JavaScript is disabled in your browser. Please enable JavaScript to view this website.
AB316193

Anti-SLC6A14 antibody [EPR27113-178]

  • BOND RX™ Validated
  • 20ul selling size
  • Recombinant
  • RabMAb
  • What is this?

Be the first to review this product! Submit a review

|

(1 Publication)

Rabbit Recombinant Monoclonal SLC6A14 antibody. Suitable for IHC-P, WB and reacts with Human samples. Cited in 1 publication.

View Alternative Names

Sodium- and chloride-dependent neutral and basic amino acid transporter B(0+), Amino acid transporter ATB0+, Solute carrier family 6 member 14, SLC6A14

6 Images
Immunohistochemistry (Formalin/PFA-fixed paraffin-embedded sections) - Anti-SLC6A14 antibody [EPR27113-178] (AB316193)
  • IHC-P

Supplier Data

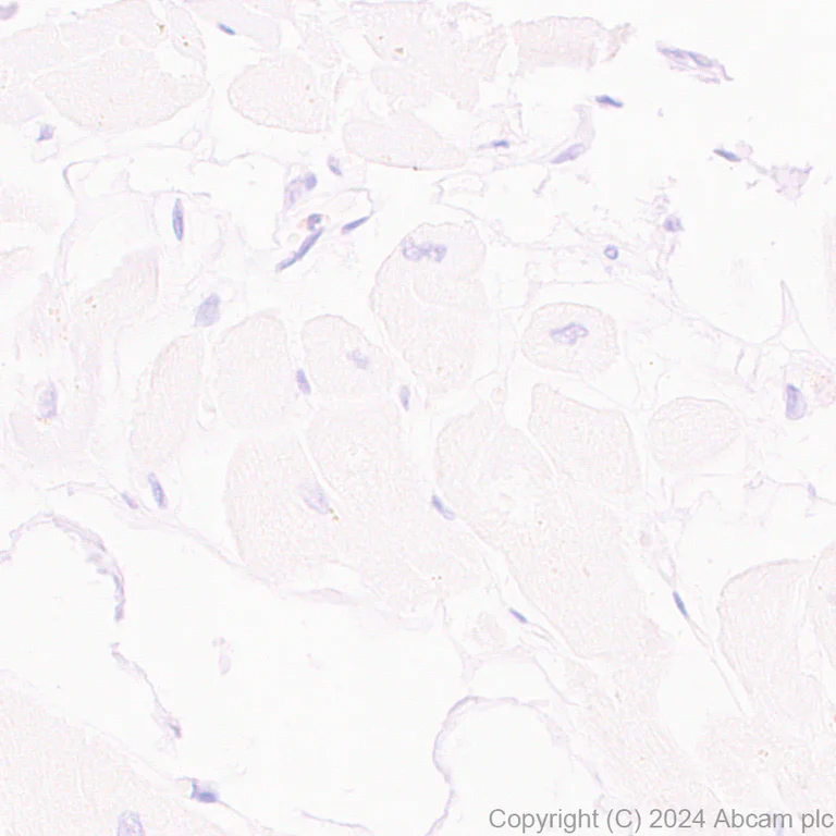
Immunohistochemistry (Formalin/PFA-fixed paraffin-embedded sections) - Anti-SLC6A14 antibody [EPR27113-178] (AB316193)

Immunohistochemical analysis of paraffin-embedded Human cardiac muscle tissue labeling SLC6A14 with ab316193 at 1/200 (2.585 ug/ml) dilution, followed by a ready to use Rabbit specific IHC polymer detection kit HRP/DAB (ab209101).

Negative control : No staining on human cardiac muscle.
The section was incubated with ab316193 for 30 mins at room temperature.
The immunostaining was performed on a Leica Biosystems BOND® RX instrument.

Counterstained with Hematoxylin.

Secondary antibody only control : Secondary antibody is a ready to use Rabbit specific IHC polymer detection kit HRP/DAB (ab209101).

Heat mediated antigen retrieval was performed with Tris-EDTA buffer (pH 9.0, Epitope Retrieval Solution2) for 20 mins.

Immunohistochemistry (Formalin/PFA-fixed paraffin-embedded sections) - Anti-SLC6A14 antibody [EPR27113-178] (AB316193)
  • IHC-P

Supplier Data

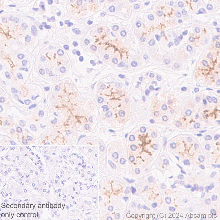
Immunohistochemistry (Formalin/PFA-fixed paraffin-embedded sections) - Anti-SLC6A14 antibody [EPR27113-178] (AB316193)

Immunohistochemical analysis of paraffin-embedded Human salivary gland tissue labeling SLC6A14 with ab316193 at 1/200 (2.585 ug/ml) dilution, followed by a ready to use Rabbit specific IHC polymer detection kit HRP/DAB (ab209101).

