JavaScript is disabled in your browser. Please enable JavaScript to view this website.
AB305252

Anti-SLC7A5/LAT1 antibody [EPR26260-66] - BSA and Azide free

Be the first to review this product! Submit a review

|

(0 Publication)

Rabbit Recombinant Monoclonal SLC7A5/LAT1 antibody. Carrier free. Suitable for WB, IHC-P, ICC/IF, Flow Cyt (Intra), IP and reacts with Human samples.

View Alternative Names

CD98LC, LAT1, MPE16, SLC7A5, Large neutral amino acids transporter small subunit 1, 4F2 light chain, CD98 light chain, Integral membrane protein E16, L-type amino acid transporter 1, Solute carrier family 7 member 5, y+ system cationic amino acid transporter, 4F2 LC, 4F2LC, E16, hLAT1

7 Images
Flow Cytometry (Intracellular) - Anti-SLC7A5/LAT1 antibody [EPR26260-66] - BSA and Azide free (AB305252)
  • Flow Cyt (Intra)

Supplier Data

Flow Cytometry (Intracellular) - Anti-SLC7A5/LAT1 antibody [EPR26260-66] - BSA and Azide free (AB305252)

This data was developed using ab305251, the same antibody clone in a different buffer formulation. Flow cytometric analysis of 4% paraformaldehyde fixed 90% methanol permeabilized LNCaP (human prostate carcinoma epithelial cell, Left) / HT-29 (human colorectal adenocarcinoma epithelial cell, Right) cells labelling SLC7A5/LAT1 with ab305251 at 1/500 dilution (0.1ug) (Red) compared with a Rabbit monoclonal IgG (ab172730) (Black) isotype control and an unlabelled control (cells without incubation with primary antibody and secondary antibody) (Blue). A Goat Anti-Rabbit IgG (Alexa Fluor® 488, ab150081) at 1/2000 dilution was used as the secondary antibody. Negative control : LNCaP (PMID : 30241549).

Immunocytochemistry/ Immunofluorescence - Anti-SLC7A5/LAT1 antibody [EPR26260-66] - BSA and Azide free (AB305252)
  • ICC/IF

Supplier Data

Immunocytochemistry/ Immunofluorescence - Anti-SLC7A5/LAT1 antibody [EPR26260-66] - BSA and Azide free (AB305252)

This data was developed using ab305251, the same antibody clone in a different buffer formulation. Immunofluorescent analysis of 4% Paraformaldehyde-fixed, 0.1% TritonX-100 permeabilized HT-29 (human colorectal adenocarcinoma epithelial cell) cells labelling SLC7A5/LAT1 with ab305251 at 1/100 dilution, followed by ab150081 Goat Anti-Rabbit IgG H&L (Alexa Fluor® 488) preadsorbed antibody at 1/1000 dilution (Green). Confocal image showing membranous staining in HT-29 cell line. Negative control : LNCaP (PMID : 30241549). Image was taken with a confocal microscope(Leica-Microsystems, TCS SP8). ab195889 Anti-alpha Tubulin mouse monoclonal antibody - Microtubule Marker (Alexa Fluor® 594) was used to counterstain tubulin at 1/200 dilution (Red). The Nuclear counterstain was DAPI (Blue). Secondary antibody only control : Secondary antibody is ab150081 Goat Anti-Rabbit IgG H&L (Alexa Fluor® 488) preadsorbed at 1/1000 dilution.

