JavaScript is disabled in your browser. Please enable JavaScript to view this website.
AB237527

Anti-SLC20A1 antibody

0

(1 Review)

|

(4 Publications)

Rabbit Polyclonal SLC20A1 antibody. Suitable for WB, IHC-P, ICC/IF and reacts with Human samples. Cited in 4 publications. Immunogen corresponding to Recombinant Fragment Protein within Human SLC20A1 aa 250-500.

View Alternative Names

GLVR1, PIT1, SLC20A1, Sodium-dependent phosphate transporter 1, Gibbon ape leukemia virus receptor 1, Leukemia virus receptor 1 homolog, Phosphate transporter 1, Solute carrier family 20 member 1, GLVR-1, PiT-1

4 Images
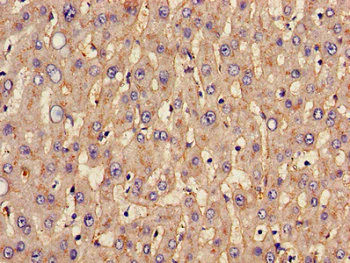
Immunohistochemistry (Formalin/PFA-fixed paraffin-embedded sections) - Anti-SLC20A1 antibody (AB237527)
  • IHC-P

Supplier Data

Immunohistochemistry (Formalin/PFA-fixed paraffin-embedded sections) - Anti-SLC20A1 antibody (AB237527)

Paraffin-embedded human liver tissue stained for SLC20A1 with ab237527 at a 1/100 dilution in immunohistochemical analysis.

Immunocytochemistry/ Immunofluorescence - Anti-SLC20A1 antibody (AB237527)
  • ICC/IF

Supplier Data

Immunocytochemistry/ Immunofluorescence - Anti-SLC20A1 antibody (AB237527)

HeLa (human epithelial cell line from cervix adenocarcinoma) cells stained for SLC20A1 (green) using ab237527 at 1/100 dilution in ICC/IF. Secondary used is an Alexa-Fluor®488-conjugated Goat Anti-Rabbit IgG (H+L).

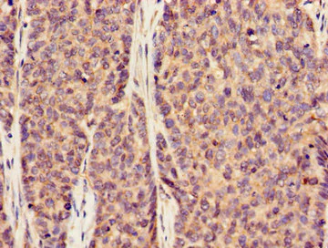
Immunohistochemistry (Formalin/PFA-fixed paraffin-embedded sections) - Anti-SLC20A1 antibody (AB237527)
  • IHC-P

Supplier Data

Immunohistochemistry (Formalin/PFA-fixed paraffin-embedded sections) - Anti-SLC20A1 antibody (AB237527)

Paraffin-embedded human ovarian cancer tissue stained for SLC20A1 with ab237527 at 1/100 dilution in immunohistochemical analysis.

Western blot - Anti-SLC20A1 antibody (AB237527)
  • WB

Supplier Data

Western blot - Anti-SLC20A1 antibody (AB237527)

All lanes:

Western blot - Anti-SLC20A1 antibody (ab237527) at 1/500 dilution

Lane 1:

HeLa (human epithelial cell line from cervix adenocarcinoma) whole cell lysate

Lane 2:

HEK-293 (human epithelial cell line from embryonic kidney) whole cell lysate

Lane 3:

MCF7 (human breast adenocarcinoma cell line) whole cell lysate

Secondary

All lanes:

Goat polyclonal to rabbit IgG at 1/50000 dilution

Predicted band size: 73 kDa

false

Key facts

Host species

Rabbit

Clonality

Polyclonal

Isotype

IgG

Carrier free

No

Reacts with

Human

Applications

ICC/IF, IHC-P, WB

applications

Immunogen

Recombinant Fragment Protein within Human SLC20A1 aa 250-500. The exact immunogen used to generate this antibody is proprietary information.

Q8WUM9

Reactivity data

{ "title": "Reactivity Data", "filters": { "stats": ["", "Species", "Dilution Info", "Notes"], "tabs": { "all-applications": {"fullname" : "All Applications", "shortname": "All Applications"}, "WB" : {"fullname" : "Western blot", "shortname":"WB"}, "IHCP" : {"fullname" : "Immunohistochemistry (Formalin/PFA-fixed paraffin-embedded sections)", "shortname":"IHC-P"}, "ICCIF" : {"fullname" : "Immunocytochemistry/ Immunofluorescence", "shortname":"ICC/IF"} }, "product-promise": { "all": "all", "testedAndGuaranteed": "tested", "guaranteed": "expected", "predicted": "predicted", "notRecommended": "not-recommended" } }, "values": { "Human": { "WB-species-checked": "testedAndGuaranteed", "WB-species-dilution-info": "1/500 - 1/5000", "WB-species-notes": "<p></p>", "IHCP-species-checked": "testedAndGuaranteed", "IHCP-species-dilution-info": "1/20 - 1/200", "IHCP-species-notes": "<p></p>", "ICCIF-species-checked": "testedAndGuaranteed", "ICCIF-species-dilution-info": "1/50 - 1/200", "ICCIF-species-notes": "<p></p>" }, "Cat": { "WB-species-checked": "predicted", "WB-species-dilution-info": "", "WB-species-notes": "", "IHCP-species-checked": "predicted", "IHCP-species-dilution-info": "", "IHCP-species-notes": "", "ICCIF-species-checked": "predicted", "ICCIF-species-dilution-info": "", "ICCIF-species-notes": "" }, "Orangutan": { "WB-species-checked": "predicted", "WB-species-dilution-info": "", "WB-species-notes": "", "IHCP-species-checked": "predicted", "IHCP-species-dilution-info": "", "IHCP-species-notes": "", "ICCIF-species-checked": "predicted", "ICCIF-species-dilution-info": "", "ICCIF-species-notes": "" } } }