Positive staining on human salivary gland.
The section was incubated with ab316193 for 30 mins at room temperature.
The immunostaining was performed on a Leica Biosystems BOND® RX instrument.

Counterstained with Hematoxylin.

Secondary antibody only control : Secondary antibody is a ready to use Rabbit specific IHC polymer detection kit HRP/DAB (ab209101).

Heat mediated antigen retrieval was performed with Tris-EDTA buffer (pH 9.0, Epitope Retrieval Solution2) for 20 mins.

Immunohistochemistry (Formalin/PFA-fixed paraffin-embedded sections) - Anti-SLC6A14 antibody [EPR27113-178] (AB316193)
  • IHC-P

Supplier Data

Immunohistochemistry (Formalin/PFA-fixed paraffin-embedded sections) - Anti-SLC6A14 antibody [EPR27113-178] (AB316193)

Immunohistochemical analysis of paraffin-embedded Human breast tissue labeling SLC6A14 with ab316193 at 1/200 (2.585 ug/ml) dilution, followed by a ready to use Rabbit specific IHC polymer detection kit HRP/DAB (ab209101).

Positive staining on human breast.
The section was incubated with ab316193 for 30 mins at room temperature.
The immunostaining was performed on a Leica Biosystems BOND® RX instrument.

Counterstained with Hematoxylin.

Secondary antibody only control : Secondary antibody is a ready to use Rabbit specific IHC polymer detection kit HRP/DAB (ab209101).

Heat mediated antigen retrieval was performed with Tris-EDTA buffer (pH 9.0, Epitope Retrieval Solution2) for 20 mins.

Immunohistochemistry (Formalin/PFA-fixed paraffin-embedded sections) - Anti-SLC6A14 antibody [EPR27113-178] (AB316193)
  • IHC-P

Supplier Data

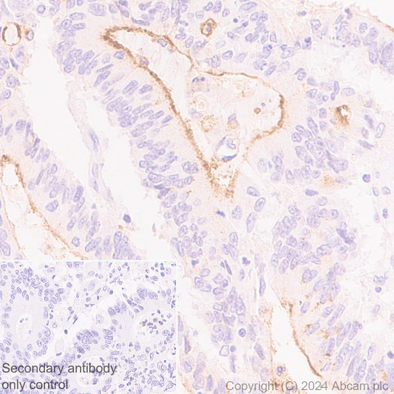
Immunohistochemistry (Formalin/PFA-fixed paraffin-embedded sections) - Anti-SLC6A14 antibody [EPR27113-178] (AB316193)

Immunohistochemical analysis of paraffin-embedded Human colon carcinoma tissue labeling SLC6A14 with ab316193 at 1/200 (2.585 ug/ml) dilution, followed by a ready to use Rabbit specific IHC polymer detection kit HRP/DAB (ab209101).

Positive staining on human colon carcinoma (PMID : 35907820).
The section was incubated with ab316193 for 30 mins at room temperature.
The immunostaining was performed on a Leica Biosystems BOND® RX instrument.

Counterstained with Hematoxylin.

Secondary antibody only control : Secondary antibody is a ready to use Rabbit specific IHC polymer detection kit HRP/DAB (ab209101).

Heat mediated antigen retrieval was performed with Tris-EDTA buffer (pH 9.0, Epitope Retrieval Solution2) for 20 mins.

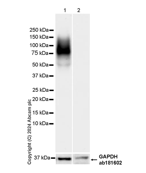
Western blot - Anti-SLC6A14 antibody [EPR27113-178] (AB316193)
  • WB

Supplier Data

Western blot - Anti-SLC6A14 antibody [EPR27113-178] (AB316193)

Negative control : pancreas(PMID : 10446133)

In Western blot, Anti-GAPDH antibody [EPR16891] - Loading Control (ab181602) staining at 1/200000 dilution.

All lanes:

Western blot - Anti-SLC6A14 antibody [EPR27113-178] (ab316193) at 1/1000 dilution

Lane 1:

Human breast tissue lysate at 20 µg

Lane 2:

Human pancreas tissue lysate at 20 µg

Secondary

All lanes:

Western blot - Goat Anti-Rabbit IgG H&L (HRP) (<a href='/en-us/products/secondary-antibodies/goat-rabbit-igg-h-l-hrp-ab97051'>ab97051</a>) at 1/100000 dilution

