JavaScript is disabled in your browser. Please enable JavaScript to view this website.
AB318201

Anti-Slc25a1 antibody [EPR29193-92]

  • BOND RX™ Validated
  • 20ul selling size
  • Recombinant
  • RabMAb
  • KO Validated
  • What is this?

Be the first to review this product! Submit a review

|

(0 Publication)

Knockout Tested Rabbit Recombinant Monoclonal Slc25a1 antibody. Suitable for IHC-P, WB and reacts with Human, Mouse, Rat samples.

View Alternative Names

SLC20A3, SLC25A1, Citrate transport protein, Mitochondrial citrate carrier, Solute carrier family 25 member 1, Tricarboxylate carrier protein, CTP, CIC

14 Images
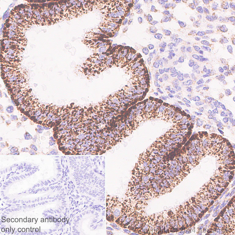
Immunohistochemistry (Formalin/PFA-fixed paraffin-embedded sections) - Anti-Slc25a1 antibody [EPR29193-92] (AB318201)
  • IHC-P

Supplier Data

Immunohistochemistry (Formalin/PFA-fixed paraffin-embedded sections) - Anti-Slc25a1 antibody [EPR29193-92] (AB318201)

Immunohistochemical analysis of paraffin-embedded Human endometrium tissue labeling Slc25a1 with ab318201 at 1/1000 (0.487 ug/ml) dilution, followed by a ready to use LeicaDS9800 (Bond™ Polymer Refine Detection).

Punctated staining on human endometrium.
The section was incubated with ab318201 for 30 mins at room temperature.
The immunostaining was performed on a Leica Biosystems BOND® RX instrument

Counterstained with Hematoxylin.

Secondary antibody only control : Secondary antibody is a ready to use LeicaDS9800 (Bond™ Polymer Refine Detection).

Heat mediated antigen retrieval was performed with Tris-EDTA buffer (pH 9.0, Epitope Retrieval Solution2) for 20 mins

Immunohistochemistry (Formalin/PFA-fixed paraffin-embedded sections) - Anti-Slc25a1 antibody [EPR29193-92] (AB318201)
  • IHC-P

Supplier Data

Immunohistochemistry (Formalin/PFA-fixed paraffin-embedded sections) - Anti-Slc25a1 antibody [EPR29193-92] (AB318201)

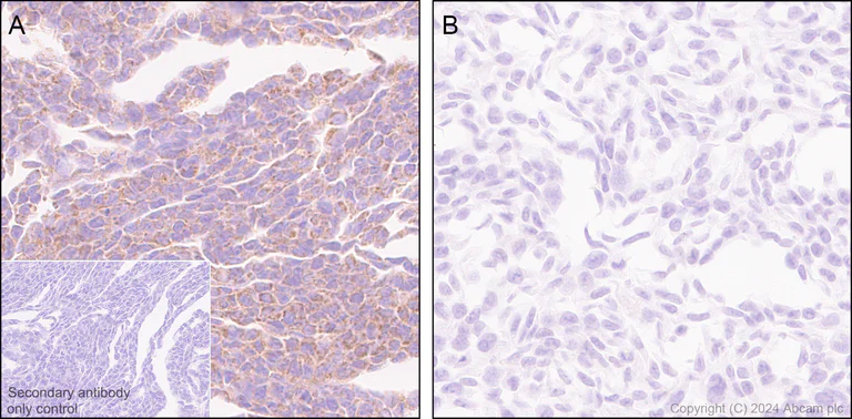
Immunohistochemical analysis of paraffin-embedded (A) Wild-type HCT116 (human colon epithelial cell) cell pellet (B) SLC25A1 C12 knockout HCT116 cell pellet tissue labeling Slc25a1 with ab318201 at 1/2000 (0.244 ug/ml) dilution, followed by a ready to use LeicaDS9800 (Bond™ Polymer Refine Detection).