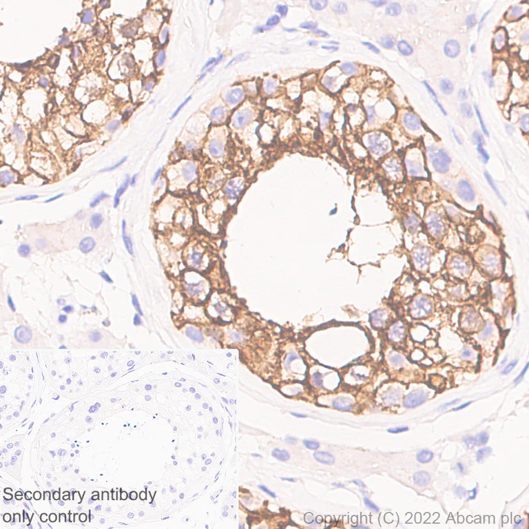
Immunohistochemistry (Formalin/PFA-fixed paraffin-embedded sections) - Anti-SLC7A5/LAT1 antibody [EPR26260-66] - BSA and Azide free (AB305252)
  • IHC-P

Supplier Data

Immunohistochemistry (Formalin/PFA-fixed paraffin-embedded sections) - Anti-SLC7A5/LAT1 antibody [EPR26260-66] - BSA and Azide free (AB305252)
Immunoprecipitation - Anti-SLC7A5/LAT1 antibody [EPR26260-66] - BSA and Azide free (AB305252)
  • IP

Supplier Data

Immunoprecipitation - Anti-SLC7A5/LAT1 antibody [EPR26260-66] - BSA and Azide free (AB305252)

This data was developed using ab305251, the same antibody clone in a different buffer formulation. SLC7A5/LAT1 was immunoprecipitated from 0.35 mg HT-29 (human colorectal adenocarcinoma epithelial cell) whole cell lysate 10 μg with ab305251 at 1/30 dilution (2μg in 0.35mg lysates). Western blot was performed on the immunoprecipitate using ab305251. VeriBlot for IP secondary antibody(HRP)(ab131366) was used at 1/5000 dilution. Lane 1 : HT-29 (human colorectal adenocarcinoma epithelial cell) whole cell lysate 10 μg Lane 2 : ab305251 IP in HT-29 whole cell lysate Lane 3 : Rabbit monoclonal IgG (ab172730) instead of ab305251 in HT-29 whole cell lysate Blocking and dilution buffer and concentration : 5% NFDM/TBST. Exposure time : 3 seconds Samples are non-boiled as boiling may cause protein aggregates.

All lanes:

Immunoprecipitation - Anti-SLC7A5/LAT1 antibody [EPR26260-66] (<a href='/en-us/products/primary-antibodies/slc7a5-lat1-antibody-epr26260-66-ab305251'>ab305251</a>) at 1/30 dilution

All lanes:

HT-29 (human colorectal adenocarcinoma epithelial cell)

Secondary

All lanes:

Immunoprecipitation - VeriBlot for IP Detection Reagent (HRP) (<a href='/en-us/products/reagents/veriblot-for-ip-detection-reagent-hrp-ab131366'>ab131366</a>) at 1/5000 dilution

Observed band size: 40 kDa

false

Exposure time: 3s

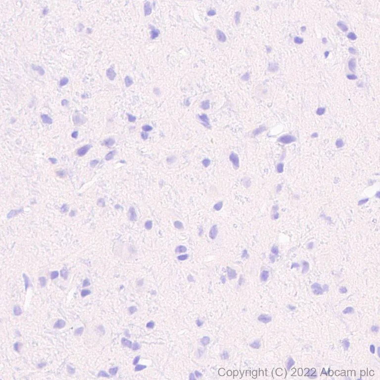
Immunohistochemistry (Formalin/PFA-fixed paraffin-embedded sections) - Anti-SLC7A5/LAT1 antibody [EPR26260-66] - BSA and Azide free (AB305252)
  • IHC-P

Supplier Data

Immunohistochemistry (Formalin/PFA-fixed paraffin-embedded sections) - Anti-SLC7A5/LAT1 antibody [EPR26260-66] - BSA and Azide free (AB305252)
Western blot - Anti-SLC7A5/LAT1 antibody [EPR26260-66] - BSA and Azide free (AB305252)
  • WB

Supplier Data

Western blot - Anti-SLC7A5/LAT1 antibody [EPR26260-66] - BSA and Azide free (AB305252)

