JavaScript is disabled in your browser. Please enable JavaScript to view this website.
AB217352

Anti-SLC4A4/NBC antibody

Be the first to review this product! Submit a review

|

(1 Publication)

Rabbit Polyclonal SLC4A4/NBC antibody. Suitable for IHC-P and reacts with Mouse samples. Cited in 1 publication. Immunogen corresponding to Synthetic Peptide within Human SLC4A4 aa 1-50 conjugated to Keyhole Limpet Haemocyanin.

View Alternative Names

NBC, NBC1, NBCE1, SLC4A4, Electrogenic sodium bicarbonate cotransporter 1, Sodium bicarbonate cotransporter, Na(+)/HCO3(-) cotransporter, Solute carrier family 4 member 4, kNBC1

1 Images
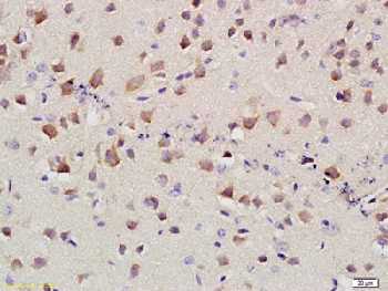
Immunohistochemistry (Formalin/PFA-fixed paraffin-embedded sections) - Anti-SLC4A4/NBC antibody (AB217352)
  • IHC-P

Supplier Data

Immunohistochemistry (Formalin/PFA-fixed paraffin-embedded sections) - Anti-SLC4A4/NBC antibody (AB217352)

Immunohistochemical analysis of formalin-fixed, paraffin-embedded mouse brain tissue labeling SLC4A4/NBC with ab217352 at 1/400 dilution followed by conjugation to the secondary antibody and DAB staining.

Key facts

Host species

Rabbit

Clonality

Polyclonal

Isotype

IgG

Carrier free

No

Reacts with

Mouse

Applications

IHC-P

applications

Immunogen

Synthetic Peptide within Human SLC4A4 aa 1-50 conjugated to Keyhole Limpet Haemocyanin. The exact immunogen used to generate this antibody is proprietary information.

Q9Y6R1

Reactivity data

{ "title": "Reactivity Data", "filters": { "stats": ["", "Species", "Dilution Info", "Notes"], "tabs": { "all-applications": {"fullname" : "All Applications", "shortname": "All Applications"}, "IHCP" : {"fullname" : "Immunohistochemistry (Formalin/PFA-fixed paraffin-embedded sections)", "shortname":"IHC-P"} }, "product-promise": { "all": "all", "testedAndGuaranteed": "tested", "guaranteed": "expected", "predicted": "predicted", "notRecommended": "not-recommended" } }, "values": { "Human": { "IHCP-species-checked": "predicted", "IHCP-species-dilution-info": "", "IHCP-species-notes": "" }, "Mouse": { "IHCP-species-checked": "testedAndGuaranteed", "IHCP-species-dilution-info": "1/100 - 1/500", "IHCP-species-notes": "<p></p>" }, "Rat": { "IHCP-species-checked": "predicted", "IHCP-species-dilution-info": "", "IHCP-species-notes": "" } } }

Properties and storage information

Form
Liquid
Purification technique
Affinity purification Protein A
Storage buffer
pH: 7.4 Preservative: 0.02% Proclin 300 Constituents: 50% Glycerol (glycerin, glycerine), 48.98% TBS, 1X, 1% BSA
Shipped at conditions
Blue Ice
Appropriate short-term storage duration
1-2 weeks
Appropriate short-term storage conditions
+4°C
Appropriate long-term storage conditions
-20°C
Aliquoting information
Upon delivery aliquot
Storage information
Avoid freeze / thaw cycle

Supplementary information

This supplementary information is collated from multiple sources and compiled automatically.

SLC4A4 also known as NBC (electrogenic Na+/bicarbonate cotransporter) is a protein that functions in the active transport of bicarbonate ions across cell membranes coupled with sodium ions. This cotransporter plays an essential role in maintaining the acid-base balance and cellular pH homeostasis. The SLC4A4 protein has a molecular mass of approximately 121 kDa. It expresses in various tissues with high levels found in the kidney and pancreas. Its activity is critical for efficient transport processes in epithelial cells contributing to the overall ion balance within these organs.
Biological function summary

The activity of SLC4A4/NBC influences several physiological processes. This protein helps regulate bicarbonate reabsorption in renal proximal tubules which is fundamental for the body's buffering capacity. SLC4A4 can operate within complex systems involving other transport mechanisms to efficiently maintain proper ion concentrations and pH balance. It associates with proteins like carbonic anhydrase which facilitates the rapid interconversion of carbon dioxide and bicarbonate enhancing the efficiency of its transport function.

Pathways

SLC4A4/NBC integrates into several key biological pathways that maintain bicarbonate and acid-base equilibrium. One such pathway is the renal tubular bicarbonate reclamation where it collaborates closely with proteins such as NHE3 (sodium hydrogen exchanger 3) to ensure sodium and bicarbonate absorption. Another pathway is the pancreatic bicarbonate secretion where its role complements secretor proteins to assimilate bicarbonates essential for neutralizing gastric acids.

SLC4A4/NBC correlates with significant clinical conditions affecting bicarbonate transport. Mutations or dysfunction in this transporter relate to proximal renal tubular acidosis a disorder characterized by impaired acid-base regulation in kidneys. Additionally it associates with migraine disorders where alterations in pH and ion flow might play a role. Through these conditions SLC4A4 may connect with other bicarbonate transporters such as SLC4A7 to provide insights into pathophysiological mechanisms involving ionic imbalances.

Product protocols

For this product, it's our understanding that no specific protocols are required. You can visit:

Target data

Electrogenic sodium/bicarbonate cotransporter with a Na(+) : HCO3(-) stoichiometry varying from 1 : 2 to 1 : 3. May regulate bicarbonate influx/efflux at the basolateral membrane of cells and regulate intracellular pH.
See full target information SLC4A4

Publications (1)

Recent publications for all applications. Explore the full list and refine your search

MedComm 4:e381 PubMed37846367

2023

Co-targeting FAK and Gli1 inhibits the tumor-associated macrophages-released CCL22-mediated esophageal squamous cell carcinoma malignancy.

Applications

Unspecified application

Species

Unspecified reactive species

Jie Chen,Yanmeng Zhu,Di Zhao,Lingyuan Zhang,Jing Zhang,Yuanfan Xiao,Qingnan Wu,Yan Wang,Qimin Zhan
View all publications

Product promise

We are committed to supporting your work with high-quality reagents, and we're here for you every step of the way. In the unlikely event that one of our products does not perform as expected, you're protected by our Product Promise.
For full details, please see our Terms & Conditions

Please note: All products are 'FOR RESEARCH USE ONLY. NOT FOR USE IN DIAGNOSTIC OR THERAPEUTIC PROCEDURES'.

For licensing inquiries, please contact partnerships@abcam.com