JavaScript is disabled in your browser. Please enable JavaScript to view this website.
AB325953

Anti-SLC7A5/LAT1 antibody [EPR29892-591] - BSA and Azide free

  • BOND RX™ Validated
  • RabMAb
  • Recombinant
  • Advanced Validation
  • What is this?

Be the first to review this product! Submit a review

|

(0 Publication)

Rabbit Recombinant Monoclonal SLC7A5/LAT1 antibody. Carrier free. Suitable for ICC/IF, IHC-P, WB, Flow Cyt (Intra), mIHC and reacts with Mouse samples.

View Alternative Names

Lat1, Slc7a5, Large neutral amino acids transporter small subunit 1, 4F2 light chain, L-type amino acid transporter 1, Solute carrier family 7 member 5, 4F2 LC, 4F2LC, LAT1

13 Images
Multiplex immunohistochemistry - Anti-SLC7A5/LAT1 antibody [EPR29892-591] - BSA and Azide free (AB325953)
  • mIHC

Lab

Multiplex immunohistochemistry - Anti-SLC7A5/LAT1 antibody [EPR29892-591] - BSA and Azide free (AB325953)

This data was developed using ab324354, the same antibody clone in a different buffer formulation.

Multiplex immunohistochemistry analysis of formalin/PFA-fixed paraffin-embedded mouse hippocampus tissue staining SLC7A5/LAT1 with ab324354 at a 1/2000 dilution ab236870 anti-NeuN/RBFOX3 used at 1/10000 dilution and ab254264 anti-MAP2 used at a 1/4000 dilution.

Panel A : anti-SLC7A5/LAT1 (green; Opal™520) anti-NeuN/RBFOX3 (magenta; Opal™690) and anti-MAP2 (gray; Opal™570) on mouse cerebrum.

Panel B : anti-SLC7A5/LAT1 staining blood vessels in mouse cerebrum.

Panel C : anti-NeuN/RBFOX3 staining nucleus of neurons in mouse cerebrum.

Panel D : anti-MAP2 staining cell body and dendrites of neurons in mouse cerebrum.

Nuclear DNA was labeled with DAPI (shown in blue).

The section was incubated in three rounds of staining : in the order of ab324354 ab236870 and ab254264 for 30 mins at room temperature. Each round was followed by a separate fluorescent tyramide signal amplification system.

The immunostaining was performed on a Leica Biosystems BOND® RX instrument with an Opal™ 4-color kit. Image acquisition was performed with Leica SP8 confocal microscope.

Heat mediated antigen retrieval was performed with Tris-EDTA buffer (pH 9.0 Epitope Retrieval Solution2) for 20 mins.

Multiplex immunohistochemistry - Anti-SLC7A5/LAT1 antibody [EPR29892-591] - BSA and Azide free (AB325953)
  • mIHC

Lab

Multiplex immunohistochemistry - Anti-SLC7A5/LAT1 antibody [EPR29892-591] - BSA and Azide free (AB325953)

This data was developed using ab324354, the same antibody clone in a different buffer formulation.

Multiplex immunohistochemistry analysis of formalin/PFA-fixed paraffin-embedded mouse hippocampus tissue staining SLC7A5/LAT1 with ab324354 at a 1/2000 dilution ab236870 anti-NeuN/RBFOX3 used at 1/10000 dilution and ab254264 anti-MAP2 used at a 1/4000 dilution.

Panel A : anti-SLC7A5/LAT1 (green; Opal™520) anti-NeuN/RBFOX3 (magenta; Opal™690) and anti-MAP2 (gray; Opal™570) on mouse hippocampus.

Panel B : anti-SLC7A5/LAT1 staining blood vessels in mouse hippocampus.

Panel C : anti-NeuN/RBFOX3 staining nucleus of neurons in mouse hippocampus.

Panel D : anti-MAP2 staining cell body and dendrites of neurons in mouse hippocampus.

Nuclear DNA was labeled with DAPI (shown in blue).

The section was incubated in three rounds of staining : in the order of ab324354 ab236870 and ab254264 for 30 mins at room temperature. Each round was followed by a separate fluorescent tyramide signal amplification system.

The immunostaining was performed on a Leica Biosystems BOND® RX instrument with an Opal™ 4-color kit. Image acquisition was performed with Leica SP8 confocal microscope.

Heat mediated antigen retrieval was performed with Tris-EDTA buffer (pH 9.0 Epitope Retrieval Solution2) for 20 mins.

