JavaScript is disabled in your browser. Please enable JavaScript to view this website.
AB325747

Anti-SLC34A2 antibody [EPR30528-645]

  • RabMAb
  • Recombinant
  • 20ul selling size
  • Advanced Validation
  • What is this?

Be the first to review this product! Submit a review

|

(0 Publication)

Rabbit Recombinant Monoclonal SLC34A2 antibody. Suitable for WB, IHC-P, mIHC and reacts with Transfected cell lysate - Human, Human samples.

View Alternative Names

Sodium-dependent phosphate transport protein 2B, Sodium-phosphate transport protein 2B, Na(+)-dependent phosphate cotransporter 2B, NaPi3b, Sodium/phosphate cotransporter 2B, Solute carrier family 34 member 2, Na(+)/Pi cotransporter 2B, NaPi-2b, SLC34A2

10 Images
Multiplex immunohistochemistry - Anti-SLC34A2 antibody [EPR30528-645] (AB325747)
  • mIHC

Lab

Multiplex immunohistochemistry - Anti-SLC34A2 antibody [EPR30528-645] (AB325747)

Multiplex immunohistochemistry analysis of formalin/PFA-fixed paraffin-embedded human endometrium tissue staining SLC34A2 with ab325747 at a 1 : 500 (0.99 ug/ml) dilution, ab40772 anti-E Cadherin used at 1 : 1000 (0.325 ug/ml) dilution and ab255609 anti-CD10 used at a 1 : 1000 (0.615 ug/ml) dilution.

Panel A : merged staining of anti-SLC34A2 (green; Opal™520), anti-E Cadherin (magenta; Opal™570) and anti-CD10 (gray; Opal™690) on human endometrium.
Panel B : anti-SLC34A2 staining apical cell membrane of glandular cells in human endometrium.
Panel C : anti-E Cadherin staining glandular cells in human endometrium.
Panel D : anti-CD10 staining stromal cells in human endometrium.
Nuclear DNA was labeled with DAPI (shown in blue).

The section was incubated in three rounds of staining : in the order of ab325747, ab40772 and ab255609 for 30 mins at room temperature. Each round was followed by a separate fluorescent tyramide signal amplification system.

The immunostaining was performed on a Leica Biosystems BOND® RX instrument with an Opal™ 4-color kit. Image acquisition was performed with Leica SP8 confocal microscope.

Heat mediated antigen retrieval with Tris-EDTA buffer (pH 9.0, epitope retrieval solution2) for 20 mins.

Multiplex immunohistochemistry - Anti-SLC34A2 antibody [EPR30528-645] (AB325747)
  • mIHC

Lab

Multiplex immunohistochemistry - Anti-SLC34A2 antibody [EPR30528-645] (AB325747)

Multiplex immunohistochemistry analysis of formalin/PFA-fixed paraffin-embedded human endometrial cancer tissue staining SLC34A2 with ab325747 at a 1 : 500 (0.99 ug/ml) dilution, ab40772 anti-E Cadherin used at 1 : 1000 (0.325 ug/ml) dilution and ab255609 anti-CD10 used at a 1 : 1000 (0.615 ug/ml) dilution.

Panel A : merged staining of anti-SLC34A2 (green; Opal™520), anti-E Cadherin (magenta; Opal™570) and anti-CD10 (gray; Opal™690) on human endometrial cancer.
Panel B : anti-SLC34A2 staining apical cell membrane of glandular cells in human endometrial cancer.
Panel C : anti-E Cadherin staining glandular cells in human endometrial cancer.
Panel D : anti-CD10 staining stromal cells in human endometrial cancer.
Nuclear DNA was labeled with DAPI (shown in blue).

The section was incubated in three rounds of staining : in the order of ab325747, ab40772 and ab255609 for 30 mins at room temperature. Each round was followed by a separate fluorescent tyramide signal amplification system.

The immunostaining was performed on a Leica Biosystems BOND® RX instrument with an Opal™ 4-color kit. Image acquisition was performed with Leica SP8 confocal microscope.

