JavaScript is disabled in your browser. Please enable JavaScript to view this website.
AB133385

Anti-SLC31A1 / CTR1 antibody

Be the first to review this product! Submit a review

|

(8 Publications)

Rabbit Polyclonal SLC31A1 / CTR1 antibody. Suitable for IHC-P and reacts with Human samples. Cited in 8 publications. Immunogen corresponding to Synthetic Peptide within Human SLC31A1.

View Alternative Names

COPT1, CTR1, SLC31A1, High affinity copper uptake protein 1, Copper transporter 1, Solute carrier family 31 member 1, hCTR1

2 Images
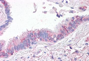
Immunohistochemistry (Formalin/PFA-fixed paraffin-embedded sections) - Anti-SLC31A1 / CTR1 antibody (AB133385)
  • IHC-P

Unknown

Immunohistochemistry (Formalin/PFA-fixed paraffin-embedded sections) - Anti-SLC31A1 / CTR1 antibody (AB133385)

Immunohistochemical analysis of formalin-fixed, paraffin embedded Human lung, respiratory epithelium, tissue labelling SLC31A1 / CTR1 with ab133385 at 15 µg/ml. Followed by biotinylated goat anti-rabbit IgG secondary antibody, alkaline phosphatase-streptavidin and chromogen.

Immunohistochemistry (Formalin/PFA-fixed paraffin-embedded sections) - Anti-SLC31A1 / CTR1 antibody (AB133385)
  • IHC-P

Unknown

Immunohistochemistry (Formalin/PFA-fixed paraffin-embedded sections) - Anti-SLC31A1 / CTR1 antibody (AB133385)

Immunohistochemical analysis of formalin-fixed, paraffin embedded Human placenta tissue labelling SLC31A1 / CTR1 with ab133385 at 15 µg/ml. Followed by biotinylated goat anti-rabbit IgG secondary antibody, alkaline phosphatase-streptavidin and chromogen.

Key facts

Host species

Rabbit

Clonality

Polyclonal

Isotype

IgG

Carrier free

No

Reacts with

Human

Applications

IHC-P

applications

Immunogen

Synthetic Peptide within Human SLC31A1. The exact immunogen used to generate this antibody is proprietary information.

O15431

Specificity

BLAST analysis of the peptide immunogen showed no homology with other human proteins.

Reactivity data

{ "title": "Reactivity Data", "filters": { "stats": ["", "Species", "Dilution Info", "Notes"], "tabs": { "all-applications": {"fullname" : "All Applications", "shortname": "All Applications"}, "IHCP" : {"fullname" : "Immunohistochemistry (Formalin/PFA-fixed paraffin-embedded sections)", "shortname":"IHC-P"} }, "product-promise": { "all": "all", "testedAndGuaranteed": "tested", "guaranteed": "expected", "predicted": "predicted", "notRecommended": "not-recommended" } }, "values": { "Human": { "IHCP-species-checked": "testedAndGuaranteed", "IHCP-species-dilution-info": "15 µg/mL", "IHCP-species-notes": "<p></p> Perform heat-mediated antigen retrieval with citrate buffer pH 6 before commencing with IHC staining protocol." }, "Mouse": { "IHCP-species-checked": "predicted", "IHCP-species-dilution-info": "", "IHCP-species-notes": "" }, "Rat": { "IHCP-species-checked": "predicted", "IHCP-species-dilution-info": "", "IHCP-species-notes": "" }, "Chicken": { "IHCP-species-checked": "predicted", "IHCP-species-dilution-info": "", "IHCP-species-notes": "" }, "Common marmoset": { "IHCP-species-checked": "predicted", "IHCP-species-dilution-info": "", "IHCP-species-notes": "" }, "Cow": { "IHCP-species-checked": "predicted", "IHCP-species-dilution-info": "", "IHCP-species-notes": "" }, "Dog": { "IHCP-species-checked": "predicted", "IHCP-species-dilution-info": "", "IHCP-species-notes": "" }, "Elephant": { "IHCP-species-checked": "predicted", "IHCP-species-dilution-info": "", "IHCP-species-notes": "" }, "Gorilla": { "IHCP-species-checked": "predicted", "IHCP-species-dilution-info": "", "IHCP-species-notes": "" }, "Hamster": { "IHCP-species-checked": "predicted", "IHCP-species-dilution-info": "", "IHCP-species-notes": "" }, "Horse": { "IHCP-species-checked": "predicted", "IHCP-species-dilution-info": "", "IHCP-species-notes": "" }, "Monkey": { "IHCP-species-checked": "predicted", "IHCP-species-dilution-info": "", "IHCP-species-notes": "" }, "Opossum": { "IHCP-species-checked": "predicted", "IHCP-species-dilution-info": "", "IHCP-species-notes": "" }, "Orangutan": { "IHCP-species-checked": "predicted", "IHCP-species-dilution-info": "", "IHCP-species-notes": "" }, "Pig": { "IHCP-species-checked": "predicted", "IHCP-species-dilution-info": "", "IHCP-species-notes": "" }, "Platypus": { "IHCP-species-checked": "predicted", "IHCP-species-dilution-info": "", "IHCP-species-notes": "" }, "Rabbit": { "IHCP-species-checked": "predicted", "IHCP-species-dilution-info": "", "IHCP-species-notes": "" }, "Turkey": { "IHCP-species-checked": "predicted", "IHCP-species-dilution-info": "", "IHCP-species-notes": "" } } }

