validated
  • 20ul selling size
  • RabMAb
  • Recombinant
  • What is this?

Be the first to review this product! Submit a review

|

(5 Publications)

Anti-SLC16A3/MCT 4 antibody [EPR28177-30] (ab308528) is a rabbit monoclonal antibody detecting SLC16A3/MCT 4 in Western Blot, Flow Cytometry (Intra), IHC-P, IHC-Fr, ICC/IF. Suitable for Human, Mouse, Rat.

- Biophysical QC for unrivalled batch-batch consistency

View Alternative Names

MCT3, MCT4, SLC16A3, Monocarboxylate transporter 4, MCT 4, Solute carrier family 16 member 3

12 Images
Immunocytochemistry/ Immunofluorescence - Anti-SLC16A3/MCT 4 antibody [EPR28177-30] (AB308528)
  • ICC/IF

Supplier Data

Immunocytochemistry/ Immunofluorescence - Anti-SLC16A3/MCT 4 antibody [EPR28177-30] (AB308528)

Immunofluorescent analysis of 4% Paraformaldehyde-fixed, 0.1% Tween-20 permeabilized PC-3 (human prostate adenocarcinoma epithelial cell) cells labelling SLC16A3/MCT 4 with ab308528 at 1/100 (5.1 ug/ml) dilution, followed by ab150081 Goat Anti-Rabbit IgG H&L (Alexa Fluor® 488) preadsorbed antibody at 1/1000 2 ug/ml dilution (Green). Confocal image showing membranous staining in PC-3 cells.Negative control : K-562 (PMID : 25957999);Image was taken with a confocal microscope(Leica-Microsystems, TCS SP8). ab195889 Anti-alpha Tubulin mouse monoclonal antibody - Microtubule Marker (Alexa Fluor® 594) was used to counterstain tubulin at 1/200 2.5ug/ml dilution (Red). The Nuclear counterstain was DAPI (Blue). Secondary antibody only control : Secondary antibody is ab150081 Goat Anti-Rabbit IgG H&L (Alexa Fluor® 488) preadsorbed at 1/1000 2 ug/ml dilution.

Immunohistochemistry (Formalin/PFA-fixed paraffin-embedded sections) - Anti-SLC16A3/MCT 4 antibody [EPR28177-30] (AB308528)
  • IHC-P

Supplier Data

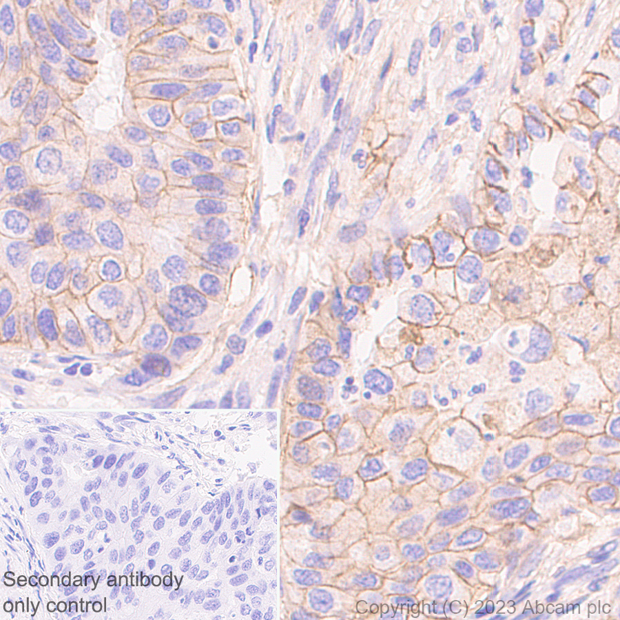
Immunohistochemistry (Formalin/PFA-fixed paraffin-embedded sections) - Anti-SLC16A3/MCT 4 antibody [EPR28177-30] (AB308528)

Immunohistochemical analysis of paraffin-embedded Human pancreatic can tissue labelling SLC16A3/MCT 4 with ab308528 at 1/100 (5.1 ug/ml) followed by a ready to use LeicaDS9800 (Bond™ Polymer Refine Detection). Positive staining on human pancreatic cancer (PMID : 29170050).The section was incubated with ab308528 for 30 mins at room temperature. The immunostaining was performed on a Leica Biosystems BOND® RX instrument Counterstained with Hematoxylin. Secondary antibody only control : Secondary antibody is a ready to use LeicaDS9800 (Bond™ Polymer Refine Detection). Heat mediated antigen retrieval was performed with Tris-EDTA buffer (pH 9.0, Epitope Retrieval Solution2) for 20 mins

