JavaScript is disabled in your browser. Please enable JavaScript to view this website.
AB308626

Anti-SLC26A2/DTD antibody [EPR27119-17] - BSA and Azide free

Be the first to review this product! Submit a review

|

(0 Publication)

Rabbit Recombinant Monoclonal SLC26A2/DTD antibody. Carrier free. Suitable for WB, IP and reacts with Human samples.

View Alternative Names

DTD, DTDST, SLC26A2, Sulfate transporter, Diastrophic dysplasia protein, Solute carrier family 26 member 2

5 Images
Immunoprecipitation - Anti-SLC26A2/DTD antibody [EPR27119-17] - BSA and Azide free (AB308626)
  • IP

Supplier Data

Immunoprecipitation - Anti-SLC26A2/DTD antibody [EPR27119-17] - BSA and Azide free (AB308626)

This data was developed using ab308625, the same antibody clone in a different buffer formulation.

SLC26A2/DTD was immunoprecipitated from 0.35 mg Human colon tissue lysate with ab308625 at 1/30 dilution (2ug in 0.35mg lysates). Western blot was performed on the immunoprecipitate using ab308625 at 1/1000 dilution. VeriBlot for IP secondary antibody (HRP) (ab131366) was used at 1/5000 dilution.

Lane 1 : Human colon tissue lysate
Lane 2 : ab308625 IP in Human colon tissue lysate
Lane 3 : Rabbit monoclonal IgG (ab172730) instead of ab308625 in human colon tissue lysate

Blocking and dilution buffer and concentration : 5% NFDM/TBST.

Exposure time : 180 seconds

Bands around 300 kDa may be SLC26A2 oligomers.

All lanes:

Immunoprecipitation - Anti-SLC26A2/DTD antibody [EPR27119-17] (<a href='/en-us/products/primary-antibodies/slc26a2-dtd-antibody-epr27119-17-ab308625'>ab308625</a>) at 1/1000 dilution

All lanes:

Human colon tissue lysate at 10 µg

Secondary

All lanes:

Immunoprecipitation - VeriBlot for IP Detection Reagent (HRP) (<a href='/en-us/products/reagents/veriblot-for-ip-detection-reagent-hrp-ab131366'>ab131366</a>) at 1/5000 dilution

Observed band size: 100 kDa,300 kDa

false

Exposure time: 180s

Western blot - Anti-SLC26A2/DTD antibody [EPR27119-17] - BSA and Azide free (AB308626)
  • WB

Supplier Data

Western blot - Anti-SLC26A2/DTD antibody [EPR27119-17] - BSA and Azide free (AB308626)

This data was developed using 308625, the same antibody clone in a different buffer formulation.  Blocking and diluting buffer and concentration : 5% NFDM/TBST. SLC26A2 is a glycoprotein of approximately 100 kDa and detected as a 80 kDa band after treated with Protein Deglycosylation MIX II. Samples are non-boiled as boiling may cause protein aggregation. Exposure time : 37 seconds

All lanes:

Western blot - Anti-SLC26A2/DTD antibody [EPR27119-17] (<a href='/en-us/products/primary-antibodies/slc26a2-dtd-antibody-epr27119-17-ab308625'>ab308625</a>) at 1/1000 dilution

Lane 1:

Untreated human colon tissue lysate at 20 µg

Lane 2:

Human colon tissue lysate treated with Protein Deglycosylation MIXII at 20 µg

Secondary

All lanes:

Goat Anti-Rabbit IgG (HRP) with minimal cross-reactivity with human IgG at 1/2000 dilution

Predicted band size: 81 kDa

Observed band size: 100 kDa,80 kDa

false

Exposure time: 37s

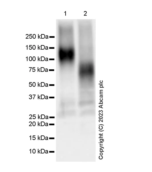
Western blot - Anti-SLC26A2/DTD antibody [EPR27119-17] - BSA and Azide free (AB308626)
  • WB

Supplier Data

Western blot - Anti-SLC26A2/DTD antibody [EPR27119-17] - BSA and Azide free (AB308626)

This data was developed using 308625, the same antibody clone in a different buffer formulation.  Blocking and diluting buffer and concentration : 5% NFDM/TBST. Low expression : Liver tissue (PMID : 24302720, PMID : 11457925) Stomach tissue. Samples are non-boiled as boiling may cause protein aggregation. In Western blot, anti-GAPDH antibody (ab181602) loading control staining at 1/200000 dilution. Exposure time : 26 seconds

All lanes:

Western blot - Anti-SLC26A2/DTD antibody [EPR27119-17] (<a href='/en-us/products/primary-antibodies/slc26a2-dtd-antibody-epr27119-17-ab308625'>ab308625</a>) at 1/1000 dilution

Lane 1:

Human colon tissue lysate at 20 µg

Lane 3:

