JavaScript is disabled in your browser. Please enable JavaScript to view this website.
AB246329

Anti-SLC25A12 antibody [EPR16294] - BSA and Azide free

Be the first to review this product! Submit a review

|

(0 Publication)

Rabbit Recombinant Monoclonal SLC25A12 antibody. Carrier free. Suitable for IP, WB and reacts with Human, Mouse, Rat samples.

View Alternative Names

AGC1, ARALAR1, SLC25A12, Araceli hiperlarga, Mitochondrial aspartate glutamate carrier 1, Solute carrier family 25 member 12, Aralar, Aralar1

6 Images
Immunoprecipitation - Anti-SLC25A12 antibody [EPR16294] - BSA and Azide free (AB246329)
  • IP

Supplier Data

Immunoprecipitation - Anti-SLC25A12 antibody [EPR16294] - BSA and Azide free (AB246329)

SLC25A12 was immunoprecipitated from 1mg of Jurkat (Human T cell leukemia cells from peripheral blood) whole cell lysate with ab200201 at 1/40 dilution.

Western blot was performed from the immunoprecipitate using ab200201 at 1/1000 dilution.

Anti-Rabbit IgG (HRP), specific to the non-reduced form of IgG, was used as secondary antibody at 1/1500 dilution.

Lane 1 : Jurkat whole cell lysate 10 μg (Input).

Lane 2 : ab200201 IP in Jurkat whole cell lysate.

Lane 3 : Rabbit monoclonal IgG (ab172730) instead of ab200201 in Jurkat whole cell lysate.
Blocking and dilution buffer and concentration : 5% NFDM/TBST.
Exposure time : 30 second.

This data was developed using the same antibody clone in a different buffer formulation containing PBS, BSA, glycerol, and sodium azide (ab200201).

All lanes:

Immunoprecipitation - Anti-SLC25A12 antibody [EPR16294] (<a href='/en-us/products/primary-antibodies/slc25a12-antibody-epr16294-ab200201'>ab200201</a>)

Predicted band size: 74 kDa

false

Immunoprecipitation - Anti-SLC25A12 antibody [EPR16294] - BSA and Azide free (AB246329)
  • IP

Supplier Data

Immunoprecipitation - Anti-SLC25A12 antibody [EPR16294] - BSA and Azide free (AB246329)

SLC25A12 was immunoprecipitated from 1mg of Jurkat (Human T cell leukemia cells from peripheral blood) whole cell lysate with ab200201 at 1/40 dilution.

Western blot was performed from the immunoprecipitate using ab200201 at 1/1000 dilution (Panel A) or ab192244 at 1/1000 dilution (Panel B).

Anti-Rabbit IgG (HRP), specific to the non-reduced form of IgG, was used as secondary antibody at 1/1500 dilution.

Lane 1 : Jurkat whole cell lysate 10 μg (Input).

Lane 2 : ab200201 IP in Jurkat whole cell lysate.

Lane 3 : Rabbit monoclonal IgG (ab172730) instead of ab200201 in Jurkat whole cell lysate.
Blocking and dilution buffer and concentration : 5% NFDM/TBST.

Exposure time (Panel A and Panel B) : 30 second.

This data was developed using the same antibody clone in a different buffer formulation containing PBS, BSA, glycerol, and sodium azide (ab200201).

All lanes:

Immunoprecipitation - Anti-SLC25A12 antibody [EPR16294] (<a href='/en-us/products/primary-antibodies/slc25a12-antibody-epr16294-ab200201'>ab200201</a>)

Predicted band size: 74 kDa

false

Western blot - Anti-SLC25A12 antibody [EPR16294] - BSA and Azide free (AB246329)
  • WB

Supplier Data

Western blot - Anti-SLC25A12 antibody [EPR16294] - BSA and Azide free (AB246329)

This data was developed using ab200201, the same antibody clone in a different buffer formulation.

Blocking/Dilution buffer : 5% NFDM/TBST.

All lanes:

Western blot - Anti-SLC25A12 antibody [EPR16294] - BSA and Azide free (ab246329) at 1/5000 dilution

Lane 1:

Human fetal heart lysate at 20 µg

Lane 2:

Human skeletal muscle lysate at 20 µg

Secondary

All lanes:

Anti-Rabbit IgG (HRP), specific to the non-reduced form of IgG at 1/1000 dilution

Predicted band size: 74 kDa

Observed band size: 75 kDa

false

Exposure time: 10s

Western blot - Anti-SLC25A12 antibody [EPR16294] - BSA and Azide free (AB246329)
  • WB

Supplier Data

Western blot - Anti-SLC25A12 antibody [EPR16294] - BSA and Azide free (AB246329)

This data was developed using ab200201, the same antibody clone in a different buffer formulation.

Blocking/Dilution buffer : 5% NFDM/TBST.