Observed band size: 75-85 kDa,36 kDa

false

Exposure time: 26s

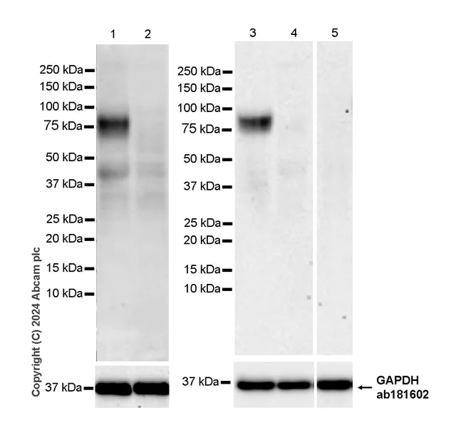
Western blot - Anti-SLC6A14 antibody [EPR27113-178] (AB316193)
  • WB

Supplier Data

Western blot - Anti-SLC6A14 antibody [EPR27113-178] (AB316193)

Negative control : SK-BR-3(PMID : 21771784)

Low expression : HCT116(PMID : 32219372)

Lane1-2 were freshly made and used for Western blotting immediately to minimize protein degradation.

In Western blot, Anti-GAPDH antibody [EPR16891] - Loading Control (ab181602) staining at 1/200000 dilution.

Exposure time : Lane1-2 : 70 seconds, lane3-5 : 180 seconds

All lanes:

Western blot - Anti-SLC6A14 antibody [EPR27113-178] (ab316193) at 1/1000 dilution

Lanes 1 and 3:

MCF7 (human breast adenocarcinoma epithelial cell) whole cell lysate at 20 µg

Lane 2:

HCT116 (human colorectal carcinoma epithelial cell) whole cell lysate at 20 µg

Lane 4:

T-47D (human ductal breast epithelial tumor epithelial cell) whole cell lysate at 20 µg

Lane 5:

SK-BR-3 (human breast adenocarcinoma epithelial cell) whole cell lysate at 20 µg

Secondary

All lanes:

Western blot - Goat Anti-Rabbit IgG H&L (HRP) (<a href='/en-us/products/secondary-antibodies/goat-rabbit-igg-h-l-hrp-ab97051'>ab97051</a>) at 1/100000 dilution

Observed band size: 75-85 kDa,36 kDa

false

  • Carrier free

    Anti-SLC6A14 antibody [EPR27113-178] - BSA and Azide free

Key facts

Host species

Rabbit

Clonality

Monoclonal

Clone number

EPR27113-178

Isotype

IgG

Carrier free

No

Reacts with

Human

Applications

WB, IHC-P

applications

Immunogen

The exact immunogen used to generate this antibody is proprietary information.

Specificity

We have observed a non-specific band at approximately 100KDa in human skeletal muscle by WB.

Reactivity data

{ "title": "Reactivity Data", "filters": { "stats": ["", "Species", "Dilution Info", "Notes"], "tabs": { "all-applications": {"fullname" : "All Applications", "shortname": "All Applications"}, "IHCP" : {"fullname" : "Immunohistochemistry (Formalin/PFA-fixed paraffin-embedded sections)", "shortname":"IHC-P"}, "WB" : {"fullname" : "Western blot", "shortname":"WB"}, "FlowCytIntra" : {"fullname" : "Flow Cytometry (Intracellular)", "shortname":"Flow Cyt (Intra)"}, "ICCIF" : {"fullname" : "Immunocytochemistry/ Immunofluorescence", "shortname":"ICC/IF"}, "IP" : {"fullname" : "Immunoprecipitation", "shortname":"IP"} }, "product-promise": { "all": "all", "testedAndGuaranteed": "tested", "guaranteed": "expected", "predicted": "predicted", "notRecommended": "not-recommended" } }, "values": { "Human": { "IHCP-species-checked": "testedAndGuaranteed", "IHCP-species-dilution-info": "1/200", "IHCP-species-notes": "<p></p> Perform heat-mediated antigen retrieval with Tris/EDTA buffer pH 9.0 before commencing with IHC staining protocol.", "WB-species-checked": "testedAndGuaranteed", "WB-species-dilution-info": "1/1000", "WB-species-notes": "<p></p>", "FlowCytIntra-species-checked": "notRecommended", "FlowCytIntra-species-dilution-info": "", "FlowCytIntra-species-notes": "<p></p>", "ICCIF-species-checked": "notRecommended", "ICCIF-species-dilution-info": "", "ICCIF-species-notes": "<p></p>", "IP-species-checked": "notRecommended", "IP-species-dilution-info": "", "IP-species-notes": "<p></p>" }, "Rat": { "IHCP-species-checked": "notRecommended", "IHCP-species-dilution-info": "", "IHCP-species-notes": "<p></p>", "WB-species-checked": "notRecommended", "WB-species-dilution-info": "", "WB-species-notes": "<p></p>", "FlowCytIntra-species-checked": "notRecommended", "FlowCytIntra-species-dilution-info": "", "FlowCytIntra-species-notes": "", "ICCIF-species-checked": "notRecommended", "ICCIF-species-dilution-info": "", "ICCIF-species-notes": "", "IP-species-checked": "notRecommended", "IP-species-dilution-info": "", "IP-species-notes": "" } } }

Product details

Patented technology
Our RabMAb® technology is a patented hybridoma-based technology for making rabbit monoclonal antibodies. For details on our patents, please refer to RabMAb® patents.