Human liver tissue lysate at 20 µg

Lane 3:

Human stomach tissue lysate at 20 µg

Secondary

All lanes:

Goat Anti-Rabbit IgG (HRP) with minimal cross-reactivity with human IgG at 1/2000 dilution

Predicted band size: 81 kDa

Observed band size: 100 kDa

false

Exposure time: 26s

Western blot - Anti-SLC26A2/DTD antibody [EPR27119-17] - BSA and Azide free (AB308626)
  • WB

Supplier Data

Western blot - Anti-SLC26A2/DTD antibody [EPR27119-17] - BSA and Azide free (AB308626)

This data was developed using 308625, the same antibody clone in a different buffer formulation.  Blocking and diluting buffer and concentration : 5% NFDM/TBST. Low expression : 293T. Samples are non-boiled as boiling may cause protein aggregation. In Western blot, anti-GAPDH antibody (ab181602) loading control staining at 1/200000 dilution. Exposure time : 10 seconds

All lanes:

Western blot - Anti-SLC26A2/DTD antibody [EPR27119-17] (<a href='/en-us/products/primary-antibodies/slc26a2-dtd-antibody-epr27119-17-ab308625'>ab308625</a>) at 1/1000 dilution

Lane 1:

A375 (human malignant melanoma epithelial cell) whole cell lysate at 20 µg

Lane 2:

293T (human embryonic kidney epithelial cell) whole cell lysate at 20 µg

Secondary

All lanes:

Goat Anti-Rabbit IgG (HRP) with minimal cross-reactivity with human IgG at 1/2000 dilution

Predicted band size: 81 kDa

Observed band size: 80 kDa,100 kDa

false

Exposure time: 10s

Western blot - Anti-SLC26A2/DTD antibody [EPR27119-17] - BSA and Azide free (AB308626)
  • WB

Lab

Western blot - Anti-SLC26A2/DTD antibody [EPR27119-17] - BSA and Azide free (AB308626)

This data was developed using ab308625, the same antibody clone in a different buffer formulation.

Western blot : Anti-SLC26A2 antibody [EPR27119-17] (ab308625) staining at 1/1000 dilution, shown in green; Mouse anti-GAPDH antibody [6C5] (ab8245) loading control staining at 1/20000 dilution, shown in magenta. In Western blot, ab308625 was shown to bind specifically to SLC26A2. A band was observed at 82 kDa in wild-type A549 cell lysates with no signal observed at this size in SLC26A2 knockout cell line. To generate this image, wild-type and SLC26A2 knockout A549 cell lysates were analysed. First, samples were run on an SDS-PAGE gel then transferred onto a nitrocellulose membrane. Membranes were blocked in fluorescent western blot (TBS-based) blocking solution before incubation with primary antibodies overnight at 4 °C. Blots were washed four times in TBS-T, incubated with secondary antibodies for 1 h at room temperature, washed again four times then imaged. Secondary antibodies used were Goat anti-Rabbit IgG H&L 800CW and Goat anti-Mouse IgG H&L 680RD at 1/20000 dilution. For optimal results, we recommend using fluorescent western blot (TBS-based) blocking solution and not boiling the samples.

All lanes:

Western blot - Anti-SLC26A2/DTD antibody [EPR27119-17] (<a href='/en-us/products/primary-antibodies/slc26a2-dtd-antibody-epr27119-17-ab308625'>ab308625</a>) at 1/1000 dilution

Lane 1:

Wild-type A549 cell lysate at 20 µg

Lane 2:

SLC26A2 knockout A549 cell lysate at 20 µg

Lane 3:

HeLa UNBOILED cell lysate at 20 µg

Lane 4:

HEK-293 UNBOILED cell lysate at 20 µg

Secondary

Lanes 1 - 4:

Goat anti-Rabbit IgG H&L 800CW at 1/20000 dilution

Lanes 1 - 4:

Goat anti-Mouse IgG H&L 680RD at 1/20000 dilution

Observed band size: 82 kDa

false

Key facts

Host species

Rabbit

Clonality

Monoclonal

Clone number

EPR27119-17

Isotype

IgG

Carrier free

Yes

Reacts with

Human

Applications

WB, IP

applications

Immunogen

The exact immunogen used to generate this antibody is proprietary information.

