JavaScript is disabled in your browser. Please enable JavaScript to view this website.
AB251591

Anti-SLC1A5/ASCT2 antibody [CAL33] - BSA and Azide free

  • BOND RX™ Validated
  • RabMAb
  • KO Validated
  • Recombinant
  • What is this?

0

(1 Review)

|

(2 Publications)

Rabbit Recombinant Monoclonal SLC1A5/ASCT2 antibody. Carrier free. Suitable for IP, WB, ICC/IF, Flow Cyt (Intra), IHC-P and reacts with Human samples. Cited in 2 publications.

View Alternative Names

ASCT2, M7V1, RDR, RDRC, SLC1A5, Neutral amino acid transporter B(0), ATB(0), Baboon M7 virus receptor, RD114/simian type D retrovirus receptor, Sodium-dependent neutral amino acid transporter type 2, Solute carrier family 1 member 5

10 Images
Immunocytochemistry/ Immunofluorescence - Anti-SLC1A5/ASCT2 antibody [CAL33] - BSA and Azide free (AB251591)
  • ICC/IF

Lab

Immunocytochemistry/ Immunofluorescence - Anti-SLC1A5/ASCT2 antibody [CAL33] - BSA and Azide free (AB251591)

Immunofluorescent analysis of 100% methanol fixed Jurkat (human T cell leukemia T lymphocyte) cells labeling SLC1A5/ASCT2 with ab237704 at 1/50 dilution, followed by Goat Anti-Rabbit IgG H&L (Alexa Fluor® 488) (ab150077) secondary antibody at 1/1000 dilution (green). Confocal image showing membranous staining in Jurkat cells. The nuclear counter stain is DAPI (blue).
Counterstained with ab195889 Anti-alpha Tubulin antibody [DM1A] - Microtubule Marker (Alexa Fluor® 594) at a 1/200 dilution (red). The negative control is the secondary antibody only.

This data was developed using the same antibody clone in a different buffer formulation containing PBS and sodium azide (ab237704).

Immunohistochemistry (Formalin/PFA-fixed paraffin-embedded sections) - Anti-SLC1A5/ASCT2 antibody [CAL33] - BSA and Azide free (AB251591)
  • IHC-P

Supplier Data

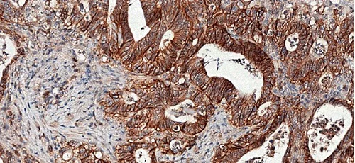
Immunohistochemistry (Formalin/PFA-fixed paraffin-embedded sections) - Anti-SLC1A5/ASCT2 antibody [CAL33] - BSA and Azide free (AB251591)

Formalin-fixed, paraffin-embedded human colon carcinoma tissue stained for SLC1A5/ASCT2 using ab237704 at 0.5 μg/ml in immunohistochemical analysis.

This data was developed using the same antibody clone in a different buffer formulation containing PBS and sodium azide (ab237704).

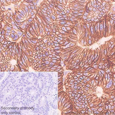
Immunohistochemistry (Formalin/PFA-fixed paraffin-embedded sections) - Anti-SLC1A5/ASCT2 antibody [CAL33] - BSA and Azide free (AB251591)
  • IHC-P

Lab

Immunohistochemistry (Formalin/PFA-fixed paraffin-embedded sections) - Anti-SLC1A5/ASCT2 antibody [CAL33] - BSA and Azide free (AB251591)

Immunohistochemical analysis of paraffin-embedded human lung carcinoma tissue labeling SLC1A5/ASCT2 with ab237704 at 1/1600 dilution, followed by a ready to use Goat Anti-Rabbit IgG H&L (HRP). Mainly membranous staining on the human lung carcinoma is observed. The section was incubated with ab237704 for 15 mins at room temperature. The immunostaining was performed on a Leica Biosystems BOND® RX instrument. Counterstained with hematoxylin. Secondary antibody only control : Used PBS instead of primary antibody, secondary antibody is a ready to use Goat Anti-Rabbit IgG H&L (HRP). Perform heat mediated antigen retrieval with Tris-EDTA buffer (pH 9.0, epitope retrieval solution 2) for 20 mins.

This data was developed using the same antibody clone in a different buffer formulation containing PBS and sodium azide (ab237704).

