JavaScript is disabled in your browser. Please enable JavaScript to view this website.
AB237704

Anti-SLC1A5/ASCT2 antibody [CAL33]

  • BOND RX™ Validated
  • 20ul selling size
  • KO Validated
  • RabMAb
  • Recombinant
  • What is this?

Be the first to review this product! Submit a review

|

(34 Publications)

Anti-SLC1A5/ASCT2 antibody [CAL33] (ab237704) is a rabbit monoclonal antibody detecting SLC1A5/ASCT2 in Western Blot, Flow Cytometry (Intra), Flow Cytometry, IP, IHC-P, ICC/IF. Suitable for Human.

- KO validated for confirmed specificity
- Biophysical QC for unrivalled batch-batch consistency
- Over 20 publications

View Alternative Names

ASCT2, M7V1, RDR, RDRC, SLC1A5, Neutral amino acid transporter B(0), ATB(0), Baboon M7 virus receptor, RD114/simian type D retrovirus receptor, Sodium-dependent neutral amino acid transporter type 2, Solute carrier family 1 member 5

11 Images
Immunocytochemistry/ Immunofluorescence - Anti-SLC1A5/ASCT2 antibody [CAL33] (AB237704)
  • ICC/IF

Lab

Immunocytochemistry/ Immunofluorescence - Anti-SLC1A5/ASCT2 antibody [CAL33] (AB237704)

Immunofluorescent analysis of 100% methanol fixed Jurkat (human T cell leukemia T lymphocyte) cells labeling SLC1A5/ASCT2 with ab237704 at 1/50 dilution, followed by Goat Anti-Rabbit IgG H&L (Alexa Fluor® 488) (ab150077) secondary antibody at 1/1000 dilution (green). Confocal image showing membranous staining in Jurkat cells. The nuclear counter stain is DAPI (blue).
Counterstained with ab195889 Anti-alpha Tubulin antibody [DM1A] - Microtubule Marker (Alexa Fluor® 594) at a 1/200 dilution (red). The negative control is the secondary antibody only.

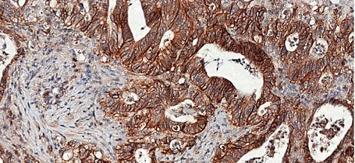
Immunohistochemistry (Formalin/PFA-fixed paraffin-embedded sections) - Anti-SLC1A5/ASCT2 antibody [CAL33] (AB237704)
  • IHC-P

Supplier Data

Immunohistochemistry (Formalin/PFA-fixed paraffin-embedded sections) - Anti-SLC1A5/ASCT2 antibody [CAL33] (AB237704)

Formalin-fixed, paraffin-embedded human colon carcinoma tissue stained for SLC1A5/ASCT2 using ab237704 at 0.5 μg/ml in immunohistochemical analysis.

Immunohistochemistry (Formalin/PFA-fixed paraffin-embedded sections) - Anti-SLC1A5/ASCT2 antibody [CAL33] (AB237704)
  • IHC-P

Lab

Immunohistochemistry (Formalin/PFA-fixed paraffin-embedded sections) - Anti-SLC1A5/ASCT2 antibody [CAL33] (AB237704)

Immunohistochemical analysis of paraffin-embedded human lung carcinoma tissue labeling SLC1A5/ASCT2 with ab237704 at 1/1600 dilution, followed by a ready to use Goat Anti-Rabbit IgG H&L (HRP). Mainly membranous staining on the human lung carcinoma is observed. The section was incubated with ab237704 for 15 mins at room temperature. The immunostaining was performed on a Leica Biosystems BOND® RX instrument. Counterstained with hematoxylin. Secondary antibody only control : Used PBS instead of primary antibody, secondary antibody is a ready to use Goat Anti-Rabbit IgG H&L (HRP). Perform heat mediated antigen retrieval with Tris-EDTA buffer (pH 9.0, epitope retrieval solution 2) for 20 mins.