Properties and storage information

Form
Liquid
Purification technique
Affinity purification Protein G
Purification notes
Purity greater than 95%
Storage buffer
pH: 7.4 Preservative: 0.03% Proclin 300 Constituents: PBS, 50% Glycerol (glycerin, glycerine)
Shipped at conditions
Blue Ice
Appropriate short-term storage duration
1-2 weeks
Appropriate short-term storage conditions
+4°C
Appropriate long-term storage conditions
-20°C
Aliquoting information
Upon delivery aliquot
Storage information
Avoid freeze / thaw cycle

Supplementary information

This supplementary information is collated from multiple sources and compiled automatically.

SLC20A1 also known as PiT-1 is a type III sodium-dependent phosphate transporter with a molecular mass of approximately 75 kDa. It helps in the uptake of inorganic phosphate into cells using sodium as a co-transport mechanism. This transport is essential for maintaining phosphate homeostasis within the body. SLC20A1 is expressed in various tissues including the liver kidney lung and cardiac tissues indicating its broad role in bodily functions.
Biological function summary

The expression of SLC20A1 plays a role in phosphate metabolism contributing to bone mineralization and cellular energy transfer. It exists as part of a complex that regulates phosphate uptake alongside its relative SLC20A2. The protein is key to cellular proliferation and survival and it influences processes like cell signaling and metabolism through its transport activity.

Pathways

Phosphate modulation by SLC20A1 interacts with cellular pathways involving calcium signaling and energy production. It is also associated with the mTOR pathway which controls cell growth and proliferation. Alongside proteins like PiT-2 SLC20A1 regulates phosphate balance which is essential for proper cellular function linking it to broader metabolic pathways.

Mutations or dysregulation of the SLC20A1 gene connect to conditions such as familial idiopathic basal ganglia calcification and hyperphosphatemia. These conditions often involve abnormal phosphate deposition in body tissues. Abnormal interactions with proteins like SCL20A2 might lead to defective phosphate uptake resulting in disease manifestations affecting neurological and renal functions.

Product protocols

For this product, it's our understanding that no specific protocols are required. You can visit:

Target data

Sodium-phosphate symporter which preferentially transports the monovalent form of phosphate with a stoichiometry of two sodium ions per phosphate ion (PubMed : 11009570, PubMed : 16790504, PubMed : 17494632, PubMed : 19726692, PubMed : 7929240, PubMed : 8041748). May play a role in extracellular matrix and cartilage calcification as well as in vascular calcification (PubMed : 11009570). Essential for cell proliferation but this function is independent of its phosphate transporter activity (PubMed : 19726692).. (Microbial infection) May function as a retroviral receptor as it confers human cells susceptibility to infection to Gibbon Ape Leukemia Virus (GaLV), Simian sarcoma-associated virus (SSAV) and Feline leukemia virus subgroup B (FeLV-B) as well as 10A1 murine leukemia virus (10A1 MLV).
See full target information SLC20A1

Publications (4)

Recent publications for all applications. Explore the full list and refine your search

International journal of molecular sciences 24: PubMed38139044

2023

Phosphate (Pi) Transporter PIT1 Induces Pi Starvation in -Containing Vacuole in HeLa Cells.

Applications

Unspecified application

Species

Unspecified reactive species

Wen Yang,Yingxing Feng,Jun Yan,Chenbo Kang,Ting Yao,Hongmin Sun,Zhihui Cheng

Cell reports 39:110698 PubMed35443182

2022

Bladder epithelial cell phosphate transporter inhibition protects mice against uropathogenic Escherichia coli infection.

Applications

Unspecified application

Species

Unspecified reactive species

Yu Pang,Zhihui Cheng,Si Zhang,Shujie Li,Xueping Li,Xiaodan Li,Xiao Zhang,Xiaoxiao Li,Yingxing Feng,Heting Cui,Zhen Chen,Le Liu,Qing Li,Jianxiao Huang,Mingqing Zhang,Siwei Zhu,Lei Wang,Lu Feng

Acta biomaterialia 130:485-496 PubMed34129957

2021

Effects of nanocrystalline hydroxyapatite concentration and skeletal site on bone and cartilage formation in rats.

Applications

Unspecified application

Species

Unspecified reactive species

Lauren A Boller,Stefanie M Shiels,David C Florian,Sun H Peck,Jonathan G Schoenecker,Craig Duvall,Joseph C Wenke,Scott A Guelcher

Molecular medicine reports 20:3276-3284 PubMed31432167

2019

Impact of SLC20A1 on the Wnt/β‑catenin signaling pathway in somatotroph adenomas.

Applications

Unspecified application

Species

Unspecified reactive species

Jianhua Li,Wei Dong,Zhenye Li,Hongyun Wang,Hua Gao,Yazhuo Zhang
View all publications

Product promise

We are committed to supporting your work with high-quality reagents, and we're here for you every step of the way. In the unlikely event that one of our products does not perform as expected, you're protected by our Product Promise.
For full details, please see our Terms & Conditions

Please note: All products are 'FOR RESEARCH USE ONLY. NOT FOR USE IN DIAGNOSTIC OR THERAPEUTIC PROCEDURES'.

For licensing inquiries, please contact partnerships@abcam.com