Heat mediated antigen retrieval with Tris-EDTA buffer (pH 9.0, epitope retrieval solution2) for 20 mins.

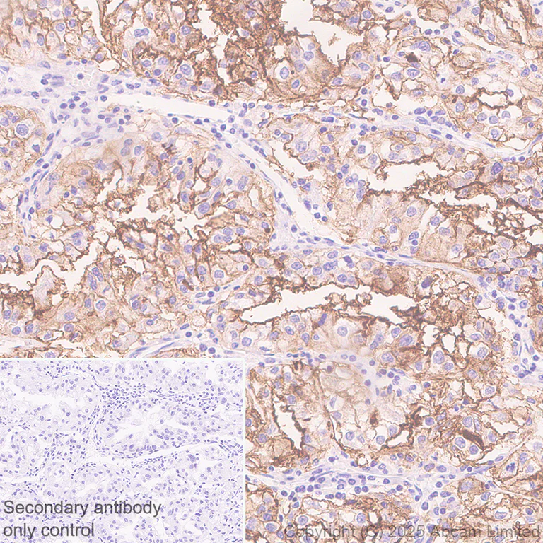
Immunohistochemistry (Formalin/PFA-fixed paraffin-embedded sections) - Anti-SLC34A2 antibody [EPR30528-645] (AB325747)
  • IHC-P

Lab

Immunohistochemistry (Formalin/PFA-fixed paraffin-embedded sections) - Anti-SLC34A2 antibody [EPR30528-645] (AB325747)

Immunohistochemical analysis of paraffin-embedded Human lung carcinoma tissue labeling SLC34A2 with ab325747 at 1/500 (0.99 ug/ml) dilution, followed by a ready to use LeicaDS9800 (Bond™ Polymer Refine Detection).

Positive staining on human lung carcinoma. The primary antibody was incubated for 30 mins at room temperature.

The immunostaining was performed on a Leica Biosystems BOND® RX instrument

Counterstained with Hematoxylin.

Secondary antibody only control : Secondary antibody is a ready to use LeicaDS9800 (Bond™ Polymer Refine Detection).

Heat mediated antigen retrieval was performed with Tris-EDTA buffer (pH 9.0, Epitope Retrieval Solution2) for 20 mins

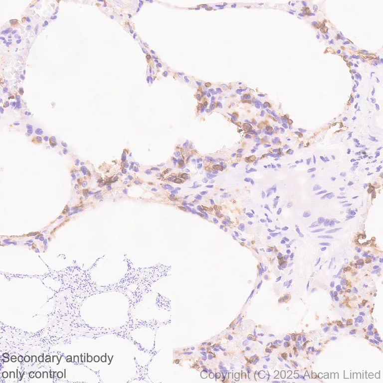
Immunohistochemistry (Formalin/PFA-fixed paraffin-embedded sections) - Anti-SLC34A2 antibody [EPR30528-645] (AB325747)
  • IHC-P

Lab

Immunohistochemistry (Formalin/PFA-fixed paraffin-embedded sections) - Anti-SLC34A2 antibody [EPR30528-645] (AB325747)

Immunohistochemical analysis of paraffin-embedded Human lung tissue labeling SLC34A2 with ab325747 at 1/500 (0.99 ug/ml) dilution, followed by a ready to use LeicaDS9800 (Bond™ Polymer Refine Detection).

Positive staining on human lung. The primary antibody was incubated for 30 mins at room temperature.

The immunostaining was performed on a Leica Biosystems BOND® RX instrument

Counterstained with Hematoxylin.

Secondary antibody only control : Secondary antibody is a ready to use LeicaDS9800 (Bond™ Polymer Refine Detection).