Immunohistochemistry (Formalin/PFA-fixed paraffin-embedded sections) - Anti-SLC1A5/ASCT2 antibody [CAL33] (AB237704)
  • IHC-P

Lab

Immunohistochemistry (Formalin/PFA-fixed paraffin-embedded sections) - Anti-SLC1A5/ASCT2 antibody [CAL33] (AB237704)

Immunohistochemical analysis of paraffin-embedded human colon carcinoma tissue labeling SLC1A5/ASCT2 with ab237704 at 1/1600 dilution, followed by a ready to use Goat Anti-Rabbit IgG H&L (HRP). Mainly membranous staining on the human colon carcinoma is observed. The section was incubated with ab237704 for 15 mins at room temperature. The immunostaining was performed on a Leica Biosystems BOND® RX instrument. Counterstained with hematoxylin. Secondary antibody only control : Used PBS instead of primary antibody, secondary antibody is a ready to use Goat Anti-Rabbit IgG H&L (HRP). Perform heat mediated antigen retrieval with Tris-EDTA buffer (pH 9.0, epitope retrieval solution 2) for 20 mins.

Immunocytochemistry/ Immunofluorescence - Anti-SLC1A5/ASCT2 antibody [CAL33] (AB237704)
  • ICC/IF

Lab

Immunocytochemistry/ Immunofluorescence - Anti-SLC1A5/ASCT2 antibody [CAL33] (AB237704)

Immunofluorescent analysis of 100% methanol fixed HeLa (human cervix adenocarcinoma epithelial cell) cells labeling SLC1A5/ASCT2 with ab237704 at 1/50 dilution, followed by Goat Anti-Rabbit IgG H&L (Alexa Fluor® 488) (ab150077) secondary antibody at 1/1000 dilution (green). Confocal image showing membranous staining in HeLa cells. The nuclear counter stain is DAPI (blue).
Counterstained with ab195889 Anti-alpha Tubulin antibody [DM1A] - Microtubule Marker (Alexa Fluor® 594) at a 1/200 dilution (red). The negative control is the secondary antibody only.

Flow Cytometry (Intracellular) - Anti-SLC1A5/ASCT2 antibody [CAL33] (AB237704)
  • Flow Cyt (Intra)

Lab

Flow Cytometry (Intracellular) - Anti-SLC1A5/ASCT2 antibody [CAL33] (AB237704)

Intracellular flow cytometric analysis of 4% paraformaldehyde-fixed, 90% methanol permeabilized Jurkat (human T cell leukemia T lymphocyte) cell line labeling SLC1A5/ASCT2 with ab237704 at 1/40 (red) compared with a Rabbit monoclonal IgG (ab172730) (black) and an unlabeled control (cells without incubation with primary antibody and secondary antibody) (blue). Goat anti rabbit IgG (Alexa Fluor® 488, ab150077), at 1/2000 dilution was used as the secondary antibody.

Flow Cytometry (Intracellular) - Anti-SLC1A5/ASCT2 antibody [CAL33] (AB237704)
  • Flow Cyt (Intra)

Lab

Flow Cytometry (Intracellular) - Anti-SLC1A5/ASCT2 antibody [CAL33] (AB237704)

Intracellular flow cytometric analysis of 4% paraformaldehyde-fixed, 90% methanol permeabilized HeLa (human cervix adenocarcinoma epithelial cell) cell line labeling SLC1A5/ASCT2 with ab237704 at 1/400 (red) compared with a Rabbit monoclonal IgG (ab172730) (black) and an unlabeled control (cells without incubation with primary antibody and secondary antibody) (blue). Goat anti rabbit IgG (Alexa Fluor® 488, ab150077), at 1/2000 dilution was used as the secondary antibody.

Immunocytochemistry/ Immunofluorescence - Anti-SLC1A5/ASCT2 antibody [CAL33] (AB237704)
  • ICC/IF

Collaborator

Immunocytochemistry/ Immunofluorescence - Anti-SLC1A5/ASCT2 antibody [CAL33] (AB237704)

HCT116 WT, SLC1A5 KO were labelled with a green dye. SLC1A5 KOOE cells were labelled with a green and a red dye. SLC1A5 expression was induced with doxycycline in KOOE cells. WT and KO cells were stained with ab237704 and with Alexa-fluor 594 coupled secondary antibody. KOOE cells were stained with : i) ab237704 and with Alexa-fluor 594 coupled secondary antibody; ii) anti-HA-Tag antibody and with Alexa-fluor 488 antibody. Acquisition of the green (HA-Tag in KOOE) and red (antibody staining in WT, KO and KOOE) channels was performed. Representative images of the green and red channel are shown. Antibodies used and tested dilutions are as follows : ab237704 at 1/50, 1/100 and 1/500.

