JavaScript is disabled in your browser. Please enable JavaScript to view this website.
AB251719

Anti-SLC4A11 antibody

Be the first to review this product! Submit a review

|

(1 Publication)

Rabbit Polyclonal SLC4A11 antibody. Suitable for IHC-P and reacts with Human samples. Cited in 1 publication. Immunogen corresponding to Recombinant Fragment Protein within Human SLC4A11 aa 50-200.

View Alternative Names

BTR1, SLC4A11, Solute carrier family 4 member 11, Sodium borate cotransporter 1, NaBC1

1 Images
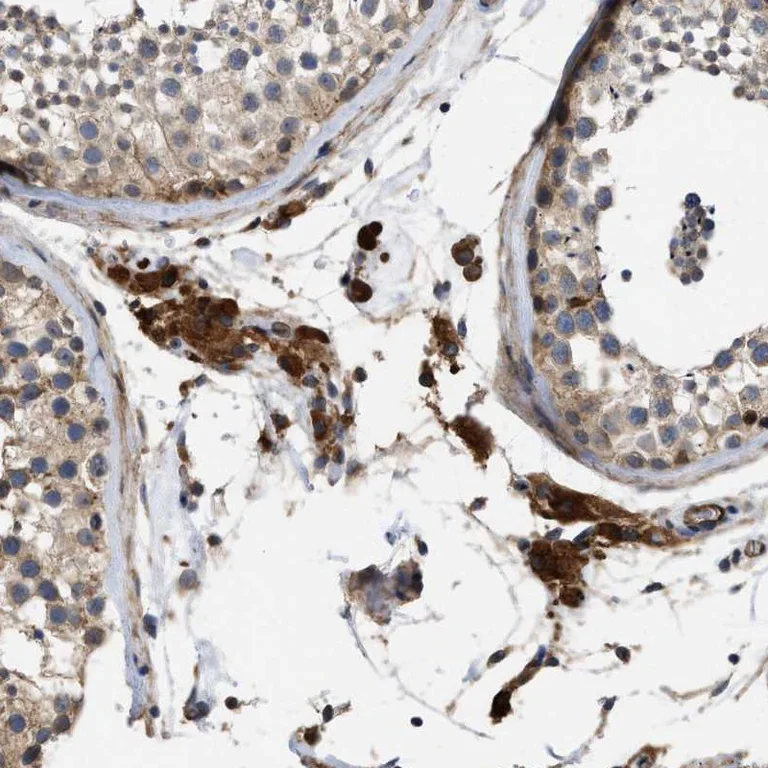
Immunohistochemistry (Formalin/PFA-fixed paraffin-embedded sections) - Anti-SLC4A11 antibody (AB251719)
  • IHC-P

Unknown

Immunohistochemistry (Formalin/PFA-fixed paraffin-embedded sections) - Anti-SLC4A11 antibody (AB251719)

Paraffin-embedded human testis tissue stained for SLC4A11 using ab251719 at 1/50 dilution in immunohistochemical analysis.

Key facts

Host species

Rabbit

Clonality

Polyclonal

Isotype

IgG

Carrier free

No

Reacts with

Human

Applications

IHC-P

applications

Immunogen

Recombinant Fragment Protein within Human SLC4A11 aa 50-200. The exact immunogen used to generate this antibody is proprietary information.

Q8NBS3

Reactivity data

{ "title": "Reactivity Data", "filters": { "stats": ["", "Species", "Dilution Info", "Notes"], "tabs": { "all-applications": {"fullname" : "All Applications", "shortname": "All Applications"}, "IHCP" : {"fullname" : "Immunohistochemistry (Formalin/PFA-fixed paraffin-embedded sections)", "shortname":"IHC-P"} }, "product-promise": { "all": "all", "testedAndGuaranteed": "tested", "guaranteed": "expected", "predicted": "predicted", "notRecommended": "not-recommended" } }, "values": { "Human": { "IHCP-species-checked": "testedAndGuaranteed", "IHCP-species-dilution-info": "1/50 - 1/200", "IHCP-species-notes": "<p></p> Perform heat-mediated antigen retrieval with citrate buffer pH 6 before commencing with IHC staining protocol." } } }

Properties and storage information

Form
Liquid
Purification technique
Affinity purification Immunogen
Storage buffer
pH: 7.2 Preservative: 0.02% Sodium azide Constituents: PBS, 40% Glycerol (glycerin, glycerine)
Shipped at conditions
Blue Ice
Appropriate short-term storage duration
1-2 weeks
Appropriate short-term storage conditions
+4°C
Appropriate long-term storage conditions
-20°C
Aliquoting information
Upon delivery aliquot
Storage information
Avoid freeze / thaw cycle

Supplementary information

This supplementary information is collated from multiple sources and compiled automatically.

