JavaScript is disabled in your browser. Please enable JavaScript to view this website.
AB187511

Anti-SLC4A4/NBC antibody

Be the first to review this product! Submit a review

|

(13 Publications)

Rabbit Polyclonal SLC4A4/NBC antibody. Suitable for IHC-P, WB and reacts with Mouse, Rat, Human samples. Cited in 13 publications. Immunogen corresponding to Recombinant Fragment Protein within Human SLC4A4 aa 1-250.

View Alternative Names

NBC, NBC1, NBCE1, SLC4A4, Electrogenic sodium bicarbonate cotransporter 1, Sodium bicarbonate cotransporter, Na(+)/HCO3(-) cotransporter, Solute carrier family 4 member 4, kNBC1

7 Images
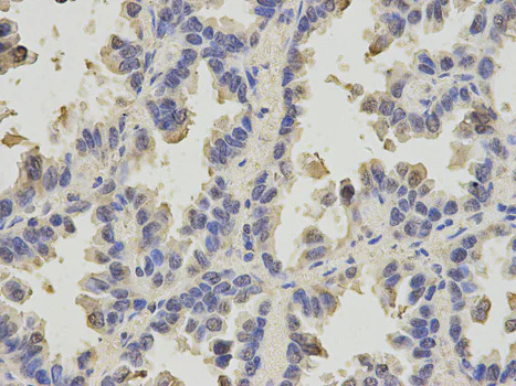
Immunohistochemistry (Formalin/PFA-fixed paraffin-embedded sections) - Anti-SLC4A4/NBC antibody (AB187511)
  • IHC-P

Unknown

Immunohistochemistry (Formalin/PFA-fixed paraffin-embedded sections) - Anti-SLC4A4/NBC antibody (AB187511)

Immunohistochemistry (Formalin/PFA-fixed paraffin-embedded sections) analysis of human lung cancer tissue labelling SLC4A4/NBC with ab187511 at 1/200. Magnification : 400x.

Immunohistochemistry (Formalin/PFA-fixed paraffin-embedded sections) - Anti-SLC4A4/NBC antibody (AB187511)
  • IHC-P

Unknown

Immunohistochemistry (Formalin/PFA-fixed paraffin-embedded sections) - Anti-SLC4A4/NBC antibody (AB187511)

Immunohistochemistry (Formalin/PFA-fixed paraffin-embedded sections) analysis of human liver cancer tissue labelling SLC4A4/NBC with ab187511 at 1/200. Magnification : 400x.

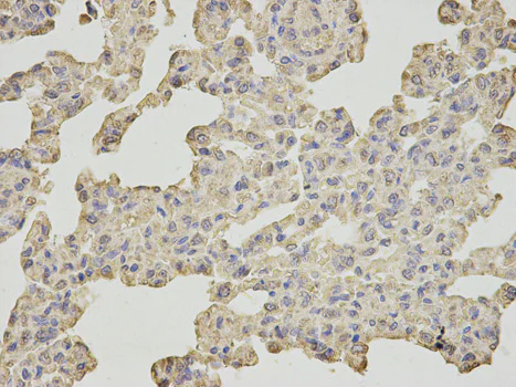
Immunohistochemistry (Formalin/PFA-fixed paraffin-embedded sections) - Anti-SLC4A4/NBC antibody (AB187511)
  • IHC-P

Unknown

Immunohistochemistry (Formalin/PFA-fixed paraffin-embedded sections) - Anti-SLC4A4/NBC antibody (AB187511)

Immunohistochemistry (Formalin/PFA-fixed paraffin-embedded sections) analysis of rat lung tissue labelling SLC4A4/NBC with ab187511 at 1/200. Magnification : 400x.

Immunohistochemistry (Formalin/PFA-fixed paraffin-embedded sections) - Anti-SLC4A4/NBC antibody (AB187511)
  • IHC-P

Supplier Data

Immunohistochemistry (Formalin/PFA-fixed paraffin-embedded sections) - Anti-SLC4A4/NBC antibody (AB187511)

Immunohistochemical analysis of paraffin embedded mouse kidney tissue labeling SLC4A4/NBC with ab187511 at 1 : 100 dilution.