This data was developed using ab305251, the same antibody clone in a different buffer formulation. Blocking and diluting buffer and concentration : 5% NFDM/TBST Negative control : LNCaP (PMID : 30241549) Samples are non-boiled as boiling may cause protein aggregates (multi-pass membrane protein) Exposure time : 136 seconds

All lanes:

Western blot - Anti-SLC7A5/LAT1 antibody [EPR26260-66] (<a href='/en-us/products/primary-antibodies/slc7a5-lat1-antibody-epr26260-66-ab305251'>ab305251</a>) at 1/1000 dilution

Lane 1:

HT-29 (human colorectal adenocarcinoma epithelial cell), whole cell lysate at 20 µg

Lane 2:

LNCaP (human prostate carcinoma epithelial cell), whole cell lysate at 20 µg

Lane 3:

HT-1080 (human fibrosarcoma epithelial cell), whole cell lysate at 20 µg

Lane 4:

MCF7 (human breast adenocarcinoma epithelial cell), whole cell lysate at 20 µg

Secondary

All lanes:

Western blot - Goat Anti-Rabbit IgG H&L (HRP) (<a href='/en-us/products/secondary-antibodies/goat-rabbit-igg-h-l-hrp-ab97051'>ab97051</a>) at 1/100000 dilution

Observed band size: 40 kDa

false

Exposure time: 136s

Western blot - Anti-SLC7A5/LAT1 antibody [EPR26260-66] - BSA and Azide free (AB305252)
  • WB

Supplier Data

Western blot - Anti-SLC7A5/LAT1 antibody [EPR26260-66] - BSA and Azide free (AB305252)

This data was developed using ab305251, the same antibody clone in a different buffer formulation.

Blocking and diluting buffer and concentration : 5% NFDM/TBST.

Exposure time : 1 second, left; 3 seconds, right.

All lanes:

Western blot - Anti-SLC7A5/LAT1 antibody [EPR26260-66] (<a href='/en-us/products/primary-antibodies/slc7a5-lat1-antibody-epr26260-66-ab305251'>ab305251</a>) at 1/1000 dilution

Lanes 1 and 3:

293T cells transfected with an empty vector containing a His tag whole cell lysate at 20 µg

Lanes 2 and 4:

293T cells transfected with a Human SLC7A5 expression vector containing a His-tag whole cell lysate at 20 µg

Secondary

All lanes:

Western blot - Goat Anti-Rabbit IgG H&L (HRP) (<a href='/en-us/products/secondary-antibodies/goat-rabbit-igg-h-l-hrp-ab97051'>ab97051</a>) at 1/20000 dilution

Predicted band size: 55 kDa

Observed band size: 37 kDa

false

Exposure time: 1s

Key facts

Host species

Rabbit

Clonality

Monoclonal

Clone number

EPR26260-66

Isotype

IgG

Carrier free

Yes

Reacts with

Human

Applications

WB, IHC-P, IP, Flow Cyt (Intra), ICC/IF

applications

Immunogen

The exact immunogen used to generate this antibody is proprietary information.