SLC4A11 also known as solute carrier family 4 member 11 functions as a bicarbonate transporter belonging to the SLC4 family. This protein has a mass of approximately 95 kDa. SLC4A11 localizes mainly in the basolateral membranes of kidney cells and also in the corneal endothelium. It plays a vital role in maintaining ion balance and pH regulation within cells by mediating the transport of bicarbonate ions across cellular membranes.
Biological function summary

The proper functioning of ion transport impacts cellular homeostasis and fluid regulation. SLC4A11 does not form part of a complex but interacts directly with ions and molecules. This protein contributes significantly to the maintenance of normal cell volume and osmotic balance especially in epithelial tissues where ion exchange is important for cellular function and integrity.

Pathways

Transport of bicarbonate ions supports central metabolic pathways contributing to the regulation of intracellular pH. The protein plays a role in the bicarbonate reclamation pathway and interacts with proteins like carbonic anhydrase which catalyzes the conversion of carbon dioxide and bicarbonate. This interaction highlights SLC4A11's significance in buffering and acid-base balance within specific cell types.

Alterations in SLC4A11 lead to conditions such as congenital hereditary endothelial dystrophy (CHED) and Harboyan syndrome. Both disorders connect to ion imbalances affecting the corneal endothelium compromising cell function and vision. Mutations in this protein can disrupt its interactions with carbonic anhydrases further exacerbating pH imbalance and cellular dysfunctions associated with these diseases.

Product protocols

For this product, it's our understanding that no specific protocols are required. You can visit:

Target data

Multifunctional transporter with an impact in cell morphology and differentiation. In the presence of borate B(OH)4(-), acts as a voltage-dependent electrogenic Na(+)-coupled B(OH)4(-) cotransporter controlling boron homeostasis (PubMed : 15525507). At early stages of stem cell differentiation, participates in synergy with ITGA5-ITGB1 and ITGAV-ITGB3 integrins and BMPR1A to promote cell adhesion and contractility that drives differentiation toward osteogenic commitment while inhibiting adipogenesis (By similarity). In the absence of B(OH)4(-), acts as a Na(+)-coupled OH(-) or H(+) permeable channel with implications in cellular redox balance (PubMed : 15525507, PubMed : 28642546). Regulates the oxidative stress response in corneal endothelium by enhancing antioxidant defenses and protecting cells from reactive oxygen species (PubMed : 28642546). In response to hypo-osmotic challenge, also acts as a water permeable channel at the basolateral cell membrane of corneal endothelial cells and facilitates transendothelial fluid reabsorption in the aqueous humor (PubMed : 23813972, PubMed : 25007886, PubMed : 31273259). In the presence of ammonia, acts as an electrogenic NH3/H(+) cotransporter and may play a role in ammonia transport and reabsorption in renal Henle's loop epithelium (PubMed : 27581649).
See full target information SLC4A11

Publications (1)

Recent publications for all applications. Explore the full list and refine your search

Journal of diabetes and clinical research 5:1-10 PubMed37304310

2023

Elevated Opioid Growth Factor Alters the Limbus in Type 1 Diabetic Rats.

Applications

Unspecified application

Species

Unspecified reactive species

Patricia J McLaughlin,Joseph W Sassani,David Diaz,Ian S Zagon
View all publications

Product promise

We are committed to supporting your work with high-quality reagents, and we're here for you every step of the way. In the unlikely event that one of our products does not perform as expected, you're protected by our Product Promise.
For full details, please see our Terms & Conditions

Please note: All products are 'FOR RESEARCH USE ONLY. NOT FOR USE IN DIAGNOSTIC OR THERAPEUTIC PROCEDURES'.

For licensing inquiries, please contact partnerships@abcam.com