JavaScript is disabled in your browser. Please enable JavaScript to view this website.
AB219174

Anti-SLC39A14/ZIP-14 antibody

Be the first to review this product! Submit a review

|

(1 Publication)

Rabbit Polyclonal SLC39A14/ZIP-14 antibody. Suitable for IHC-P and reacts with Human samples. Cited in 1 publication. Immunogen corresponding to Synthetic Peptide within Human SLC39A14.

View Alternative Names

KIAA0062, ZIP14, SLC39A14, Metal cation symporter ZIP14, LIV-1 subfamily of ZIP zinc transporter 4, Solute carrier family 39 member 14, Zrt- and Irt-like protein 14, LZT-Hs4, ZIP-14

2 Images
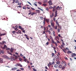
Immunohistochemistry (Formalin/PFA-fixed paraffin-embedded sections) - Anti-SLC39A14/ZIP-14 antibody (AB219174)
  • IHC-P

Supplier Data

Immunohistochemistry (Formalin/PFA-fixed paraffin-embedded sections) - Anti-SLC39A14/ZIP-14 antibody (AB219174)

Immunohistochemical analysis of formalin-fixed paraffin-embedded human prostate tissue sections labeling SLC39A14/ZIP-14 with ab219174 at 7.5 μg/mL.

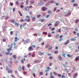
Immunohistochemistry (Formalin/PFA-fixed paraffin-embedded sections) - Anti-SLC39A14/ZIP-14 antibody (AB219174)
  • IHC-P

Supplier Data

Immunohistochemistry (Formalin/PFA-fixed paraffin-embedded sections) - Anti-SLC39A14/ZIP-14 antibody (AB219174)

Immunohistochemical analysis of formalin-fixed paraffin-embedded human kidney tissue sections labeling SLC39A14/ZIP-14 with ab219174 at 7.5 μg/mL.

Key facts

Host species

Rabbit

Clonality

Polyclonal

Isotype

IgG

Carrier free

No

Reacts with

Human

Applications

IHC-P

applications

Immunogen

Synthetic Peptide within Human SLC39A14. The exact immunogen used to generate this antibody is proprietary information.

Q15043

Specificity

BLAST analysis of the peptide immunogen showed no homology with other human proteins.

Reactivity data

{ "title": "Reactivity Data", "filters": { "stats": ["", "Species", "Dilution Info", "Notes"], "tabs": { "all-applications": {"fullname" : "All Applications", "shortname": "All Applications"}, "IHCP" : {"fullname" : "Immunohistochemistry (Formalin/PFA-fixed paraffin-embedded sections)", "shortname":"IHC-P"} }, "product-promise": { "all": "all", "testedAndGuaranteed": "tested", "guaranteed": "expected", "predicted": "predicted", "notRecommended": "not-recommended" } }, "values": { "Human": { "IHCP-species-checked": "testedAndGuaranteed", "IHCP-species-dilution-info": "5-7.5 µg/mL", "IHCP-species-notes": "<p></p> Perform heat-mediated antigen retrieval before commencing with IHC staining protocol." }, "Cow": { "IHCP-species-checked": "predicted", "IHCP-species-dilution-info": "", "IHCP-species-notes": "" }, "Dog": { "IHCP-species-checked": "predicted", "IHCP-species-dilution-info": "", "IHCP-species-notes": "" }, "Gorilla": { "IHCP-species-checked": "predicted", "IHCP-species-dilution-info": "", "IHCP-species-notes": "" }, "Hamster": { "IHCP-species-checked": "predicted", "IHCP-species-dilution-info": "", "IHCP-species-notes": "" }, "Monkey": { "IHCP-species-checked": "predicted", "IHCP-species-dilution-info": "", "IHCP-species-notes": "" }, "Orangutan": { "IHCP-species-checked": "predicted", "IHCP-species-dilution-info": "", "IHCP-species-notes": "" }, "Pig": { "IHCP-species-checked": "predicted", "IHCP-species-dilution-info": "", "IHCP-species-notes": "" } } }

Properties and storage information

Form
Liquid
Purification technique
Affinity purification Immunogen
Storage buffer
pH: 7.4 Preservative: 0.09% Sodium azide Constituents: PBS
Shipped at conditions
Blue Ice
Appropriate short-term storage duration
1-2 weeks
Appropriate short-term storage conditions
+4°C
Appropriate long-term storage conditions
-20°C
Aliquoting information
Upon delivery aliquot
Storage information
Avoid freeze / thaw cycle

Supplementary information

This supplementary information is collated from multiple sources and compiled automatically.