Heat mediated antigen retrieval was performed with Tris-EDTA buffer (pH 9.0, Epitope Retrieval Solution2) for 20 mins

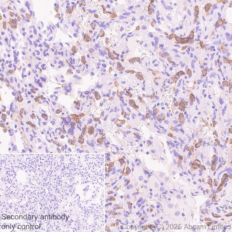
Immunohistochemistry (Formalin/PFA-fixed paraffin-embedded sections) - Anti-SLC34A2 antibody [EPR30528-645] (AB325747)
  • IHC-P

Lab

Immunohistochemistry (Formalin/PFA-fixed paraffin-embedded sections) - Anti-SLC34A2 antibody [EPR30528-645] (AB325747)

Immunohistochemical analysis of paraffin-embedded Clear cell carcinoma of human kidney tissue labeling SLC34A2 with ab325747 at 1/500 (0.99 ug/ml) dilution, followed by a ready to use LeicaDS9800 (Bond™ Polymer Refine Detection).

Positive staining on clear cell carcinoma of human kidney. The primary antibody was incubated for 30 mins at room temperature.

The immunostaining was performed on a Leica Biosystems BOND® RX instrument

Counterstained with Hematoxylin.

Secondary antibody only control : Secondary antibody is a ready to use LeicaDS9800 (Bond™ Polymer Refine Detection).

Heat mediated antigen retrieval was performed with Tris-EDTA buffer (pH 9.0, Epitope Retrieval Solution2) for 20 mins

Immunohistochemistry (Formalin/PFA-fixed paraffin-embedded sections) - Anti-SLC34A2 antibody [EPR30528-645] (AB325747)
  • IHC-P

Lab

Immunohistochemistry (Formalin/PFA-fixed paraffin-embedded sections) - Anti-SLC34A2 antibody [EPR30528-645] (AB325747)

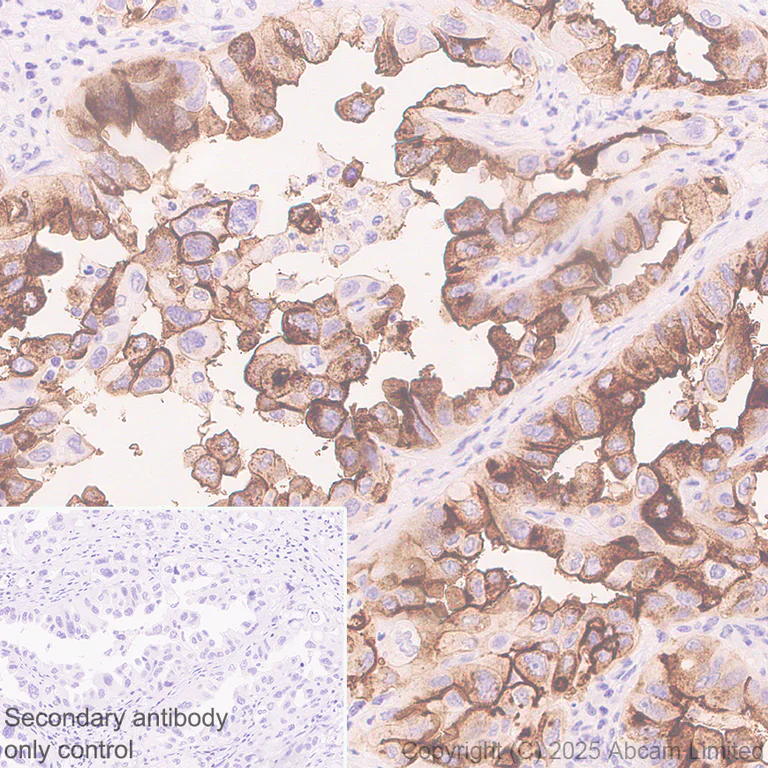
Immunohistochemical analysis of paraffin-embedded Human ovarian carcinoma tissue labeling SLC34A2 with ab325747 at 1/500 (0.99 ug/ml) dilution, followed by a ready to use LeicaDS9800 (Bond™ Polymer Refine Detection).

Positive staining on human ovarian carcinoma. The primary antibody was incubated for 30 mins at room temperature.

