JavaScript is disabled in your browser. Please enable JavaScript to view this website.
AB317686

Anti-SLC38A5 / SNAT5 antibody [EPR27109-86] - BSA and Azide free

Be the first to review this product! Submit a review

|

(0 Publication)

Rabbit Recombinant Monoclonal SLC38A5 / SNAT5 antibody. Carrier free. Suitable for Flow Cyt, IHC-P and reacts with Human samples.

View Alternative Names

JM24, SN2, SNAT5, PP7194, SLC38A5, Sodium-coupled neutral amino acid transporter 5, Solute carrier family 38 member 5, System N transporter 2

6 Images
Immunohistochemistry (Formalin/PFA-fixed paraffin-embedded sections) - Anti-SLC38A5 / SNAT5 antibody [EPR27109-86] - BSA and Azide free (AB317686)
  • IHC-P

Supplier Data

Immunohistochemistry (Formalin/PFA-fixed paraffin-embedded sections) - Anti-SLC38A5 / SNAT5 antibody [EPR27109-86] - BSA and Azide free (AB317686)

This data was developed using ab317685, the same antibody clone in a different buffer formulation.

Immunohistochemical analysis of paraffin-embedded Human cardiac muscle tissue labeling SLC38A5 / SNAT5 with ab317685 at 1/2000 (0.248 ug/ml) dilution, followed by a ready to use LeicaDS9800 (Bond™ Polymer Refine Detection).

Low expression : no staining on human cardiac muscle.
The section was incubated with ab317685 for 30 mins at room temperature.
The immunostaining was performed on a Leica Biosystems BOND® RX instrument.

Counterstained with Hematoxylin.

Secondary antibody only control : Secondary antibody is a ready to use LeicaDS9800 (Bond™ Polymer Refine Detection).

Heat mediated antigen retrieval was performed with Tris-EDTA buffer (pH 9.0, Epitope Retrieval Solution2) for 20 mins.

Flow Cytometry - Anti-SLC38A5 / SNAT5 antibody [EPR27109-86] - BSA and Azide free (AB317686)
  • Flow Cyt

Supplier Data

Flow Cytometry - Anti-SLC38A5 / SNAT5 antibody [EPR27109-86] - BSA and Azide free (AB317686)

This data was developed using ab317685, the same antibody clone in a different buffer formulation.

Flow cytometric analysis of HeLa (human cervical adenocarcinoma epithelial cell) (Right) / 143B (human osteosarcoma cell) (Left) cells labelling SLC38A5 / SNAT5 with ab317685 at 1/50 dilution (1ug) (Red) compared with a Rabbit monoclonal IgG (ab172730) (Black) isotype control and an unlabelled control (cells without incubation with primary antibody and secondary antibody) (Blue).

Goat anti-Rabbit IgG (Alexa Fluor® 647, ab150083) at 1/5000 dilution was used as the secondary antibody.

Low expression : 143B (PMID : 27129276). Gated on viable cells.

Flow Cytometry - Anti-SLC38A5 / SNAT5 antibody [EPR27109-86] - BSA and Azide free (AB317686)
  • Flow Cyt

Supplier Data

Flow Cytometry - Anti-SLC38A5 / SNAT5 antibody [EPR27109-86] - BSA and Azide free (AB317686)

This data was developed using ab317685, the same antibody clone in a different buffer formulation.

Flow cytometric analysis of HepG2 (human hepatocellular carcinoma epithelial cell) (Right) / A549 (human lung carcinoma epithelial cell) (Left) cells labelling SLC38A5 / SNAT5 with ab317685 at 1/50 dilution (1ug) (Red) compared with a Rabbit monoclonal IgG (ab172730) (Black) isotype control and an unlabelled control (cells without incubation with primary antibody and secondary antibody) (Blue).

Goat anti-Rabbit IgG (Alexa Fluor® 647, ab150083) at 1/5000 dilution was used as the secondary antibody.

Low expression : A549. Gated on viable cells.

Immunohistochemistry (Formalin/PFA-fixed paraffin-embedded sections) - Anti-SLC38A5 / SNAT5 antibody [EPR27109-86] - BSA and Azide free (AB317686)
  • IHC-P

Supplier Data

Immunohistochemistry (Formalin/PFA-fixed paraffin-embedded sections) - Anti-SLC38A5 / SNAT5 antibody [EPR27109-86] - BSA and Azide free (AB317686)

This data was developed using ab317685, the same antibody clone in a different buffer formulation.

Immunohistochemical analysis of paraffin-embedded Human tonsil tissue labeling SLC38A5 / SNAT5 with ab317685 at 1/2000 (0.248 ug/ml) dilution, followed by a ready to use LeicaDS9800 (Bond™ Polymer Refine Detection).

Positive staining on endothelium of human tonsil.
The section was incubated with ab317685 for 30 mins at room temperature.
The immunostaining was performed on a Leica Biosystems BOND® RX instrument.

Counterstained with Hematoxylin.