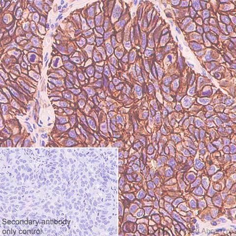
Immunohistochemistry (Formalin/PFA-fixed paraffin-embedded sections) - Anti-SLC1A5/ASCT2 antibody [CAL33] - BSA and Azide free (AB251591)
  • IHC-P

Lab

Immunohistochemistry (Formalin/PFA-fixed paraffin-embedded sections) - Anti-SLC1A5/ASCT2 antibody [CAL33] - BSA and Azide free (AB251591)

Immunohistochemical analysis of paraffin-embedded human colon carcinoma tissue labeling SLC1A5/ASCT2 with ab237704 at 1/1600 dilution, followed by a ready to use Goat Anti-Rabbit IgG H&L (HRP). Mainly membranous staining on the human colon carcinoma is observed. The section was incubated with ab237704 for 15 mins at room temperature. The immunostaining was performed on a Leica Biosystems BOND® RX instrument. Counterstained with hematoxylin. Secondary antibody only control : Used PBS instead of primary antibody, secondary antibody is a ready to use Goat Anti-Rabbit IgG H&L (HRP). Perform heat mediated antigen retrieval with Tris-EDTA buffer (pH 9.0, epitope retrieval solution 2) for 20 mins.

This data was developed using the same antibody clone in a different buffer formulation containing PBS and sodium azide (ab237704).

Immunocytochemistry/ Immunofluorescence - Anti-SLC1A5/ASCT2 antibody [CAL33] - BSA and Azide free (AB251591)
  • ICC/IF

Lab

Immunocytochemistry/ Immunofluorescence - Anti-SLC1A5/ASCT2 antibody [CAL33] - BSA and Azide free (AB251591)

Immunofluorescent analysis of 100% methanol fixed HeLa (human cervix adenocarcinoma epithelial cell) cells labeling SLC1A5/ASCT2 with ab237704 at 1/50 dilution, followed by Goat Anti-Rabbit IgG H&L (Alexa Fluor® 488) (ab150077) secondary antibody at 1/1000 dilution (green). Confocal image showing membranous staining in HeLa cells. The nuclear counter stain is DAPI (blue).
Counterstained with ab195889 Anti-alpha Tubulin antibody [DM1A] - Microtubule Marker (Alexa Fluor® 594) at a 1/200 dilution (red). The negative control is the secondary antibody only.

This data was developed using the same antibody clone in a different buffer formulation containing PBS and sodium azide (ab237704).

Flow Cytometry (Intracellular) - Anti-SLC1A5/ASCT2 antibody [CAL33] - BSA and Azide free (AB251591)
  • Flow Cyt (Intra)

Lab

Flow Cytometry (Intracellular) - Anti-SLC1A5/ASCT2 antibody [CAL33] - BSA and Azide free (AB251591)

Intracellular flow cytometric analysis of 4% paraformaldehyde-fixed, 90% methanol permeabilized Jurkat (human T cell leukemia T lymphocyte) cell line labeling SLC1A5/ASCT2 with ab237704 at 1/40 (red) compared with a Rabbit monoclonal IgG (ab172730) (black) and an unlabeled control (cells without incubation with primary antibody and secondary antibody) (blue). Goat anti rabbit IgG (Alexa Fluor® 488, ab150077), at 1/2000 dilution was used as the secondary antibody.

This data was developed using the same antibody clone in a different buffer formulation containing PBS and sodium azide (ab237704).

Flow Cytometry (Intracellular) - Anti-SLC1A5/ASCT2 antibody [CAL33] - BSA and Azide free (AB251591)
  • Flow Cyt (Intra)

Lab

Flow Cytometry (Intracellular) - Anti-SLC1A5/ASCT2 antibody [CAL33] - BSA and Azide free (AB251591)

Intracellular flow cytometric analysis of 4% paraformaldehyde-fixed, 90% methanol permeabilized HeLa (human cervix adenocarcinoma epithelial cell) cell line labeling SLC1A5/ASCT2 with ab237704 at 1/400 (red) compared with a Rabbit monoclonal IgG (ab172730) (black) and an unlabeled control (cells without incubation with primary antibody and secondary antibody) (blue). Goat anti rabbit IgG (Alexa Fluor® 488, ab150077), at 1/2000 dilution was used as the secondary antibody.

