JavaScript is disabled in your browser. Please enable JavaScript to view this website.
AB217269

Anti-SLC26A6/Pat1 antibody

Be the first to review this product! Submit a review

|

(1 Publication)

Rabbit Polyclonal SLC26A6/Pat1 antibody. Suitable for IHC-P and reacts with Rat samples. Cited in 1 publication. Immunogen corresponding to Synthetic Peptide within Human SLC26A6 aa 400-500 conjugated to Keyhole Limpet Haemocyanin.

View Alternative Names

Solute carrier family 26 member 6, Anion exchange transporter, Pendrin-like protein 1, Pendrin-L1, SLC26A6

1 Images
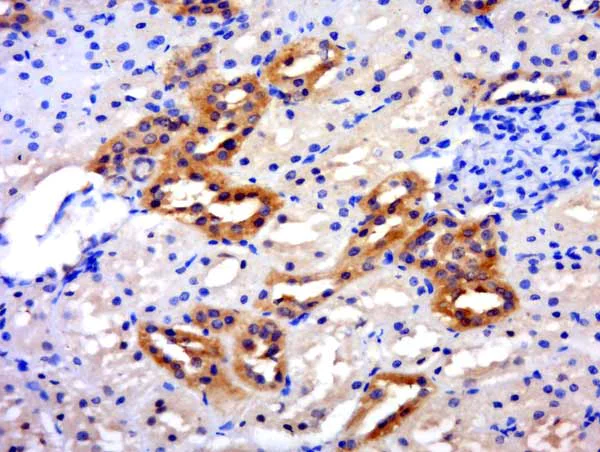
Immunohistochemistry (Formalin/PFA-fixed paraffin-embedded sections) - Anti-SLC26A6/Pat1 antibody (AB217269)
  • IHC-P

Supplier Data

Immunohistochemistry (Formalin/PFA-fixed paraffin-embedded sections) - Anti-SLC26A6/Pat1 antibody (AB217269)

Immunohistochemical analysis of Paraformaldehyde-fixed, paraffin-embedded Rat kidney tissue labeling SLC26A6/Pat1 with ab217269 at 1/200 dilution followed by a conjugated secondary and DAB staining.

Key facts

Host species

Rabbit

Clonality

Polyclonal

Isotype

IgG

Carrier free

No

Reacts with

Rat

Applications

IHC-P

applications

Immunogen

Synthetic Peptide within Human SLC26A6 aa 400-500 conjugated to Keyhole Limpet Haemocyanin. The exact immunogen used to generate this antibody is proprietary information.

Q9BXS9

Reactivity data

{ "title": "Reactivity Data", "filters": { "stats": ["", "Species", "Dilution Info", "Notes"], "tabs": { "all-applications": {"fullname" : "All Applications", "shortname": "All Applications"}, "IHCP" : {"fullname" : "Immunohistochemistry (Formalin/PFA-fixed paraffin-embedded sections)", "shortname":"IHC-P"} }, "product-promise": { "all": "all", "testedAndGuaranteed": "tested", "guaranteed": "expected", "predicted": "predicted", "notRecommended": "not-recommended" } }, "values": { "Human": { "IHCP-species-checked": "predicted", "IHCP-species-dilution-info": "", "IHCP-species-notes": "" }, "Mouse": { "IHCP-species-checked": "predicted", "IHCP-species-dilution-info": "", "IHCP-species-notes": "" }, "Rat": { "IHCP-species-checked": "testedAndGuaranteed", "IHCP-species-dilution-info": "1/100 - 1/500", "IHCP-species-notes": "<p></p> Perform heat-mediated antigen retrieval with citrate buffer pH 6 before commencing with IHC staining protocol." } } }

Properties and storage information

Form
Liquid
Purification technique
Affinity purification Protein A
Storage buffer
pH: 7.4 Preservative: 0.02% Proclin 300 Constituents: 50% Glycerol (glycerin, glycerine), 48.98% TBS, 1X, 1% BSA
Shipped at conditions
Blue Ice
Appropriate short-term storage duration
1-2 weeks
Appropriate short-term storage conditions
+4°C
Appropriate long-term storage conditions
-20°C
Aliquoting information
Upon delivery aliquot
Storage information
Avoid freeze / thaw cycle

Product protocols

For this product, it's our understanding that no specific protocols are required. You can visit:

Target data

Apical membrane anion-exchanger with wide epithelial distribution that plays a role as a component of the pH buffering system for maintaining acid-base homeostasis. Acts as a versatile DIDS-sensitive inorganic and organic anion transporter that mediates the uptake of monovalent anions like chloride, bicarbonate, formate and hydroxyl ion and divalent anions like sulfate and oxalate. Functions in multiple exchange modes involving pairs of these anions, which include chloride-bicarbonate, chloride-oxalate, oxalate-formate, oxalate-sulfate and chloride-formate exchange. Apical membrane chloride-bicarbonate exchanger that mediates luminal chloride absorption and bicarbonate secretion by the small intestinal brush border membrane and contributes to intracellular pH regulation in the duodenal upper villous epithelium during proton-coupled peptide absorption, possibly by providing a bicarbonate import pathway. Mediates also intestinal chloride absorption and oxalate secretion, thereby preventing hyperoxaluria and calcium oxalate urolithiasis. Transepithelial oxalate secretion, chloride-formate, chloride-oxalate and chloride-bicarbonate transport activities in the duodenum are inhibited by PKC activation in a calcium-independent manner. The apical membrane chloride-bicarbonate exchanger provides also a major route for fluid and bicarbonate secretion into the proximal tubules of the kidney as well as into the proximal part of the interlobular pancreatic ductal tree, where it mediates electrogenic chloride-bicarbonate exchange with a chloride-bicarbonate stoichiometry of 1 : 2, and hence will dilute and alkalinize protein-rich acinar secretion. Mediates also the transcellular sulfate absorption and oxalate secretion across the apical membrane in the duodenum and the formate ion efflux at the apical brush border of cells in the proximal tubules of kidney. Plays a role in sperm capacitation by increasing intracellular pH.. Isoform 4. Apical membrane chloride-bicarbonate exchanger. Its association with carbonic anhydrase CA2 forms a bicarbonate transport metabolon; hence maximizes the local concentration of bicarbonate at the transporter site.
See full target information SLC26A6

Publications (1)

Recent publications for all applications. Explore the full list and refine your search

EMBO reports 26:1269-1289 PubMed39920335

2025

Haploinsufficient phenotypes promote selection of PTEN and ARID1A-deficient clones in human colon.

Applications

Unspecified application

Species

Unspecified reactive species

Nefeli Skoufou-Papoutsaki,Sam Adler,Shenay Mehmed,Claire Tume,Cora Olpe,Edward Morrissey,Richard Kemp,Anne-Claire Girard,Elisa B Moutin,Chandra Sekhar Reddy Chilamakuri,Jodi L Miller,Cecilia Lindskog,Fabian Werle,Kate Marks,Francesca Perrone,Matthias Zilbauer,David S Tourigny,Douglas J Winton
View all publications

Product promise

We are committed to supporting your work with high-quality reagents, and we're here for you every step of the way. In the unlikely event that one of our products does not perform as expected, you're protected by our Product Promise.
For full details, please see our Terms & Conditions

Please note: All products are 'FOR RESEARCH USE ONLY. NOT FOR USE IN DIAGNOSTIC OR THERAPEUTIC PROCEDURES'.

For licensing inquiries, please contact partnerships@abcam.com