Immunohistochemistry (Formalin/PFA-fixed paraffin-embedded sections) - Anti-SLC16A3/MCT 4 antibody [EPR28177-30] (AB308528)
  • IHC-P

Supplier Data

Immunohistochemistry (Formalin/PFA-fixed paraffin-embedded sections) - Anti-SLC16A3/MCT 4 antibody [EPR28177-30] (AB308528)

Immunohistochemical analysis of paraffin-embedded Human lung tissue labelling SLC16A3/MCT 4 with ab308528 at 1/100 (5.1 ug/ml) followed by a ready to use LeicaDS9800 (Bond™ Polymer Refine Detection). Positive staining on macrophages of human lung.The section was incubated with ab308528 for 30 mins at room temperature. The immunostaining was performed on a Leica Biosystems BOND® RX instrument Counterstained with Hematoxylin. Secondary antibody only control : Secondary antibody is a ready to use LeicaDS9800 (Bond™ Polymer Refine Detection). Heat mediated antigen retrieval was performed with Tris-EDTA buffer (pH 9.0, Epitope Retrieval Solution2) for 20 mins

Immunohistochemistry (Formalin/PFA-fixed paraffin-embedded sections) - Anti-SLC16A3/MCT 4 antibody [EPR28177-30] (AB308528)
  • IHC-P

Supplier Data

Immunohistochemistry (Formalin/PFA-fixed paraffin-embedded sections) - Anti-SLC16A3/MCT 4 antibody [EPR28177-30] (AB308528)

Immunohistochemical analysis of paraffin-embedded Human lung carcinoma tissue labelling SLC16A3/MCT 4 with ab308528 at 1/100 (5.1 ug/ml) followed by a ready to use LeicaDS9800 (Bond™ Polymer Refine Detection). Positive staining on human lung carcinoma.The section was incubated with ab308528 for 30 mins at room temperature. The immunostaining was performed on a Leica Biosystems BOND® RX instrument Counterstained with Hematoxylin. Secondary antibody only control : Secondary antibody is a ready to use LeicaDS9800 (Bond™ Polymer Refine Detection). Heat mediated antigen retrieval was performed with Tris-EDTA buffer (pH 9.0, Epitope Retrieval Solution2) for 20 mins

Immunohistochemistry (Formalin/PFA-fixed paraffin-embedded sections) - Anti-SLC16A3/MCT 4 antibody [EPR28177-30] (AB308528)
  • IHC-P

Supplier Data

Immunohistochemistry (Formalin/PFA-fixed paraffin-embedded sections) - Anti-SLC16A3/MCT 4 antibody [EPR28177-30] (AB308528)

Immunohistochemical analysis of paraffin-embedded Human cerebrum tissue labelling SLC16A3/MCT 4 with ab308528 at 1/100 (5.1 ug/ml) followed by a ready to use LeicaDS9800 (Bond™ Polymer Refine Detection). Low expression : No staining on normal human cerebrum (PMID : 23258846).The section was incubated with ab308528 for 30 mins at room temperature. The immunostaining was performed on a Leica Biosystems BOND® RX instrument Counterstained with Hematoxylin. Secondary antibody only control : Secondary antibody is a ready to use LeicaDS9800 (Bond™ Polymer Refine Detection). Heat mediated antigen retrieval was performed with Tris-EDTA buffer (pH 9.0, Epitope Retrieval Solution2) for 20 mins

Flow Cytometry (Intracellular) - Anti-SLC16A3/MCT 4 antibody [EPR28177-30] (AB308528)
  • Flow Cyt (Intra)

Supplier Data

Flow Cytometry (Intracellular) - Anti-SLC16A3/MCT 4 antibody [EPR28177-30] (AB308528)

Flow cytometric analysis of 4% paraformaldehyde fixed 90% methanol permeabilized K-562(human chronic myelogenous leukemia lymphoblast, Left) / PC-3 (human prostate adenocarcinoma epithelial cell, Right) cells labelling SLC16A3/MCT 4 with ab308528 at 1/500 dilution (0.1 ug)/Red (Red) compared with a Rabbit monoclonal IgG (ab172730) (Black) isotype control and an unlabelled control (cells without incubation with primary antibody and secondary antibody) (Blue). A Goat Anti-Rabbit IgG (Alexa Fluor® 488, ab150081) at 1/5000 dilution was used as the secondary antibody. Negative control : K-562(PMID : 25957999).