Punctated staining on (A) Wild-type HCT116 cell pellet, no staining on (B) SLC25A1 C12 knockout HCT116 cell pellet.
The section was incubated with ab318201 for 30 mins at room temperature.
The immunostaining was performed on a Leica Biosystems BOND® RX instrument
The knockout cell line was provided, with thanks, by RESOLUTE (re-solute.eu).

Counterstained with Hematoxylin.

Secondary antibody only control : Secondary antibody is a ready to use LeicaDS9800 (Bond™ Polymer Refine Detection).

Heat mediated antigen retrieval was performed with Tris-EDTA buffer (pH 9.0, Epitope Retrieval Solution2) for 20 mins

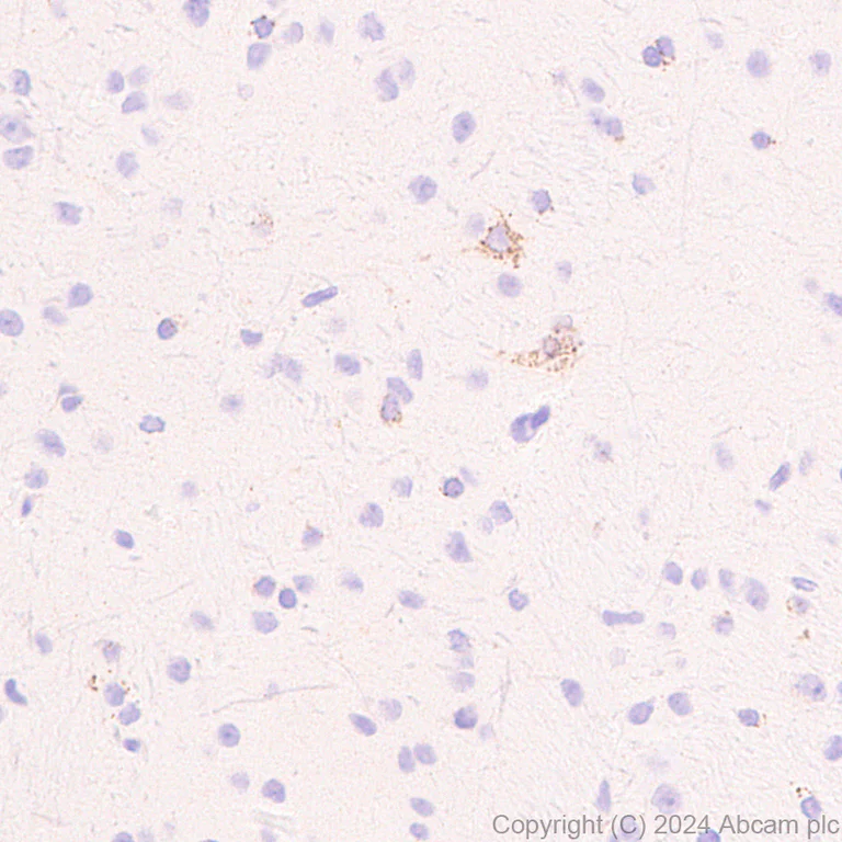
Immunohistochemistry (Formalin/PFA-fixed paraffin-embedded sections) - Anti-Slc25a1 antibody [EPR29193-92] (AB318201)
  • IHC-P

Supplier Data

Immunohistochemistry (Formalin/PFA-fixed paraffin-embedded sections) - Anti-Slc25a1 antibody [EPR29193-92] (AB318201)

Immunohistochemical analysis of paraffin-embedded Human cerebrum tissue labeling Slc25a1 with ab318201 at 1/1000 (0.487 ug/ml) dilution, followed by a ready to use LeicaDS9800 (Bond™ Polymer Refine Detection).

Low expression tissue : weak staining on human cerebrum.
The section was incubated with ab318201 for 30 mins at room temperature.
The immunostaining was performed on a Leica Biosystems BOND® RX instrument

Counterstained with Hematoxylin.

Secondary antibody only control : Secondary antibody is a ready to use LeicaDS9800 (Bond™ Polymer Refine Detection).