Immunohistochemistry (Formalin/PFA-fixed paraffin-embedded sections) - Anti-SLC4A4/NBC antibody (AB187511)
  • IHC-P

Supplier Data

Immunohistochemistry (Formalin/PFA-fixed paraffin-embedded sections) - Anti-SLC4A4/NBC antibody (AB187511)

Immunohistochemical analysis of paraffin embedded rat kidney tissue labeling SLC4A4/NBC with ab187511 at 1 : 100 dilution.

Western blot - Anti-SLC4A4/NBC antibody (AB187511)
  • WB

Supplier Data

Western blot - Anti-SLC4A4/NBC antibody (AB187511)

All lanes:

Western blot - Anti-SLC4A4/NBC antibody (ab187511) at 1/500 dilution

Lane 1:

PC3 cell extract

Lane 2:

A549 cell extract

Predicted band size: 121 kDa

true

Western blot - Anti-SLC4A4/NBC antibody (AB187511)
  • WB

CiteAb

Western blot - Anti-SLC4A4/NBC antibody (AB187511)

SLC4A4/NBC western blot using anti-SLC4A4/NBC antibody ab187511. Publication image and figure legend from Hwang, S., Shin, D. M., et al., 2019, Molecules, PubMed 31546841.

ab187511 was used in this publication in western blot. This may not be the same as the application(s) guaranteed by Abcam. For a full list of applications guaranteed by Abcam for ab187511 please see the product overview.

Surface protein expression of AE2 protein was decreased by DSF treatment. (A) Analysis of AE2 mRNA expression at rising concentrations from 0.1–4 μM DSF for 48 h (n = 5). (B) Protein expression of AE2 at indicated DSF concentration. (C) Analysis of relative AE2 intensity (n = 3, * p < 0.05, *** p < 0.001). (D) Immunostained images of AE2 (red), nucleus (DAPI, blue) and merge of cell morphology (TPM-T, gray) with and without DSF treatment. The scale bars represent 20 μm. (E) The surface expression of AE2 after treatment with 2 μM DSF. The β-actin and input AE2 blots were used as loading controls. (F) Analysis of relative intensity of AE2 for input and biotinylated (Bio) blot. Bars represent mean ± SEM (n = 3, ** p < 0.01). (G) Protein expressions of NBCe1 and NBCn1. (H) Analysis of relative intensity of NBCe1 and NBCn1 blots. Bars represent mean ± SEM. (I) Protein expressions of LC3B and p62. The β-actin blot was used as a loading control. (J) Analysis of relative intensity of LC3B and p62 blots. Bars represent mean ± SEM.

false

Key facts

Host species

Rabbit

Clonality

Polyclonal

Isotype

IgG

Carrier free

No

Reacts with

Mouse, Rat, Human

Applications

IHC-P, WB

applications

Immunogen

Recombinant Fragment Protein within Human SLC4A4 aa 1-250. The exact immunogen used to generate this antibody is proprietary information.

Q9Y6R1

Reactivity data

{ "title": "Reactivity Data", "filters": { "stats": ["", "Species", "Dilution Info", "Notes"], "tabs": { "all-applications": {"fullname" : "All Applications", "shortname": "All Applications"}, "IHCP" : {"fullname" : "Immunohistochemistry (Formalin/PFA-fixed paraffin-embedded sections)", "shortname":"IHC-P"}, "WB" : {"fullname" : "Western blot", "shortname":"WB"} }, "product-promise": { "all": "all", "testedAndGuaranteed": "tested", "guaranteed": "expected", "predicted": "predicted", "notRecommended": "not-recommended" } }, "values": { "Human": { "IHCP-species-checked": "testedAndGuaranteed", "IHCP-species-dilution-info": "1/50 - 1/200", "IHCP-species-notes": "<p></p> Perform heat-mediated antigen retrieval with citrate buffer pH 6 before commencing with IHC staining protocol.", "WB-species-checked": "testedAndGuaranteed", "WB-species-dilution-info": "1/500 - 1/2000", "WB-species-notes": "<p></p>" }, "Mouse": { "IHCP-species-checked": "testedAndGuaranteed", "IHCP-species-dilution-info": "1/50 - 1/200", "IHCP-species-notes": "<p></p> Perform heat-mediated antigen retrieval with citrate buffer pH 6 before commencing with IHC staining protocol.", "WB-species-checked": "guaranteed", "WB-species-dilution-info": "", "WB-species-notes": "" }, "Rat": { "IHCP-species-checked": "testedAndGuaranteed", "IHCP-species-dilution-info": "1/50 - 1/200", "IHCP-species-notes": "<p></p> Perform heat-mediated antigen retrieval with citrate buffer pH 6 before commencing with IHC staining protocol.", "WB-species-checked": "guaranteed", "WB-species-dilution-info": "", "WB-species-notes": "" } } }