Secondary antibody only control : Secondary antibody is a ready to use LeicaDS9800 (Bond™ Polymer Refine Detection).

Heat mediated antigen retrieval was performed with Tris-EDTA buffer (pH 9.0, Epitope Retrieval Solution2) for 20 mins.

Immunohistochemistry (Formalin/PFA-fixed paraffin-embedded sections) - Anti-SLC38A5 / SNAT5 antibody [EPR27109-86] - BSA and Azide free (AB317686)
  • IHC-P

Supplier Data

Immunohistochemistry (Formalin/PFA-fixed paraffin-embedded sections) - Anti-SLC38A5 / SNAT5 antibody [EPR27109-86] - BSA and Azide free (AB317686)

This data was developed using ab317685, the same antibody clone in a different buffer formulation.

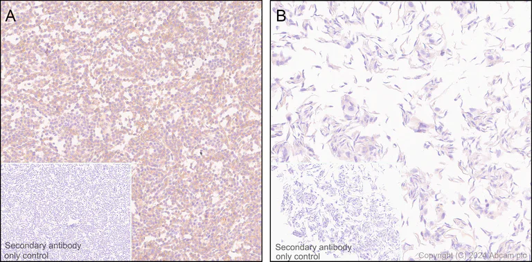
Immunohistochemical analysis of paraffin-embedded (A) Hela (Human cervix adenocarcinoma epithelial cell) cell pellet (B) A-549 (Human lung carcinoma epithelial cell) cell pellet tissue labeling SLC38A5 / SNAT5 with ab317685 at 1/2000 (0.248 ug/ml) dilution, followed by a ready to use LeicaDS9800 (Bond™ Polymer Refine Detection).

Positive staining on (A) Hela cell pellet. Very weak staining on (B) A-549 cell pellet.
The section was incubated with ab317685 for 30 mins at room temperature.
The immunostaining was performed on a Leica Biosystems BOND® RX instrument.

Counterstained with Hematoxylin.

Secondary antibody only control : Secondary antibody is a ready to use LeicaDS9800 (Bond™ Polymer Refine Detection).

Heat mediated antigen retrieval was performed with Tris-EDTA buffer (pH 9.0, Epitope Retrieval Solution2) for 20 mins.

Immunohistochemistry (Formalin/PFA-fixed paraffin-embedded sections) - Anti-SLC38A5 / SNAT5 antibody [EPR27109-86] - BSA and Azide free (AB317686)
  • IHC-P

Supplier Data

Immunohistochemistry (Formalin/PFA-fixed paraffin-embedded sections) - Anti-SLC38A5 / SNAT5 antibody [EPR27109-86] - BSA and Azide free (AB317686)

This data was developed using ab317685, the same antibody clone in a different buffer formulation.

Immunohistochemical analysis of paraffin-embedded Human pancreas tissue labeling SLC38A5 / SNAT5 with ab317685 at 1/2000 (0.248 ug/ml) dilution, followed by a ready to use LeicaDS9800 (Bond™ Polymer Refine Detection).

Positive staining on human pancreas (PMID : 37887353).
The section was incubated with ab317685 for 30 mins at room temperature.
The immunostaining was performed on a Leica Biosystems BOND® RX instrument.

Counterstained with Hematoxylin.

Secondary antibody only control : Secondary antibody is a ready to use LeicaDS9800 (Bond™ Polymer Refine Detection).

Heat mediated antigen retrieval was performed with Tris-EDTA buffer (pH 9.0, Epitope Retrieval Solution2) for 20 mins.

  • Unconjugated

    Anti-SLC38A5 / SNAT5 antibody [EPR27109-86]

  • 578 PE

    PE Anti-SLC38A5 / SNAT5 antibody [EPR27109-86]

Key facts

Host species

Rabbit

Clonality

Monoclonal

Clone number

EPR27109-86

Isotype

IgG

Carrier free

Yes

Reacts with

Human

Applications

IHC-P, Flow Cyt

applications

Immunogen

The exact immunogen used to generate this antibody is proprietary information.