The immunostaining was performed on a Leica Biosystems BOND® RX instrument

Counterstained with Hematoxylin.

Secondary antibody only control : Secondary antibody is a ready to use LeicaDS9800 (Bond™ Polymer Refine Detection).

Heat mediated antigen retrieval was performed with Tris-EDTA buffer (pH 9.0, Epitope Retrieval Solution2) for 20 mins

Immunohistochemistry (Formalin/PFA-fixed paraffin-embedded sections) - Anti-SLC34A2 antibody [EPR30528-645] (AB325747)
  • IHC-P

Lab

Immunohistochemistry (Formalin/PFA-fixed paraffin-embedded sections) - Anti-SLC34A2 antibody [EPR30528-645] (AB325747)

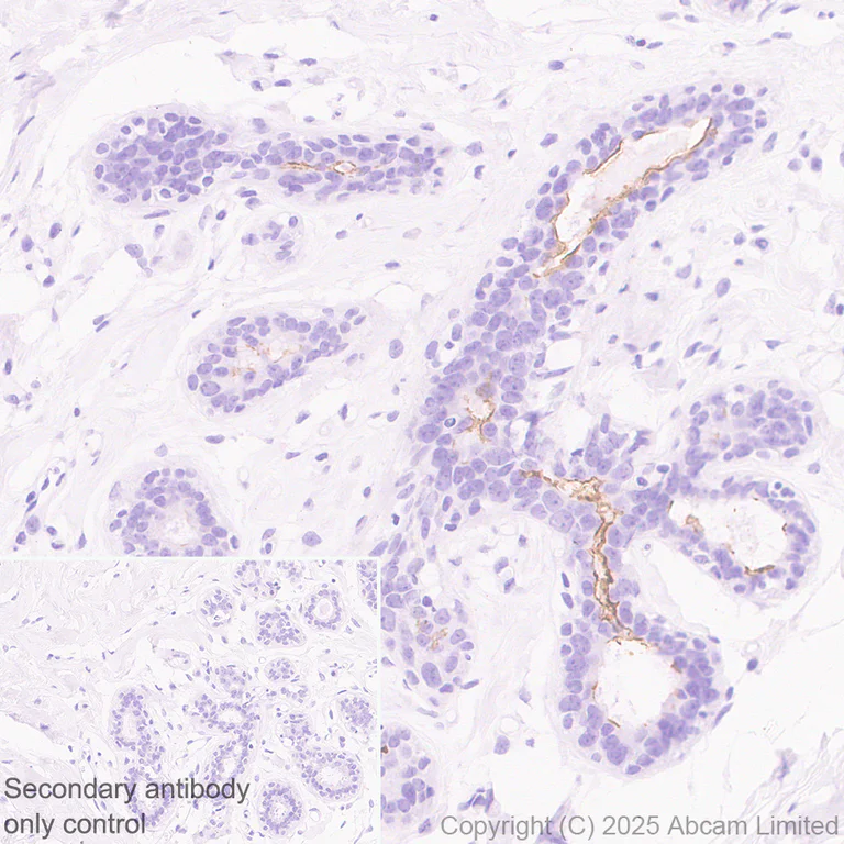
Immunohistochemical analysis of paraffin-embedded Human breast tissue labeling SLC34A2 with ab325747 at 1/500 (0.99 ug/ml) dilution, followed by a ready to use LeicaDS9800 (Bond™ Polymer Refine Detection).

Positive staining on apical cell membrane of human breast. The primary antibody was incubated for 30 mins at room temperature.

The immunostaining was performed on a Leica Biosystems BOND® RX instrument

Counterstained with Hematoxylin.

Secondary antibody only control : Secondary antibody is a ready to use LeicaDS9800 (Bond™ Polymer Refine Detection).

Heat mediated antigen retrieval was performed with Tris-EDTA buffer (pH 9.0, Epitope Retrieval Solution2) for 20 mins

Western blot - Anti-SLC34A2 antibody [EPR30528-645] (AB325747)
  • WB

Lab

Western blot - Anti-SLC34A2 antibody [EPR30528-645] (AB325747)

Blocking and diluting buffer and concentration : 5% NFDM/TBST.

