JavaScript is disabled in your browser. Please enable JavaScript to view this website.
AB324354

Anti-SLC7A5/LAT1 antibody [EPR29892-591]

  • BOND RX™ Validated
  • RabMAb
  • Recombinant
  • 20ul selling size
  • What is this?

Be the first to review this product! Submit a review

|

(0 Publication)

Rabbit Recombinant Monoclonal SLC7A5/LAT1 antibody. Suitable for ICC/IF, IHC-P, WB, Flow Cyt (Intra) and reacts with Mouse samples.

View Alternative Names

Lat1, Slc7a5, Large neutral amino acids transporter small subunit 1, 4F2 light chain, L-type amino acid transporter 1, Solute carrier family 7 member 5, 4F2 LC, 4F2LC, LAT1

10 Images
Immunocytochemistry/ Immunofluorescence - Anti-SLC7A5/LAT1 antibody [EPR29892-591] (AB324354)
  • ICC/IF

Supplier Data

Immunocytochemistry/ Immunofluorescence - Anti-SLC7A5/LAT1 antibody [EPR29892-591] (AB324354)

Immunofluorescent analysis of 4% Paraformaldehyde-fixed, 0.1% TritonX-100 permeabilized F9 (mouse embryonal carcinoma epithelial cell) cells labelling SLC7A5/LAT1 with ab324354 at 1/500 (1.024 ug/ml) dilution, followed by ab150081 Goat Anti-Rabbit IgG H&L (Alexa Fluor® 488) preadsorbed antibody at 1/1000 (2 ug/ml) dilution (Green).

Confocal image showing membranous staining in F9 cell line and weak staining in mIMCD3 cell line (shown in green). The counterstain was observed in magenta. Nuclear DNA was labelled with DAPI (shown in blue).
Low expression : mIMCD3.
Image was taken with a confocal microscope (Leica-Microsystems, TCS SP8).

ab7291 Anti-alpha Tubulin mouse monoclonal antibody was used to counterstain tubulin at 1/1000 (1 ug/ml) dilution, followed by ab150120 Goat Anti-Mouse IgG H&L (Alexa Fluor® 594) antibody at 1/1000 (2 ug/ml) dilution (Magenta).

-ve control 1 : ab324354 at 1/2000 dilution, followed by ab150120 Goat Anti-Mouse IgG H&L (Alexa Fluor® 594) antibody at 1/1000 dilution. -ve control 2 : ab7291 at 1/1000 dilution, followed by ab150081 Goat Anti-Rabbit IgG H&L (Alexa Fluor® 488) antibody at 1/1000 dilution.

Immunohistochemistry (Formalin/PFA-fixed paraffin-embedded sections) - Anti-SLC7A5/LAT1 antibody [EPR29892-591] (AB324354)
  • IHC-P

Supplier Data

Immunohistochemistry (Formalin/PFA-fixed paraffin-embedded sections) - Anti-SLC7A5/LAT1 antibody [EPR29892-591] (AB324354)

Immunohistochemical analysis of paraffin-embedded Mouse cerebrum tissue labeling SLC7A5/LAT1 with ab324354 at 1/2000 (0.256 ug/ml) dilution, followed by a ready to use LeicaDS9800 (Bond™ Polymer Refine Detection).

Positive staining on blood vessels of mouse cerebrum (PMID : 11011012). The primary antibody was incubated for 30 mins at room temperature.
The immunostaining was performed on a Leica Biosystems BOND® RX instrument

Counterstained with Hematoxylin.

Secondary antibody only control : Secondary antibody is a ready to use LeicaDS9800 (Bond™ Polymer Refine Detection).

Heat mediated antigen retrieval was performed with Tris-EDTA buffer (pH 9.0, Epitope Retrieval Solution2) for 20 mins.

Flow Cytometry - Anti-SLC7A5/LAT1 antibody [EPR29892-591] (AB324354)
  • Flow Cyt

Supplier Data

Flow Cytometry - Anti-SLC7A5/LAT1 antibody [EPR29892-591] (AB324354)

Flow cytometric analysis of 4% paraformaldehyde fixed 90% methanol permeabilized mIMCD3 (mouse inner medullary collecting duct epithelial cell, Left) / F9 (mouse embryonal carcinoma epithelial cell, Right) cells labelling SLC7A5/LAT1 with ab324354 at 1/5000 dilution (0.01ug) (Red) compared with a Rabbit monoclonal IgG (ab172730) (Black) isotype control and an unlabeled control (cells without incubation with primary antibody and secondary antibody) (Blue).

