JavaScript is disabled in your browser. Please enable JavaScript to view this website.
AB242317

Anti-SLC22A2 antibody [CL0628]

Be the first to review this product! Submit a review

|

(2 Publications)

Mouse Monoclonal SLC22A2 antibody. Suitable for IHC-P and reacts with Human samples. Cited in 2 publications. Immunogen corresponding to Recombinant Fragment Protein within Human SLC22A2 aa 250-350.

View Alternative Names

OCT2, SLC22A2, Solute carrier family 22 member 2, Organic cation transporter 2, hOCT2

3 Images
Immunohistochemistry (Formalin/PFA-fixed paraffin-embedded sections) - Anti-SLC22A2 antibody [CL0628] (AB242317)
  • IHC-P

Supplier Data

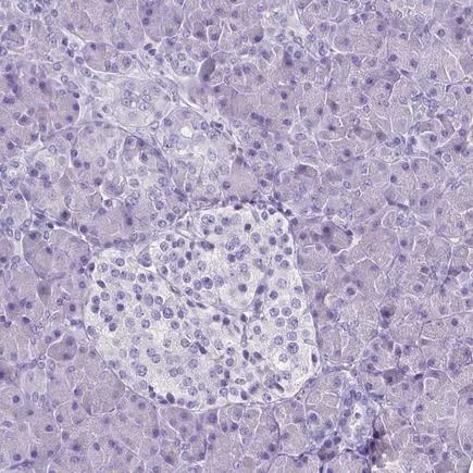
Immunohistochemistry (Formalin/PFA-fixed paraffin-embedded sections) - Anti-SLC22A2 antibody [CL0628] (AB242317)

Negative control :

Paraffin-embedded human pancreas tissue stained for SLC22A2 using ab242317 at 1/50 dilution in immunohistochemical analysis.

Immunohistochemistry (Formalin/PFA-fixed paraffin-embedded sections) - Anti-SLC22A2 antibody [CL0628] (AB242317)
  • IHC-P

Supplier Data

Immunohistochemistry (Formalin/PFA-fixed paraffin-embedded sections) - Anti-SLC22A2 antibody [CL0628] (AB242317)

Paraffin-embedded human cerebral cortex tissue stained for SLC22A2 using ab242317 at 1/50 dilution in immunohistochemical analysis.

Immunohistochemistry (Formalin/PFA-fixed paraffin-embedded sections) - Anti-SLC22A2 antibody [CL0628] (AB242317)
  • IHC-P

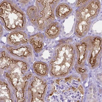
Supplier Data

Immunohistochemistry (Formalin/PFA-fixed paraffin-embedded sections) - Anti-SLC22A2 antibody [CL0628] (AB242317)

Paraffin-embedded human kidney tissue stained for SLC22A2 using ab242317 at 1/50 dilution in immunohistochemical analysis.

Key facts

Host species

Mouse

Clonality

Monoclonal

Clone number

CL0628

Isotype

IgG1

Carrier free

No

Reacts with

Human

Applications

IHC-P

applications

Immunogen

Recombinant Fragment Protein within Human SLC22A2 aa 250-350. The exact immunogen used to generate this antibody is proprietary information.

O15244

Reactivity data

{ "title": "Reactivity Data", "filters": { "stats": ["", "Species", "Dilution Info", "Notes"], "tabs": { "all-applications": {"fullname" : "All Applications", "shortname": "All Applications"}, "IHCP" : {"fullname" : "Immunohistochemistry (Formalin/PFA-fixed paraffin-embedded sections)", "shortname":"IHC-P"} }, "product-promise": { "all": "all", "testedAndGuaranteed": "tested", "guaranteed": "expected", "predicted": "predicted", "notRecommended": "not-recommended" } }, "values": { "Human": { "IHCP-species-checked": "testedAndGuaranteed", "IHCP-species-dilution-info": "1/200 - 1/500", "IHCP-species-notes": "<p></p> Perform heat-mediated antigen retrieval with citrate buffer pH 6 before commencing with IHC staining protocol." }, "Orangutan": { "IHCP-species-checked": "predicted", "IHCP-species-dilution-info": "", "IHCP-species-notes": "" } } }

Properties and storage information

Form
Liquid
Purification technique
Affinity purification Protein A
Purification notes
Purified from TCS.
Storage buffer
pH: 7.2 Preservative: 0.02% Sodium azide Constituents: PBS, 40% Glycerol (glycerin, glycerine)
Shipped at conditions
Blue Ice
Appropriate short-term storage duration
1-2 weeks
Appropriate short-term storage conditions
+4°C
Appropriate long-term storage conditions
-20°C
Aliquoting information
Upon delivery aliquot
Storage information
Avoid freeze / thaw cycle

Supplementary information

This supplementary information is collated from multiple sources and compiled automatically.

