JavaScript is disabled in your browser. Please enable JavaScript to view this website.
AB271965

Anti-SLC27A4 / FATP4 antibody [EPR17319] - BSA and Azide free

Be the first to review this product! Submit a review

|

(0 Publication)

Rabbit Recombinant Monoclonal SLC27A4 / FATP4 antibody. Carrier free. Suitable for IP, WB, ICC/IF, IHC-P and reacts with Human samples.

View Alternative Names

ACSVL4, FATP4, SLC27A4, Long-chain fatty acid transport protein 4, FATP-4, Fatty acid transport protein 4, Arachidonate--CoA ligase, Long-chain-fatty-acid--CoA ligase, Solute carrier family 27 member 4, Very long-chain acyl-CoA synthetase 4

4 Images
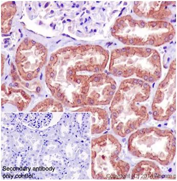
Immunohistochemistry (Formalin/PFA-fixed paraffin-embedded sections) - Anti-SLC27A4 / FATP4 antibody [EPR17319] - BSA and Azide free (AB271965)
  • IHC-P

Supplier Data

Immunohistochemistry (Formalin/PFA-fixed paraffin-embedded sections) - Anti-SLC27A4 / FATP4 antibody [EPR17319] - BSA and Azide free (AB271965)

Immunohistochemical analysis of paraffin-embedded Human kidney tissue labeling SLC27A4 / FATP4 with ab199719 at 1/100 dilution followed by Goat Anti-Rabbit IgG H&L (HRP) (ab97051) at 1/500 dilution. Cytoplasm staining on Human kidney tissue is observed. Counter stained with Hematoxylin.
Negative control : Used PBS instead of primary antibody, secondary antibody is Goat Anti-Rabbit IgG H&L (HRP) (ab97051).

Perform heat mediated antigen retrieval with Tris/EDTA buffer pH 9.0 before commencing with IHC staining protocol.

This data was developed using the same antibody clone in a different buffer formulation containing PBS, BSA, glycerol, and sodium azide (ab199719).

Immunocytochemistry/ Immunofluorescence - Anti-SLC27A4 / FATP4 antibody [EPR17319] - BSA and Azide free (AB271965)
  • ICC/IF

Lab

Immunocytochemistry/ Immunofluorescence - Anti-SLC27A4 / FATP4 antibody [EPR17319] - BSA and Azide free (AB271965)

Immunofluorescent analysis of 4% paraformaldehyde-fixed, 0.1% Triton X-100 permeabilized HepG2 (Human liver hepatocellular carcinoma) cells labeling SLC27A4 / FATP4 with ab199719 at 1/100 dilution, followed by Goat anti-rabbit IgG (Alexa Fluor® 488) (ab150077) secondary antibody at 1/500 dilution (green). Cytoplasm staining on HepG2 cell line is observed. The nuclear counterstain is DAPI (blue). Tubulin is detected with ab7291 (anti-Tubulin mouse mAb) at 1/1000 dilution and ab150120 (AlexaFluor®594 Goat anti-Mouse secondary) at 1/500 dilution (red).
The negative controls are as follows : -
-ve control 1 : ab199719 at 1/100 dilution followed by ab150120 (AlexaFluor®594 Goat anti-Mouse secondary) at 1/500 dilution.
-ve control 2 : ab7291 (anti-Tubulin mouse mAb) at 1/1000 dilution followed by ab150077 (Alexa Fluor®488 Goat Anti-Rabbit IgG H&L) at 1/500 dilution.

This data was developed using the same antibody clone in a different buffer formulation containing PBS, BSA, glycerol, and sodium azide (ab199719).

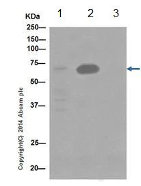
Immunoprecipitation - Anti-SLC27A4 / FATP4 antibody [EPR17319] - BSA and Azide free (AB271965)
  • IP

Supplier Data

Immunoprecipitation - Anti-SLC27A4 / FATP4 antibody [EPR17319] - BSA and Azide free (AB271965)

SLC27A4 / FATP4 was immunoprecipitated from 1mg of HEK293 (Human embryonic kidney) whole cell lysate with ab199719 at 1/50 dilution. Western blot was performed from the immunoprecipitate using ab199719 at 1/5000 dilution. Anti-Rabbit IgG (HRP), specific to the non-reduced form of IgG, was used as secondary antibody at 1/1500 dilution.