Reactivity data

{ "title": "Reactivity Data", "filters": { "stats": ["", "Species", "Dilution Info", "Notes"], "tabs": { "all-applications": {"fullname" : "All Applications", "shortname": "All Applications"}, "FlowCyt" : {"fullname" : "Flow Cytometry", "shortname":"Flow Cyt"}, "IHCP" : {"fullname" : "Immunohistochemistry (Formalin/PFA-fixed paraffin-embedded sections)", "shortname":"IHC-P"}, "ICCIF" : {"fullname" : "Immunocytochemistry/ Immunofluorescence", "shortname":"ICC/IF"}, "WB" : {"fullname" : "Western blot", "shortname":"WB"}, "IP" : {"fullname" : "Immunoprecipitation", "shortname":"IP"} }, "product-promise": { "all": "all", "testedAndGuaranteed": "tested", "guaranteed": "expected", "predicted": "predicted", "notRecommended": "not-recommended" } }, "values": { "Human": { "FlowCyt-species-checked": "testedAndGuaranteed", "FlowCyt-species-dilution-info": "", "FlowCyt-species-notes": "<p></p>", "IHCP-species-checked": "testedAndGuaranteed", "IHCP-species-dilution-info": "", "IHCP-species-notes": "<p></p>", "ICCIF-species-checked": "notRecommended", "ICCIF-species-dilution-info": "", "ICCIF-species-notes": "<p></p>", "WB-species-checked": "notRecommended", "WB-species-dilution-info": "", "WB-species-notes": "<p></p>", "IP-species-checked": "notRecommended", "IP-species-dilution-info": "", "IP-species-notes": "<p></p>" }, "Mouse": { "FlowCyt-species-checked": "notRecommended", "FlowCyt-species-dilution-info": "", "FlowCyt-species-notes": "", "IHCP-species-checked": "notRecommended", "IHCP-species-dilution-info": "", "IHCP-species-notes": "<p></p>", "ICCIF-species-checked": "notRecommended", "ICCIF-species-dilution-info": "", "ICCIF-species-notes": "", "WB-species-checked": "notRecommended", "WB-species-dilution-info": "", "WB-species-notes": "<p></p>", "IP-species-checked": "notRecommended", "IP-species-dilution-info": "", "IP-species-notes": "" }, "Rat": { "FlowCyt-species-checked": "notRecommended", "FlowCyt-species-dilution-info": "", "FlowCyt-species-notes": "", "IHCP-species-checked": "notRecommended", "IHCP-species-dilution-info": "", "IHCP-species-notes": "<p></p>", "ICCIF-species-checked": "notRecommended", "ICCIF-species-dilution-info": "", "ICCIF-species-notes": "", "WB-species-checked": "notRecommended", "WB-species-dilution-info": "", "WB-species-notes": "<p></p>", "IP-species-checked": "notRecommended", "IP-species-dilution-info": "", "IP-species-notes": "" } } }

Product details

ab317686 is the carrier-free version of ab317685.

Patented technology
Our RabMAb® technology is a patented hybridoma-based technology for making rabbit monoclonal antibodies. For details on our patents, please refer to RabMAb® patents.

What are the advantages of a recombinant monoclonal antibody?
This product is a recombinant monoclonal antibody, which offers several advantages including:

  • - High batch-to-batch consistency and reproducibility
  • - Improved sensitivity and specificity
  • - Long-term security of supply
  • - Animal-free batch production

For more information, read more on recombinant antibodies.

Conjugation ready
Our carrier-free antibodies are typically supplied in a PBS-only formulation, purified and free of BSA, sodium azide and glycerol. This conjugation-ready format is designed for use with fluorochromes, metal isotopes, oligonucleotides, and enzymes, which makes them ideal for antibody labelling, functional and cell-based assays, flow-based assays (e.g. mass cytometry) and Multiplex Imaging applications.

Use our conjugation kits for antibody conjugates that are ready-to-use in as little as 20 minutes with 1 minute hands-on-time and 100% antibody recovery: available for fluorescent dyes, HRP, biotin and gold.

Compatibility
This product is compatible with the Maxpar® Antibody Labeling Kit from Fluidigm, without the need for antibody preparation. Maxpar® is a trademark of Fluidigm Canada Inc.

Properties and storage information

Form
Liquid
Purification technique
Affinity purification Protein A
Storage buffer
pH: 7.2 - 7.4 Constituents: PBS
Shipped at conditions
Blue Ice
Appropriate short-term storage conditions
+4°C
Appropriate long-term storage conditions
+4°C

Product protocols

For this product, it's our understanding that no specific protocols are required. You can visit:

Target data

Symporter that cotransports neutral amino acids and sodium ions, coupled to an H(+) antiporter activity (PubMed : 11243884). Releases L-glutamine and glycine from astroglial cells and may participate in the glutamate/GABA-L-glutamine cycle and the NMDA receptors activation (By similarity). In addition, contributes significantly to L-glutamine uptake in retina, namely in ganglion and Mueller cells therefore, participates in the retinal glutamate-glutamine cycle (By similarity). The transport activity is pH sensitive and Li(+) tolerant (PubMed : 11243884). Moreover functions in both direction and is associated with large uncoupled fluxes of protons (By similarity). The transport is electroneutral coupled to the cotransport of 1 Na(+) and the antiport of 1 H(+) (By similarity). May have a particular importance for modulation of net hepatic glutamine flux (By similarity).
See full target information SLC38A5

Product promise

We are committed to supporting your work with high-quality reagents, and we're here for you every step of the way. In the unlikely event that one of our products does not perform as expected, you're protected by our Product Promise.
For full details, please see our Terms & Conditions

Please note: All products are 'FOR RESEARCH USE ONLY. NOT FOR USE IN DIAGNOSTIC OR THERAPEUTIC PROCEDURES'.

For licensing inquiries, please contact partnerships@abcam.com