This data was developed using the same antibody clone in a different buffer formulation containing PBS and sodium azide (ab237704).

Immunoprecipitation - Anti-SLC1A5/ASCT2 antibody [CAL33] - BSA and Azide free (AB251591)
  • IP

Lab

Immunoprecipitation - Anti-SLC1A5/ASCT2 antibody [CAL33] - BSA and Azide free (AB251591)

SLC1A5/ASCT2 was immunoprecipitated from 0.35 mg Jurkat (human T cell leukemia T lymphocyte) whole cell lysate with ab237704 at 1/30 dilution. Western blot was performed from the immunoprecipitate using ab237704 at 1/1000 dilution. VeriBlot for IP Detection Reagent (HRP) (ab131366), was used at 1/5000 dilution.

Lane 1 : Jurkat whole cell lysate 10 μg (Input).
Lane 2 : ab237704 IP in Jurkat whole cell lysate.
Lane 3 : Rabbit monoclonal IgG (ab172730) instead of ab237704 in Jurkat whole cell lysate.

Blocking/Dilution buffer : 5% NFDM/TBST.

ASCT2 (SLC1A5) can form dimers or trimers based on literature. (PMID : 23756778).

This data was developed using the same antibody clone in a different buffer formulation containing PBS and sodium azide (ab237704).

All lanes:

Immunoprecipitation - Anti-SLC1A5/ASCT2 antibody [CAL33] (<a href='/en-us/products/primary-antibodies/slc1a5-asct2-antibody-cal33-ab237704'>ab237704</a>) at 1/30 dilution

Predicted band size: 56 kDa

false

Exposure time: 3s

Immunoprecipitation - Anti-SLC1A5/ASCT2 antibody [CAL33] - BSA and Azide free (AB251591)
  • IP

Lab

Immunoprecipitation - Anti-SLC1A5/ASCT2 antibody [CAL33] - BSA and Azide free (AB251591)

SLC1A5/ASCT2 was immunoprecipitated from 0.35 mg HeLa (human cervix adenocarcinoma epithelial cell) whole cell lysate with ab237704 at 1/30 dilution. Western blot was performed from the immunoprecipitate using ab237704 at 1/1000 dilution. VeriBlot for IP Detection Reagent (HRP) (ab131366), was used at 1/5000 dilution.

Lane 1 : HeLa whole cell lysate 10 μg (Input).
Lane 2 : ab237704 IP in HeLa whole cell lysate.
Lane 3 : Rabbit monoclonal IgG (ab172730) instead of ab237704 in HeLa whole cell lysate.

Blocking/Dilution buffer : 5% NFDM/TBST.

ASCT2 (SLC1A5) can form dimers or trimers based on literature. (PMID : 23756778).

This data was developed using the same antibody clone in a different buffer formulation containing PBS and sodium azide (ab237704).

All lanes:

Immunoprecipitation - Anti-SLC1A5/ASCT2 antibody [CAL33] (<a href='/en-us/products/primary-antibodies/slc1a5-asct2-antibody-cal33-ab237704'>ab237704</a>) at 1/30 dilution

Predicted band size: 56 kDa

false

Exposure time: 1s

Western blot - Anti-SLC1A5/ASCT2 antibody [CAL33] - BSA and Azide free (AB251591)
  • WB

Lab

Western blot - Anti-SLC1A5/ASCT2 antibody [CAL33] - BSA and Azide free (AB251591)

This data was developed using the same antibody clone in a different buffer formulation containing PBS and sodium azide (ab237704).

Blocking and diluting buffer and concentration : 5% NFDM/TBST.

Exposure time :
Lane 1 : 80 seconds
Lane 2 : 40 seconds

An extra band around 50 kDa might be observed. We are not sure how to define it.

All lanes:

Western blot - Anti-SLC1A5/ASCT2 antibody [CAL33] (<a href='/en-us/products/primary-antibodies/slc1a5-asct2-antibody-cal33-ab237704'>ab237704</a>) at 1/1000 dilution

Lane 1:

HeLa (human cervix adenocarcinoma epithelial cell) whole lysate at 15 µg

Lane 2:

293T (Human embryonic kidney epithelial cell) whole lysate at 15 µg

Secondary

All lanes:

Western blot - Goat Anti-Rabbit IgG H&L (HRP) (<a href='/en-us/products/secondary-antibodies/goat-rabbit-igg-h-l-hrp-ab97051'>ab97051</a>) at 1/20000 dilution

Observed band size: 75 kDa

false

Key facts

Host species

Rabbit

Clonality

Monoclonal

Clone number

CAL33

Isotype

IgG

Carrier free

Yes

Reacts with

Human

Applications

WB, Flow Cyt (Intra), IHC-P, IP, ICC/IF

applications

Immunogen

The exact immunogen used to generate this antibody is proprietary information.