Immunohistochemistry (Frozen sections) - Anti-SLC16A3/MCT 4 antibody [EPR28177-30] (AB308528)
  • IHC-Fr

Supplier Data

Immunohistochemistry (Frozen sections) - Anti-SLC16A3/MCT 4 antibody [EPR28177-30] (AB308528)

Immunohistochemical analysis of 4% PFA-fixed, 0.2% Triton X-100 permeabilized frozen Rat skeletal muscle (fresh) tissue labeling SLC16A3/MCT 4 with ab308528 at 1/100 (5.1 ug/ml) dilution followed by ab150081 Goat Anti-Rabbit IgG H&L (Alexa Fluor® 488) preadsorbed at 1/1000 2 ug/mL dilution (Green). Confocal image showing positive staining on rat skeletal muscle. The nuclear counterstain was DAPI (Blue). The section was incubated with ab308528 for 60 mins at room temperature. The section was then mounted using Fluoromount®.The immunostaining was performed on a Leica Biosystems BOND® RX instrument. Image was taken with a confocal microscope (Leica-Microsystems, TCS SP8). is observed. The nuclear counterstain was DAPI (Blue). Secondary antibody control : Secondary antibody is ab150081 Goat Anti-Rabbit IgG H&L (Alexa Fluor® 488) preadsorbed at 1/1000 2 ug/mL dilution.

Immunohistochemistry (Formalin/PFA-fixed paraffin-embedded sections) - Anti-SLC16A3/MCT 4 antibody [EPR28177-30] (AB308528)
  • IHC-P

Supplier Data

Immunohistochemistry (Formalin/PFA-fixed paraffin-embedded sections) - Anti-SLC16A3/MCT 4 antibody [EPR28177-30] (AB308528)

Immunohistochemical analysis of paraffin-embedded Mouse skeletal muscl tissue labelling SLC16A3/MCT 4 with ab308528 at 1/100 (5.1 ug/ml) followed by a ready to use LeicaDS9800 (Bond™ Polymer Refine Detection). Positive staining on mouse skeletal muscle (PMID : 18003750).The section was incubated with ab308528 for 30 mins at room temperature. The immunostaining was performed on a Leica Biosystems BOND® RX instrument Counterstained with Hematoxylin. Secondary antibody only control : Secondary antibody is a ready to use LeicaDS9800 (Bond™ Polymer Refine Detection). Heat mediated antigen retrieval was performed with Tris-EDTA buffer (pH 9.0, Epitope Retrieval Solution2) for 20 mins

Immunohistochemistry (Formalin/PFA-fixed paraffin-embedded sections) - Anti-SLC16A3/MCT 4 antibody [EPR28177-30] (AB308528)
  • IHC-P

Supplier Data

Immunohistochemistry (Formalin/PFA-fixed paraffin-embedded sections) - Anti-SLC16A3/MCT 4 antibody [EPR28177-30] (AB308528)

Immunohistochemical analysis of paraffin-embedded Mouse pancreatic tum tissue labelling SLC16A3/MCT 4 with ab308528 at 1/100 (5.1 ug/ml) followed by a ready to use LeicaDS9800 (Bond™ Polymer Refine Detection). Positive staining on mouse pancreatic cancer.The section was incubated with ab308528 for 30 mins at room temperature. The immunostaining was performed on a Leica Biosystems BOND® RX instrument Counterstained with Hematoxylin. Secondary antibody only control : Secondary antibody is a ready to use LeicaDS9800 (Bond™ Polymer Refine Detection). Heat mediated antigen retrieval was performed with Tris-EDTA buffer (pH 9.0, Epitope Retrieval Solution2) for 20 mins

Immunohistochemistry (Frozen sections) - Anti-SLC16A3/MCT 4 antibody [EPR28177-30] (AB308528)
  • IHC-Fr