This image was provided, with thanks, by RESOLUTE (re-solute.eu)

Immunoprecipitation - Anti-SLC1A5/ASCT2 antibody [CAL33] (AB237704)
  • IP

Lab

Immunoprecipitation - Anti-SLC1A5/ASCT2 antibody [CAL33] (AB237704)

SLC1A5/ASCT2 was immunoprecipitated from 0.35 mg Jurkat (human T cell leukemia T lymphocyte) whole cell lysate with ab237704 at 1/30 dilution. Western blot was performed from the immunoprecipitate using ab237704 at 1/1000 dilution. VeriBlot for IP Detection Reagent (HRP) (ab131366), was used at 1/5000 dilution.

Lane 1 : Jurkat whole cell lysate 10 μg (Input).
Lane 2 : ab237704 IP in Jurkat whole cell lysate.
Lane 3 : Rabbit monoclonal IgG (ab172730) instead of ab237704 in Jurkat whole cell lysate.

Blocking/Dilution buffer : 5% NFDM/TBST.

ASCT2 (SLC1A5) can form dimers or trimers based on literature. (PMID : 23756778).

All lanes:

Immunoprecipitation - Anti-SLC1A5/ASCT2 antibody [CAL33] (ab237704) at 1/30 dilution

Predicted band size: 56 kDa

false

Exposure time: 3s

Immunoprecipitation - Anti-SLC1A5/ASCT2 antibody [CAL33] (AB237704)
  • IP

Lab

Immunoprecipitation - Anti-SLC1A5/ASCT2 antibody [CAL33] (AB237704)

SLC1A5/ASCT2 was immunoprecipitated from 0.35 mg HeLa (human cervix adenocarcinoma epithelial cell) whole cell lysate with ab237704 at 1/30 dilution. Western blot was performed from the immunoprecipitate using ab237704 at 1/1000 dilution. VeriBlot for IP Detection Reagent (HRP) (ab131366), was used at 1/5000 dilution.

Lane 1 : HeLa whole cell lysate 10 μg (Input).
Lane 2 : ab237704 IP in HeLa whole cell lysate.
Lane 3 : Rabbit monoclonal IgG (ab172730) instead of ab237704 in HeLa whole cell lysate.

Blocking/Dilution buffer : 5% NFDM/TBST.

ASCT2 (SLC1A5) can form dimers or trimers based on literature. (PMID : 23756778).

All lanes:

Immunoprecipitation - Anti-SLC1A5/ASCT2 antibody [CAL33] (ab237704) at 1/30 dilution

Predicted band size: 56 kDa

false

Exposure time: 1s

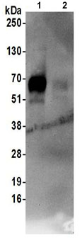
Western blot - Anti-SLC1A5/ASCT2 antibody [CAL33] (AB237704)
  • WB

Lab

Western blot - Anti-SLC1A5/ASCT2 antibody [CAL33] (AB237704)

Blocking and diluting buffer and concentration : 5% NFDM/TBST.

Exposure time :
Lane 1 : 80 seconds
Lane 2 : 40 seconds

An extra band around 50 kDa might be observed. We are not sure how to define it.

All lanes:

Western blot - Anti-SLC1A5/ASCT2 antibody [CAL33] (ab237704) at 1/1000 dilution

Lane 1:

HeLa (human cervix adenocarcinoma epithelial cell) whole lysate at 15 µg

Lane 2:

293T (Human embryonic kidney epithelial cell) whole lysate at 15 µg

Secondary

All lanes:

Western blot - Goat Anti-Rabbit IgG H&L (HRP) (<a href='/en-us/products/secondary-antibodies/goat-rabbit-igg-h-l-hrp-ab97051'>ab97051</a>) at 1/20000 dilution

Observed band size: 75 kDa

false

  • Carrier free

    Anti-SLC1A5/ASCT2 antibody [CAL33] - BSA and Azide free

Key facts

Host species

Rabbit

Clonality

Monoclonal

Clone number

CAL33

Isotype

IgG

Carrier free

No

Reacts with

Human

Applications

Flow Cyt (Intra), ICC/IF, IHC-P, IP, WB

applications

Immunogen

The exact immunogen used to generate this antibody is proprietary information.

