JavaScript is disabled in your browser. Please enable JavaScript to view this website.
AB183071

Anti-SLC22A3/OCT3 antibody

5

(2 Reviews)

|

(9 Publications)

Rabbit Polyclonal SLC22A3/OCT3 antibody. Suitable for IHC-P, WB and reacts with Human samples. Cited in 9 publications. Immunogen corresponding to Synthetic Peptide within Human SLC22A3 aa 300-350.

View Alternative Names

EMTH, OCT3, SLC22A3, Solute carrier family 22 member 3, Extraneuronal monoamine transporter, Organic cation transporter 3, EMT

2 Images
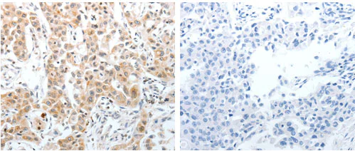
Immunohistochemistry (Formalin/PFA-fixed paraffin-embedded sections) - Anti-SLC22A3/OCT3 antibody (AB183071)
  • IHC-P

Supplier Data

Immunohistochemistry (Formalin/PFA-fixed paraffin-embedded sections) - Anti-SLC22A3/OCT3 antibody (AB183071)

Immunohistochemical analysis of paraffin-embedded Human lung cancer tissue labeling SLC22A3/OCT3 with ab183071 at a 1/40 dilution, in the presence (right panel) or absence (left panel) of immunizing peptide. (Original magnification : ×200)

Western blot - Anti-SLC22A3/OCT3 antibody (AB183071)
  • WB

Supplier Data

Western blot - Anti-SLC22A3/OCT3 antibody (AB183071)

All lanes:

Western blot - Anti-SLC22A3/OCT3 antibody (ab183071) at 1/600 dilution

All lanes:

Human liver cancer tissue lysate at 40 µg

Secondary

All lanes:

Goat anti Rabbit IgG - H&L (HRP) at 1/10000 dilution

Predicted band size: 61 kDa

true

Exposure time: 1min

Key facts

Host species

Rabbit

Clonality

Polyclonal

Isotype

IgG

Carrier free

No

Reacts with

Human

Applications

WB, IHC-P

applications

Immunogen

Synthetic Peptide within Human SLC22A3 aa 300-350. The exact immunogen used to generate this antibody is proprietary information.

O75751

Reactivity data

{ "title": "Reactivity Data", "filters": { "stats": ["", "Species", "Dilution Info", "Notes"], "tabs": { "all-applications": {"fullname" : "All Applications", "shortname": "All Applications"}, "IHCP" : {"fullname" : "Immunohistochemistry (Formalin/PFA-fixed paraffin-embedded sections)", "shortname":"IHC-P"}, "WB" : {"fullname" : "Western blot", "shortname":"WB"} }, "product-promise": { "all": "all", "testedAndGuaranteed": "tested", "guaranteed": "expected", "predicted": "predicted", "notRecommended": "not-recommended" } }, "values": { "Human": { "IHCP-species-checked": "testedAndGuaranteed", "IHCP-species-dilution-info": "1/25 - 1/100", "IHCP-species-notes": "<p></p> Perform heat-mediated antigen retrieval with citrate buffer pH 6 before commencing with IHC staining protocol.", "WB-species-checked": "testedAndGuaranteed", "WB-species-dilution-info": "1/500 - 1/2000", "WB-species-notes": "<p></p>" }, "Mouse": { "IHCP-species-checked": "predicted", "IHCP-species-dilution-info": "", "IHCP-species-notes": "", "WB-species-checked": "predicted", "WB-species-dilution-info": "", "WB-species-notes": "" }, "Rat": { "IHCP-species-checked": "predicted", "IHCP-species-dilution-info": "", "IHCP-species-notes": "", "WB-species-checked": "predicted", "WB-species-dilution-info": "", "WB-species-notes": "" }, "Orangutan": { "IHCP-species-checked": "predicted", "IHCP-species-dilution-info": "", "IHCP-species-notes": "", "WB-species-checked": "predicted", "WB-species-dilution-info": "", "WB-species-notes": "" } } }

Properties and storage information

Form
Liquid
Purification technique
Affinity purification Immunogen
Storage buffer
pH: 7.4 Preservative: 0.05% Sodium azide Constituents: PBS, 50% Glycerol (glycerin, glycerine)
Shipped at conditions
Blue Ice
Appropriate short-term storage duration
1-2 weeks
Appropriate short-term storage conditions
+4°C
Appropriate long-term storage conditions
-20°C
Aliquoting information
Upon delivery aliquot
Storage information
Avoid freeze / thaw cycle

Supplementary information

This supplementary information is collated from multiple sources and compiled automatically.