Heat mediated antigen retrieval was performed with Tris-EDTA buffer (pH 9.0, Epitope Retrieval Solution2) for 20 mins

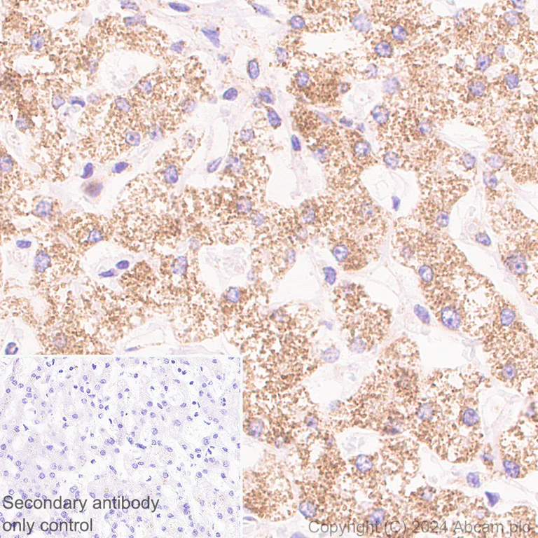
Immunohistochemistry (Formalin/PFA-fixed paraffin-embedded sections) - Anti-Slc25a1 antibody [EPR29193-92] (AB318201)
  • IHC-P

Supplier Data

Immunohistochemistry (Formalin/PFA-fixed paraffin-embedded sections) - Anti-Slc25a1 antibody [EPR29193-92] (AB318201)

Immunohistochemical analysis of paraffin-embedded Human liver tissue labeling Slc25a1 with ab318201 at 1/1000 (0.487 ug/ml) dilution, followed by a ready to use LeicaDS9800 (Bond™ Polymer Refine Detection).

Punctated staining on human liver (PMID : 31959914).
The section was incubated with ab318201 for 30 mins at room temperature.
The immunostaining was performed on a Leica Biosystems BOND® RX instrument

Counterstained with Hematoxylin.

Secondary antibody only control : Secondary antibody is a ready to use LeicaDS9800 (Bond™ Polymer Refine Detection).

Heat mediated antigen retrieval was performed with Tris-EDTA buffer (pH 9.0, Epitope Retrieval Solution2) for 20 mins

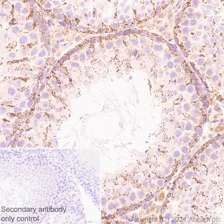
Immunohistochemistry (Formalin/PFA-fixed paraffin-embedded sections) - Anti-Slc25a1 antibody [EPR29193-92] (AB318201)
  • IHC-P

Supplier Data

Immunohistochemistry (Formalin/PFA-fixed paraffin-embedded sections) - Anti-Slc25a1 antibody [EPR29193-92] (AB318201)

Immunohistochemical analysis of paraffin-embedded Mouse testis tissue labeling Slc25a1 with ab318201 at 1/500 (0.974 ug/ml) dilution, followed by a ready to use LeicaDS9800 (Bond™ Polymer Refine Detection).

Punctated staining on mouse testis.
The section was incubated with ab318201 for 30 mins at room temperature.
The immunostaining was performed on a Leica Biosystems BOND® RX instrument

Counterstained with Hematoxylin.

Secondary antibody only control : Secondary antibody is a ready to use LeicaDS9800 (Bond™ Polymer Refine Detection).

Heat mediated antigen retrieval was performed with Tris-EDTA buffer (pH 9.0, Epitope Retrieval Solution2) for 20 mins