Properties and storage information

Form
Liquid
Purification technique
Affinity purification Immunogen
Storage buffer
pH: 7.4 Preservative: 0.1% Sodium azide Constituents: PBS
Shipped at conditions
Blue Ice
Appropriate short-term storage conditions
+4°C
Appropriate long-term storage conditions
-80°C
Aliquoting information
Upon delivery aliquot
Storage information
Avoid freeze / thaw cycle

Product protocols

For this product, it's our understanding that no specific protocols are required. You can visit:

Target data

High affinity copper uptake protein 1. Uniporter that mediates the transport of copper(1+) from the extracellular space to the cytoplasm, across the plasma membrane (PubMed : 11734551, PubMed : 16135512, PubMed : 17525160, PubMed : 19740744, PubMed : 20451502, PubMed : 20569931, PubMed : 23658018) and delivers directly copper(1+) to specific chaperone such as ATOX1, via a copper(1+)- mediated transient interaction between the C-terminal domain and a copper(1+) chaperone, thus controlling intracellular copper(1+) levels (PubMed : 11734551, PubMed : 16135512, PubMed : 17525160, PubMed : 19740744, PubMed : 20451502, PubMed : 20569931, PubMed : 23658018, PubMed : 26745413). May function in copper(1+) import from the apical membrane thus may drive intestinal copper absorption (By similarity). The copper(1+) transport mechanism is sodium-independent, saturable and of high-affinity (PubMed : 11734551). Also mediates the uptake of silver(1+) (PubMed : 20569931). May function in the influx of the platinum-containing chemotherapeutic agents (PubMed : 20451502, PubMed : 20569931). The platinum-containing chemotherapeutic agents uptake is saturable (By similarity). In vitro, mediates the transport of cadmium(2+) into cells (PubMed : 33294387). Also participates in the first step of copper(2+) acquisition by cells through a direct transfer of copper(2+) from copper(2+) carriers in blood, such as ALB to the N-terminal domain of SLC31A1, leading to copper(2+) reduction and probably followed by copper(1+) stabilization (PubMed : 30489586). In addition, functions as a redox sensor to promote angiogenesis in endothelial cells, in a copper(1+) transport independent manner, by transmitting the VEGF-induced ROS signal through a sulfenylation at Cys-189 leadin g to a subsequent disulfide bond formation between SLC31A1 and KDR (PubMed : 35027734). The SLC31A1-KDR complex is then co-internalized to early endosomes, driving a sustained VEGFR2 signaling (PubMed : 35027734).. Truncated CTR1 form. Mobilizes copper(1+) out of the endosomal compartment, making copper(1+) available for export out of the cells.
See full target information SLC31A1

Publications (8)

Recent publications for all applications. Explore the full list and refine your search

Frontiers in immunology 15:1481129 PubMed39654888

2024

IAPP blocks anti-breast cancer function of CD8T cells via targeting cuproptosis.