All lanes:

Western blot - Anti-SLC25A12 antibody [EPR16294] - BSA and Azide free (ab246329) at 1/1000 dilution

Lane 1:

HeLa (Human epithelial cells from cervix adenocarcinoma) whole cell lysate at 10 µg

Lane 2:

A431 (Human epidermoid carcinoma) whole cell lysate at 10 µg

Secondary

All lanes:

Goat Anti-Rabbit IgG, (H+L), Peroxidase conjugated at 1/1000 dilution

Predicted band size: 74 kDa

Observed band size: 75 kDa

false

Exposure time: 3min

Western blot - Anti-SLC25A12 antibody [EPR16294] - BSA and Azide free (AB246329)
  • WB

Lab

Western blot - Anti-SLC25A12 antibody [EPR16294] - BSA and Azide free (AB246329)

This data was developed using ab200201, the same antibody clone in a different buffer formulation.

Lane 1 : Wild-type HAP1 cell lysate (20 μg)
Lane 2 : SLC25A12 knockout HAP1 cell lysate (20 μg)
Lane 3 : Human skeletal muscle lysate (20 μg)
Lane 4 : A431 cell lysate (20 μg)
Lanes 1 - 4 : Merged signal (red and green). Green - ab200201 observed at 72 kDa. Red - loading control, ab8245, observed at 37 kDa.

ab200201 was shown to recognize SLC25A12 when SLC25A12 knockout samples were used, along with additional cross-reactive bands. Wild-type and SLC25A12 knockout samples were subjected to SDS-PAGE. ab200201 and ab8245 (loading control to GAPDH) were diluted to 1/1000 and 1/10000 respectively and incubated overnight at 4°C. Blots were developed with Goat anti-Rabbit IgG H&L (IRDye® 800CW) preadsorbed ab216773 andGoat anti-Mouse IgG H&L (IRDye® 680RD) preadsorbed ab216776 secondary antibodies at 1/10000 dilution for 1 hour at room temperature before imaging.

All lanes:

Western blot - Anti-SLC25A12 antibody [EPR16294] - BSA and Azide free (ab246329)

Predicted band size: 74 kDa

Observed band size: 72 kDa

false

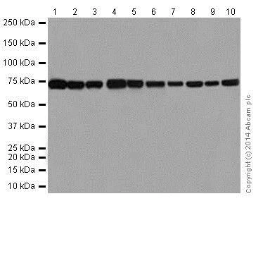
Western blot - Anti-SLC25A12 antibody [EPR16294] - BSA and Azide free (AB246329)
  • WB

Supplier Data

Western blot - Anti-SLC25A12 antibody [EPR16294] - BSA and Azide free (AB246329)

This data was developed using ab200201, the same antibody clone in a different buffer formulation.

Blocking/Dilution buffer : 5% NFDM/TBST.

All lanes:

Western blot - Anti-SLC25A12 antibody [EPR16294] - BSA and Azide free (ab246329) at 1/1000 dilution

Lane 1:

Mouse brain lysate at 10 µg

Lane 2:

Mouse heart lysate at 10 µg

Lane 3:

Mouse kidney lysate at 10 µg

Lane 4:

Rat brain lysate at 10 µg

Lane 5:

Rat heart lysate at 10 µg

Lane 6:

Rat kidney lysate at 10 µg

Lane 7:

C6 (Rat glial tumor cells) whole cell lysate at 10 µg

Lane 8:

RAW 264.7 (Mouse macrophage cells transformed with Abelson murine leukemia virus) whole cell lysate at 10 µg

Lane 9:

PC-12 (Rat adrenal gland pheochromocytoma) whole cell lysate at 10 µg

Lane 10:

NIH/3T3 (Mouse embyro fibroblast cells) whole cell lysate at 10 µg

Secondary

All lanes:

Goat Anti-Rabbit IgG, (H+L), Peroxidase conjugated at 1/1000 dilution

Predicted band size: 74 kDa

Observed band size: 75 kDa

false

Exposure time: 15s

Key facts

Host species

Rabbit

Clonality

Monoclonal

Clone number

EPR16294

Isotype

IgG

Carrier free

Yes

Reacts with

Mouse, Rat, Human

Applications

WB, IP

applications

Immunogen

The exact immunogen used to generate this antibody is proprietary information.

Reactivity data

{ "title": "Reactivity Data", "filters": { "stats": ["", "Species", "Dilution Info", "Notes"], "tabs": { "all-applications": {"fullname" : "All Applications", "shortname": "All Applications"}, "IP" : {"fullname" : "Immunoprecipitation", "shortname":"IP"}, "WB" : {"fullname" : "Western blot", "shortname":"WB"} }, "product-promise": { "all": "all", "testedAndGuaranteed": "tested", "guaranteed": "expected", "predicted": "predicted", "notRecommended": "not-recommended" } }, "values": { "Human": { "IP-species-checked": "testedAndGuaranteed", "IP-species-dilution-info": "1/40", "IP-species-notes": "<p></p>", "WB-species-checked": "testedAndGuaranteed", "WB-species-dilution-info": "1/1000", "WB-species-notes": "<p></p>" }, "Mouse": { "IP-species-checked": "guaranteed", "IP-species-dilution-info": "", "IP-species-notes": "", "WB-species-checked": "testedAndGuaranteed", "WB-species-dilution-info": "1/1000", "WB-species-notes": "<p></p>" }, "Rat": { "IP-species-checked": "guaranteed", "IP-species-dilution-info": "", "IP-species-notes": "", "WB-species-checked": "testedAndGuaranteed", "WB-species-dilution-info": "1/1000", "WB-species-notes": "<p></p>" } } }

Product details

ab246329 is the carrier-free version of ab200201.