Reactivity data

{ "title": "Reactivity Data", "filters": { "stats": ["", "Species", "Dilution Info", "Notes"], "tabs": { "all-applications": {"fullname" : "All Applications", "shortname": "All Applications"}, "IP" : {"fullname" : "Immunoprecipitation", "shortname":"IP"}, "WB" : {"fullname" : "Western blot", "shortname":"WB"}, "ICCIF" : {"fullname" : "Immunocytochemistry/ Immunofluorescence", "shortname":"ICC/IF"}, "FlowCytIntra" : {"fullname" : "Flow Cytometry (Intracellular)", "shortname":"Flow Cyt (Intra)"}, "IHCP" : {"fullname" : "Immunohistochemistry (Formalin/PFA-fixed paraffin-embedded sections)", "shortname":"IHC-P"} }, "product-promise": { "all": "all", "testedAndGuaranteed": "tested", "guaranteed": "expected", "predicted": "predicted", "notRecommended": "not-recommended" } }, "values": { "Human": { "IP-species-checked": "testedAndGuaranteed", "IP-species-dilution-info": "", "IP-species-notes": "<p></p>", "WB-species-checked": "testedAndGuaranteed", "WB-species-dilution-info": "", "WB-species-notes": "<p></p>", "ICCIF-species-checked": "testedAndGuaranteed", "ICCIF-species-dilution-info": "", "ICCIF-species-notes": "<p></p>", "FlowCytIntra-species-checked": "testedAndGuaranteed", "FlowCytIntra-species-dilution-info": "", "FlowCytIntra-species-notes": "<p></p>", "IHCP-species-checked": "testedAndGuaranteed", "IHCP-species-dilution-info": "", "IHCP-species-notes": "<p></p>" } } }

Product details

ab251591 is the carrier-free version of ab237704.

Conjugation ready
Our carrier-free antibodies are typically supplied in a PBS-only formulation, purified and free of BSA, sodium azide and glycerol. This conjugation-ready format is designed for use with fluorochromes, metal isotopes, oligonucleotides, and enzymes, which makes them ideal for antibody labelling, functional and cell-based assays, flow-based assays (e.g. mass cytometry) and Multiplex Imaging applications.

Use our conjugation kits for antibody conjugates that are ready-to-use in as little as 20 minutes with 1 minute hands-on-time and 100% antibody recovery: available for fluorescent dyes, HRP, biotin and gold.

Compatibility
This product is compatible with the Maxpar® Antibody Labeling Kit from Fluidigm, without the need for antibody preparation. Maxpar® is a trademark of Fluidigm Canada Inc.

Properties and storage information

Form
Liquid
Purification technique
Affinity purification Protein A
Purification notes
Purity is greater than 99%.
Storage buffer
pH: 7.2 - 7.4 Constituents: PBS
Shipped at conditions
Blue Ice
Appropriate short-term storage conditions
+4°C
Appropriate long-term storage conditions
+4°C
Storage information
Do Not Freeze

Supplementary information

This supplementary information is collated from multiple sources and compiled automatically.

The SLC1A5 protein also known as ASCT2 is a sodium-dependent neutral amino acid transporter with a molecular mass of approximately 56 kDa. It plays an important role in the transport of amino acids such as glutamine across the plasma membrane. This transporter is widely expressed in multiple tissues including the liver brain and kidneys. ASCT2 is integral in maintaining amino acid balance within cells facilitating nutrient uptake essential for cellular metabolism and function.
Biological function summary

The SLC1A5 protein contributes to cellular processes by facilitating the uptake of neutral amino acids. ASCT2 operates as a part of a complex of transporters that ensure the supply of critical nutrients within cells impacting metabolic processes like protein synthesis and cell growth. Its function supports the dynamic needs of rapidly growing tissues and is especially active in conditions demanding high amino acid turnover.