The SLC22A2 protein also known as OCT2 (Organic Cation Transporter 2) is a transmembrane transporter with a molecular mass of approximately 63 kDa. It belongs to the solute carrier family 22 and primarily transports organic cations across cell membranes. SLC22A2 is mainly expressed in the renal tubular epithelial cells in the kidneys but can also be found in the liver and various other tissues at lower levels.
Biological function summary

The SLC22A2 protein facilitates the uptake and excretion of a wide range of endogenous compounds and drugs. This protein mediates the transport of molecules such as dopamine norepinephrine and various pharmaceutical agents. SLC22A2 does not form a complex with other proteins. Its efficient transport function is vital for maintaining the balance and elimination of organic cations within the body.

Pathways

The SLC22A2 protein plays a significant role in the drug metabolism and excretion pathway where it contributes to the renal clearance of medications and endogenous substrates. Additionally it is involved in neurotransmitter release pathways impacting the bioavailability of key neurotransmitters. SLC22A3 a related protein shares functional similarities within these pathways especially in the transport of organic cations.

Alterations or dysfunctions of SLC22A2 can lead to adverse drug reactions and impact conditions such as hypertension and diabetes. Variants or changes in the expression of SLC22A2 can influence drug pharmacokinetics leading to altered drug efficacy and toxicity. The protein SLC22A1 another member of the same solute carrier family shows functional overlap and may contribute to similar pathophysiological conditions when mutated or dysregulated.

Product protocols

For this product, it's our understanding that no specific protocols are required. You can visit:

Target data

Electrogenic voltage-dependent transporter that mediates the transport of a variety of organic cations such as endogenous bioactive amines, cationic drugs and xenobiotics (PubMed : 9260930, PubMed : 9687576). Functions as a Na(+)-independent, bidirectional uniporter (PubMed : 21128598, PubMed : 9687576). Cation cellular uptake or release is driven by the electrochemical potential, i.e. membrane potential and concentration gradient (PubMed : 15212162, PubMed : 9260930, PubMed : 9687576). However, may also engage electroneutral cation exchange when saturating concentrations of cation substrates are reached (By similarity). Predominantly expressed at the basolateral membrane of hepatocytes and proximal tubules and involved in the uptake and disposition of cationic compounds by hepatic and renal clearance from the blood flow (PubMed : 15783073). Implicated in monoamine neurotransmitters uptake such as histamine, dopamine, adrenaline/epinephrine, noradrenaline/norepinephrine, serotonin and tyramine, thereby supporting a physiological role in the central nervous system by regulating interstitial concentrations of neurotransmitters (PubMed : 16581093, PubMed : 17460754, PubMed : 9687576). Also capable of transporting dopaminergic neuromodulators cyclo(his-pro), salsolinol and N-methyl-salsolinol, thereby involved in the maintenance of dopaminergic cell integrity in the central nervous system (PubMed : 17460754). Mediates the bidirectional transport of acetylcholine (ACh) at the apical membrane of ciliated cell in airway epithelium, thereby playing a role in luminal release of ACh from bronchial epithelium (PubMed : 15817714). Also transports guanidine and endogenous monoamines such as vitamin B1/thiamine, creatinine and N-1-methylnicotinamide (NMN) (PubMed : 12089365, PubMed : 15212162, PubMed : 17072098, PubMed : 24961373, PubMed : 9260930). Mediates the uptake and efflux of quaternary ammonium compound choline (PubMed : 9260930). Mediates the bidirectional transport of polyamine agmatine and the uptake of polyamines putrescine and spermidine (PubMed : 12538837, PubMed : 21128598). Able to transport non-amine endogenous compounds such as prostaglandin E2 (PGE2) and prostaglandin F2-alpha (PGF2-alpha) (PubMed : 11907186). Also involved in the uptake of xenobiotic 4-(4-(dimethylamino)styryl)-N-methylpyridinium (ASP) (PubMed : 12395288, PubMed : 16394027). May contribute to regulate the transport of organic compounds in testis across the blood-testis-barrier (Probable).. Isoform 2. In contrast with isoform 1, not able to transport guanidine, creatinine, cimetidine and metformin.
See full target information SLC22A2

Publications (2)

Recent publications for all applications. Explore the full list and refine your search

JCI insight 10: PubMed40923320

2025

Lomitapide enhances cytotoxic effects of temozolomide in chemotherapy-resistant glioblastoma.

Applications

Unspecified application

Species

Unspecified reactive species

Alyona Ivanova,Taylor M Wilson,Kimia Ghannad-Zadeh,Esmond Tse,Robert Flick,Megan Wu,Sunit Das

Cell proliferation 55:e13190 PubMed35102634

2022

Functional differentiation and scalable production of renal proximal tubular epithelial cells from human pluripotent stem cells in a dynamic culture system.

Applications

Unspecified application

Species

Unspecified reactive species

Thao Thi Thanh Ngo,Bella Rossbach,Isabelle Sébastien,Julia C Neubauer,Andreas Kurtz,Krithika Hariharan
View all publications

Product promise

We are committed to supporting your work with high-quality reagents, and we're here for you every step of the way. In the unlikely event that one of our products does not perform as expected, you're protected by our Product Promise.
For full details, please see our Terms & Conditions

Please note: All products are 'FOR RESEARCH USE ONLY. NOT FOR USE IN DIAGNOSTIC OR THERAPEUTIC PROCEDURES'.

For licensing inquiries, please contact partnerships@abcam.com