Negative control : HepG2, U-2 OS, SUM149PT.

In Western blot, Anti-GAPDH antibody [EPR16891] - Loading Control (ab181602) (1 : 200000) (36KDa).

All lanes:

Western blot - Anti-SLC34A2 antibody [EPR30528-645] (ab325747) at 1/1000 dilution

Lane 1:

NIH:OVCAR-3 (human ovary adenocarcinoma epithelial cell) whole cell lysate at 20 µg

Lane 2:

HepG2 (human hepatocellular carcinoma epithelial cell) whole cell lysate at 20 µg

Lane 3:

SUM149PT (human breast adenocarcinoma cell) whole cell lysate at 20 µg

Lane 4:

U-2 OS (human bone osteosarcoma epithelial cell) whole cell lysate at 20 µg

Secondary

All lanes:

Western blot - Goat Anti-Rabbit IgG H&L (HRP) (<a href='/en-us/products/secondary-antibodies/goat-rabbit-igg-h-l-hrp-ab97051'>ab97051</a>) at 1/20000 dilution

Observed band size: 75-100 kDa,36 kDa

false

Exposure time: 48s

Immunohistochemistry (Formalin/PFA-fixed paraffin-embedded sections) - Anti-SLC34A2 antibody [EPR30528-645] (AB325747)
  • IHC-P

Lab

Immunohistochemistry (Formalin/PFA-fixed paraffin-embedded sections) - Anti-SLC34A2 antibody [EPR30528-645] (AB325747)

Immunohistochemical analysis of paraffin-embedded Human liver tissue labeling SLC34A2 with ab325747 at 1/500 (0.99 ug/ml) dilution, followed by a ready to use LeicaDS9800 (Bond™ Polymer Refine Detection).

Negative control : no staining on human liver. The primary antibody was incubated for 30 mins at room temperature. The immunostaining was performed on a Leica Biosystems BOND® RX instrument.

Counterstained with Hematoxylin.

Secondary antibody only control : Secondary antibody is a ready to use LeicaDS9800 (Bond™ Polymer Refine Detection).

Heat mediated antigen retrieval was performed with Tris-EDTA buffer (pH 9.0, Epitope Retrieval Solution2) for 20 mins

Western blot - Anti-SLC34A2 antibody [EPR30528-645] (AB325747)
  • WB

Lab

Western blot - Anti-SLC34A2 antibody [EPR30528-645] (AB325747)

Blocking and diluting buffer and concentration : 5% NFDM/TBST.

This antibody does not cross-react with overexpressed human SLC34A1 or SLC34A3 by western blot.

In Western blot, Anti-GAPDH antibody [EPR16891] - Loading Control (ab181602) (1 : 200000) (36KDa); Anti-6X His tag® antibody [EPR20547] - ChIP Grade (ab213204) (1 : 5000) (75-100KDa).

All lanes:

Western blot - Anti-SLC34A2 antibody [EPR30528-645] (ab325747) at 1/1000 dilution

Lane 1:

293T (human embryonic kidney epithelial cell) cells transfected with an empty vector containing a myc-His-tag® whole cell lysate at 5 µg

Lane 2:

293T cells transfected with human SLC34A2 expression vector containing a myc-His-tag® whole cell lysate at 5 µg

Lane 3:

293T cells transfected with human SLC34A1 expression vector containing a myc-His-tag® whole cell lysate at 5 µg

Lane 4:

293T cells transfected with human SLC34A3 expression vector containing a myc-His-tag® whole cell lysate at 5 µg

Secondary

All lanes:

Western blot - Goat Anti-Rabbit IgG H&L (HRP) (<a href='/en-us/products/secondary-antibodies/goat-rabbit-igg-h-l-hrp-ab97051'>ab97051</a>) at 1/100000 dilution

Observed band size: 75-150 kDa,36 kDa,75-100 kDa

false

Exposure time: 15s

Key facts

Host species

Rabbit

Clonality

Monoclonal

Clone number

EPR30528-645

Isotype

IgG

Carrier free

No

Reacts with

Human

Applications

mIHC, IHC-P, WB

applications

Immunogen

The exact immunogen used to generate this antibody is proprietary information.