Reactivity data

{ "title": "Reactivity Data", "filters": { "stats": ["", "Species", "Dilution Info", "Notes"], "tabs": { "all-applications": {"fullname" : "All Applications", "shortname": "All Applications"}, "WB" : {"fullname" : "Western blot", "shortname":"WB"}, "IP" : {"fullname" : "Immunoprecipitation", "shortname":"IP"}, "IHCP" : {"fullname" : "Immunohistochemistry (Formalin/PFA-fixed paraffin-embedded sections)", "shortname":"IHC-P"}, "ICCIF" : {"fullname" : "Immunocytochemistry/ Immunofluorescence", "shortname":"ICC/IF"} }, "product-promise": { "all": "all", "testedAndGuaranteed": "tested", "guaranteed": "expected", "predicted": "predicted", "notRecommended": "not-recommended" } }, "values": { "Human": { "WB-species-checked": "testedAndGuaranteed", "WB-species-dilution-info": "", "WB-species-notes": "<p></p>", "IP-species-checked": "testedAndGuaranteed", "IP-species-dilution-info": "", "IP-species-notes": "<p></p>", "IHCP-species-checked": "notRecommended", "IHCP-species-dilution-info": "", "IHCP-species-notes": "<p></p>", "ICCIF-species-checked": "notRecommended", "ICCIF-species-dilution-info": "", "ICCIF-species-notes": "<p></p>" }, "Mouse": { "WB-species-checked": "notRecommended", "WB-species-dilution-info": "", "WB-species-notes": "<p></p>", "IP-species-checked": "notRecommended", "IP-species-dilution-info": "", "IP-species-notes": "", "IHCP-species-checked": "notRecommended", "IHCP-species-dilution-info": "", "IHCP-species-notes": "<p></p>", "ICCIF-species-checked": "notRecommended", "ICCIF-species-dilution-info": "", "ICCIF-species-notes": "" }, "Rat": { "WB-species-checked": "notRecommended", "WB-species-dilution-info": "", "WB-species-notes": "<p></p>", "IP-species-checked": "notRecommended", "IP-species-dilution-info": "", "IP-species-notes": "", "IHCP-species-checked": "notRecommended", "IHCP-species-dilution-info": "", "IHCP-species-notes": "<p></p>", "ICCIF-species-checked": "notRecommended", "ICCIF-species-dilution-info": "", "ICCIF-species-notes": "" } } }

Product details

Patented technology
Our RabMAb® technology is a patented hybridoma-based technology for making rabbit monoclonal antibodies. For details on our patents, please refer to RabMAb® patents.

What are the advantages of a recombinant monoclonal antibody?
This product is a recombinant monoclonal antibody, which offers several advantages including:

  • - High batch-to-batch consistency and reproducibility
  • - Improved sensitivity and specificity
  • - Long-term security of supply
  • - Animal-free batch production

For more information, read more on recombinant antibodies.

Conjugation ready
Our carrier-free antibodies are typically supplied in a PBS-only formulation, purified and free of BSA, sodium azide and glycerol. This conjugation-ready format is designed for use with fluorochromes, metal isotopes, oligonucleotides, and enzymes, which makes them ideal for antibody labelling, functional and cell-based assays, flow-based assays (e.g. mass cytometry) and Multiplex Imaging applications.

Use our conjugation kits for antibody conjugates that are ready-to-use in as little as 20 minutes with 1 minute hands-on-time and 100% antibody recovery: available for fluorescent dyes, HRP, biotin and gold.

Compatibility
This product is compatible with the Maxpar® Antibody Labeling Kit from Fluidigm, without the need for antibody preparation. Maxpar® is a trademark of Fluidigm Canada Inc.

Properties and storage information

Form
Liquid
Purification technique
Affinity purification Protein A
Storage buffer
pH: 7.2 - 7.4 Constituents: PBS
Shipped at conditions
Blue Ice
Appropriate short-term storage conditions
+4°C
Appropriate long-term storage conditions
+4°C

Product protocols

For this product, it's our understanding that no specific protocols are required. You can visit:

Target data

Sulfate transporter which mediates sulfate uptake into chondrocytes in order to maintain adequate sulfation of proteoglycans which is needed for cartilage development (PubMed : 11448940, PubMed : 15294877, PubMed : 20219950, PubMed : 7923357). Mediates electroneutral anion exchange of sulfate ions for oxalate ions and of sulfate and oxalate ions for chloride ions (PubMed : 20219950). Mediates exchange of sulfate and oxalate ions for hydroxyl ions and of chloride ions for bromide, iodide and nitrate ions (By similarity). The coupling of sulfate transport to both hydroxyl and chloride ions likely serves to ensure transport at both acidic pH when most sulfate uptake is mediated by sulfate-hydroxide exchange and alkaline pH when most sulfate uptake is mediated by sulfate-chloride exchange (By similarity). Essential for chondrocyte proliferation, differentiation and cell size expansion (By similarity).
See full target information SLC26A2

Product promise

We are committed to supporting your work with high-quality reagents, and we're here for you every step of the way. In the unlikely event that one of our products does not perform as expected, you're protected by our Product Promise.
For full details, please see our Terms & Conditions

Please note: All products are 'FOR RESEARCH USE ONLY. NOT FOR USE IN DIAGNOSTIC OR THERAPEUTIC PROCEDURES'.

For licensing inquiries, please contact partnerships@abcam.com