Properties and storage information

Form
Liquid
Purification technique
Affinity purification Immunogen
Storage buffer
pH: 7.3 Preservative: 0.05% Proclin 300 Constituents: PBS, 50% Glycerol (glycerin, glycerine)
Shipped at conditions
Blue Ice
Appropriate short-term storage duration
1-2 weeks
Appropriate short-term storage conditions
+4°C
Appropriate long-term storage conditions
-20°C
Aliquoting information
Upon delivery aliquot
Storage information
Avoid freeze / thaw cycle

Supplementary information

This supplementary information is collated from multiple sources and compiled automatically.

SLC4A4 also known as NBC (electrogenic Na+/bicarbonate cotransporter) is a protein that functions in the active transport of bicarbonate ions across cell membranes coupled with sodium ions. This cotransporter plays an essential role in maintaining the acid-base balance and cellular pH homeostasis. The SLC4A4 protein has a molecular mass of approximately 121 kDa. It expresses in various tissues with high levels found in the kidney and pancreas. Its activity is critical for efficient transport processes in epithelial cells contributing to the overall ion balance within these organs.
Biological function summary

The activity of SLC4A4/NBC influences several physiological processes. This protein helps regulate bicarbonate reabsorption in renal proximal tubules which is fundamental for the body's buffering capacity. SLC4A4 can operate within complex systems involving other transport mechanisms to efficiently maintain proper ion concentrations and pH balance. It associates with proteins like carbonic anhydrase which facilitates the rapid interconversion of carbon dioxide and bicarbonate enhancing the efficiency of its transport function.

Pathways

SLC4A4/NBC integrates into several key biological pathways that maintain bicarbonate and acid-base equilibrium. One such pathway is the renal tubular bicarbonate reclamation where it collaborates closely with proteins such as NHE3 (sodium hydrogen exchanger 3) to ensure sodium and bicarbonate absorption. Another pathway is the pancreatic bicarbonate secretion where its role complements secretor proteins to assimilate bicarbonates essential for neutralizing gastric acids.

SLC4A4/NBC correlates with significant clinical conditions affecting bicarbonate transport. Mutations or dysfunction in this transporter relate to proximal renal tubular acidosis a disorder characterized by impaired acid-base regulation in kidneys. Additionally it associates with migraine disorders where alterations in pH and ion flow might play a role. Through these conditions SLC4A4 may connect with other bicarbonate transporters such as SLC4A7 to provide insights into pathophysiological mechanisms involving ionic imbalances.

Product protocols

For this product, it's our understanding that no specific protocols are required. You can visit:

Target data

Electrogenic sodium/bicarbonate cotransporter with a Na(+) : HCO3(-) stoichiometry varying from 1 : 2 to 1 : 3. May regulate bicarbonate influx/efflux at the basolateral membrane of cells and regulate intracellular pH.
See full target information SLC4A4

Publications (13)

Recent publications for all applications. Explore the full list and refine your search

Frontiers in cellular neuroscience 17:1253424 PubMed37881493

2023

K/Cl cotransporter 2 (KCC2) and Na/ cotransporter 1 (NBCe1) interaction modulates profile of KCC2 phosphorylation.

Applications

Unspecified application

Species

Unspecified reactive species

Abhishek Pethe,Mira Hamze,Marina Giannaki,Bernd Heimrich,Igor Medina,Anna-Maria Hartmann,Eleni Roussa

Frontiers in cell and developmental biology 11:1161667 PubMed37745305

2023

Identification and verification of a prognostic signature based on a miRNA-mRNA interaction pattern in colon adenocarcinoma.

Applications

Unspecified application

Species

Unspecified reactive species

Qiwu Zhao,Haosheng Li,Wenchang Li,Zichao Guo,Wenqing Jia,Shuiyu Xu,Sixia Chen,Xiaonan Shen,Changgang Wang

Nature cancer 3:1464-1483 PubMed36522548

2022

Targeting the bicarbonate transporter SLC4A4 overcomes immunosuppression and immunotherapy resistance in pancreatic cancer.