Reactivity data

{ "title": "Reactivity Data", "filters": { "stats": ["", "Species", "Dilution Info", "Notes"], "tabs": { "all-applications": {"fullname" : "All Applications", "shortname": "All Applications"}, "WB" : {"fullname" : "Western blot", "shortname":"WB"}, "IHCP" : {"fullname" : "Immunohistochemistry (Formalin/PFA-fixed paraffin-embedded sections)", "shortname":"IHC-P"}, "mIHC" : {"fullname" : "Multiplex immunohistochemistry", "shortname":"mIHC"} }, "product-promise": { "all": "all", "testedAndGuaranteed": "tested", "guaranteed": "expected", "predicted": "predicted", "notRecommended": "not-recommended" } }, "values": { "Human": { "WB-species-checked": "testedAndGuaranteed", "WB-species-dilution-info": "1/1000", "WB-species-notes": "<p></p>", "IHCP-species-checked": "testedAndGuaranteed", "IHCP-species-dilution-info": "1/500", "IHCP-species-notes": "<p></p> Perform heat-mediated antigen retrieval with Tris/EDTA buffer pH 9.0 before commencing with IHC staining protocol.", "mIHC-species-checked": "testedAndGuaranteed", "mIHC-species-dilution-info": "1/500", "mIHC-species-notes": "<p></p> Perform heat-mediated antigen retrieval with Tris/EDTA buffer pH 9.0 before commencing with IHC staining protocol." }, "Transfected cell lysate - Human": { "WB-species-checked": "testedAndGuaranteed", "WB-species-dilution-info": "1/1000", "WB-species-notes": "<p></p>", "IHCP-species-checked": "notRecommended", "IHCP-species-dilution-info": "", "IHCP-species-notes": "", "mIHC-species-checked": "notRecommended", "mIHC-species-dilution-info": "", "mIHC-species-notes": "" } } }

Product details

Patented technology
Our RabMAb® technology is a patented hybridoma-based technology for making rabbit monoclonal antibodies. For details on our patents, please refer to RabMAb® patents.

What are the advantages of a recombinant monoclonal antibody?
This product is a recombinant monoclonal antibody, which offers several advantages including:

  • - High batch-to-batch consistency and reproducibility
  • - Improved sensitivity and specificity
  • - Long-term security of supply
  • - Animal-free batch production

For more information, read more on recombinant antibodies.

Properties and storage information

Form
Liquid
Purification technique
Affinity purification Protein A
Storage buffer
pH: 7.2 - 7.4 Preservative: 0.01% Sodium azide Constituents: PBS, 40% Glycerol (glycerin, glycerine), 0.05% BSA
Shipped at conditions
Blue Ice
Appropriate short-term storage duration
1-2 weeks
Appropriate short-term storage conditions
+4°C
Appropriate long-term storage conditions
-20°C
Aliquoting information
Upon delivery aliquot
Storage information
Avoid freeze / thaw cycle

Product protocols

For this product, it's our understanding that no specific protocols are required. You can visit:

Target data

Involved in actively transporting phosphate into cells via Na(+) cotransport.
See full target information SLC34A2

Product promise

We are committed to supporting your work with high-quality reagents, and we're here for you every step of the way. In the unlikely event that one of our products does not perform as expected, you're protected by our Product Promise.
For full details, please see our Terms & Conditions

Please note: All products are 'FOR RESEARCH USE ONLY. NOT FOR USE IN DIAGNOSTIC OR THERAPEUTIC PROCEDURES'.

For licensing inquiries, please contact partnerships@abcam.com