JavaScript is disabled in your browser. Please enable JavaScript to view this website.
AB167033

Anti-SLC25A21/ODC antibody

5

(1 Review)

|

(3 Publications)

Rabbit Polyclonal SLC25A21/ODC antibody. Suitable for WB, IHC-P and reacts with Human samples. Cited in 3 publications.

View Alternative Names

ODC, SLC25A21, Mitochondrial 2-oxodicarboxylate carrier, Mitochondrial 2-oxoadipate carrier, Solute carrier family 25 member 21

2 Images
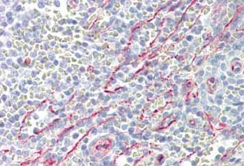
Immunohistochemistry (Formalin/PFA-fixed paraffin-embedded sections) - Anti-SLC25A21/ODC antibody (AB167033)
  • IHC-P

Unknown

Immunohistochemistry (Formalin/PFA-fixed paraffin-embedded sections) - Anti-SLC25A21/ODC antibody (AB167033)

Immunohistochemical analysis of formalin-fixed, paraffin-embedded Human spleen tissue labeling SLC25A21/ODC with ab167033 at 5 μg/ml.

Western blot - Anti-SLC25A21/ODC antibody (AB167033)
  • WB

Unknown

Western blot - Anti-SLC25A21/ODC antibody (AB167033)

All lanes:

Western blot - Anti-SLC25A21/ODC antibody (ab167033) at 1/500 dilution

Lane 1:

HepG2 cell extract

Lane 2:

HepG2 cell extract with immunizing peptide

Predicted band size: 33 kDa

false

Key facts

Host species

Rabbit

Clonality

Polyclonal

Isotype

IgG

Carrier free

No

Reacts with

Human

Applications

IHC-P, WB

applications

Immunogen

The exact immunogen used to generate this antibody is proprietary information.

Reactivity data

{ "title": "Reactivity Data", "filters": { "stats": ["", "Species", "Dilution Info", "Notes"], "tabs": { "all-applications": {"fullname" : "All Applications", "shortname": "All Applications"}, "WB" : {"fullname" : "Western blot", "shortname":"WB"}, "IHCP" : {"fullname" : "Immunohistochemistry (Formalin/PFA-fixed paraffin-embedded sections)", "shortname":"IHC-P"} }, "product-promise": { "all": "all", "testedAndGuaranteed": "tested", "guaranteed": "expected", "predicted": "predicted", "notRecommended": "not-recommended" } }, "values": { "Human": { "WB-species-checked": "testedAndGuaranteed", "WB-species-dilution-info": "1/500 - 1/1000", "WB-species-notes": "<p></p>", "IHCP-species-checked": "testedAndGuaranteed", "IHCP-species-dilution-info": "5 µg/mL", "IHCP-species-notes": "<p></p>" } } }

Properties and storage information

Form
Liquid
Purification technique
Affinity purification Immunogen
Storage buffer
pH: 7.4 Preservative: 0.02% Sodium azide Constituents: PBS, 50% Glycerol (glycerin, glycerine), 0.88% Sodium chloride
Shipped at conditions
Blue Ice
Appropriate short-term storage conditions
+4°C
Appropriate long-term storage conditions
-20°C

Product protocols

For this product, it's our understanding that no specific protocols are required. You can visit:

Target data

Transports dicarboxylates across the inner membranes of mitochondria by a counter-exchange mechanism (PubMed : 11083877). Can transport 2-oxoadipate (2-oxohexanedioate), 2-oxoglutarate, adipate (hexanedioate), glutarate, and to a lesser extent, pimelate (heptanedioate), 2-oxopimelate (2-oxoheptanedioate), 2-aminoadipate (2-aminohexanedioate), oxaloacetate, and citrate (PubMed : 11083877). Plays a central role in catabolism of lysine, hydroxylysine, and tryptophan, by transporting common metabolite intermediates (such as 2-oxoadipate) into the mitochondria, where it is converted into acetyl-CoA and can enter the citric acid (TCA) cycle (Probable).
See full target information SLC25A21

Publications (3)

Recent publications for all applications. Explore the full list and refine your search

Clinical and translational medicine 12:e944 PubMed35735113

2022

Lipid metabolism-related lncRNA SLC25A21-AS1 promotes the progression of oesophageal squamous cell carcinoma by regulating the NPM1/c-Myc axis and SLC25A21 expression.

Applications

Unspecified application

Species

Unspecified reactive species

Yu Liu,Chunxiang Li,Lingling Fang,Liyu Wang,Hengchang Liu,He Tian,Yujia Zheng,Tao Fan,Jie He

Molecular cancer 18:99 PubMed31122259

2019

miR-301a promotes lung tumorigenesis by suppressing Runx3.

Applications

Unspecified application

Species

Unspecified reactive species

Xun Li,Mingtian Zhong,Jiexuan Wang,Lei Wang,Zhanwen Lin,Zhi Cao,Zhujuan Huang,Fengxue Zhang,Yong Li,Ming Liu,Xiaodong Ma

Frontiers in neuroscience 13:264 PubMed30971882

2019

Treadmill Exercise Ameliorates Depression-Like Behavior in the Rats With Prenatal Dexamethasone Exposure: The Role of Hippocampal Mitochondria.

Applications

Unspecified application

Species

Unspecified reactive species

Tianwen Wu,Yan Huang,Yuxiang Gong,Yongjun Xu,Jianqiang Lu,Hui Sheng,Xin Ni
View all publications

Product promise

We are committed to supporting your work with high-quality reagents, and we're here for you every step of the way. In the unlikely event that one of our products does not perform as expected, you're protected by our Product Promise.
For full details, please see our Terms & Conditions

Please note: All products are 'FOR RESEARCH USE ONLY. NOT FOR USE IN DIAGNOSTIC OR THERAPEUTIC PROCEDURES'.

For licensing inquiries, please contact partnerships@abcam.com