Lane 1 : HEK293 whole cell lysate 10μg (Input). Lane 2 : HEK293 whole cell lysate following IP. Lane 3 : Rabbit monoclonal IgG (ab172730) instead of ab199719 in HEK293 whole cell lysate.

Blocking and dilution buffer and concentration : 5% NFDM/TBST.

Exposure is 3 minutes.

This data was developed using the same antibody clone in a different buffer formulation containing PBS, BSA, glycerol, and sodium azide (ab199719).

All lanes:

Immunoprecipitation - Anti-SLC27A4 / FATP4 antibody [EPR17319] - C-terminal (<a href='/en-us/products/primary-antibodies/slc27a4-fatp4-antibody-epr17319-c-terminal-ab199719'>ab199719</a>)

Predicted band size: 72 kDa

Observed band size: 72 kDa

false

Western blot - Anti-SLC27A4 / FATP4 antibody [EPR17319] - BSA and Azide free (AB271965)
  • WB

Supplier Data

Western blot - Anti-SLC27A4 / FATP4 antibody [EPR17319] - BSA and Azide free (AB271965)

Lane 1 : Wild-type HAP1 cell lysate (20 μg)
Lane 2 : SLC27A4/FATP4 knockout HAP1 cell lysate (20 μg)
Lane 3 : HEK293 cell lysate (20 μg)
Lane 4 : HepG2 cell lysate (20 μg)
Lanes 1 - 4 : Merged signal (red and green). Green - ab199719 observed at 70 kDa. Red - loading control, ab8245, observed at 37 kDa.
ab199719 was shown to specifically react with SLC27A4/FATP4 when SLC27A4/FATP4 knockout samples were used. Wild-type and SLC27A4/FATP4 knockout samples were subjected to SDS-PAGE. ab199719 and ab8245 (loading control to GAPDH) were diluted 1/2000 and 1/10000 respectively and incubated overnight at 4°C. Blots were developed with Goat anti-Rabbit IgG H&L (IRDye® 800CW) preadsorbed (ab216773) and Goat anti-Mouse IgG H&L (IRDye® 680RD) preadsorbed (ab216776) secondary antibodies at 1/10000 dilution for 1 h at room temperature before imaging.

This data was developed using the same antibody clone in a different buffer formulation containing PBS, BSA, glycerol, and sodium azide (ab199719).

All lanes:

Western blot - Anti-SLC27A4 / FATP4 antibody [EPR17319] - C-terminal (<a href='/en-us/products/primary-antibodies/slc27a4-fatp4-antibody-epr17319-c-terminal-ab199719'>ab199719</a>)

Predicted band size: 72 kDa

false

  • Unconjugated

    Anti-SLC27A4 / FATP4 antibody [EPR17319] - C-terminal

  • Carrier free

    Anti-SLC27A4 / FATP4 antibody [EPR17319] - Low endotoxin, Azide free

Key facts

Host species

Rabbit

Clonality

Monoclonal

Clone number

EPR17319

Isotype

IgG

Carrier free

Yes

Reacts with

Human

Applications

IP, WB, ICC/IF, IHC-P

applications

Immunogen

The exact immunogen used to generate this antibody is proprietary information.