The SLC22A3 protein also known as OCT3 or organic cation transporter 3 is involved in the transport of organic cations across cell membranes. It functions as a polyspecific transporter allowing it to transport a wide range of substrates including neurotransmitters and drugs. SLC22A3 has a molecular mass of approximately 61 kDa and is expressed in various tissues most notably in the brain heart and liver.
Biological function summary

SLC22A3 facilitates the uptake of monoamines such as dopamine and norepinephrine into cells influencing neurotransmitter signaling and metabolism. The protein is not part of a known complex but interacts with cellular transport mechanisms. The transport capabilities impact cellular uptake processes affecting cell signaling and homeostasis.

Pathways

SLC22A3 participates in neurotransmitter reuptake and drug metabolism pathways. Within these pathways it collaborates with transport proteins such as SLC6A4 which is responsible for serotonin uptake. SLC22A3's role in monoamine reuptake connects it to pathways regulating mood and cognitive function.

SLC22A3 links to conditions such as depression and cardiovascular diseases. Variations in its gene expression or function influence susceptibility to these conditions. In depression SLC22A3 interacts with neurotransmitter systems shared with proteins like monoamine oxidase affecting mood regulation. In cardiovascular diseases SLC22A3's expression in the heart plays a part in transporting drugs and endogenous compounds potentially impacting disease progression.

Product protocols

For this product, it's our understanding that no specific protocols are required. You can visit:

Target data

Electrogenic voltage-dependent transporter that mediates the transport of a variety of organic cations such as endogenous bioactive amines, cationic drugs and xenobiotics (PubMed : 10196521, PubMed : 10966924, PubMed : 12538837, PubMed : 17460754, PubMed : 20858707). Cation cellular uptake or release is driven by the electrochemical potential, i.e. membrane potential and concentration gradient (PubMed : 10966924). Functions as a Na(+)- and Cl(-)-independent, bidirectional uniporter (PubMed : 12538837). Implicated in monoamine neurotransmitters uptake such as dopamine, adrenaline/epinephrine, noradrenaline/norepinephrine, histamine, serotonin and tyramine, thereby supporting a role in homeostatic regulation of aminergic neurotransmission in the brain (PubMed : 10196521, PubMed : 16581093, PubMed : 20858707). Transports dopaminergic neuromodulators cyclo(his-pro) and salsolinol with low efficiency (PubMed : 17460754). May be involved in the uptake and disposition of cationic compounds by renal clearance from the blood flow (PubMed : 10966924). May contribute to regulate the transport of cationic compounds in testis across the blood-testis-barrier (Probable). Mediates the transport of polyamine spermidine and putrescine (By similarity). Mediates the bidirectional transport of polyamine agmatine (PubMed : 12538837). Also transports guanidine (PubMed : 10966924). May also mediate intracellular transport of organic cations, thereby playing a role in amine metabolism and intracellular signaling (By similarity).
See full target information SLC22A3

Publications (9)

Recent publications for all applications. Explore the full list and refine your search

Nature chemical biology 20:62-73 PubMed37474759

2023

Cardiac contraction and relaxation are regulated by distinct subcellular cAMP pools.

Applications

Unspecified application

Species

Unspecified reactive species

Ting-Yu Lin,Quynh N Mai,Hao Zhang,Emily Wilson,Huan-Chieh Chien,Sook Wah Yee,Kathleen M Giacomini,Jeffrey E Olgin,Roshanak Irannejad

Experimental gerontology 163:111804 PubMed35405248

2022

Short-term exposure to a clinical dose of metformin increases skeletal muscle mitochondrial HO emission and production in healthy, older adults: A randomized controlled trial.