Multiplex immunohistochemistry - Anti-SLC7A5/LAT1 antibody [EPR29892-591] - BSA and Azide free (AB325953)
  • mIHC

Lab

Multiplex immunohistochemistry - Anti-SLC7A5/LAT1 antibody [EPR29892-591] - BSA and Azide free (AB325953)

This data was developed using ab324354, the same antibody clone in a different buffer formulation.

Multiplex immunohistochemistry analysis of formalin/PFA-fixed paraffin-embedded mouse pancreas tissue staining SLC7A5/LAT1 with ab324354 at a 1/2000 dilution ab278044 anti-Carboxypeptidase A used at 1/4000 dilution and ab181547 anti-Insulin used at a 1/20000 dilution.

Panel A : anti-SLC7A5/LAT1 (green; Opal™520) anti-Carboxypeptidase A (magenta; Opal™690) and anti-Insulin (gray; Opal™570) on mouse pancreas.

Panel B : anti-SLC7A5/LAT1 staining membrane in mouse pancreas.

Panel C : anti-Carboxypeptidase A staining acinar cells in mouse pancreas.

Panel D : anti-Insulin staining islet cells in mouse pancreas.

Nuclear DNA was labeled with DAPI (shown in blue).

The section was incubated in three rounds of staining : in the order of ab324354 ab278044 and ab181547 for 30 mins at room temperature. Each round was followed by a separate fluorescent tyramide signal amplification system.

The immunostaining was performed on a Leica Biosystems BOND® RX instrument with an Opal™ 4-color kit. Image acquisition was performed with Leica SP8 confocal microscope.

Heat mediated antigen retrieval was performed with Tris-EDTA buffer (pH 9.0 Epitope Retrieval Solution2) for 20 mins.

Flow Cytometry - Anti-SLC7A5/LAT1 antibody [EPR29892-591] - BSA and Azide free (AB325953)
  • Flow Cyt

Supplier Data

Flow Cytometry - Anti-SLC7A5/LAT1 antibody [EPR29892-591] - BSA and Azide free (AB325953)

This data was developed using ab324354, the same antibody clone in a different buffer formulation.

Flow cytometric analysis of 4% paraformaldehyde fixed 90% methanol permeabilized mIMCD3 (mouse inner medullary collecting duct epithelial cell Left) / F9 (mouse embryonal carcinoma epithelial cell Right) cells labelling SLC7A5/LAT1 with ab324354 at 1/5000 dilution (0.01ug) (Red) compared with a Rabbit monoclonal IgG (ab172730) (Black) isotype control and an unlabeled control (cells without incubation with primary antibody and secondary antibody) (Blue).

Goat Anti-Rabbit IgG (Alexa Fluor® 488 ab150081) at 1/5000 dilution was used as the secondary antibody.

Low expression : mIMCD3.

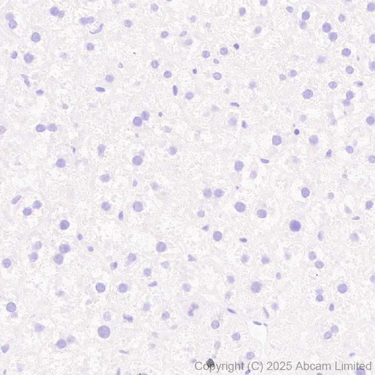
Immunohistochemistry (Formalin/PFA-fixed paraffin-embedded sections) - Anti-SLC7A5/LAT1 antibody [EPR29892-591] - BSA and Azide free (AB325953)
  • IHC-P

Supplier Data

Immunohistochemistry (Formalin/PFA-fixed paraffin-embedded sections) - Anti-SLC7A5/LAT1 antibody [EPR29892-591] - BSA and Azide free (AB325953)

This data was developed using ab324354, the same antibody clone in a different buffer formulation.

Immunohistochemical analysis of paraffin-embedded Mouse liver tissue labeling SLC7A5/LAT1 with ab324354 at 1/2000 (0.256 ug/ml) dilution followed by a ready to use LeicaDS9800 (Bond™ Polymer Refine Detection).

Negative control : no staining on mouse liver. The primary antibody was incubated for 30 mins at room temperature.
The immunostaining was performed on a Leica Biosystems BOND® RX instrument

Counterstained with Hematoxylin.

Secondary antibody only control : Secondary antibody is a ready to use LeicaDS9800 (Bond™ Polymer Refine Detection).

Heat mediated antigen retrieval was performed with Tris-EDTA buffer (pH 9.0 Epitope Retrieval Solution2) for 20 mins.

Immunohistochemistry (Formalin/PFA-fixed paraffin-embedded sections) - Anti-SLC7A5/LAT1 antibody [EPR29892-591] - BSA and Azide free (AB325953)
  • IHC-P

Supplier Data

Immunohistochemistry (Formalin/PFA-fixed paraffin-embedded sections) - Anti-SLC7A5/LAT1 antibody [EPR29892-591] - BSA and Azide free (AB325953)

This data was developed using ab324354, the same antibody clone in a different buffer formulation.