SLC39A14 also known as ZIP14 is a transporter protein that facilitates the import of zinc manganese and iron into cells. It belongs to the Zrt/Irt-like protein (ZIP) family and weighs approximately 52 kDa. Researchers have observed its expression in various tissues including the liver pancreas and kidney. It can also be found in prostate tissue. Through its role in metal ion transport SLC39A14 plays a significant function in maintaining cellular trace metal homeostasis.
Biological function summary

The activity of SLC39A14 impacts numerous cellular processes by modulating intracellular metal concentrations. Its inclusion in the ZIP transporter family ties it to the regulation of metal ion balance critical for enzyme activities metabolic pathways and gene expression. While SLC39A14 does not form a complex with other proteins it operates in concert with other metal ion transporters ensuring proper ion distribution across cellular compartments.

Pathways

SLC39A14 influences metal transport pathways that are essential for maintaining metal homeostasis and signal transduction. It closely interacts with other metal transporters like SLC39A8 which cooperates to transport manganese and zinc. These pathways are essential components in ensuring proper enzyme functionality and cellular responses. SLC39A14’s role in import affects the PI3K-Akt signaling pathway by modulating the necessary metal cofactors for key enzymes.

Defects or imbalances in SLC39A14 function associate with disturbances in metal homeostasis leading to conditions like hypermanganesemia and liver pathology. Its activity affects the metabolism of manganese and aberrations can result in the accumulation of manganese impacting nervous system functions. SLC39A14 also connects to the protein ceruloplasmin in the context of iron metabolism disorders. Inefficient regulation or mutation of SLC39A14 can exacerbate disease progression in iron overload conditions highlighting its role as a potential therapeutic target.

Product protocols

For this product, it's our understanding that no specific protocols are required. You can visit:

Target data

Electroneutral transporter of the plasma membrane mediating the cellular uptake of the divalent metal cations zinc, manganese and iron that are important for tissue homeostasis, metabolism, development and immunity (PubMed : 15642354, PubMed : 27231142, PubMed : 29621230). Functions as an energy-dependent symporter, transporting through the membranes an electroneutral complex composed of a divalent metal cation and two bicarbonate anions (By similarity). Beside these endogenous cellular substrates, can also import cadmium a non-essential metal which is cytotoxic and carcinogenic (By similarity). Controls the cellular uptake by the intestinal epithelium of systemic zinc, which is in turn required to maintain tight junctions and the intestinal permeability (By similarity). Modifies the activity of zinc-dependent phosphodiesterases, thereby indirectly regulating G protein-coupled receptor signaling pathways important for gluconeogenesis and chondrocyte differentiation (By similarity). Regulates insulin receptor signaling, glucose uptake, glycogen synthesis and gluconeogenesis in hepatocytes through the zinc-dependent intracellular catabolism of insulin (PubMed : 27703010). Through zinc cellular uptake also plays a role in the adaptation of cells to endoplasmic reticulum stress (By similarity). Major manganese transporter of the basolateral membrane of intestinal epithelial cells, it plays a central role in manganese systemic homeostasis through intestinal manganese uptake (PubMed : 31028174). Also involved in manganese extracellular uptake by cells of the blood-brain barrier (PubMed : 31699897). May also play a role in manganese and zinc homeostasis participating in their elimination from the blood through the hepatobiliary excretion (By similarity). Also functions in the extracellular uptake of free iron. May also function intracellularly and mediate the transport from endosomes to cytosol of iron endocytosed by transferrin (PubMed : 20682781). Plays a role in innate immunity by regulating the expression of cytokines by activated macrophages (PubMed : 23052185).
See full target information SLC39A14

Publications (1)

Recent publications for all applications. Explore the full list and refine your search

Nature communications 13:4420 PubMed35906206

2022

Neprilysins regulate muscle contraction and heart function via cleavage of SERCA-inhibitory micropeptides.

Applications

Unspecified application

Species

Unspecified reactive species

Ronja Schiemann,Annika Buhr,Eva Cordes,Stefan Walter,Jürgen J Heinisch,Paola Ferrero,Hendrik Milting,Achim Paululat,Heiko Meyer
View all publications

Product promise

We are committed to supporting your work with high-quality reagents, and we're here for you every step of the way. In the unlikely event that one of our products does not perform as expected, you're protected by our Product Promise.
For full details, please see our Terms & Conditions

Please note: All products are 'FOR RESEARCH USE ONLY. NOT FOR USE IN DIAGNOSTIC OR THERAPEUTIC PROCEDURES'.

For licensing inquiries, please contact partnerships@abcam.com