Reactivity data

{ "title": "Reactivity Data", "filters": { "stats": ["", "Species", "Dilution Info", "Notes"], "tabs": { "all-applications": {"fullname" : "All Applications", "shortname": "All Applications"}, "WB" : {"fullname" : "Western blot", "shortname":"WB"}, "IHCP" : {"fullname" : "Immunohistochemistry (Formalin/PFA-fixed paraffin-embedded sections)", "shortname":"IHC-P"}, "ICCIF" : {"fullname" : "Immunocytochemistry/ Immunofluorescence", "shortname":"ICC/IF"}, "FlowCytIntra" : {"fullname" : "Flow Cytometry (Intracellular)", "shortname":"Flow Cyt (Intra)"}, "IP" : {"fullname" : "Immunoprecipitation", "shortname":"IP"} }, "product-promise": { "all": "all", "testedAndGuaranteed": "tested", "guaranteed": "expected", "predicted": "predicted", "notRecommended": "not-recommended" } }, "values": { "Human": { "WB-species-checked": "testedAndGuaranteed", "WB-species-dilution-info": "", "WB-species-notes": "<p></p>", "IHCP-species-checked": "testedAndGuaranteed", "IHCP-species-dilution-info": "", "IHCP-species-notes": "<p></p>", "ICCIF-species-checked": "testedAndGuaranteed", "ICCIF-species-dilution-info": "", "ICCIF-species-notes": "<p></p>", "FlowCytIntra-species-checked": "testedAndGuaranteed", "FlowCytIntra-species-dilution-info": "", "FlowCytIntra-species-notes": "<p></p>", "IP-species-checked": "testedAndGuaranteed", "IP-species-dilution-info": "", "IP-species-notes": "<p></p>" }, "Mouse": { "WB-species-checked": "notRecommended", "WB-species-dilution-info": "", "WB-species-notes": "<p></p>", "IHCP-species-checked": "notRecommended", "IHCP-species-dilution-info": "", "IHCP-species-notes": "<p></p>", "ICCIF-species-checked": "notRecommended", "ICCIF-species-dilution-info": "", "ICCIF-species-notes": "", "FlowCytIntra-species-checked": "notRecommended", "FlowCytIntra-species-dilution-info": "", "FlowCytIntra-species-notes": "", "IP-species-checked": "notRecommended", "IP-species-dilution-info": "", "IP-species-notes": "<p></p>" }, "Rat": { "WB-species-checked": "notRecommended", "WB-species-dilution-info": "", "WB-species-notes": "<p></p>", "IHCP-species-checked": "notRecommended", "IHCP-species-dilution-info": "", "IHCP-species-notes": "<p></p>", "ICCIF-species-checked": "notRecommended", "ICCIF-species-dilution-info": "", "ICCIF-species-notes": "", "FlowCytIntra-species-checked": "notRecommended", "FlowCytIntra-species-dilution-info": "", "FlowCytIntra-species-notes": "", "IP-species-checked": "notRecommended", "IP-species-dilution-info": "", "IP-species-notes": "" } } }

Product details

Patented technology
Our RabMAb® technology is a patented hybridoma-based technology for making rabbit monoclonal antibodies. For details on our patents, please refer to RabMAb® patents.

Conjugation ready
Our carrier-free antibodies are typically supplied in a PBS-only formulation, purified and free of BSA, sodium azide and glycerol. This conjugation-ready format is designed for use with fluorochromes, metal isotopes, oligonucleotides, and enzymes, which makes them ideal for antibody labelling, functional and cell-based assays, flow-based assays (e.g. mass cytometry) and Multiplex Imaging applications.

Use our conjugation kits for antibody conjugates that are ready-to-use in as little as 20 minutes with 1 minute hands-on-time and 100% antibody recovery: available for fluorescent dyes, HRP, biotin and gold.

Compatibility
This product is compatible with the Maxpar® Antibody Labeling Kit from Fluidigm, without the need for antibody preparation. Maxpar® is a trademark of Fluidigm Canada Inc.

What are the advantages of a recombinant monoclonal antibody?
This product is a recombinant monoclonal antibody, which offers several advantages including:

  • - High batch-to-batch consistency and reproducibility
  • - Improved sensitivity and specificity
  • - Long-term security of supply
  • - Animal-free batch production

For more information, read more on recombinant antibodies.

Properties and storage information

Form
Liquid
Purification technique
Affinity purification Protein A
Storage buffer
pH: 7.2 - 7.4 Constituents: PBS
Shipped at conditions
Blue Ice
Appropriate short-term storage conditions
+4°C
Appropriate long-term storage conditions
+4°C

Supplementary information

This supplementary information is collated from multiple sources and compiled automatically.