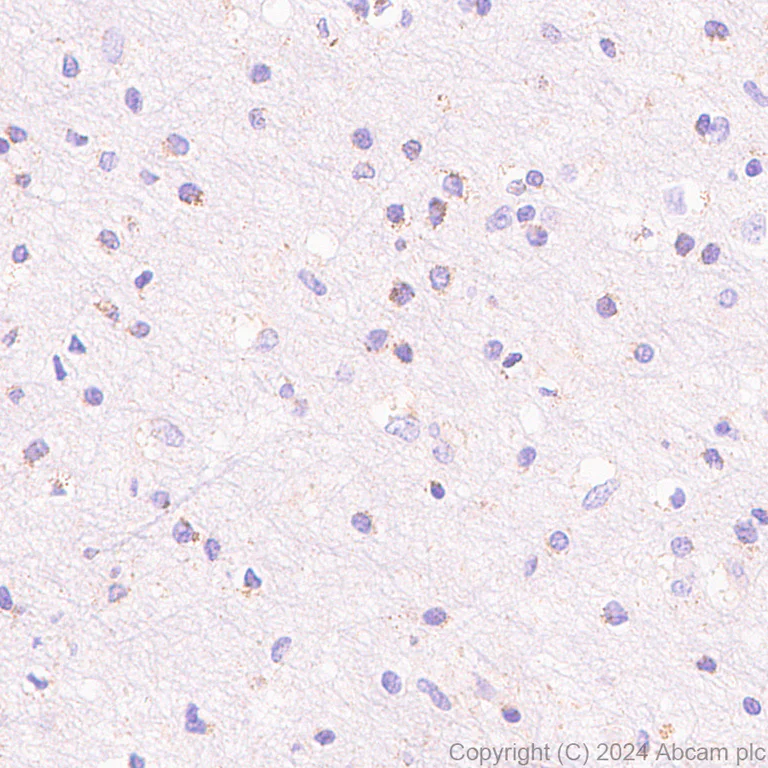
Immunohistochemistry (Formalin/PFA-fixed paraffin-embedded sections) - Anti-Slc25a1 antibody [EPR29193-92] (AB318201)
  • IHC-P

Supplier Data

Immunohistochemistry (Formalin/PFA-fixed paraffin-embedded sections) - Anti-Slc25a1 antibody [EPR29193-92] (AB318201)

Immunohistochemical analysis of paraffin-embedded Mouse cerebrum tissue labeling Slc25a1 with ab318201 at 1/500 (0.974 ug/ml) dilution, followed by a ready to use LeicaDS9800 (Bond™ Polymer Refine Detection).

Low expression tissue : weak staining on mouse cerebrum.
The section was incubated with ab318201 for 30 mins at room temperature.
The immunostaining was performed on a Leica Biosystems BOND® RX instrument

Counterstained with Hematoxylin.

Secondary antibody only control : Secondary antibody is a ready to use LeicaDS9800 (Bond™ Polymer Refine Detection).

Heat mediated antigen retrieval was performed with Tris-EDTA buffer (pH 9.0, Epitope Retrieval Solution2) for 20 mins

Immunohistochemistry (Formalin/PFA-fixed paraffin-embedded sections) - Anti-Slc25a1 antibody [EPR29193-92] (AB318201)
  • IHC-P

Supplier Data

Immunohistochemistry (Formalin/PFA-fixed paraffin-embedded sections) - Anti-Slc25a1 antibody [EPR29193-92] (AB318201)

Immunohistochemical analysis of paraffin-embedded Rat testis tissue labeling Slc25a1 with ab318201 at 1/500 (0.974 ug/ml) dilution, followed by a ready to use LeicaDS9800 (Bond™ Polymer Refine Detection).

Punctated staining on rat testis.
The section was incubated with ab318201 for 30 mins at room temperature.
The immunostaining was performed on a Leica Biosystems BOND® RX instrument

Counterstained with Hematoxylin.

Secondary antibody only control : Secondary antibody is a ready to use LeicaDS9800 (Bond™ Polymer Refine Detection).

