JavaScript is disabled in your browser. Please enable JavaScript to view this website.
AB217626

Anti-SLC44A1/CTL1 antibody

Be the first to review this product! Submit a review

|

(1 Publication)

Rabbit Polyclonal SLC44A1/CTL1 antibody. Suitable for WB, IHC-P and reacts with Mouse, Rat samples. Cited in 1 publication. Immunogen corresponding to Synthetic Peptide within Human SLC44A1 aa 50-150 conjugated to Keyhole Limpet Haemocyanin.

View Alternative Names

CD92, CDW92, CTL1, SLC44A1, Choline transporter-like protein 1, CDw92, Solute carrier family 44 member 1

2 Images
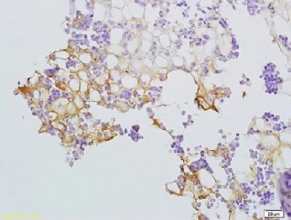
Immunohistochemistry (Formalin/PFA-fixed paraffin-embedded sections) - Anti-SLC44A1/CTL1 antibody (AB217626)
  • IHC-P

Supplier Data

Immunohistochemistry (Formalin/PFA-fixed paraffin-embedded sections) - Anti-SLC44A1/CTL1 antibody (AB217626)

Immunohistochemical analysis of formalin fixed, paraffin embedded Rat bone marrow tissue labeling SLC44A1/CTL1 with ab217626 at 1/200 dilution.

Western blot - Anti-SLC44A1/CTL1 antibody (AB217626)
  • WB

Supplier Data

Western blot - Anti-SLC44A1/CTL1 antibody (AB217626)

All lanes:

Western blot - Anti-SLC44A1/CTL1 antibody (ab217626) at 1/300 dilution

All lanes:

Mouse liver lysate

Predicted band size: 73 kDa

false

Key facts

Host species

Rabbit

Clonality

Polyclonal

Isotype

IgG

Carrier free

No

Reacts with

Mouse, Rat

Applications

IHC-P, WB

applications

Immunogen

Synthetic Peptide within Human SLC44A1 aa 50-150 conjugated to Keyhole Limpet Haemocyanin. The exact immunogen used to generate this antibody is proprietary information.

Q8WWI5

Reactivity data

{ "title": "Reactivity Data", "filters": { "stats": ["", "Species", "Dilution Info", "Notes"], "tabs": { "all-applications": {"fullname" : "All Applications", "shortname": "All Applications"}, "WB" : {"fullname" : "Western blot", "shortname":"WB"}, "IHCP" : {"fullname" : "Immunohistochemistry (Formalin/PFA-fixed paraffin-embedded sections)", "shortname":"IHC-P"} }, "product-promise": { "all": "all", "testedAndGuaranteed": "tested", "guaranteed": "expected", "predicted": "predicted", "notRecommended": "not-recommended" } }, "values": { "Human": { "WB-species-checked": "predicted", "WB-species-dilution-info": "", "WB-species-notes": "", "IHCP-species-checked": "predicted", "IHCP-species-dilution-info": "", "IHCP-species-notes": "" }, "Mouse": { "WB-species-checked": "testedAndGuaranteed", "WB-species-dilution-info": "1/100 - 1/500", "WB-species-notes": "<p></p>", "IHCP-species-checked": "guaranteed", "IHCP-species-dilution-info": "", "IHCP-species-notes": "" }, "Rat": { "WB-species-checked": "guaranteed", "WB-species-dilution-info": "", "WB-species-notes": "", "IHCP-species-checked": "testedAndGuaranteed", "IHCP-species-dilution-info": "1/100 - 1/500", "IHCP-species-notes": "<p></p>" } } }

Properties and storage information

Form
Liquid
Purification technique
Affinity purification Protein A
Storage buffer
pH: 7.4 Preservative: 0.02% Proclin 300 Constituents: 50% Glycerol (glycerin, glycerine), 48.98% TBS, 1X, 1% BSA
Shipped at conditions
Blue Ice
Appropriate short-term storage duration
1-2 weeks
Appropriate short-term storage conditions
+4°C
Appropriate long-term storage conditions
-20°C
Aliquoting information
Upon delivery aliquot
Storage information
Avoid freeze / thaw cycle

Supplementary information

This supplementary information is collated from multiple sources and compiled automatically.

The target SLC44A1 also known as CTL1 is a member of the choline transporter-like family. This protein is essential for transporting choline across cell membranes. As a membrane protein it is involved in the uptake of choline a necessary precursor for the synthesis of phosphatidylcholine and acetylcholine. CTL1 has a molecular mass of approximately 70 kDa. It is expressed in various tissues including the brain liver and kidneys highlighting its importance across multiple biological systems.
Biological function summary

SLC44A1 plays a significant role in the synthesis of membrane phospholipids. It does not act alone; it forms part of a complex system involving other transporter proteins to ensure efficient choline uptake and utilization. By facilitating choline transport CTL1 supports the production of important lipids for cell membrane integrity and neurotransmission contributing to processes important for cellular communication and function.

Pathways

SLC44A1 impacts significant metabolic pathways such as the Kennedy pathway responsible for phosphatidylcholine biosynthesis. Its activity is closely associated with enzymes like choline kinase and phosphocholine cytidylyltransferase which further facilitate phospholipid biosynthesis. This pathway integration highlights its role in maintaining membrane structure and signaling functions.

SLC44A1 has implications in neurological conditions such as Alzheimer’s disease and certain types of cancer. In Alzheimer's impaired choline transport can lead to deficits in acetylcholine a neurotransmitter necessary for memory and learning. Moreover aberrant expression of CTL1 is linked with oncogenic processes in liver cancer. In these cases its interaction with proteins associated with choline metabolism and cellular growth indicates potential mechanisms underlying disease pathogenesis.

Product protocols

For this product, it's our understanding that no specific protocols are required. You can visit:

Target data

Choline/H+ antiporter (PubMed : 19357133, PubMed : 23651124, PubMed : 31855247, PubMed : 33789160). Also acts as a high-affinity ethanolamine/H+ antiporter, regulating the supply of extracellular ethanolamine (Etn) for the CDP-Etn pathway, redistribute intracellular Etn and balance the CDP-Cho and CDP-Etn arms of the Kennedy pathway (PubMed : 33789160). Involved in membrane synthesis and myelin production (PubMed : 31855247).
See full target information SLC44A1

Publications (1)

Recent publications for all applications. Explore the full list and refine your search

Biomedicines 12: PubMed39200236

2024

The Impact of DAXX, HJURP and CENPA Expression in Uveal Melanoma Carcinogenesis and Associations with Clinicopathological Parameters.

Applications

Unspecified application

Species

Unspecified reactive species

Alexandros Pergaris,Georgia Levidou,Georgios Mandrakis,Maria-Ioanna Christodoulou,Michail V Karamouzis,Jerzy Klijanienko,Stamatios Theocharis
View all publications

Product promise

We are committed to supporting your work with high-quality reagents, and we're here for you every step of the way. In the unlikely event that one of our products does not perform as expected, you're protected by our Product Promise.
For full details, please see our Terms & Conditions

Please note: All products are 'FOR RESEARCH USE ONLY. NOT FOR USE IN DIAGNOSTIC OR THERAPEUTIC PROCEDURES'.

For licensing inquiries, please contact partnerships@abcam.com