The SLC7A5/LAT1 or LAT1 transporter also known as the large neutral amino acid transporter small subunit 1 plays an important role in facilitating the transport of large neutral amino acids across cell membranes. LAT1 is a heterodimer with a heavy chain known usually as SLC3A2 forming a functional transporter which is around 40-50 kDa in mass. LAT1 is highly expressed in tissues with high metabolic rates like the brain placenta and some cancer cells making it important for nutrient transport in these areas.
Biological function summary

The LAT1 transporter mediates the uptake of essential amino acids which are critical for protein synthesis and cellular metabolism. It functions as part of the LAT1-SLC3A2 heterodimer complex ensuring effective transport across the blood-brain barrier and into other metabolically active tissues. This activity supports cellular growth and proliferation underlining its importance in rapidly dividing cells such as in cancer.

Pathways

LAT1 plays a critical role in the mTOR signaling pathway which is central to regulating cell growth and metabolism in response to nutrient availability. LAT1's transport function influences the activation of mTORC1 by ensuring a steady supply of leucine an amino acid that activates this complex. LAT1 is also integral to the cross-pathway interaction with the insulin signaling pathway enhancing nutrient-dependent growth signals in conjunction with other transporters.

Abnormal LAT1 function links closely with cancer and neurological disorders. Its overexpression often marks various tumors where it supports cancer cell survival by sustaining amino acid supply often in conjunction with increased SLC3A2 expression. In neurological contexts LAT1 impairments can contribute to disorders involving neurotransmitter imbalances as it participates in amino acid transport critical for neurotransmitter synthesis.

Product protocols

For this product, it's our understanding that no specific protocols are required. You can visit:

Target data

The heterodimer with SLC3A2 functions as a sodium-independent, high-affinity transporter that mediates uptake of large neutral amino acids such as phenylalanine, tyrosine, leucine, histidine, methionine, tryptophan, valine, isoleucine and alanine (PubMed : 10049700, PubMed : 10574970, PubMed : 11557028, PubMed : 11564694, PubMed : 12117417, PubMed : 12225859, PubMed : 15769744, PubMed : 18262359, PubMed : 25998567, PubMed : 30867591, PubMed : 9751058). The heterodimer with SLC3A2 mediates the uptake of L-DOPA (By similarity). Functions as an amino acid exchanger (PubMed : 11557028, PubMed : 12117417, PubMed : 12225859, PubMed : 30867591). May play a role in the transport of L-DOPA across the blood-brain barrier (By similarity). May act as the major transporter of tyrosine in fibroblasts (Probable). May mediate blood-to-retina L-leucine transport across the inner blood-retinal barrier (By similarity). Can mediate the transport of thyroid hormones diiodothyronine (T2), triiodothyronine (T3) and thyroxine (T4) across the cell membrane (PubMed : 11564694). When associated with LAPTM4B, the heterodimer formed by SLC3A2 and SLC7A5 is recruited to lysosomes to promote leucine uptake into these organelles, and thereby mediates mTORC1 activation (PubMed : 25998567). Involved in the uptake of toxic methylmercury (MeHg) when administered as the L-cysteine or D,L-homocysteine complexes (PubMed : 12117417). Involved in the cellular activity of small molecular weight nitrosothiols, via the stereoselective transport of L-nitrosocysteine (L-CNSO) across the membrane (PubMed : 15769744).. (Microbial infection) In case of hepatitis C virus/HCV infection, the complex formed by SLC3A2 and SLC7A5/LAT1 plays a role in HCV propagation by facilitating viral entry into host cell and increasing L-leucine uptake-mediated mTORC1 signaling activation, thereby contributing to HCV-mediated pathogenesis.
See full target information SLC7A5

Product promise

We are committed to supporting your work with high-quality reagents, and we're here for you every step of the way. In the unlikely event that one of our products does not perform as expected, you're protected by our Product Promise.
For full details, please see our Terms & Conditions

Please note: All products are 'FOR RESEARCH USE ONLY. NOT FOR USE IN DIAGNOSTIC OR THERAPEUTIC PROCEDURES'.

For licensing inquiries, please contact partnerships@abcam.com