Supplier Data

Immunohistochemistry (Frozen sections) - Anti-SLC16A3/MCT 4 antibody [EPR28177-30] (AB308528)

Immunohistochemical analysis of 4% PFA-fixed, 0.2% Triton X-100 permeabilized frozen Mouse skeletal muscle (fresh) tissue labeling SLC16A3/MCT 4 with ab308528 at 1/100 (5.1 ug/ml) dilution followed by ab150081 Goat Anti-Rabbit IgG H&L (Alexa Fluor® 488) preadsorbed at 1/1000 2 ug/mL dilution (Green). Confocal image showing positive staining on mouse skeletal muscle. The nuclear counterstain was DAPI (Blue). The section was incubated with ab308528 for 60 mins at room temperature. The section was then mounted using Fluoromount®.The immunostaining was performed on a Leica Biosystems BOND® RX instrument. Image was taken with a confocal microscope (Leica-Microsystems, TCS SP8). is observed. The nuclear counterstain was DAPI (Blue). Secondary antibody control : Secondary antibody is ab150081 Goat Anti-Rabbit IgG H&L (Alexa Fluor® 488) preadsorbed at 1/1000 2 ug/mL dilution.

Western blot - Anti-SLC16A3/MCT 4 antibody [EPR28177-30] (AB308528)
  • WB

Supplier Data

Western blot - Anti-SLC16A3/MCT 4 antibody [EPR28177-30] (AB308528)

Blocking and diluting buffer and concentration : 5% NFDM/TBST. Negative control : K-562 (PMID : 25957999). Low expression : MCF7 and T-47D (PMID : 35023320). Samples are non-boiled as boiling may cause protein aggregation. In Western blot, anti-GAPDH antibody (ab181602) loading control staining at 1/200000 dilution. Exposure time : 80 seconds.

All lanes:

Western blot - Anti-SLC16A3/MCT 4 antibody [EPR28177-30] (ab308528) at 1/1000 dilution

Lane 1:

HeLa (human cervical adenocarcinoma epithelial cell) whole cell lysate, at 20 µg

Lane 2:

PC-3 (human prostate adenocarcinoma epithelial cell) whole cell lysate at 20 µg

Lane 3:

MCF7 (human breast adenocarcinoma epithelial cell) whole cell lysate, at 20 µg

Lane 4:

K-562 (human chronic myelogenous leukemia lymphoblast) whole cell lysate at 20 µg

Lane 5:

T-47D (human ductal breast epithelial tumor epithelial cell), whole cell lysate at 20 µg

Lane 6:

HepG2 (human hepatocellular carcinoma epithelial cell), whole cell lysate at 20 µg

Secondary

All lanes:

Western blot - Goat Anti-Rabbit IgG H&L (HRP) (<a href='/en-us/products/secondary-antibodies/goat-rabbit-igg-h-l-hrp-ab97051'>ab97051</a>) at 1/100000 dilution

Predicted band size: 49 kDa

Observed band size: 43 kDa

false

Exposure time: 80s

Western blot - Anti-SLC16A3/MCT 4 antibody [EPR28177-30] (AB308528)
  • WB

Supplier Data

Western blot - Anti-SLC16A3/MCT 4 antibody [EPR28177-30] (AB308528)

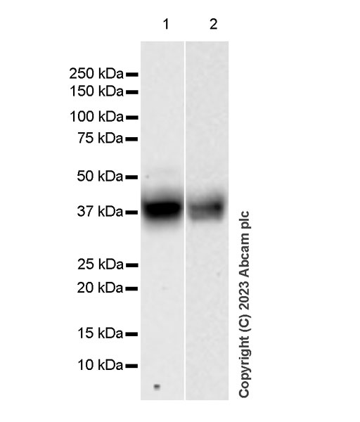
Blocking and diluting buffer and concentration : 5% NFDM/TBST. Samples are non-boiled as boiling may cause protein aggregation. Exposure times : Lane 1 : 103 seconds, Lane 2 : 180 seconds.