Reactivity data

{ "title": "Reactivity Data", "filters": { "stats": ["", "Species", "Dilution Info", "Notes"], "tabs": { "all-applications": {"fullname" : "All Applications", "shortname": "All Applications"}, "IP" : {"fullname" : "Immunoprecipitation", "shortname":"IP"}, "WB" : {"fullname" : "Western blot", "shortname":"WB"}, "ICCIF" : {"fullname" : "Immunocytochemistry/ Immunofluorescence", "shortname":"ICC/IF"}, "FlowCytIntra" : {"fullname" : "Flow Cytometry (Intracellular)", "shortname":"Flow Cyt (Intra)"}, "IHCP" : {"fullname" : "Immunohistochemistry (Formalin/PFA-fixed paraffin-embedded sections)", "shortname":"IHC-P"} }, "product-promise": { "all": "all", "testedAndGuaranteed": "tested", "guaranteed": "expected", "predicted": "predicted", "notRecommended": "not-recommended" } }, "values": { "Human": { "IP-species-checked": "testedAndGuaranteed", "IP-species-dilution-info": "1/30", "IP-species-notes": "<p></p>", "WB-species-checked": "testedAndGuaranteed", "WB-species-dilution-info": "1/1000", "WB-species-notes": "<p></p>", "ICCIF-species-checked": "testedAndGuaranteed", "ICCIF-species-dilution-info": "1/50", "ICCIF-species-notes": "<p></p>", "FlowCytIntra-species-checked": "testedAndGuaranteed", "FlowCytIntra-species-dilution-info": "1/40", "FlowCytIntra-species-notes": "<p></p>", "IHCP-species-checked": "testedAndGuaranteed", "IHCP-species-dilution-info": "1/1600", "IHCP-species-notes": "<p></p>" } } }

Product details

What is this antibody validated in?
Anti-SLC1A5/ASCT2 antibody [CAL33] (ab237704) is a rabbit recombinant monoclonal antibody and is validated for use in Western Blot (WB), Flow Cytometry (Intra), Flow Cytometry (Flow Cyt), Immunoprecipitation (IP), Immunohistochemistry (IHC-P), Immunocytochemistry/immunofluorescence (ICC/IF) in Human samples.

What is the molecular weight of SLC1A5/ASCT2?
Anti-SLC1A5/ASCT2 [CAL33] (ab237704) specifically detects a band for SLC1A5/ASCT2 (UniProt: Q15758) at a molecular weight of 56kDa.

Trusted by the scientific community
Anti-SLC1A5/ASCT2 [CAL33] (ab237704) was first used in a scientific publication in 2018 and has been cited over 20 times in peer-reviewed journals.

Trial sizes available!
Test your antibody or perform pre-screening before committing to a larger quantity. Sold in 20µl. Discover our selection of trial-size antibodies.

Specificity confirmed
The specificity of Anti-SLC1A5/ASCT2 antibody [CAL33] (ab237704) has been confirmed by Immunocytochemistry/ Immunofluorescence testing in SLC1A5 Knockout HCT 116 cells.

Other related products
We have a range of other formats of antibody clone [CAL33] also available for your convenience: ab237704, Carrier free - ab251591

Properties and storage information

Form
Liquid
Purification technique
Affinity purification Protein A
Purification notes
Purity is greater than 99%.
Storage buffer
pH: 7.2 - 7.4 Preservative: 0.05% Sodium azide Constituents: PBS
Shipped at conditions
Blue Ice
Appropriate short-term storage duration
1-2 weeks
Appropriate short-term storage conditions
+4°C
Appropriate long-term storage conditions
-20°C
Aliquoting information
Upon delivery aliquot
Storage information
Avoid freeze / thaw cycle

Supplementary information

This supplementary information is collated from multiple sources and compiled automatically.

The SLC1A5 protein also known as ASCT2 is a sodium-dependent neutral amino acid transporter with a molecular mass of approximately 56 kDa. It plays an important role in the transport of amino acids such as glutamine across the plasma membrane. This transporter is widely expressed in multiple tissues including the liver brain and kidneys. ASCT2 is integral in maintaining amino acid balance within cells facilitating nutrient uptake essential for cellular metabolism and function.
Biological function summary

The SLC1A5 protein contributes to cellular processes by facilitating the uptake of neutral amino acids. ASCT2 operates as a part of a complex of transporters that ensure the supply of critical nutrients within cells impacting metabolic processes like protein synthesis and cell growth. Its function supports the dynamic needs of rapidly growing tissues and is especially active in conditions demanding high amino acid turnover.