Applications

Unspecified application

Species

Unspecified reactive species

Federica Cappellesso,Marie-Pauline Orban,Niranjan Shirgaonkar,Emanuele Berardi,Jens Serneels,Marie-Aline Neveu,Daria Di Molfetta,Francesca Piccapane,Rosa Caroppo,Lucantonio Debellis,Tessa Ostyn,Nicolas Joudiou,Lionel Mignion,Elena Richiardone,Bénédicte F Jordan,Bernard Gallez,Cyril Corbet,Tania Roskams,Ramanuj DasGupta,Sabine Tejpar,Mario Di Matteo,Daniela Taverna,Stephan J Reshkin,Baki Topal,Federico Virga,Massimiliano Mazzone

Antioxidants (Basel, Switzerland) 11: PubMed36139714

2022

Addition of oh8dG to Cardioplegia Attenuated Myocardial Oxidative Injury through the Inhibition of Sodium Bicarbonate Cotransporter Activity.

Applications

Unspecified application

Species

Unspecified reactive species

Min Jeong Ji,Kuk Hui Son,Jeong Hee Hong

EMBO reports 22:e53200 PubMed34633730

2021

Regional heterogeneity of astrocyte morphogenesis dictated by the formin protein, Daam2, modifies circuit function.

Applications

Unspecified application

Species

Unspecified reactive species

Juyeon Jo,Junsung Woo,Carlo D Cristobal,Jong Min Choi,Chih-Yen Wang,Qi Ye,Joshua A Smith,Kevin Ung,Gary Liu,Diego Cortes,Sung Yun Jung,Benjamin R Arenkiel,Hyun Kyoung Lee

Journal of inflammation research 14:3809-3821 PubMed34408464

2021

Identification and Validation of a Novel Inflammatory Response-Related Gene Signature for the Prognosis of Colon Cancer.

Applications

Unspecified application

Species

Unspecified reactive species

Yichao Liang,Xin Wu,Qi Su,Yujie Liu,Hong Xiao

Journal of Cancer 12:5439-5453 PubMed34405007

2021

SLC34A2 Up-regulation And SLC4A4 Down-regulation Correlates With Invasion, Metastasis, And The MAPK Signaling Pathway In Papillary Thyroid Carcinomas.

Applications

Unspecified application

Species

Unspecified reactive species

Fengyan Huang,Haitao Wang,Juan Xiao,Chunchun Shao,Yong Zhou,Wei Cong,Maosong Gong,Jingfu Sun,Liqun Shan,Zhanyu Hao,Lihua Wang,Shouluan Ding,Zhigang Yu,Jianing Liu,Hongying Jia

Kidney international 97:304-315 PubMed31870500

2019

Defective bicarbonate reabsorption in Kir4.2 potassium channel deficient mice impairs acid-base balance and ammonia excretion.

Applications

Unspecified application

Species

Unspecified reactive species

Yohan Bignon,Laurent Pinelli,Nadia Frachon,Olivier Lahuna,Lucile Figueres,Pascal Houillier,Stéphane Lourdel,Jacques Teulon,Marc Paulais

Bulletin of experimental biology and medicine 168:219-223 PubMed31776946

2019

Molecular Targets of Natriuretic Action of Prolactin in the Rat Model of Cholestasis of Pregnancy.

Applications

Unspecified application

Species

Unspecified reactive species

P A Abramicheva,Yu B Kostenko,T A Balakina,O V Smirnova

Molecules (Basel, Switzerland) 24: PubMed31546841

2019

Drug Repurposing as an Antitumor Agent: Disulfiram-Mediated Carbonic Anhydrase 12 and Anion Exchanger 2 Modulation to Inhibit Cancer Cell Migration.

Applications

Unspecified application

Species

Unspecified reactive species

Soyoung Hwang,Dong Min Shin,Jeong Hee Hong
View all publications

Product promise

We are committed to supporting your work with high-quality reagents, and we're here for you every step of the way. In the unlikely event that one of our products does not perform as expected, you're protected by our Product Promise.
For full details, please see our Terms & Conditions

Please note: All products are 'FOR RESEARCH USE ONLY. NOT FOR USE IN DIAGNOSTIC OR THERAPEUTIC PROCEDURES'.

For licensing inquiries, please contact partnerships@abcam.com