JavaScript is disabled in your browser. Please enable JavaScript to view this website.
AB238591

Anti-SLC26A2/DTD antibody

Be the first to review this product! Submit a review

|

(1 Publication)

Rabbit Polyclonal SLC26A2/DTD antibody. Suitable for IHC-P, ICC/IF and reacts with Human samples. Cited in 1 publication. Immunogen corresponding to Recombinant Fragment Protein within Human SLC26A2 aa 600 to C-terminus.

View Alternative Names

DTD, DTDST, SLC26A2, Sulfate transporter, Diastrophic dysplasia protein, Solute carrier family 26 member 2

3 Images
Immunohistochemistry (Formalin/PFA-fixed paraffin-embedded sections) - Anti-SLC26A2/DTD antibody (AB238591)
  • IHC-P

Supplier Data

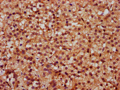
Immunohistochemistry (Formalin/PFA-fixed paraffin-embedded sections) - Anti-SLC26A2/DTD antibody (AB238591)

Paraffin-embedded human placenta tissue stained for SLC26A2/DTD using ab238591 at 1/300 dilution in immunohistochemical analysis.

After dewaxing and hydration, antigen retrieval was mediated by high pressure in a citrate buffer (pH 6.0). Section was blocked with 10% normal goat serum 30 minutes at RT. Then primary antibody (1% BSA) was incubated at 4°C overnight. The primary is detected by a biotinylated secondary antibody and visualized using an HRP conjugated SP system.

Immunocytochemistry/ Immunofluorescence - Anti-SLC26A2/DTD antibody (AB238591)
  • ICC/IF

Supplier Data

Immunocytochemistry/ Immunofluorescence - Anti-SLC26A2/DTD antibody (AB238591)

HepG2 (human liver hepatocellular carcinoma cell line) cells stained for SLC26A2/DTD (green) using ab238591 at 1/100 dilution in ICC/IF, followed by Alexa Fluor 488® conjugated Goat Anti-Rabbit IgG (H+L). The nuclear counter stain is DAPI.

The cells were fixed in 4% formaldehyde, permeabilized using 0.2% Triton X-100 and blocked in 10% normal Goat Serum. The cells were then incubated with the antibody overnight at 4°C.

Immunohistochemistry (Formalin/PFA-fixed paraffin-embedded sections) - Anti-SLC26A2/DTD antibody (AB238591)
  • IHC-P

Supplier Data

Immunohistochemistry (Formalin/PFA-fixed paraffin-embedded sections) - Anti-SLC26A2/DTD antibody (AB238591)

Paraffin-embedded human adrenal gland tissue stained for SLC26A2/DTD using ab238591 at 1/300 dilution in immunohistochemical analysis.

After dewaxing and hydration, antigen retrieval was mediated by high pressure in a citrate buffer (pH 6.0). Section was blocked with 10% normal goat serum 30 minutes at RT. Then primary antibody (1% BSA) was incubated at 4°C overnight. The primary is detected by a biotinylated secondary antibody and visualized using an HRP conjugated SP system.

Key facts

Host species

Rabbit

Clonality

Polyclonal

Isotype

IgG

Carrier free

No

Reacts with

Human

Applications

ICC/IF, IHC-P

applications

Immunogen

Recombinant Fragment Protein within Human SLC26A2 aa 600 to C-terminus. The exact immunogen used to generate this antibody is proprietary information.

P50443

Reactivity data

{ "title": "Reactivity Data", "filters": { "stats": ["", "Species", "Dilution Info", "Notes"], "tabs": { "all-applications": {"fullname" : "All Applications", "shortname": "All Applications"}, "IHCP" : {"fullname" : "Immunohistochemistry (Formalin/PFA-fixed paraffin-embedded sections)", "shortname":"IHC-P"}, "ICCIF" : {"fullname" : "Immunocytochemistry/ Immunofluorescence", "shortname":"ICC/IF"} }, "product-promise": { "all": "all", "testedAndGuaranteed": "tested", "guaranteed": "expected", "predicted": "predicted", "notRecommended": "not-recommended" } }, "values": { "Human": { "IHCP-species-checked": "testedAndGuaranteed", "IHCP-species-dilution-info": "1/200 - 1/500", "IHCP-species-notes": "<p></p> Perform heat-mediated antigen retrieval with citrate buffer pH 6 before commencing with IHC staining protocol.", "ICCIF-species-checked": "testedAndGuaranteed", "ICCIF-species-dilution-info": "1/50 - 1/200", "ICCIF-species-notes": "<p></p>" } } }

Properties and storage information

Form
Liquid
Purification technique
Affinity purification Protein G
Purification notes
Purity >95%.
Storage buffer
pH: 7.4 Preservative: 0.03% Proclin 300 Constituents: PBS, 50% Glycerol (glycerin, glycerine)
Shipped at conditions
Blue Ice
Appropriate short-term storage duration
1-2 weeks
Appropriate short-term storage conditions
+4°C
Appropriate long-term storage conditions
-20°C
Aliquoting information
Upon delivery aliquot
Storage information
Avoid freeze / thaw cycle

Product protocols

For this product, it's our understanding that no specific protocols are required. You can visit:

Target data

Sulfate transporter which mediates sulfate uptake into chondrocytes in order to maintain adequate sulfation of proteoglycans which is needed for cartilage development (PubMed : 11448940, PubMed : 15294877, PubMed : 20219950, PubMed : 7923357). Mediates electroneutral anion exchange of sulfate ions for oxalate ions and of sulfate and oxalate ions for chloride ions (PubMed : 20219950). Mediates exchange of sulfate and oxalate ions for hydroxyl ions and of chloride ions for bromide, iodide and nitrate ions (By similarity). The coupling of sulfate transport to both hydroxyl and chloride ions likely serves to ensure transport at both acidic pH when most sulfate uptake is mediated by sulfate-hydroxide exchange and alkaline pH when most sulfate uptake is mediated by sulfate-chloride exchange (By similarity). Essential for chondrocyte proliferation, differentiation and cell size expansion (By similarity).
See full target information SLC26A2

Publications (1)

Recent publications for all applications. Explore the full list and refine your search

Science advances 7:eabf6063 PubMed34705506

2021

An EMT-primary cilium-GLIS2 signaling axis regulates mammogenesis and claudin-low breast tumorigenesis.

Applications

Unspecified application

Species

Unspecified reactive species

Molly M Wilson,Céline Callens,Matthieu Le Gallo,Svetlana Mironov,Qiong Ding,Amandine Salamagnon,Tony E Chavarria,Roselyne Viel,Abena D Peasah,Arjun Bhutkar,Sophie Martin,Florence Godey,Patrick Tas,Hong Soon Kang,Philippe P Juin,Anton M Jetten,Jane E Visvader,Robert A Weinberg,Massimo Attanasio,Claude Prigent,Jacqueline A Lees,Vincent J Guen
View all publications

Product promise

We are committed to supporting your work with high-quality reagents, and we're here for you every step of the way. In the unlikely event that one of our products does not perform as expected, you're protected by our Product Promise.
For full details, please see our Terms & Conditions

Please note: All products are 'FOR RESEARCH USE ONLY. NOT FOR USE IN DIAGNOSTIC OR THERAPEUTIC PROCEDURES'.

For licensing inquiries, please contact partnerships@abcam.com