Goat Anti-Rabbit IgG (Alexa Fluor® 488, ab150081) at 1/5000 dilution was used as the secondary antibody.

Low expression : mIMCD3.

Immunohistochemistry (Formalin/PFA-fixed paraffin-embedded sections) - Anti-SLC7A5/LAT1 antibody [EPR29892-591] (AB324354)
  • IHC-P

Supplier Data

Immunohistochemistry (Formalin/PFA-fixed paraffin-embedded sections) - Anti-SLC7A5/LAT1 antibody [EPR29892-591] (AB324354)

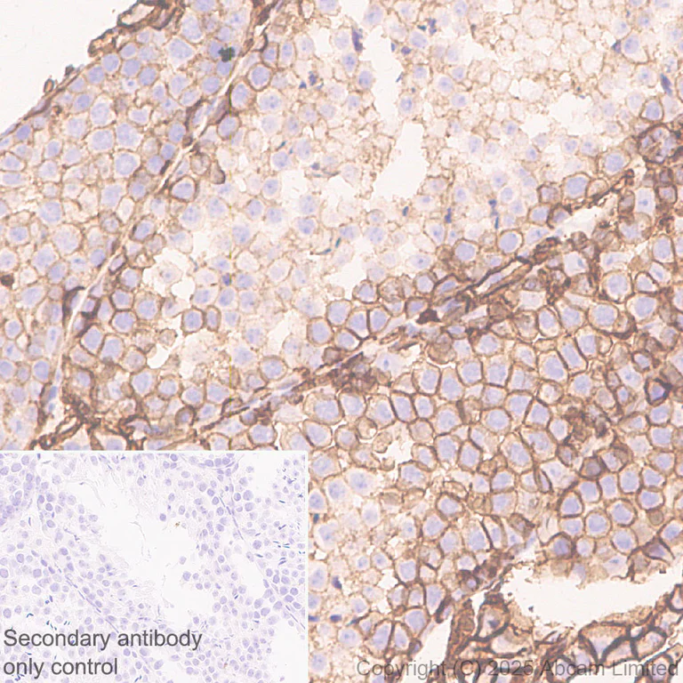
Immunohistochemical analysis of paraffin-embedded Mouse pancreas tissue labeling SLC7A5/LAT1 with ab324354 at 1/2000 (0.256 ug/ml) dilution, followed by a ready to use LeicaDS9800 (Bond™ Polymer Refine Detection).

Positive staining on mouse pancreas. The primary antibody was incubated for 30 mins at room temperature.
The immunostaining was performed on a Leica Biosystems BOND® RX instrument

Counterstained with Hematoxylin.

Secondary antibody only control : Secondary antibody is a ready to use LeicaDS9800 (Bond™ Polymer Refine Detection).

Heat mediated antigen retrieval was performed with Tris-EDTA buffer (pH 9.0, Epitope Retrieval Solution2) for 20 mins.

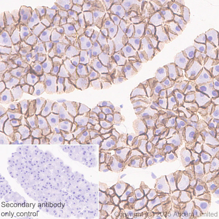
Immunohistochemistry (Formalin/PFA-fixed paraffin-embedded sections) - Anti-SLC7A5/LAT1 antibody [EPR29892-591] (AB324354)
  • IHC-P

Supplier Data

Immunohistochemistry (Formalin/PFA-fixed paraffin-embedded sections) - Anti-SLC7A5/LAT1 antibody [EPR29892-591] (AB324354)

Immunohistochemical analysis of paraffin-embedded Mouse testis tissue labeling SLC7A5/LAT1 with ab324354 at 1/2000 (0.256 ug/ml) dilution, followed by a ready to use LeicaDS9800 (Bond™ Polymer Refine Detection).

Positive staining on mouse testis. The primary antibody was incubated for 30 mins at room temperature.
The immunostaining was performed on a Leica Biosystems BOND® RX instrument

Counterstained with Hematoxylin.

Secondary antibody only control : Secondary antibody is a ready to use LeicaDS9800 (Bond™ Polymer Refine Detection).