All lanes:

Western blot - Anti-SLC16A3/MCT 4 antibody [EPR28177-30] (ab308528) at 1/1000 dilution

Lane 1:

Mouse skeletal muscle tissue lysate at 20 µg

Lane 2:

Rat skeletal muscle tissue lysate at 20 µg

Secondary

All lanes:

Western blot - Goat Anti-Rabbit IgG H&L (HRP) (<a href='/en-us/products/secondary-antibodies/goat-rabbit-igg-h-l-hrp-ab97051'>ab97051</a>) at 1/100000 dilution

Predicted band size: 49 kDa

Observed band size: 43 kDa

false

  • Carrier free

    Anti-SLC16A3/MCT 4 antibody [EPR28177-30] - BSA and Azide free

  • 665 Alexa Fluor® 647

    Alexa Fluor® 647 Anti-SLC16A3/MCT 4 antibody [EPR28177-30]

  • 565 Alexa Fluor® 555

    Alexa Fluor® 555 Anti-SLC16A3/MCT 4 antibody [EPR28177-30]

Key facts

Host species

Rabbit

Clonality

Monoclonal

Clone number

EPR28177-30

Isotype

IgG

Carrier free

No

Reacts with

Human, Mouse, Rat

Applications

ICC/IF, WB, Flow Cyt (Intra), IHC-Fr, IHC-P

applications

Immunogen

The exact immunogen used to generate this antibody is proprietary information.

Reactivity data

{ "title": "Reactivity Data", "filters": { "stats": ["", "Species", "Dilution Info", "Notes"], "tabs": { "all-applications": {"fullname" : "All Applications", "shortname": "All Applications"}, "WB" : {"fullname" : "Western blot", "shortname":"WB"}, "IHCP" : {"fullname" : "Immunohistochemistry (Formalin/PFA-fixed paraffin-embedded sections)", "shortname":"IHC-P"}, "ICCIF" : {"fullname" : "Immunocytochemistry/ Immunofluorescence", "shortname":"ICC/IF"}, "FlowCytIntra" : {"fullname" : "Flow Cytometry (Intracellular)", "shortname":"Flow Cyt (Intra)"}, "IHCFr" : {"fullname" : "Immunohistochemistry (Frozen sections)", "shortname":"IHC-Fr"}, "IP" : {"fullname" : "Immunoprecipitation", "shortname":"IP"} }, "product-promise": { "all": "all", "testedAndGuaranteed": "tested", "guaranteed": "expected", "predicted": "predicted", "notRecommended": "not-recommended" } }, "values": { "Human": { "WB-species-checked": "testedAndGuaranteed", "WB-species-dilution-info": "1/1000", "WB-species-notes": "<p></p>", "IHCP-species-checked": "testedAndGuaranteed", "IHCP-species-dilution-info": "1/100", "IHCP-species-notes": "<p></p> Perform heat-mediated antigen retrieval with Tris/EDTA buffer pH 9.0 before commencing with IHC staining protocol.", "ICCIF-species-checked": "testedAndGuaranteed", "ICCIF-species-dilution-info": "1/100", "ICCIF-species-notes": "<p></p>", "FlowCytIntra-species-checked": "testedAndGuaranteed", "FlowCytIntra-species-dilution-info": "1/500", "FlowCytIntra-species-notes": "<p></p>", "IHCFr-species-checked": "guaranteed", "IHCFr-species-dilution-info": "", "IHCFr-species-notes": "", "IP-species-checked": "notRecommended", "IP-species-dilution-info": "", "IP-species-notes": "<p></p>" }, "Mouse": { "WB-species-checked": "testedAndGuaranteed", "WB-species-dilution-info": "1/1000", "WB-species-notes": "<p></p>", "IHCP-species-checked": "testedAndGuaranteed", "IHCP-species-dilution-info": "1/100", "IHCP-species-notes": "<p></p> Perform heat-mediated antigen retrieval with Tris/EDTA buffer pH 9.0 before commencing with IHC staining protocol.", "ICCIF-species-checked": "guaranteed", "ICCIF-species-dilution-info": "", "ICCIF-species-notes": "", "FlowCytIntra-species-checked": "guaranteed", "FlowCytIntra-species-dilution-info": "", "FlowCytIntra-species-notes": "", "IHCFr-species-checked": "testedAndGuaranteed", "IHCFr-species-dilution-info": "1/100", "IHCFr-species-notes": "<p></p>", "IP-species-checked": "notRecommended", "IP-species-dilution-info": "", "IP-species-notes": "<p></p>" }, "Rat": { "WB-species-checked": "testedAndGuaranteed", "WB-species-dilution-info": "1/1000", "WB-species-notes": "<p></p>", "IHCP-species-checked": "notRecommended", "IHCP-species-dilution-info": "", "IHCP-species-notes": "<p></p>", "ICCIF-species-checked": "guaranteed", "ICCIF-species-dilution-info": "", "ICCIF-species-notes": "", "FlowCytIntra-species-checked": "guaranteed", "FlowCytIntra-species-dilution-info": "", "FlowCytIntra-species-notes": "", "IHCFr-species-checked": "testedAndGuaranteed", "IHCFr-species-dilution-info": "1/100", "IHCFr-species-notes": "<p></p>", "IP-species-checked": "notRecommended", "IP-species-dilution-info": "", "IP-species-notes": "<p></p>" } } }

