JavaScript is disabled in your browser. Please enable JavaScript to view this website.
AB198252

Anti-SLC44A1/CTL1 antibody

Be the first to review this product! Submit a review

|

(1 Publication)

Rabbit Polyclonal SLC44A1/CTL1 antibody. Suitable for IHC-P and reacts with Human samples. Cited in 1 publication. Immunogen corresponding to Synthetic Peptide within Human SLC44A1.

View Alternative Names

CD92, CDW92, CTL1, SLC44A1, Choline transporter-like protein 1, CDw92, Solute carrier family 44 member 1

2 Images
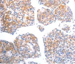
Immunohistochemistry (Formalin/PFA-fixed paraffin-embedded sections) - Anti-SLC44A1/CTL1 antibody (AB198252)
  • IHC-P

Supplier Data

Immunohistochemistry (Formalin/PFA-fixed paraffin-embedded sections) - Anti-SLC44A1/CTL1 antibody (AB198252)

Immunohistochemical analysis of paraffin-embedded Human ovarian cancer tissue labeling SLC44A1/CTL1 using ab198252 at 1/25 dilution.

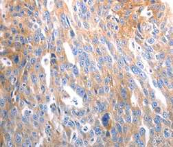
Immunohistochemistry (Formalin/PFA-fixed paraffin-embedded sections) - Anti-SLC44A1/CTL1 antibody (AB198252)
  • IHC-P

Supplier Data

Immunohistochemistry (Formalin/PFA-fixed paraffin-embedded sections) - Anti-SLC44A1/CTL1 antibody (AB198252)

Immunohistochemical analysis of paraffin-embedded Human liver cancer tissue labeling SLC44A1/CTL1 using ab198252 at 1/25 dilution.

Key facts

Host species

Rabbit

Clonality

Polyclonal

Isotype

IgG

Carrier free

No

Reacts with

Human

Applications

IHC-P

applications

Immunogen

Synthetic Peptide within Human SLC44A1. The exact immunogen used to generate this antibody is proprietary information.

Q8WWI5

Reactivity data

{ "title": "Reactivity Data", "filters": { "stats": ["", "Species", "Dilution Info", "Notes"], "tabs": { "all-applications": {"fullname" : "All Applications", "shortname": "All Applications"}, "IHCP" : {"fullname" : "Immunohistochemistry (Formalin/PFA-fixed paraffin-embedded sections)", "shortname":"IHC-P"} }, "product-promise": { "all": "all", "testedAndGuaranteed": "tested", "guaranteed": "expected", "predicted": "predicted", "notRecommended": "not-recommended" } }, "values": { "Human": { "IHCP-species-checked": "testedAndGuaranteed", "IHCP-species-dilution-info": "1/25 - 1/100", "IHCP-species-notes": "<p></p>" } } }

Properties and storage information

Form
Liquid
Purification technique
Affinity purification Immunogen
Storage buffer
pH: 7.4 Preservative: 0.05% Sodium azide Constituents: PBS, 50% Glycerol (glycerin, glycerine)
Shipped at conditions
Blue Ice
Appropriate short-term storage duration
1-2 weeks
Appropriate short-term storage conditions
+4°C
Appropriate long-term storage conditions
-20°C
Aliquoting information
Upon delivery aliquot
Storage information
Avoid freeze / thaw cycle

Supplementary information

This supplementary information is collated from multiple sources and compiled automatically.

The target SLC44A1 also known as CTL1 is a member of the choline transporter-like family. This protein is essential for transporting choline across cell membranes. As a membrane protein it is involved in the uptake of choline a necessary precursor for the synthesis of phosphatidylcholine and acetylcholine. CTL1 has a molecular mass of approximately 70 kDa. It is expressed in various tissues including the brain liver and kidneys highlighting its importance across multiple biological systems.
Biological function summary

SLC44A1 plays a significant role in the synthesis of membrane phospholipids. It does not act alone; it forms part of a complex system involving other transporter proteins to ensure efficient choline uptake and utilization. By facilitating choline transport CTL1 supports the production of important lipids for cell membrane integrity and neurotransmission contributing to processes important for cellular communication and function.

Pathways

SLC44A1 impacts significant metabolic pathways such as the Kennedy pathway responsible for phosphatidylcholine biosynthesis. Its activity is closely associated with enzymes like choline kinase and phosphocholine cytidylyltransferase which further facilitate phospholipid biosynthesis. This pathway integration highlights its role in maintaining membrane structure and signaling functions.

SLC44A1 has implications in neurological conditions such as Alzheimer’s disease and certain types of cancer. In Alzheimer's impaired choline transport can lead to deficits in acetylcholine a neurotransmitter necessary for memory and learning. Moreover aberrant expression of CTL1 is linked with oncogenic processes in liver cancer. In these cases its interaction with proteins associated with choline metabolism and cellular growth indicates potential mechanisms underlying disease pathogenesis.

Product protocols

For this product, it's our understanding that no specific protocols are required. You can visit:

Target data

Choline/H+ antiporter (PubMed : 19357133, PubMed : 23651124, PubMed : 31855247, PubMed : 33789160). Also acts as a high-affinity ethanolamine/H+ antiporter, regulating the supply of extracellular ethanolamine (Etn) for the CDP-Etn pathway, redistribute intracellular Etn and balance the CDP-Cho and CDP-Etn arms of the Kennedy pathway (PubMed : 33789160). Involved in membrane synthesis and myelin production (PubMed : 31855247).
See full target information SLC44A1

Publications (1)

Recent publications for all applications. Explore the full list and refine your search

Molecular biology of the cell 31:1703-1713 PubMed32491970

2020

Three-dimensional niche stiffness synergizes with Wnt7a to modulate the extent of satellite cell symmetric self-renewal divisions.

Applications

Unspecified application

Species

Unspecified reactive species

Louise A Moyle,Richard Y Cheng,Haijiao Liu,Sadegh Davoudi,Silvia A Ferreira,Aliyah A Nissar,Yu Sun,Eileen Gentleman,Craig A Simmons,Penney M Gilbert
View all publications

Product promise

We are committed to supporting your work with high-quality reagents, and we're here for you every step of the way. In the unlikely event that one of our products does not perform as expected, you're protected by our Product Promise.
For full details, please see our Terms & Conditions

Please note: All products are 'FOR RESEARCH USE ONLY. NOT FOR USE IN DIAGNOSTIC OR THERAPEUTIC PROCEDURES'.

For licensing inquiries, please contact partnerships@abcam.com