Heat mediated antigen retrieval was performed with Tris-EDTA buffer (pH 9.0, Epitope Retrieval Solution2) for 20 mins.

Western blot - Anti-SLC7A5/LAT1 antibody [EPR29892-591] (AB324354)
  • WB

Supplier Data

Western blot - Anti-SLC7A5/LAT1 antibody [EPR29892-591] (AB324354)

Blocking and diluting buffer and concentration : 5% NFDM/TBST.

Low expression : brown fat.

The identity of the band higher than 50 kDa is unknown.

In Western blot, Anti-Vinculin antibody [EPR8185] (ab129002) staining at 1/10000 dilution.

All lanes:

Western blot - Anti-SLC7A5/LAT1 antibody [EPR29892-591] (ab324354) at 1/1000 dilution

Lane 1:

Mouse testis tissue lysate at 50 µg

Lane 2:

Mouse brown fat lysate at 50 µg

Secondary

All lanes:

Goat Anti-Rabbit IgG (HRP) with minimal cross-reactivity with human IgG at 1/2000 dilution

Observed band size: 37 kDa,124 kDa

false

Exposure time: 180s

Western blot - Anti-SLC7A5/LAT1 antibody [EPR29892-591] (AB324354)
  • WB

Supplier Data

Western blot - Anti-SLC7A5/LAT1 antibody [EPR29892-591] (AB324354)

Blocking and diluting buffer and concentration : 5% NFDM/TBST.

Low expression : liver (PMID : 27912058).

The identity of the band higher than 50 kDa is unknown.

In Western blot, Anti-Vinculin antibody [EPR8185] (ab129002) staining at 1/10000 dilution.

All lanes:

Western blot - Anti-SLC7A5/LAT1 antibody [EPR29892-591] (ab324354) at 1/1000 dilution

Lane 1:

Mouse ovary tissue lysate at 72 µg

Lane 2:

Mouse liver tissue lysate at 72 µg

Secondary

All lanes:

Western blot - Goat Anti-Rabbit IgG H&L (HRP) (<a href='/en-us/products/secondary-antibodies/goat-rabbit-igg-h-l-hrp-ab97051'>ab97051</a>) at 1/20000 dilution

Observed band size: 37 kDa,124 kDa

false

Exposure time: 6s

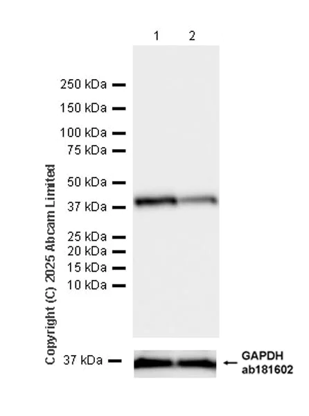
Western blot - Anti-SLC7A5/LAT1 antibody [EPR29892-591] (AB324354)
  • WB

Supplier Data

Western blot - Anti-SLC7A5/LAT1 antibody [EPR29892-591] (AB324354)

Blocking and diluting buffer and concentration : 5% NFDM/TBST.

In Western blot, Anti-GAPDH antibody [EPR16891] - Loading Control (ab181602) staining at 1/200000 dilution.

All lanes:

Western blot - Anti-SLC7A5/LAT1 antibody [EPR29892-591] (ab324354) at 1/1000 dilution

Lane 1:

F9 (mouse embryonal carcinoma epithelial cell) transfected with scrambled siRNA control whole cell lysate at 40 µg

Lane 2:

F9 transfected with siRNA specifically targeting SLC7A5/LAT1 whole cell lysate at 40 µg

Secondary

All lanes:

Western blot - Goat Anti-Rabbit IgG H&L (HRP) (<a href='/en-us/products/secondary-antibodies/goat-rabbit-igg-h-l-hrp-ab97051'>ab97051</a>) at 1/20000 dilution

Observed band size: 37 kDa

false

Exposure time: 26s

Western blot - Anti-SLC7A5/LAT1 antibody [EPR29892-591] (AB324354)
  • WB

Supplier Data

Western blot - Anti-SLC7A5/LAT1 antibody [EPR29892-591] (AB324354)

Blocking and diluting buffer and concentration : 5% NFDM/TBST.

Low expression : RAW 264.7, mIMCD3.

The identity of the bands higher than 50 kDa are unknown.