Applications

Unspecified application

Species

Unspecified reactive species

Dandan Guo,Zhijian Huang,Qianqian Wang,Wei Chen,Yu Huang,Xinhao Sun,Jian Chen,Shuying Feng

International journal of immunopathology and pharmacology 38:3946320241240706 PubMed38712735

2024

Revealing the potential of solute carrier family 31 (copper transporters), member 1: Insights into its role in bladder cancer progression and therapeutic implications.

Applications

Unspecified application

Species

Unspecified reactive species

Yun-Zhi Lin,Wei-Hui Liu,Yu-Peng Wu,Hai Cai,Qing-Shui Zheng,Yong Wei,Ning Xu,Xue-Yi Xue

Cancer cell international 22:328 PubMed36307842

2022

Molecular subtypes based on cuproptosis-related genes and tumor microenvironment infiltration characterization in ovarian cancer.

Applications

Unspecified application

Species

Unspecified reactive species

Jingjing Zhang,Miao Lu,Haoya Xu,Fang Ren,Liancheng Zhu

American journal of cancer research 12:2558-2575 PubMed35812057

2022

TDO2 and tryptophan metabolites promote kynurenine/AhR signals to facilitate glioma progression and immunosuppression.

Applications

Unspecified application

Species

Unspecified reactive species

Chuanhong Zhong,Lilei Peng,Bei Tao,Senlin Yin,Liang Lyu,Hao Ding,Xiaobo Yang,Tangming Peng,Haiping He,Peizhi Zhou

EBioMedicine 71:103558 PubMed34521054

2021

ZNF711 down-regulation promotes CISPLATIN resistance in epithelial ovarian cancer via interacting with JHDM2A and suppressing SLC31A1 expression.

Applications

Unspecified application

Species

Unspecified reactive species

Geyan Wu,Hu Peng,Miaoling Tang,Meisongzhu Yang,Jun Wang,Yameng Hu,Ziwen Li,Jun Li,Zheng Li,Libing Song

Cancer research 80:4129-4144 PubMed32816860

2020

Intratumoral Copper Modulates PD-L1 Expression and Influences Tumor Immune Evasion.

Applications

Unspecified application

Species

Unspecified reactive species

Florida Voli,Emanuele Valli,Luigi Lerra,Kathleen Kimpton,Federica Saletta,Federico M Giorgi,Daniele Mercatelli,Jourdin R C Rouaen,Sylvie Shen,Jayne E Murray,Aria Ahmed-Cox,Giuseppe Cirillo,Chelsea Mayoh,Paul A Beavis,Michelle Haber,Joseph A Trapani,Maria Kavallaris,Orazio Vittorio

Theranostics 8:5645-5659 PubMed30555570

2018

[Cu]CuCl PET imaging reveals activity of Dextran-Catechin on tumor copper homeostasis.

Applications

Unspecified application

Species

Unspecified reactive species

Arvind Parmar,Giancarlo Pascali,Florida Voli,Luigi Lerra,Eugene Yee,Aria Ahmed-Cox,Kathleen Kimpton,Giuseppe Cirillo,Andrew Arthur,David Zahra,Gita Rahardjo,Guo Jun Liu,Nigel Lengkeek,Federica Saletta,Arnaud Charil,Maria Kavallaris,Orazio Vittorio

Oncology letters 14:5791-5800 PubMed29113209

2017

Prognostic value of copper transporter 1 expression in patients with clear cell renal cell carcinoma.

Applications

Unspecified application

Species

Unspecified reactive species

Yu Xia,Li Liu,Qi Bai,Qilai Long,Jiajun Wang,Wei Xi,Jiejie Xu,Jianming Guo
View all publications

Product promise

We are committed to supporting your work with high-quality reagents, and we're here for you every step of the way. In the unlikely event that one of our products does not perform as expected, you're protected by our Product Promise.
For full details, please see our Terms & Conditions

Please note: All products are 'FOR RESEARCH USE ONLY. NOT FOR USE IN DIAGNOSTIC OR THERAPEUTIC PROCEDURES'.

For licensing inquiries, please contact partnerships@abcam.com