Immunohistochemical analysis of paraffin-embedded Mouse cerebrum tissue labeling SLC7A5/LAT1 with ab324354 at 1/2000 (0.256 ug/ml) dilution followed by a ready to use LeicaDS9800 (Bond™ Polymer Refine Detection).

Positive staining on blood vessels of mouse cerebrum (PMID : 11011012). The primary antibody was incubated for 30 mins at room temperature.
The immunostaining was performed on a Leica Biosystems BOND® RX instrument

Counterstained with Hematoxylin.

Secondary antibody only control : Secondary antibody is a ready to use LeicaDS9800 (Bond™ Polymer Refine Detection).

Heat mediated antigen retrieval was performed with Tris-EDTA buffer (pH 9.0 Epitope Retrieval Solution2) for 20 mins.

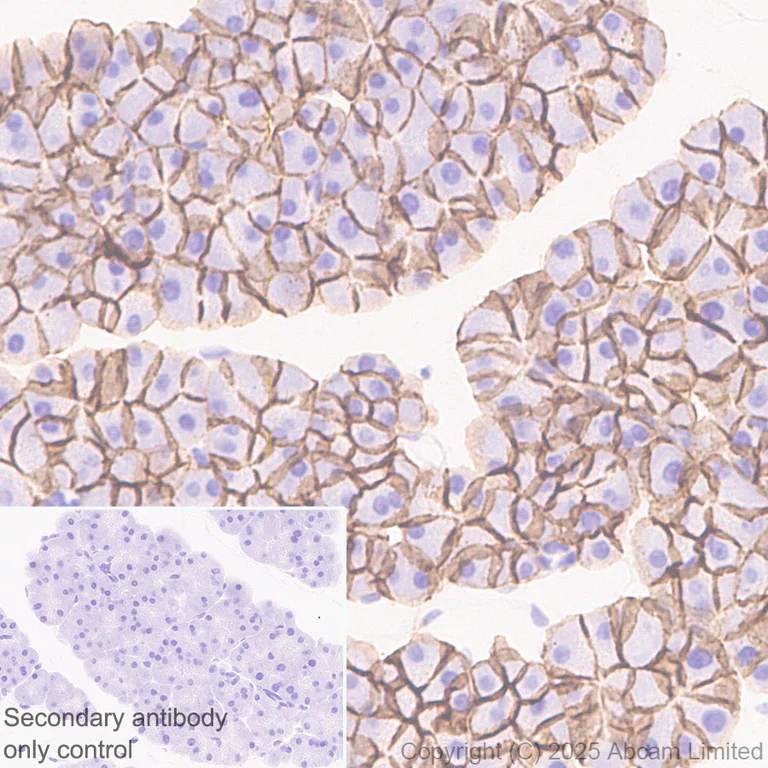
Immunohistochemistry (Formalin/PFA-fixed paraffin-embedded sections) - Anti-SLC7A5/LAT1 antibody [EPR29892-591] - BSA and Azide free (AB325953)
  • IHC-P

Supplier Data

Immunohistochemistry (Formalin/PFA-fixed paraffin-embedded sections) - Anti-SLC7A5/LAT1 antibody [EPR29892-591] - BSA and Azide free (AB325953)

This data was developed using ab324354, the same antibody clone in a different buffer formulation.

Immunohistochemical analysis of paraffin-embedded Mouse pancreas tissue labeling SLC7A5/LAT1 with ab324354 at 1/2000 (0.256 ug/ml) dilution followed by a ready to use LeicaDS9800 (Bond™ Polymer Refine Detection).

Positive staining on mouse pancreas. The primary antibody was incubated for 30 mins at room temperature.
The immunostaining was performed on a Leica Biosystems BOND® RX instrument

Counterstained with Hematoxylin.

Secondary antibody only control : Secondary antibody is a ready to use LeicaDS9800 (Bond™ Polymer Refine Detection).

Heat mediated antigen retrieval was performed with Tris-EDTA buffer (pH 9.0 Epitope Retrieval Solution2) for 20 mins.