Applications

Unspecified application

Species

Unspecified reactive species

Alec I McKenzie,Ziad S Mahmassani,Jonathan J Petrocelli,Naomi M M P de Hart,Dennis K Fix,Patrick J Ferrara,Paul C LaStayo,Robin L Marcus,Matthew T Rondina,Scott A Summers,Jordan M Johnson,Joel D Trinity,Katsuhiko Funai,Micah J Drummond

Irish journal of medical science 191:1115-1121 PubMed34080124

2021

Expression and clinical significance of organic cation transporter family in glioblastoma multiforme.

Applications

Unspecified application

Species

Unspecified reactive species

Qingbei Lian,Shiling Xiao,Yunda Wang,Haocong Wang,Didong Xie

Fluids and barriers of the CNS 16:38 PubMed31842924

2019

Region-specific blood-brain barrier transporter changes leads to increased sensitivity to amisulpride in Alzheimer's disease.

Applications

Unspecified application

Species

Unspecified reactive species

Gayathri Nair Sekhar,Alice L Fleckney,Sevda Tomova Boyanova,Huzefa Rupawala,Rachel Lo,Hao Wang,Doaa B Farag,Khondaker Miraz Rahman,Martin Broadstock,Suzanne Reeves,Sarah Ann Thomas

Cancers 11: PubMed31698699

2019

Treatment with a Combination of Metformin and 2-Deoxyglucose Upregulates Thrombospondin-1 in Microvascular Endothelial Cells: Implications in Anti-Angiogenic Cancer Therapy.

Applications

Unspecified application

Species

Unspecified reactive species

Samson Mathews Samuel,Noothan Jyothi Satheesh,Suparna Ghosh,Dietrich Büsselberg,Yasser Majeed,Hong Ding,Chris R Triggle

Molecular and cellular endocrinology 499:110591 PubMed31546019

2019

Metformin has a direct effect on ovarian cells that is dependent on organic cation transporters.

Applications

Unspecified application

Species

Unspecified reactive species

Mariana Di Pietro,Candela Velazquez,María Eugenia Matzkin,Mónica Beatriz Frungieri,Mariana Gómez Peña,Ignacio de Zúñiga,Natalia Pascuali,Griselda Irusta,María Silvia Bianchi,Fernanda Parborell,Dalhia Abramovich

PloS one 12:e0173474 PubMed28362799

2017

Organic cation transporter 1 (OCT1) is involved in pentamidine transport at the human and mouse blood-brain barrier (BBB).

Applications

Unspecified application

Species

Unspecified reactive species

Gayathri N Sekhar,Ana R Georgian,Lisa Sanderson,Gema Vizcay-Barrena,Rachel C Brown,Paula Muresan,Roland A Fleck,Sarah A Thomas

American journal of translational research 7:574-86 PubMed26045896

2015

Reversing the reduced level of endometrial GLUT4 expression in polycystic ovary syndrome: a mechanistic study of metformin action.

Applications

Unspecified application

Species

Unspecified reactive species

Xin Li,Peng Cui,Hong-Yuan Jiang,Yan-Rong Guo,Bano Pishdari,Min Hu,Yi Feng,Håkan Billig,Ruijin Shao

Journal of experimental & clinical cancer research 33:41 PubMed24887156

2014

Direct effects of metformin in the endometrium: a hypothetical mechanism for the treatment of women with PCOS and endometrial carcinoma.

Applications

Unspecified application

Species

Unspecified reactive species

Ruijin Shao,Xin Li,Yi Feng,Jin-Fang Lin,Håkan Billig
View all publications

Product promise

We are committed to supporting your work with high-quality reagents, and we're here for you every step of the way. In the unlikely event that one of our products does not perform as expected, you're protected by our Product Promise.
For full details, please see our Terms & Conditions

Please note: All products are 'FOR RESEARCH USE ONLY. NOT FOR USE IN DIAGNOSTIC OR THERAPEUTIC PROCEDURES'.

For licensing inquiries, please contact partnerships@abcam.com