Pathways

The activity of SLC1A5/ASCT2 is important in amino acid transport pathways particularly influencing the mTOR signaling which plays a significant role in cell growth and metabolic regulation. SLC1A5/ASCT2 interaction with proteins like LAT1 strengthens its involvement in these pathways. These interactions outline a network of nutrient sensing and metabolic control important for cellular proliferation and homeostasis.

SLC1A5/ASCT2 shows a significant connection to cancer as many cancer cells exploit its role in glutamine transport to fuel their rapid growth and survival. Additionally its involvement is noted in metabolic disorders where dysregulated amino acid transport can lead to imbalances in cellular metabolism. SLC1A5/ASCT2 has potential interactions with proteins like glutaminase which are often upregulated in oncogenic pathways highlighting its importance as a target for therapeutic interventions.

Product protocols

For this product, it's our understanding that no specific protocols are required. You can visit:

Target data

Sodium-coupled antiporter of neutral amino acids. In a tri-substrate transport cycle, exchanges neutral amino acids between the extracellular and intracellular compartments, coupled to the inward cotransport of at least one sodium ion (PubMed : 17094966, PubMed : 23756778, PubMed : 26492990, PubMed : 29872227, PubMed : 34741534, PubMed : 8702519). The preferred substrate is the essential amino acid L-glutamine, a precursor for biosynthesis of proteins, nucleotides and amine sugars as well as an alternative fuel for mitochondrial oxidative phosphorylation. Exchanges L-glutamine with other neutral amino acids such as L-serine, L-threonine and L-asparagine in a bidirectional way. Provides L-glutamine to proliferating stem and activated cells driving the metabolic switch toward cell differentiation (PubMed : 23756778, PubMed : 24953180). The transport cycle is usually pH-independent, with the exception of L-glutamate. Transports extracellular L-glutamate coupled to the cotransport of one proton and one sodium ion in exchange for intracellular L-glutamine counter-ion. May provide for L-glutamate uptake in glial cells regulating glutamine/glutamate cycle in the nervous system (PubMed : 32733894). Can transport D-amino acids. Mediates D-serine release from the retinal glia potentially affecting NMDA receptor function in retinal neurons (PubMed : 17094966). Displays sodium- and amino acid-dependent but uncoupled channel-like anion conductance with a preference SCN(-) >> NO3(-) > I(-) > Cl(-) (By similarity). Through binding of the fusogenic protein syncytin-1/ERVW-1 may mediate trophoblasts syncytialization, the spontaneous fusion of their plasma membranes, an essential process in placental development (PubMed : 10708449, PubMed : 23492904).. (Microbial infection) Acts as a cell surface receptor for Feline endogenous virus RD114.. (Microbial infection) Acts as a cell surface receptor for Baboon M7 endogenous virus.. (Microbial infection) Acts as a cell surface receptor for type D simian retroviruses.
See full target information SLC1A5

Publications (2)

Recent publications for all applications. Explore the full list and refine your search

Drug design, development and therapy 18:3157-3173 PubMed39071813

2024

Co-Expression Network Analysis and Molecular Docking Demonstrate That Diosgenin Inhibits Gastric Cancer Progression via SLC1A5/mTORC1 Pathway.

Applications

Unspecified application

Species

Unspecified reactive species

Ning Cui,Feng Ding

Cancer cell 40:1423-1439.e11 PubMed36240778

2022

Spatial epitope barcoding reveals clonal tumor patch behaviors.

Applications

Unspecified application

Species

Unspecified reactive species

Xavier Rovira-Clavé,Alexandros P Drainas,Sizun Jiang,Yunhao Bai,Maya Baron,Bokai Zhu,Alec E Dallas,Myung Chang Lee,Theresa P Chu,Alessandra Holzem,Ramya Ayyagari,Debadrita Bhattacharya,Erin F McCaffrey,Noah F Greenwald,Maxim Markovic,Garry L Coles,Michael Angelo,Michael C Bassik,Julien Sage,Garry P Nolan
View all publications

Product promise

We are committed to supporting your work with high-quality reagents, and we're here for you every step of the way. In the unlikely event that one of our products does not perform as expected, you're protected by our Product Promise.
For full details, please see our Terms & Conditions

Please note: All products are 'FOR RESEARCH USE ONLY. NOT FOR USE IN DIAGNOSTIC OR THERAPEUTIC PROCEDURES'.

For licensing inquiries, please contact partnerships@abcam.com