Heat mediated antigen retrieval was performed with Tris-EDTA buffer (pH 9.0, Epitope Retrieval Solution2) for 20 mins

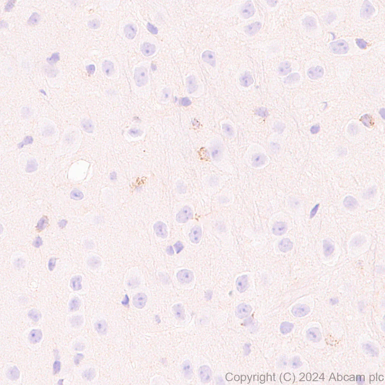
Immunohistochemistry (Formalin/PFA-fixed paraffin-embedded sections) - Anti-Slc25a1 antibody [EPR29193-92] (AB318201)
  • IHC-P

Supplier Data

Immunohistochemistry (Formalin/PFA-fixed paraffin-embedded sections) - Anti-Slc25a1 antibody [EPR29193-92] (AB318201)

Immunohistochemical analysis of paraffin-embedded Rat cerebrum tissue labeling Slc25a1 with ab318201 at 1/500 (0.974 ug/ml) dilution, followed by a ready to use LeicaDS9800 (Bond™ Polymer Refine Detection).

Low expression tissue : weak staining on rat cerebrum.
The section was incubated with ab318201 for 30 mins at room temperature.
The immunostaining was performed on a Leica Biosystems BOND® RX instrument

Counterstained with Hematoxylin.

Secondary antibody only control : Secondary antibody is a ready to use LeicaDS9800 (Bond™ Polymer Refine Detection).

Heat mediated antigen retrieval was performed with Tris-EDTA buffer (pH 9.0, Epitope Retrieval Solution2) for 20 mins

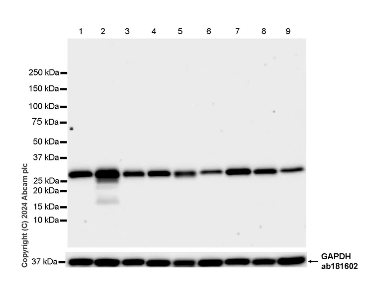
Western blot - Anti-Slc25a1 antibody [EPR29193-92] (AB318201)
  • WB

Supplier Data

Western blot - Anti-Slc25a1 antibody [EPR29193-92] (AB318201)

Low expression : brain (PMID : 31959914)

In Western blot, Anti-GAPDH antibody [EPR16891] - Loading Control (ab181602) staining at 1/200000 dilution.

All lanes:

Western blot - Anti-Slc25a1 antibody [EPR29193-92] (ab318201) at 1/1000 dilution

Lane 1:

Human colon tissue lysate at 20 µg with NFDM/TBST

Lane 2:

Human liver tissue lysate at 20 µg with NFDM/TBST

Lane 3:

Human lung tissue lysate at 20 µg with NFDM/TBST

Lane 4:

Mouse liver tissue lysate at 20 µg with NFDM/TBST

Lane 5:

Mouse kidney tissue lysate at 20 µg with NFDM/TBST

Lane 6:

Mouse brain tissue lysate at 20 µg with NFDM/TBST

Lane 7:

Rat liver tissue lysate at 20 µg with NFDM/TBST

Lane 8:

Rat kidney tissue lysate at 20 µg with NFDM/TBST

Lane 9:

Rat brain tissue lysate at 20 µg with NFDM/TBST

Secondary

All lanes:

Western blot - Goat Anti-Rabbit IgG H&L (HRP) (<a href='/en-us/products/secondary-antibodies/goat-rabbit-igg-h-l-hrp-ab97051'>ab97051</a>) at 1/100000 dilution

Observed band size: 34 kDa,36 kDa

false

Exposure time: 48s

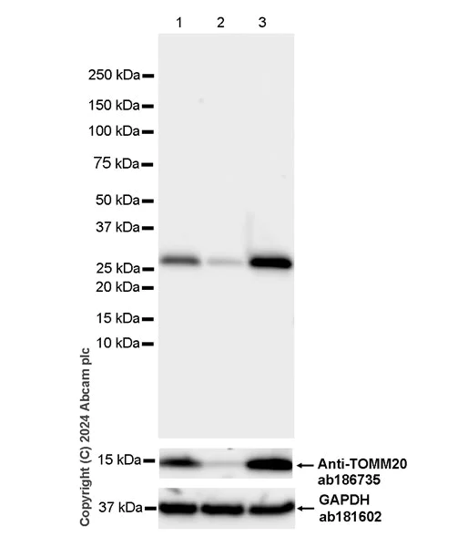
Western blot - Anti-Slc25a1 antibody [EPR29193-92] (AB318201)
  • WB

Supplier Data

Western blot - Anti-Slc25a1 antibody [EPR29193-92] (AB318201)

In Western blot, Anti-GAPDH antibody [EPR16891] - Loading Control (ab181602) staining at 1/200000 dilution.