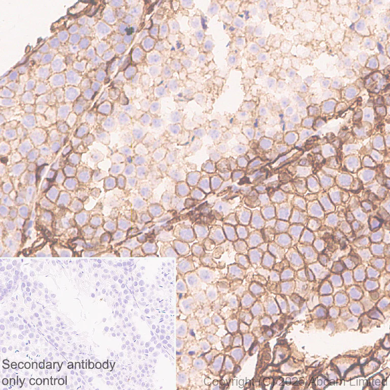
Immunohistochemistry (Formalin/PFA-fixed paraffin-embedded sections) - Anti-SLC7A5/LAT1 antibody [EPR29892-591] - BSA and Azide free (AB325953)
  • IHC-P

Supplier Data

Immunohistochemistry (Formalin/PFA-fixed paraffin-embedded sections) - Anti-SLC7A5/LAT1 antibody [EPR29892-591] - BSA and Azide free (AB325953)

This data was developed using ab324354, the same antibody clone in a different buffer formulation.

Immunohistochemical analysis of paraffin-embedded Mouse testis tissue labeling SLC7A5/LAT1 with ab324354 at 1/2000 (0.256 ug/ml) dilution followed by a ready to use LeicaDS9800 (Bond™ Polymer Refine Detection).

Positive staining on mouse testis. The primary antibody was incubated for 30 mins at room temperature.
The immunostaining was performed on a Leica Biosystems BOND® RX instrument

Counterstained with Hematoxylin.

Secondary antibody only control : Secondary antibody is a ready to use LeicaDS9800 (Bond™ Polymer Refine Detection).

Heat mediated antigen retrieval was performed with Tris-EDTA buffer (pH 9.0 Epitope Retrieval Solution2) for 20 mins.

Immunocytochemistry/ Immunofluorescence - Anti-SLC7A5/LAT1 antibody [EPR29892-591] - BSA and Azide free (AB325953)
  • ICC/IF

Supplier Data

Immunocytochemistry/ Immunofluorescence - Anti-SLC7A5/LAT1 antibody [EPR29892-591] - BSA and Azide free (AB325953)

This data was developed using ab324354, the same antibody clone in a different buffer formulation.

Immunofluorescent analysis of 4% Paraformaldehyde-fixed 0.1% TritonX-100 permeabilized F9 (mouse embryonal carcinoma epithelial cell) cells labelling SLC7A5/LAT1 with ab324354 at 1/500 (1.024 ug/ml) dilution followed by ab150081 Goat Anti-Rabbit IgG H&L (Alexa Fluor® 488) preadsorbed antibody at 1/1000 (2 ug/ml) dilution (Green).

Confocal image showing membranous staining in F9 cell line and weak staining in mIMCD3 cell line (shown in green). The counterstain was observed in magenta. Nuclear DNA was labelled with DAPI (shown in blue).
Low expression : mIMCD3.
Image was taken with a confocal microscope (Leica-Microsystems TCS SP8).

ab7291 Anti-alpha Tubulin mouse monoclonal antibody was used to counterstain tubulin at 1/1000 (1 ug/ml) dilution followed by ab150120 Goat Anti-Mouse IgG H&L (Alexa Fluor® 594) antibody at 1/1000 (2 ug/ml) dilution (Magenta).

-ve control 1 : ab324354 at 1/2000 dilution followed by ab150120 Goat Anti-Mouse IgG H&L (Alexa Fluor® 594) antibody at 1/1000 dilution.-ve control 2 : ab7291 at 1/1000 dilution followed by ab150081 Goat Anti-Rabbit IgG H&L (Alexa Fluor® 488) antibody at 1/1000 dilution.

Western blot - Anti-SLC7A5/LAT1 antibody [EPR29892-591] - BSA and Azide free (AB325953)
  • WB

Supplier Data

Western blot - Anti-SLC7A5/LAT1 antibody [EPR29892-591] - BSA and Azide free (AB325953)

This data was developed using ab324354, the same antibody clone in a different buffer formulation.

Blocking and diluting buffer and concentration : 5% NFDM/TBST.

Low expression : liver (PMID : 27912058).

The identity of the band higher than 50 kDa is unknown.

In Western blot Anti-Vinculin antibody [EPR8185] (ab129002) staining at 1/10000 dilution.

All lanes:

Western blot - Anti-SLC7A5/LAT1 antibody [EPR29892-591] (<a href='/en-us/products/primary-antibodies/slc7a5-lat1-antibody-epr29892-591-ab324354'>ab324354</a>) at 1/1000 dilution

Lane 1:

Mouse ovary tissue lysate at 72 µg

Lane 2:

Mouse liver tissue lysate at 72 µg

Secondary

All lanes:

Western blot - Goat Anti-Rabbit IgG H&L (HRP) (<a href='/en-us/products/secondary-antibodies/goat-rabbit-igg-h-l-hrp-ab97051'>ab97051</a>) at 1/20000 dilution

Observed band size: 37 kDa,124 kDa

false

Exposure time: 6s

Western blot - Anti-SLC7A5/LAT1 antibody [EPR29892-591] - BSA and Azide free (AB325953)
  • WB

Supplier Data

Western blot - Anti-SLC7A5/LAT1 antibody [EPR29892-591] - BSA and Azide free (AB325953)

This data was developed using ab324354, the same antibody clone in a different buffer formulation.