In Western blot, Anti-Vinculin antibody [EPR8185] (ab129002) staining at 1/10000 dilution.

All lanes:

Western blot - Anti-SLC7A5/LAT1 antibody [EPR29892-591] (ab324354) at 1/1000 dilution

Lane 1:

F9 (mouse embryonal carcinoma epithelial cell) whole cell lysate at 72 µg

Lane 2:

P815 (mouse mastocytoma mast cell) whole cell lysate at 72 µg

Lane 3:

RAW 264.7 (mouse Abelson murine leukemia virus-induced tumor macrophage) whole cell lysate at 72 µg

Lane 4:

mIMCD3 (mouse inner medullary collecting duct epithelial cell) whole cell lysate at 72 µg

Secondary

All lanes:

Western blot - Goat Anti-Rabbit IgG H&L (HRP) (<a href='/en-us/products/secondary-antibodies/goat-rabbit-igg-h-l-hrp-ab97051'>ab97051</a>) at 1/20000 dilution

Observed band size: 37 kDa,124 kDa

false

Exposure time: 6s

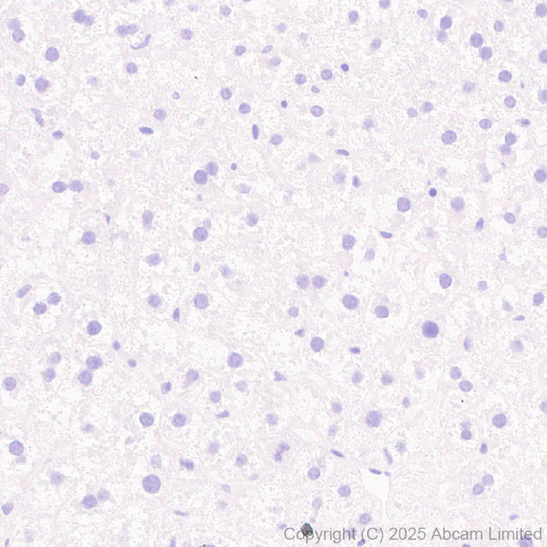
Immunohistochemistry (Formalin/PFA-fixed paraffin-embedded sections) - Anti-SLC7A5/LAT1 antibody [EPR29892-591] (AB324354)
  • IHC-P

Supplier Data

Immunohistochemistry (Formalin/PFA-fixed paraffin-embedded sections) - Anti-SLC7A5/LAT1 antibody [EPR29892-591] (AB324354)

Immunohistochemical analysis of paraffin-embedded Mouse liver tissue labeling SLC7A5/LAT1 with ab324354 at 1/2000 (0.256 ug/ml) dilution, followed by a ready to use LeicaDS9800 (Bond™ Polymer Refine Detection).

Negative control : no staining on mouse liver. The primary antibody was incubated for 30 mins at room temperature.
The immunostaining was performed on a Leica Biosystems BOND® RX instrument

Counterstained with Hematoxylin.

Secondary antibody only control : Secondary antibody is a ready to use LeicaDS9800 (Bond™ Polymer Refine Detection).

Heat mediated antigen retrieval was performed with Tris-EDTA buffer (pH 9.0, Epitope Retrieval Solution2) for 20 mins.

Key facts

Host species

Rabbit

Clonality

Monoclonal

Clone number

EPR29892-591

Isotype

IgG

Carrier free

No

Reacts with

Mouse

Applications

WB, Flow Cyt (Intra), ICC/IF, IHC-P

applications

Immunogen

The exact immunogen used to generate this antibody is proprietary information.