In Western blot, Anti-TOMM20 antibody [EPR15581-54] - Mitochondrial Marker (ab186735) staining at 1/1000 dilution.

All lanes:

Western blot - Anti-Slc25a1 antibody [EPR29193-92] (ab318201) at 1/1000 dilution

Lane 1:

HeLa (human cervical adenocarcinoma epithelial cell) whole lysate at 20 µg with NFDM/TBST

Lane 2:

HeLa non-mitochondrial fraction at 20 µg with NFDM/TBST

Lane 3:

HeLa mitochondrial fraction at 20 µg with NFDM/TBST

Secondary

All lanes:

Western blot - Goat Anti-Rabbit IgG H&L (HRP) (<a href='/en-us/products/secondary-antibodies/goat-rabbit-igg-h-l-hrp-ab97051'>ab97051</a>) at 1/100000 dilution

Observed band size: 34 kDa,36 kDa,15 kDa

false

Exposure time: 15s

Western blot - Anti-Slc25a1 antibody [EPR29193-92] (AB318201)
  • WB

Supplier Data

Western blot - Anti-Slc25a1 antibody [EPR29193-92] (AB318201)

In Western blot, ab318201 was shown to bind specifically to Slc25a1. Target of interest was observed at 34 kDa in wild-type HCT116 cell lysates (lane 1) with no signal observed at this size in SLC25A1 C12 knockout cell line (lane 2).

The knockout cell line was provided, with thanks, by RESOLUTE (re-solute.eu)

In Western blot, Anti-GAPDH antibody [EPR16891] - Loading Control (ab181602) staining at 1/200000 dilution.

All lanes:

Western blot - Anti-Slc25a1 antibody [EPR29193-92] (ab318201) at 1/1000 dilution

Lane 1:

HCT116 (human colorectal carcinoma epithelial cell) whole cell lysate at 20 µg with NFDM/TBST

Lane 2:

SLC25A1 C12 knockout HCT116 whole cell lysate at 20 µg with NFDM/TBST

Lane 3:

HeLa (human cervical adenocarcinoma epithelial cell) whole cell lysate at 20 µg with NFDM/TBST

Lane 4:

HepG2 (human hepatocellar carcinoma epithelial cell) whole cell lysate at 20 µg with NFDM/TBST

Lane 5:

NCI-H1299 (human lung carcinoma epithelial cell) whole cell lysate at 20 µg with NFDM/TBST

Lane 6:

NIH/3T3 (mouse embryonic fibroblast) whole cell lysate at 20 µg with NFDM/TBST

Lane 7:

PC-12 (rat adrenal gland pheochromocytoma cell) whole cell lysate at 20 µg with NFDM/TBST

Secondary

All lanes:

Western blot - Goat Anti-Rabbit IgG H&L (HRP) (<a href='/en-us/products/secondary-antibodies/goat-rabbit-igg-h-l-hrp-ab97051'>ab97051</a>) at 1/100000 dilution

Observed band size: 34 kDa,36 kDa

false

Exposure time: 59s

Immunohistochemistry (Formalin/PFA-fixed paraffin-embedded sections) - Anti-Slc25a1 antibody [EPR29193-92] (AB318201)
  • IHC-P

Supplier Data

Immunohistochemistry (Formalin/PFA-fixed paraffin-embedded sections) - Anti-Slc25a1 antibody [EPR29193-92] (AB318201)

Immunohistochemical analysis of paraffin-embedded Human skeletal muscle tissue labeling Slc25a1 with ab318201 at 1/1000 (0.487 ug/ml) dilution, followed by a ready to use LeicaDS9800 (Bond™ Polymer Refine Detection).

