JavaScript is disabled in your browser. Please enable JavaScript to view this website.
AB154140

Anti-SLC27A5/BAL antibody [CL0213]

Be the first to review this product! Submit a review

|

(1 Publication)

Mouse Monoclonal SLC27A5/BAL antibody. Suitable for IHC-P, WB and reacts with Human samples. Cited in 1 publication. Immunogen corresponding to Recombinant Fragment Protein within Human SLC27A5 aa 200-350.

View Alternative Names

ACSB, ACSVL6, FACVL3, FATP5, SLC27A5, Long-chain fatty acid transport protein 5, FATP-5, Fatty acid transport protein 5, Bile acid-CoA ligase, Bile acyl-CoA synthetase, Cholate--CoA ligase, Long-chain-fatty-acid--CoA ligase, Solute carrier family 27 member 5, Very long-chain acyl-CoA synthetase homolog 2, Very long-chain acyl-CoA synthetase-related protein, BA-CoA ligase, BAL, BACS, VLCS-H2, VLCSH2, VLACS-related, VLACSR

3 Images
Immunohistochemistry (Formalin/PFA-fixed paraffin-embedded sections) - Anti-SLC27A5/BAL antibody [CL0213] (AB154140)
  • IHC-P

Supplier Data

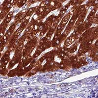
Immunohistochemistry (Formalin/PFA-fixed paraffin-embedded sections) - Anti-SLC27A5/BAL antibody [CL0213] (AB154140)

Immunohistochemical analysis of Human liver tissue labeling SLC27A5/BAL with ab154140 at 1/500 dilution.

Immunohistochemistry (Formalin/PFA-fixed paraffin-embedded sections) - Anti-SLC27A5/BAL antibody [CL0213] (AB154140)
  • IHC-P

Supplier Data

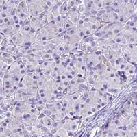
Immunohistochemistry (Formalin/PFA-fixed paraffin-embedded sections) - Anti-SLC27A5/BAL antibody [CL0213] (AB154140)

Immunohistochemical analysis of Human pancreas tissue showing no labeling of SLC27A5/BAL using ab154140 at 1/500 dilution (negative control).

Western blot - Anti-SLC27A5/BAL antibody [CL0213] (AB154140)
  • WB

Supplier Data

Western blot - Anti-SLC27A5/BAL antibody [CL0213] (AB154140)

All lanes:

Western blot - Anti-SLC27A5/BAL antibody [CL0213] (ab154140) at 1/1000 dilution

All lanes:

Human liver tissue lysate

Predicted band size: 75 kDa

false

Key facts

Host species

Mouse

Clonality

Monoclonal

Clone number

CL0213

Isotype

IgG1

Carrier free

No

Reacts with

Human

Applications

IHC-P, WB

applications

Immunogen

Recombinant Fragment Protein within Human SLC27A5 aa 200-350. The exact immunogen used to generate this antibody is proprietary information.

Q9Y2P5

Reactivity data

{ "title": "Reactivity Data", "filters": { "stats": ["", "Species", "Dilution Info", "Notes"], "tabs": { "all-applications": {"fullname" : "All Applications", "shortname": "All Applications"}, "IHCP" : {"fullname" : "Immunohistochemistry (Formalin/PFA-fixed paraffin-embedded sections)", "shortname":"IHC-P"}, "WB" : {"fullname" : "Western blot", "shortname":"WB"} }, "product-promise": { "all": "all", "testedAndGuaranteed": "tested", "guaranteed": "expected", "predicted": "predicted", "notRecommended": "not-recommended" } }, "values": { "Human": { "IHCP-species-checked": "testedAndGuaranteed", "IHCP-species-dilution-info": "1/500 - 1/1000", "IHCP-species-notes": "<p></p> Perform heat-mediated antigen retrieval with citrate buffer pH 6 before commencing with IHC staining protocol.", "WB-species-checked": "testedAndGuaranteed", "WB-species-dilution-info": "1/1000 - 1/2500", "WB-species-notes": "<p></p>" } } }

Product details

The antibody solution should be gently mixed before use.

Properties and storage information

Form
Liquid
Purification technique
Affinity purification Protein A
Storage buffer
pH: 7.2 Preservative: 0.02% Sodium azide Constituents: 59% PBS, 40% Glycerol (glycerin, glycerine)
Shipped at conditions
Blue Ice
Appropriate short-term storage conditions
+4°C
Appropriate long-term storage conditions
-20°C
Aliquoting information
Upon delivery aliquot
Storage information
Avoid freeze / thaw cycle

Product protocols

For this product, it's our understanding that no specific protocols are required. You can visit:

Target data

May mediate the import of long-chain fatty acids (LCFA) by facilitating their transport across cell membranes (PubMed : 20448275, PubMed : 20530735). Also catalyzes the ATP-dependent formation of fatty acyl-CoA using LCFA and very-long-chain fatty acids (VLCFA) as substrates (PubMed : 10479480). Mainly functions as a bile acyl-CoA synthetase catalyzing the activation of bile acids via ATP-dependent formation of bile acid CoA thioesters which is necessary for their subsequent conjugation with glycine or taurine (PubMed : 10749848, PubMed : 11980911). Both primary bile acids (cholic acid and chenodeoxycholic acid) and secondary bile acids (deoxycholic acid and lithocholic acid) are the principal substrates (PubMed : 10749848, PubMed : 11980911). In vitro, activates 3-alpha,7-alpha,12-alpha-trihydroxy-5-beta-cholestanate ((25R)-3alpha,7alpha,12alpha-trihydroxy-5beta-cholestan-26-oate or THCA), the C27 precursor of cholic acid deriving from the de novo synthesis from cholesterol (PubMed : 11980911). Plays an important role in hepatic fatty acid uptake and bile acid reconjugation and recycling but not in de novo synthesis of bile acids (By similarity).
See full target information SLC27A5

Publications (1)

Recent publications for all applications. Explore the full list and refine your search

Journal of gastroenterology 55:227-243 PubMed31602526

2019

Hepatic FATP5 expression is associated with histological progression and loss of hepatic fat in NAFLD patients.

Applications

Unspecified application

Species

Unspecified reactive species

Kenichiro Enooku,Takeya Tsutsumi,Mayuko Kondo,Naoto Fujiwara,Takayoshi Sasako,Junji Shibahara,Akira Kado,Kazuya Okushin,Hidetaka Fujinaga,Ryo Nakagomi,Tatsuya Minami,Masaya Sato,Koji Uchino,Hayato Nakagawa,Yuji Kondo,Yoshinari Asaoka,Ryosuke Tateishi,Kohjiro Ueki,Hitoshi Ikeda,Haruhiko Yoshida,Kyoji Moriya,Hiroshi Yotsuyanagi,Takashi Kadowaki,Kazuhiko Koike
View all publications

Product promise

We are committed to supporting your work with high-quality reagents, and we're here for you every step of the way. In the unlikely event that one of our products does not perform as expected, you're protected by our Product Promise.
For full details, please see our Terms & Conditions

Associated Products

Select an associated product type
Alternative Product
Primary Antibodies

AB74869

Anti-SLC27A5/BAL antibody

primary-antibodies

slc27a5-bal-antibody-ab74869

0

(0 reviews)

Please note: All products are 'FOR RESEARCH USE ONLY. NOT FOR USE IN DIAGNOSTIC OR THERAPEUTIC PROCEDURES'.

For licensing inquiries, please contact partnerships@abcam.com