Product details

What is this antibody validated in?
Anti-SLC16A3/MCT 4 antibody [EPR28177-30] (ab308528) is a rabbit recombinant monoclonal antibody and is validated for use in Western Blot (WB), Flow Cytometry (Intra), Flow Cytometry (Flow Cyt), Immunohistochemistry (IHC-P), Immunohistochemistry (IHC-Fr), Immunocytochemistry/immunofluorescence (ICC/IF) in Human, Mouse, Rat samples.

What is the molecular weight of SLC16A3/MCT 4?
Anti-SLC16A3/MCT 4 [EPR28177-30] (ab308528) specifically detects a band for SLC16A3/MCT 4 (UniProt: O15427) at a molecular weight of 49kDa.

Trial sizes available!
Test your antibody or perform pre-screening before committing to a larger quantity. Sold in 10µl. Discover our selection of trial-size antibodies.

Other related products
We have a range of other formats of antibody clone [EPR28177-30] also available for your convenience: ab308528, Carrier free - ab308529, Alexa Fluor® 647 - ab323436, Alexa Fluor® 555 - ab323437

Patented technology
Our RabMAb® technology is a patented hybridoma-based technology for making rabbit monoclonal antibodies. For details on our patents, please refer to RabMAb® patents.

What are the advantages of a recombinant monoclonal antibody?
This product is a recombinant monoclonal antibody, which offers several advantages including:

  • - High batch-to-batch consistency and reproducibility
  • - Improved sensitivity and specificity
  • - Long-term security of supply
  • - Animal-free batch production

For more information, read more on recombinant antibodies.

Properties and storage information

Form
Liquid
Purification technique
Affinity purification Protein A
Storage buffer
pH: 7.2 - 7.4 Preservative: 0.01% Sodium azide Constituents: PBS, 40% Glycerol (glycerin, glycerine), 0.05% BSA
Shipped at conditions
Blue Ice
Appropriate short-term storage duration
1-2 weeks
Appropriate short-term storage conditions
+4°C
Appropriate long-term storage conditions
-20°C
Aliquoting information
Upon delivery aliquot
Storage information
Avoid freeze / thaw cycle

Supplementary information

This supplementary information is collated from multiple sources and compiled automatically.

SLC16A3 also known as MCT4 or MCT-4 is a member of the monocarboxylate transporter family. It is responsible for the transport of lactate and other monocarboxylates across cell membranes. Typically the molecular weight of MCT4 is approximately 45-50 kDa. This transporter is most abundant in tissues with high glycolytic activity including muscle and certain types of tumors where it facilitates the export of lactate produced during anaerobic metabolism to maintain intracellular pH balance and energy production efficiency.
Biological function summary

The transport function of SLC16A3/MCT4 is important for maintaining the energy equilibrium in cells that rely heavily on glycolysis. MCT4 does not function independently; it associates with ancillary proteins like CD147/Basigin which is essential for its correct localization to the plasma membrane. This association enhances the transport efficiency of lactate making MCT4 an important player in the lactate shuttle system a mechanism that allows for effective energy utilization in muscle fibers and tumor cells and significantly contributes to the regulation of the tissue microenvironment.

Pathways

SLC16A3/MCT4 plays a significant role in metabolic pathways particularly the glycolytic pathway by facilitating lactate efflux. The transporter is also implicated in the Cori cycle where lactate is shuttled from muscles to the liver for gluconeogenesis. Its functions overlap with those of other monocarboxylate transporters such as MCT1 which generally handles the import of lactate in oxidative tissues. Together these transporters maintain homeostasis of lactate levels in various tissues preventing lactate accumulation.