Negative control : No staining on human skeletal muscle.
The section was incubated with ab318201 for 30 mins at room temperature.
The immunostaining was performed on a Leica Biosystems BOND® RX instrument

Counterstained with Hematoxylin.

Secondary antibody only control : Secondary antibody is a ready to use LeicaDS9800 (Bond™ Polymer Refine Detection).

Heat mediated antigen retrieval was performed with Tris-EDTA buffer (pH 9.0, Epitope Retrieval Solution2) for 20 mins

Immunohistochemistry (Formalin/PFA-fixed paraffin-embedded sections) - Anti-Slc25a1 antibody [EPR29193-92] (AB318201)
  • IHC-P

Supplier Data

Immunohistochemistry (Formalin/PFA-fixed paraffin-embedded sections) - Anti-Slc25a1 antibody [EPR29193-92] (AB318201)

Immunohistochemical analysis of paraffin-embedded Rat skeletal muscle tissue labeling Slc25a1 with ab318201 at 1/500 (0.974 ug/ml) dilution, followed by a ready to use LeicaDS9800 (Bond™ Polymer Refine Detection).

Negative control : No staining on rat skeletal muscle.
The section was incubated with ab318201 for 30 mins at room temperature.
The immunostaining was performed on a Leica Biosystems BOND® RX instrument

Counterstained with Hematoxylin.

Secondary antibody only control : Secondary antibody is a ready to use LeicaDS9800 (Bond™ Polymer Refine Detection).

Heat mediated antigen retrieval was performed with Tris-EDTA buffer (pH 9.0, Epitope Retrieval Solution2) for 20 mins

Immunohistochemistry (Formalin/PFA-fixed paraffin-embedded sections) - Anti-Slc25a1 antibody [EPR29193-92] (AB318201)
  • IHC-P

Supplier Data

Immunohistochemistry (Formalin/PFA-fixed paraffin-embedded sections) - Anti-Slc25a1 antibody [EPR29193-92] (AB318201)

Immunohistochemical analysis of paraffin-embedded Mouse skeletal muscle tissue labeling Slc25a1 with ab318201 at 1/500 (0.974 ug/ml) dilution, followed by a ready to use LeicaDS9800 (Bond™ Polymer Refine Detection).

Negative control : No staining on mouse skeletal muscle (PMID : 31959914).
The section was incubated with ab318201 for 30 mins at room temperature.
The immunostaining was performed on a Leica Biosystems BOND® RX instrument

Counterstained with Hematoxylin.

Secondary antibody only control : Secondary antibody is a ready to use LeicaDS9800 (Bond™ Polymer Refine Detection).

Heat mediated antigen retrieval was performed with Tris-EDTA buffer (pH 9.0, Epitope Retrieval Solution2) for 20 mins

  • Carrier free

    Anti-Slc25a1 antibody [EPR29193-92] - BSA and Azide free

Key facts

Host species

Rabbit

Clonality

Monoclonal

Clone number

EPR29193-92

Isotype

IgG

Carrier free

No

Reacts with

Human, Mouse, Rat

Applications

WB, IHC-P

applications

Immunogen

The exact immunogen used to generate this antibody is proprietary information.