Patented technology
Our RabMAb® technology is a patented hybridoma-based technology for making rabbit monoclonal antibodies. For details on our patents, please refer to RabMAb® patents.

What are the advantages of a recombinant monoclonal antibody?
This product is a recombinant monoclonal antibody, which offers several advantages including:

  • - High batch-to-batch consistency and reproducibility
  • - Improved sensitivity and specificity
  • - Long-term security of supply
  • - Animal-free batch production

For more information, read more on recombinant antibodies.

Conjugation ready
Our carrier-free antibodies are typically supplied in a PBS-only formulation, purified and free of BSA, sodium azide and glycerol. This conjugation-ready format is designed for use with fluorochromes, metal isotopes, oligonucleotides, and enzymes, which makes them ideal for antibody labelling, functional and cell-based assays, flow-based assays (e.g. mass cytometry) and Multiplex Imaging applications.

Use our conjugation kits for antibody conjugates that are ready-to-use in as little as 20 minutes with 1 minute hands-on-time and 100% antibody recovery: available for fluorescent dyes, HRP, biotin and gold.

Compatibility
This product is compatible with the Maxpar® Antibody Labeling Kit from Fluidigm, without the need for antibody preparation. Maxpar® is a trademark of Fluidigm Canada Inc.

Properties and storage information

Form
Liquid
Purification technique
Affinity purification Protein A
Storage buffer
pH: 7.2 - 7.4 Constituents: PBS
Shipped at conditions
Blue Ice
Appropriate short-term storage conditions
+4°C
Appropriate long-term storage conditions
+4°C
Storage information
Do Not Freeze

Supplementary information

This supplementary information is collated from multiple sources and compiled automatically.

SLC25A12 also known as the mitochondrial aspartate/glutamate carrier 1 (AGC1) functions as a transporter protein. It facilitates the exchange of aspartate and glutamate across the inner mitochondrial membrane. This protein has a molecular mass of approximately 77 kDa. SLC25A12 is mainly found in tissues with high metabolic activity including the brain heart and skeletal muscle.
Biological function summary

SLC25A12 plays an important role in energy metabolism. It is involved in transferring aspartate from the mitochondria to the cytosol and glutamate in the opposite direction which is essential for the malate-aspartate shuttle. This carrier contributes significantly to maintaining the balance of cellular metabolism by linking the citric acid cycle and amino acid synthesis to mitochondrial energy production. SLC25A12 operates as part of a larger complex of mitochondrial transport proteins which facilitate similar exchanges.

Pathways

SLC25A12 is vitally linked to the malate-aspartate shuttle and the urea cycle. In the malate-aspartate shuttle it works closely with other proteins including SLC25A13 (AGC2) to maintain NADH/NAD+ balance across the mitochondrial membrane. This balance is important for continuous ATP production during oxidative phosphorylation. The function of SLC25A12 in these pathways highlights its significance in both energy metabolism and nitrogen disposal processes interlinking with proteins involved in these metabolic pathways.

Mutations and altered expression of SLC25A12 have been associated with neurological conditions such as autism and epilepsy. Research shows a correlation between SLC25A12 dysfunction and disrupted energy metabolism in neurons which may contribute to the pathophysiology of these conditions. Furthermore interaction with proteins like SLC25A13 has been observed in some metabolic disorders emphasizing the interconnected nature of metabolic pathways and their role in disease.

Product protocols

For this product, it's our understanding that no specific protocols are required. You can visit:

Target data

Mitochondrial electrogenic aspartate/glutamate antiporter that favors efflux of aspartate and entry of glutamate and proton within the mitochondria as part of the malate-aspartate shuttle (PubMed : 11566871, PubMed : 19641205, PubMed : 24515575, PubMed : 38945283). Also mediates the uptake of L-cysteinesulfinate (3-sulfino-L-alanine) by mitochondria in exchange of L-glutamate and proton (PubMed : 11566871). Can also exchange L-cysteinesulfinate with aspartate in their anionic form without any proton translocation (PubMed : 11566871). Lacks transport activity towards L-glutamine or gamma-aminobutyric acid (GABA) (PubMed : 38945283).
See full target information SLC25A12

Product promise

We are committed to supporting your work with high-quality reagents, and we're here for you every step of the way. In the unlikely event that one of our products does not perform as expected, you're protected by our Product Promise.
For full details, please see our Terms & Conditions

Please note: All products are 'FOR RESEARCH USE ONLY. NOT FOR USE IN DIAGNOSTIC OR THERAPEUTIC PROCEDURES'.

For licensing inquiries, please contact partnerships@abcam.com