Alterations in SLC16A3/MCT4 expression or function are associated with cancer and anaerobic exercise intolerance. In cancer overexpression of MCT4 correlates with aggressive tumor behavior due to its role in lactate export aiding in the acidic tumor microenvironment development which favors cancer cell survival and invasion. Additionally interactions with proteins like CD147 are thought to modulate tumor progression. In exercise intolerance impaired lactate transport leads to muscle fatigue and reduced exercise capacity highlighting the critical role MCT4 plays in normal metabolic responses during intense physical activity.

Product protocols

For this product, it's our understanding that no specific protocols are required. You can visit:

Target data

Proton-dependent transporter of monocarboxylates such as L-lactate and pyruvate (PubMed : 11101640, PubMed : 23935841, PubMed : 31719150). Plays a predominant role in L-lactate efflux from highly glycolytic cells (By similarity).
See full target information SLC16A3

Publications (5)

Recent publications for all applications. Explore the full list and refine your search

Cell & bioscience 14:153 PubMed39709438

2024

SIRT6 deficiency impairs the deacetylation and ubiquitination of UHRF1 to strengthen glycolysis and lactate secretion in bladder cancer.

Applications

Unspecified application

Species

Unspecified reactive species

Xiaojing Wang,Peipei Zhang,Jiaqi Yan,Jingyi Huang,Yan Shen,Hongchao He,Hongjing Dou

Journal of cellular and molecular medicine 28:e70272 PubMed39656344

2024

Integrated Single-Cell and Spatial Transcriptome Reveal Metabolic Gene SLC16A3 as a Key Regulator of Immune Suppression in Hepatocellular Carcinoma.

Applications

Unspecified application

Species

Unspecified reactive species

Qianlong Kang,Xiaomeng Yin,Zhenru Wu,Aiping Zheng,Lusi Feng,Xuelei Ma,Li Li

The Journal of clinical investigation 134: PubMed39264847

2024

Lactate supports Treg function and immune balance via MGAT1 effects on N-glycosylation in the mitochondria.

Applications

Unspecified application

Species

Unspecified reactive species

Jinren Zhou,Jian Gu,Qufei Qian,Yigang Zhang,Tianning Huang,Xiangyu Li,Zhuoqun Liu,Qing Shao,Yuan Liang,Lei Qiao,Xiaozhang Xu,Qiuyang Chen,Zibo Xu,Yu Li,Ji Gao,Yufeng Pan,Yiming Wang,Roderick O'Connor,Keli L Hippen,Ling Lu,Bruce R Blazar

Advanced science (Weinheim, Baden-Wurttemberg, Germany) 11:e2305279 PubMed37968249

2023

CAFs Homologous Biomimetic Liposome Bearing BET Inhibitor and Pirfenidone Synergistically Promoting Antitumor Efficacy in Pancreatic Ductal Adenocarcinoma.

Applications

Unspecified application

Species

Unspecified reactive species

Yin Zhang,Ranran Yu,Cheng Zhao,Jiawei Liang,Yixuan Zhang,Haochen Su,Jing Zhao,Hao Wu,Shijin Xu,Ziying Zhang,Lei Wang,Xiaoping Zou,Yun Zhu,Shu Zhang,Ying Lv

Clinical and experimental pharmacology & physiology 50:954-963 PubMed37771072

2023

Monocarboxylate transporter 4 protects against myocardial ischemia/reperfusion injury by inducing oxidative phosphorylation/glycolysis interconversion and inhibiting oxidative stress.

Applications

Unspecified application

Species

Unspecified reactive species

Qiao Pan,Xiaobo Xie,Qingxia Yuan
View all publications

Product promise

We are committed to supporting your work with high-quality reagents, and we're here for you every step of the way. In the unlikely event that one of our products does not perform as expected, you're protected by our Product Promise.
For full details, please see our Terms & Conditions

Please note: All products are 'FOR RESEARCH USE ONLY. NOT FOR USE IN DIAGNOSTIC OR THERAPEUTIC PROCEDURES'.

For licensing inquiries, please contact partnerships@abcam.com