Reactivity data

{ "title": "Reactivity Data", "filters": { "stats": ["", "Species", "Dilution Info", "Notes"], "tabs": { "all-applications": {"fullname" : "All Applications", "shortname": "All Applications"}, "IHCP" : {"fullname" : "Immunohistochemistry (Formalin/PFA-fixed paraffin-embedded sections)", "shortname":"IHC-P"}, "WB" : {"fullname" : "Western blot", "shortname":"WB"}, "IP" : {"fullname" : "Immunoprecipitation", "shortname":"IP"}, "ICCIF" : {"fullname" : "Immunocytochemistry/ Immunofluorescence", "shortname":"ICC/IF"} }, "product-promise": { "all": "all", "testedAndGuaranteed": "tested", "guaranteed": "expected", "predicted": "predicted", "notRecommended": "not-recommended" } }, "values": { "Human": { "IHCP-species-checked": "testedAndGuaranteed", "IHCP-species-dilution-info": "1/1000 - 1/2000", "IHCP-species-notes": "<p></p> Perform heat-mediated antigen retrieval with Tris/EDTA buffer pH 9.0 before commencing with IHC staining protocol.", "WB-species-checked": "testedAndGuaranteed", "WB-species-dilution-info": "1/1000", "WB-species-notes": "<p></p>", "IP-species-checked": "notRecommended", "IP-species-dilution-info": "", "IP-species-notes": "<p></p>", "ICCIF-species-checked": "notRecommended", "ICCIF-species-dilution-info": "", "ICCIF-species-notes": "<p></p>" }, "Mouse": { "IHCP-species-checked": "testedAndGuaranteed", "IHCP-species-dilution-info": "1/500", "IHCP-species-notes": "<p></p> Perform heat-mediated antigen retrieval with Tris/EDTA buffer pH 9.0 before commencing with IHC staining protocol.", "WB-species-checked": "testedAndGuaranteed", "WB-species-dilution-info": "1/1000", "WB-species-notes": "<p></p>", "IP-species-checked": "notRecommended", "IP-species-dilution-info": "", "IP-species-notes": "<p></p>", "ICCIF-species-checked": "notRecommended", "ICCIF-species-dilution-info": "", "ICCIF-species-notes": "<p></p>" }, "Rat": { "IHCP-species-checked": "testedAndGuaranteed", "IHCP-species-dilution-info": "1/500", "IHCP-species-notes": "<p></p> Perform heat-mediated antigen retrieval with Tris/EDTA buffer pH 9.0 before commencing with IHC staining protocol.", "WB-species-checked": "testedAndGuaranteed", "WB-species-dilution-info": "1/1000", "WB-species-notes": "<p></p>", "IP-species-checked": "notRecommended", "IP-species-dilution-info": "", "IP-species-notes": "", "ICCIF-species-checked": "notRecommended", "ICCIF-species-dilution-info": "", "ICCIF-species-notes": "" } } }

Product details

Properties and storage information

Form
Liquid
Purification technique
Affinity purification Protein A
Storage buffer
pH: 7.2 - 7.4 Preservative: 0.01% Sodium azide Constituents: PBS, 40% Glycerol (glycerin, glycerine), 0.05% BSA
Shipped at conditions
Blue Ice
Appropriate short-term storage duration
1-2 weeks
Appropriate short-term storage conditions
+4°C
Appropriate long-term storage conditions
-20°C
Aliquoting information
Upon delivery aliquot
Storage information
Avoid freeze / thaw cycle

Product protocols

For this product, it's our understanding that no specific protocols are required. You can visit:

Target data

Mitochondrial electroneutral antiporter that exports citrate from the mitochondria into the cytosol in exchange for malate (PubMed : 29031613, PubMed : 29238895). Also able to mediate the exchange of citrate for isocitrate, phosphoenolpyruvate, cis-aconitate and to a lesser extend cis-aconitate, maleate and succinate (PubMed : 29031613). In the cytoplasm citrate is important in the regulation of glycolysis through a feedback mechanism and in the production of acetyl-CoA which is needed for the synthesis of fatty acids, sterols, prostaglandins, dolichol and coenzyme Q (CoQ). Required for proper neuromuscular junction formation (Probable).
See full target information SLC25A1

Product promise

We are committed to supporting your work with high-quality reagents, and we're here for you every step of the way. In the unlikely event that one of our products does not perform as expected, you're protected by our Product Promise.
For full details, please see our Terms & Conditions

Please note: All products are 'FOR RESEARCH USE ONLY. NOT FOR USE IN DIAGNOSTIC OR THERAPEUTIC PROCEDURES'.

For licensing inquiries, please contact partnerships@abcam.com