JavaScript is disabled in your browser. Please enable JavaScript to view this website.
AB121830

Anti-SLC38A10 antibody

Be the first to review this product! Submit a review

|

(2 Publications)

Rabbit Polyclonal SLC38A10 antibody. Suitable for IHC-P, ICC/IF and reacts with Human samples. Cited in 2 publications. Immunogen corresponding to Recombinant Fragment Protein within Human SLC38A10 aa 400-500.

View Alternative Names

PP1744, SLC38A10, Solute carrier family 38 member 10, Amino acid transporter SLC38A10

2 Images
Immunocytochemistry/ Immunofluorescence - Anti-SLC38A10 antibody (AB121830)
  • ICC/IF

Unknown

Immunocytochemistry/ Immunofluorescence - Anti-SLC38A10 antibody (AB121830)

Immunofluorescent staining of Human cell line U-2 OS shows positivity in golgi apparatus. Recommended concentration of ab121830 1-4 µg/ml. Cells treated with PFA/Triton X-100.

Immunohistochemistry (Formalin/PFA-fixed paraffin-embedded sections) - Anti-SLC38A10 antibody (AB121830)
  • IHC-P

Unknown

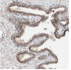
Immunohistochemistry (Formalin/PFA-fixed paraffin-embedded sections) - Anti-SLC38A10 antibody (AB121830)

ab121830, at a 1/150 dilution, staining SLC38A10 in paraffin embedded Human prostate tissue by Immunohistochemistry.

Key facts

Host species

Rabbit

Clonality

Polyclonal

Isotype

IgG

Carrier free

No

Reacts with

Human

Applications

ICC/IF, IHC-P

applications

Immunogen

Recombinant Fragment Protein within Human SLC38A10 aa 400-500. The exact immunogen used to generate this antibody is proprietary information.

Q9HBR0

Reactivity data

{ "title": "Reactivity Data", "filters": { "stats": ["", "Species", "Dilution Info", "Notes"], "tabs": { "all-applications": {"fullname" : "All Applications", "shortname": "All Applications"}, "IHCP" : {"fullname" : "Immunohistochemistry (Formalin/PFA-fixed paraffin-embedded sections)", "shortname":"IHC-P"}, "ICCIF" : {"fullname" : "Immunocytochemistry/ Immunofluorescence", "shortname":"ICC/IF"} }, "product-promise": { "all": "all", "testedAndGuaranteed": "tested", "guaranteed": "expected", "predicted": "predicted", "notRecommended": "not-recommended" } }, "values": { "Human": { "IHCP-species-checked": "testedAndGuaranteed", "IHCP-species-dilution-info": "1/50 - 1/200", "IHCP-species-notes": "<p></p> Perform heat-mediated antigen retrieval with citrate buffer pH 6 before commencing with IHC staining protocol.", "ICCIF-species-checked": "testedAndGuaranteed", "ICCIF-species-dilution-info": "0.25-2 µg/mL", "ICCIF-species-notes": "<p></p>" } } }

Properties and storage information

Form
Liquid
Purification technique
Affinity purification Immunogen
Storage buffer
pH: 7.2 Preservative: 0.02% Sodium azide Constituents: PBS, 40% Glycerol (glycerin, glycerine)
Shipped at conditions
Blue Ice
Appropriate short-term storage conditions
+4°C
Appropriate long-term storage conditions
-20°C
Aliquoting information
Upon delivery aliquot
Storage information
Avoid freeze / thaw cycle

Product protocols

For this product, it's our understanding that no specific protocols are required. You can visit:

Target data

Facilitates bidirectional transport of amino acids. May act as a glutamate sensor that regulates glutamate-glutamine cycle and mTOR signaling in the brain. The transport mechanism remains to be elucidated.
See full target information SLC38A10

Publications (2)

Recent publications for all applications. Explore the full list and refine your search

Cancer discovery 13:332-347 PubMed36259929

2022

A Dynamic rRNA Ribomethylome Drives Stemness in Acute Myeloid Leukemia.

Applications

Unspecified application

Species

Unspecified reactive species

Fengbiao Zhou,Nesrine Aroua,Yi Liu,Christian Rohde,Jingdong Cheng,Anna-Katharina Wirth,Daria Fijalkowska,Stefanie Göllner,Michelle Lotze,Haiyang Yun,Xiaobing Yu,Caroline Pabst,Tim Sauer,Thomas Oellerich,Hubert Serve,Christoph Röllig,Martin Bornhäuser,Christian Thiede,Claudia Baldus,Michaela Frye,Simon Raffel,Jeroen Krijgsveld,Irmela Jeremias,Roland Beckmann,Andreas Trumpp,Carsten Müller-Tidow

American journal of physiology. Renal physiology 313:F973-F983 PubMed28724612

2017

Regulation of PDZ domain-containing 1 (PDZK1) expression by hepatocyte nuclear factor-1α (HNF1α) in human kidney.

Applications

Unspecified application

Species

Unspecified reactive species

Katharina Prestin,Janine Hussner,Celio Ferreira,Isabell Seibert,Vivien Breitung,Uwe Zimmermann,Henriette E Meyer Zu Schwabedissen
View all publications

Product promise

We are committed to supporting your work with high-quality reagents, and we're here for you every step of the way. In the unlikely event that one of our products does not perform as expected, you're protected by our Product Promise.
For full details, please see our Terms & Conditions

Please note: All products are 'FOR RESEARCH USE ONLY. NOT FOR USE IN DIAGNOSTIC OR THERAPEUTIC PROCEDURES'.

For licensing inquiries, please contact partnerships@abcam.com