Reactivity data

{ "title": "Reactivity Data", "filters": { "stats": ["", "Species", "Dilution Info", "Notes"], "tabs": { "all-applications": {"fullname" : "All Applications", "shortname": "All Applications"}, "IP" : {"fullname" : "Immunoprecipitation", "shortname":"IP"}, "WB" : {"fullname" : "Western blot", "shortname":"WB"}, "ICCIF" : {"fullname" : "Immunocytochemistry/ Immunofluorescence", "shortname":"ICC/IF"}, "IHCP" : {"fullname" : "Immunohistochemistry (Formalin/PFA-fixed paraffin-embedded sections)", "shortname":"IHC-P"} }, "product-promise": { "all": "all", "testedAndGuaranteed": "tested", "guaranteed": "expected", "predicted": "predicted", "notRecommended": "not-recommended" } }, "values": { "Human": { "IP-species-checked": "testedAndGuaranteed", "IP-species-dilution-info": "", "IP-species-notes": "<p></p>", "WB-species-checked": "testedAndGuaranteed", "WB-species-dilution-info": "", "WB-species-notes": "<p></p>", "ICCIF-species-checked": "testedAndGuaranteed", "ICCIF-species-dilution-info": "", "ICCIF-species-notes": "<p></p>", "IHCP-species-checked": "testedAndGuaranteed", "IHCP-species-dilution-info": "", "IHCP-species-notes": "<p></p>" } } }

Product details

ab271965 is the carrier-free version of ab199719.

Patented technology
Our RabMAb® technology is a patented hybridoma-based technology for making rabbit monoclonal antibodies. For details on our patents, please refer to RabMAb® patents.

What are the advantages of a recombinant monoclonal antibody?
This product is a recombinant monoclonal antibody, which offers several advantages including:

  • - High batch-to-batch consistency and reproducibility
  • - Improved sensitivity and specificity
  • - Long-term security of supply
  • - Animal-free batch production

For more information, read more on recombinant antibodies.

Conjugation ready
Our carrier-free antibodies are typically supplied in a PBS-only formulation, purified and free of BSA, sodium azide and glycerol. This conjugation-ready format is designed for use with fluorochromes, metal isotopes, oligonucleotides, and enzymes, which makes them ideal for antibody labelling, functional and cell-based assays, flow-based assays (e.g. mass cytometry) and Multiplex Imaging applications.

Use our conjugation kits for antibody conjugates that are ready-to-use in as little as 20 minutes with 1 minute hands-on-time and 100% antibody recovery: available for fluorescent dyes, HRP, biotin and gold.

Compatibility
This product is compatible with the Maxpar® Antibody Labeling Kit from Fluidigm, without the need for antibody preparation. Maxpar® is a trademark of Fluidigm Canada Inc.

Properties and storage information

Form
Liquid
Purification technique
Affinity purification Protein A
Storage buffer
pH: 7.2 - 7.4 Constituents: PBS
Shipped at conditions
Blue Ice
Appropriate short-term storage conditions
+4°C
Appropriate long-term storage conditions
+4°C
Storage information
Do Not Freeze

Product protocols

For this product, it's our understanding that no specific protocols are required. You can visit:

Target data

Mediates the levels of long-chain fatty acids (LCFA) in the cell by facilitating their transport across cell membranes (PubMed : 10518211, PubMed : 12556534, PubMed : 20448275, PubMed : 21395585, PubMed : 22022213). Appears to be the principal fatty acid transporter in small intestinal enterocytes (PubMed : 20448275). Also functions as an acyl-CoA ligase catalyzing the ATP-dependent formation of fatty acyl-CoA using LCFA and very-long-chain fatty acids (VLCFA) as substrates, which prevents fatty acid efflux from cells and might drive more fatty acid uptake (PubMed : 22022213, PubMed : 24269233). Plays a role in the formation of the epidermal barrier. Required for fat absorption in early embryogenesis (By similarity). Probably involved in fatty acid transport across the blood barrier (PubMed : 21395585). Indirectly inhibits RPE65 via substrate competition and via production of VLCFA derivatives like lignoceroyl-CoA. Prevents light-induced degeneration of rods and cones (By similarity).
See full target information SLC27A4

Product promise

We are committed to supporting your work with high-quality reagents, and we're here for you every step of the way. In the unlikely event that one of our products does not perform as expected, you're protected by our Product Promise.
For full details, please see our Terms & Conditions

Please note: All products are 'FOR RESEARCH USE ONLY. NOT FOR USE IN DIAGNOSTIC OR THERAPEUTIC PROCEDURES'.

For licensing inquiries, please contact partnerships@abcam.com