Pathways

The activity of SLC1A5/ASCT2 is important in amino acid transport pathways particularly influencing the mTOR signaling which plays a significant role in cell growth and metabolic regulation. SLC1A5/ASCT2 interaction with proteins like LAT1 strengthens its involvement in these pathways. These interactions outline a network of nutrient sensing and metabolic control important for cellular proliferation and homeostasis.

SLC1A5/ASCT2 shows a significant connection to cancer as many cancer cells exploit its role in glutamine transport to fuel their rapid growth and survival. Additionally its involvement is noted in metabolic disorders where dysregulated amino acid transport can lead to imbalances in cellular metabolism. SLC1A5/ASCT2 has potential interactions with proteins like glutaminase which are often upregulated in oncogenic pathways highlighting its importance as a target for therapeutic interventions.

Product protocols

For this product, it's our understanding that no specific protocols are required. You can visit:

Target data

Sodium-coupled antiporter of neutral amino acids. In a tri-substrate transport cycle, exchanges neutral amino acids between the extracellular and intracellular compartments, coupled to the inward cotransport of at least one sodium ion (PubMed : 17094966, PubMed : 23756778, PubMed : 26492990, PubMed : 29872227, PubMed : 34741534, PubMed : 8702519). The preferred substrate is the essential amino acid L-glutamine, a precursor for biosynthesis of proteins, nucleotides and amine sugars as well as an alternative fuel for mitochondrial oxidative phosphorylation. Exchanges L-glutamine with other neutral amino acids such as L-serine, L-threonine and L-asparagine in a bidirectional way. Provides L-glutamine to proliferating stem and activated cells driving the metabolic switch toward cell differentiation (PubMed : 23756778, PubMed : 24953180). The transport cycle is usually pH-independent, with the exception of L-glutamate. Transports extracellular L-glutamate coupled to the cotransport of one proton and one sodium ion in exchange for intracellular L-glutamine counter-ion. May provide for L-glutamate uptake in glial cells regulating glutamine/glutamate cycle in the nervous system (PubMed : 32733894). Can transport D-amino acids. Mediates D-serine release from the retinal glia potentially affecting NMDA receptor function in retinal neurons (PubMed : 17094966). Displays sodium- and amino acid-dependent but uncoupled channel-like anion conductance with a preference SCN(-) >> NO3(-) > I(-) > Cl(-) (By similarity). Through binding of the fusogenic protein syncytin-1/ERVW-1 may mediate trophoblasts syncytialization, the spontaneous fusion of their plasma membranes, an essential process in placental development (PubMed : 10708449, PubMed : 23492904).. (Microbial infection) Acts as a cell surface receptor for Feline endogenous virus RD114.. (Microbial infection) Acts as a cell surface receptor for Baboon M7 endogenous virus.. (Microbial infection) Acts as a cell surface receptor for type D simian retroviruses.
See full target information SLC1A5

Publications (34)

Recent publications for all applications. Explore the full list and refine your search

The Journal of clinical investigation 135: PubMed41031878

2025

Targeting specific kinase substrates rescues increased colitis severity induced by the Crohn's disease-linked LRRK2-N2081D variant.

Applications

Unspecified application

Species

Unspecified reactive species

George R Heaton,Xingjian Li,Xianting Li,Xiaoting Zhou,Yuanxi Zhang,Duc Tung Vu,Marc Oeller,Ozge Karayel,Quyen Q Hoang,Meltem Ece Kars,Nitika Kamath,Minghui Wang,Leonid Tarassishin,Matthias Mann,Inga Peter,Zhenyu Yue

Science advances 11:eadw6926 PubMed40845109

2025

Liver regeneration-associated hepatocellular YAP1 activation prevents colorectal cancer liver metastasis through glutamine competition.