What are the advantages of a recombinant monoclonal antibody?
This product is a recombinant monoclonal antibody, which offers several advantages including:

  • - High batch-to-batch consistency and reproducibility
  • - Improved sensitivity and specificity
  • - Long-term security of supply
  • - Animal-free batch production

For more information, read more on recombinant antibodies.

Properties and storage information

Form
Liquid
Purification technique
Affinity purification Protein A
Storage buffer
pH: 7.2 - 7.4 Preservative: 0.01% Sodium azide Constituents: PBS, 40% Glycerol (glycerin, glycerine), 0.05% BSA
Shipped at conditions
Blue Ice
Appropriate short-term storage duration
1-2 weeks
Appropriate short-term storage conditions
+4°C
Appropriate long-term storage conditions
-20°C
Aliquoting information
Upon delivery aliquot
Storage information
Avoid freeze / thaw cycle

Supplementary information

This supplementary information is collated from multiple sources and compiled automatically.

The SLC6A14 protein also known as the ATB0+ transporter is a sodium- and chloride-dependent transport protein that facilitates the uptake of a broad range of neutral and cationic amino acids. Weighing approximately 71 kDa it is encoded by the SLC6A14 gene. This transporter is expressed in various tissues including the lung placenta and pancreas with notable expression in the intestinal tract and certain areas of the brain. SLC6A14 plays an important role in maintaining cellular amino acid supply essential for protein synthesis and energy production.
Biological function summary

The transporter is involved in nutrient absorption and neurotransmitter regulation. While not part of a larger complex SLC6A14 coordinates the transport of multiple amino acids which contributes to maintaining amino acid homeostasis across cellular membranes. This function is important during periods of increased demand such as growth stress or tissue repair. Its ability to handle high-affinity transport in varied physiological environments highlights its unique versatility and importance.

Pathways

SLC6A14 is integral to amino acid and neurotransmitter transport pathways. It participates in systems involved in the transport and metabolism of amino acids like the mTOR signaling pathway. The protein also interfaces with pathways controlling energy balance and metabolic regulation often interacting with proteins like SLC6A19. These interactions allow the protein to contribute to maintaining balances essential for cellular functions and metabolic homeostasis.

Mutations and altered expression of SLC6A14 correlate with conditions such as cystic fibrosis and colorectal cancer. In cystic fibrosis improper transporter function affects amino acid absorption complicating nutritional status. The protein's upregulation in certain cancers suggests a role in cell growth and survival mechanisms. The SLC6A14 transporter also exhibits functional connections with proteins like SLC7A9 affecting amino acid availability to cells under pathological conditions. These associations highlight its potential as a therapeutic target for related diseases.

Product protocols

For this product, it's our understanding that no specific protocols are required. You can visit:

Target data

Amino acid transporter that plays an important role in the absorption of amino acids in the intestinal tract. Mediates the uptake of a broad range of neutral and cationic amino acids (with the exception of proline) in a Na(+)/Cl(-)-dependent manner (PubMed : 10446133). Transports non-alpha-amino acids such as beta-alanine with low affinity, and has a higher affinity for dipolar and cationic amino acids such as leucine and lysine (PubMed : 18599538). Can also transport carnitine, butirylcarnitine and propionylcarnitine coupled to the transmembrane gradients of Na(+) and Cl(-) (PubMed : 17855766).
See full target information SLC6A14

Publications (1)

Recent publications for all applications. Explore the full list and refine your search

Cancer biology & therapy 26:2546219 PubMed40808274

2025

Hypoxia-induced PYCR1 regulates glycolysis and histone lactylation to promote bladder cancer progression and metastasis via SLC6A14/Glutamine metabolism.

Applications

Unspecified application

Species

Unspecified reactive species

Zhuo Li,Qinghua Jiang,Quan Yang,Yujie Zhou,Jiansong Wang
View all publications

Product promise

We are committed to supporting your work with high-quality reagents, and we're here for you every step of the way. In the unlikely event that one of our products does not perform as expected, you're protected by our Product Promise.
For full details, please see our Terms & Conditions

Please note: All products are 'FOR RESEARCH USE ONLY. NOT FOR USE IN DIAGNOSTIC OR THERAPEUTIC PROCEDURES'.

For licensing inquiries, please contact partnerships@abcam.com