Reactivity data

{ "title": "Reactivity Data", "filters": { "stats": ["", "Species", "Dilution Info", "Notes"], "tabs": { "all-applications": {"fullname" : "All Applications", "shortname": "All Applications"}, "ICCIF" : {"fullname" : "Immunocytochemistry/ Immunofluorescence", "shortname":"ICC/IF"}, "IHCP" : {"fullname" : "Immunohistochemistry (Formalin/PFA-fixed paraffin-embedded sections)", "shortname":"IHC-P"}, "WB" : {"fullname" : "Western blot", "shortname":"WB"}, "FlowCytIntra" : {"fullname" : "Flow Cytometry (Intracellular)", "shortname":"Flow Cyt (Intra)"} }, "product-promise": { "all": "all", "testedAndGuaranteed": "tested", "guaranteed": "expected", "predicted": "predicted", "notRecommended": "not-recommended" } }, "values": { "Human": { "ICCIF-species-checked": "notRecommended", "ICCIF-species-dilution-info": "", "ICCIF-species-notes": "<p></p>", "IHCP-species-checked": "notRecommended", "IHCP-species-dilution-info": "", "IHCP-species-notes": "", "WB-species-checked": "notRecommended", "WB-species-dilution-info": "", "WB-species-notes": "", "FlowCytIntra-species-checked": "notRecommended", "FlowCytIntra-species-dilution-info": "", "FlowCytIntra-species-notes": "" }, "Mouse": { "ICCIF-species-checked": "testedAndGuaranteed", "ICCIF-species-dilution-info": "1/500", "ICCIF-species-notes": "<p></p>", "IHCP-species-checked": "testedAndGuaranteed", "IHCP-species-dilution-info": "1/2000", "IHCP-species-notes": "<p></p> Perform heat-mediated antigen retrieval with Tris/EDTA buffer pH 9.0 before commencing with IHC staining protocol.", "WB-species-checked": "testedAndGuaranteed", "WB-species-dilution-info": "1/1000", "WB-species-notes": "<p></p>", "FlowCytIntra-species-checked": "testedAndGuaranteed", "FlowCytIntra-species-dilution-info": "1/5000", "FlowCytIntra-species-notes": "<p></p>" } } }

Product details

Patented technology
Our RabMAb® technology is a patented hybridoma-based technology for making rabbit monoclonal antibodies. For details on our patents, please refer to RabMAb® patents.

What are the advantages of a recombinant monoclonal antibody?
This product is a recombinant monoclonal antibody, which offers several advantages including:

  • - High batch-to-batch consistency and reproducibility
  • - Improved sensitivity and specificity
  • - Long-term security of supply
  • - Animal-free batch production

For more information, read more on recombinant antibodies.

Properties and storage information

Form
Liquid
Purification technique
Affinity purification Protein A
Storage buffer
pH: 7.2 - 7.4 Preservative: 0.01% Sodium azide Constituents: PBS, 40% Glycerol (glycerin, glycerine), 0.05% BSA
Shipped at conditions
Blue Ice
Appropriate short-term storage duration
1-2 weeks
Appropriate short-term storage conditions
+4°C
Appropriate long-term storage conditions
-20°C
Aliquoting information
Upon delivery aliquot
Storage information
Avoid freeze / thaw cycle

Product protocols

For this product, it's our understanding that no specific protocols are required. You can visit:

Target data

The heterodimer with SLC3A2 functions as a sodium-independent, high-affinity transporter that mediates uptake of large neutral amino acids such as phenylalanine, tyrosine, histidine, met hionine, tryptophan, valine, isoleucine and alanine (By similarity). The heterodimer with SLC3A2 mediates the uptake of L-DOPA and leucine (PubMed : 11011012, PubMed : 9915839). Functions as an amino acid exchanger (By similarity). May play a role in the transport of L-DOPA across the blood-brain barrier (PubMed : 11011012). May act as the major transporter of tyrosine in fibroblasts (By similarity). May mediate blood-to-retina L-leucine transport across the inner blood-retinal barrier (By similarity). Can mediate the transport of thyroid hormones diiodothyronine (T2), triiodothyronine (T3) and thyroxine (T4) across the cell membrane. When associated with LAPTM4B, the heterodimer formed by SLC3A2 and SLC7A5 is recruited to lysosomes to promote leucine uptake into these organelles, and thereby mediates mTORC1 activation. Involved in the uptake of toxic methylmercury (MeHg) when administered as the L-cysteine or D,L-homocysteine complexes. Involved in the cellular activity of small molecular weight nitrosothiols, via the stereoselective transport of L-nitrosocysteine (L-CNSO) across the membrane (By similarity).
See full target information Slc7a5

Product promise

We are committed to supporting your work with high-quality reagents, and we're here for you every step of the way. In the unlikely event that one of our products does not perform as expected, you're protected by our Product Promise.
For full details, please see our Terms & Conditions

Please note: All products are 'FOR RESEARCH USE ONLY. NOT FOR USE IN DIAGNOSTIC OR THERAPEUTIC PROCEDURES'.

For licensing inquiries, please contact partnerships@abcam.com