Applications

Unspecified application

Species

Unspecified reactive species

Qiang Yu,Mincheng Yu,Peiyi Xie,Lei Guo,Yufei Zhao,Wenxin Xu,Xian Li,Mengyuan Wu,Zihao Zhang,Zheng Chen,Yongsheng Xiao,Jian Zhou,Jia Fan,Mien-Chie Hung,Yongfeng Xu,Bo Zhang,Qinghai Ye,Hui Li

Science advances 11:eadv2417 PubMed40532011

2025

The RNA demethylase FTO promotes glutamine metabolism in clear cell renal cell carcinoma through the regulation of SLC1A5.

Applications

Unspecified application

Species

Unspecified reactive species

Man Zhao,Dalin Zhang,Haowen Jiang,Nishanth Kuganesan,Suchitra Natarajan,Leighton Pu,Kaushik N Thakkar,Hongjuan Zhao,Quynh Thu Le,Amato J Giaccia,James D Brooks,Donna M Peehl,Jiangbin Ye,Erinn B Rankin

Cancer cell international 25:122 PubMed40158101

2025

The m6A reader IGF2BP2 promotes pancreatic cancer progression through the m6A-SLC1A5-mTORC1 axis.

Applications

Unspecified application

Species

Unspecified reactive species

Xi Pu,Yuting Wu,Weiguo Long,Xinyu Sun,Xiao Yuan,Deqiang Wang,Xu Wang,Min Xu

Cell & bioscience 14:109 PubMed39210450

2024

MST1R-targeted therapy in the battle against gallbladder cancer.

Applications

Unspecified application

Species

Unspecified reactive species

Wei Wang,Chao Huang,Li Zhang,Liqin Yu,Yangming Liu,Puxiongzhi Wang,Rongmu Xia

The Tohoku journal of experimental medicine 264:31-39 PubMed38866531

2024

HJURP Derived from Cancer-Associated Fibroblasts Promotes Glutamine Metabolism to Induce Resistance to Doxorubicin in Ovarian Cancer.

Applications

Unspecified application

Species

Unspecified reactive species

Yanfang Lan,Hao Xu,Lanying Jin

SLAS discovery : advancing life sciences R & D 29:100166 PubMed38848895

2024

Development of a live cell assay for the zinc transporter ZnT8.

Applications

Unspecified application

Species

Unspecified reactive species

Lucia Azzollini,Dolores Del Prete,Gernot Wolf,Christoph Klimek,Mattia Saggioro,Fernanda Ricci,Eirini Christodoulaki,Tabea Wiedmer,Alvaro Ingles-Prieto,Giulio Superti-Furga,Lia Scarabottolo

Oncology letters 27:263 PubMed38646500

2024

Tumor‑suppressive effects of Smad‑ubiquitination regulator 2 in papillary thyroid carcinoma.

Applications

Unspecified application

Species

Unspecified reactive species

Guirong Luo,Liting Zhang,Lihong Zhang,Wenyi Wu,Jianqing Lin,Haihong Shi,Yihuang Yu,Weigang Qiu,Jinyan Chen,Hansen Ding,Xinyao Chen

Thoracic cancer 15:764-777 PubMed38400818

2024

CircCPA4 induces ASCT2 expression to promote tumor property of non-small cell lung cancer cells in a miR-145-5p-dependent manner.

Applications

Unspecified application

Species

Unspecified reactive species

Zhenhua Zhang,Weiliang Liu,Tao Huang,Junyan Li,Hui Hu,Xinyu Xu,Zhigang Fan

Cancers 15: PubMed37894450

2023

A Novel ASCT2 Inhibitor, C118P, Blocks Glutamine Transport and Exhibits Antitumour Efficacy in Breast Cancer.

Applications

Unspecified application

Species

Unspecified reactive species

Xiao-Dan Lyu,Yang Liu,Jia Wang,Yuan-Cheng Wei,Yi Han,Xue Li,Qian Zhang,Zheng-Rui Liu,Zheng-Zheng Li,Jing-Wei Jiang,Hao-Lin Hu,Sheng-Tao Yuan,Li Sun
View all publications

Product promise

We are committed to supporting your work with high-quality reagents, and we're here for you every step of the way. In the unlikely event that one of our products does not perform as expected, you're protected by our Product Promise.
For full details, please see our Terms & Conditions

Please note: All products are 'FOR RESEARCH USE ONLY. NOT FOR USE IN DIAGNOSTIC OR THERAPEUTIC PROCEDURES'.

For licensing inquiries, please contact partnerships@abcam.com