Blocking and diluting buffer and concentration : 5% NFDM/TBST.

Low expression : brown fat.

The identity of the band higher than 50 kDa is unknown.

In Western blot Anti-Vinculin antibody [EPR8185] (ab129002) staining at 1/10000 dilution.

All lanes:

Western blot - Anti-SLC7A5/LAT1 antibody [EPR29892-591] (<a href='/en-us/products/primary-antibodies/slc7a5-lat1-antibody-epr29892-591-ab324354'>ab324354</a>) at 1/1000 dilution

Lane 1:

Mouse testis tissue lysate at 50 µg

Lane 2:

Mouse brown fat lysate at 50 µg

Secondary

All lanes:

Goat Anti-Rabbit IgG (HRP) with minimal cross-reactivity with human IgG at 1/2000 dilution

Observed band size: 37 kDa,124 kDa

false

Exposure time: 180s

Western blot - Anti-SLC7A5/LAT1 antibody [EPR29892-591] - BSA and Azide free (AB325953)
  • WB

Supplier Data

Western blot - Anti-SLC7A5/LAT1 antibody [EPR29892-591] - BSA and Azide free (AB325953)

This data was developed using ab324354, the same antibody clone in a different buffer formulation.

Blocking and diluting buffer and concentration : 5% NFDM/TBST.

Low expression : RAW 264.7 mIMCD3.

The identity of the bands higher than 50 kDa are unknown.

In Western blot Anti-Vinculin antibody [EPR8185] (ab129002) staining at 1/10000 dilution.

All lanes:

Western blot - Anti-SLC7A5/LAT1 antibody [EPR29892-591] (<a href='/en-us/products/primary-antibodies/slc7a5-lat1-antibody-epr29892-591-ab324354'>ab324354</a>) at 1/1000 dilution

Lane 1:

F9 (mouse embryonal carcinoma epithelial cell) whole cell lysate at 72 µg

Lane 2:

P815 (mouse mastocytoma mast cell) whole cell lysate at 72 µg

Lane 3:

RAW 264.7 (mouse Abelson murine leukemia virus-induced tumor macrophage) whole cell lysate at 72 µg

Lane 4:

mIMCD3 (mouse inner medullary collecting duct epithelial cell) whole cell lysate at 72 µg

Secondary

All lanes:

Western blot - Goat Anti-Rabbit IgG H&L (HRP) (<a href='/en-us/products/secondary-antibodies/goat-rabbit-igg-h-l-hrp-ab97051'>ab97051</a>) at 1/20000 dilution

Observed band size: 37 kDa,124 kDa

false

Exposure time: 6s

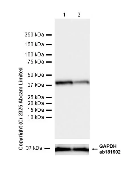
Western blot - Anti-SLC7A5/LAT1 antibody [EPR29892-591] - BSA and Azide free (AB325953)
  • WB

Supplier Data

Western blot - Anti-SLC7A5/LAT1 antibody [EPR29892-591] - BSA and Azide free (AB325953)

This data was developed using ab324354, the same antibody clone in a different buffer formulation.

Blocking and diluting buffer and concentration : 5% NFDM/TBST.

In Western blot Anti-GAPDH antibody [EPR16891] - Loading Control (ab181602) staining at 1/200000 dilution.

All lanes:

Western blot - Anti-SLC7A5/LAT1 antibody [EPR29892-591] (<a href='/en-us/products/primary-antibodies/slc7a5-lat1-antibody-epr29892-591-ab324354'>ab324354</a>) at 1/1000 dilution

Lane 1:

F9 (mouse embryonal carcinoma epithelial cell) transfected with scrambled siRNA control whole cell lysate at 40 µg

Lane 2:

F9 transfected with siRNA specifically targeting SLC7A5/LAT1 whole cell lysate at 40 µg

Secondary

All lanes:

Western blot - Goat Anti-Rabbit IgG H&L (HRP) (<a href='/en-us/products/secondary-antibodies/goat-rabbit-igg-h-l-hrp-ab97051'>ab97051</a>) at 1/20000 dilution

Observed band size: 37 kDa

false

Exposure time: 26s

Key facts

Host species

Rabbit

Clonality

Monoclonal

Clone number

EPR29892-591

Isotype

IgG

Carrier free

Yes

Reacts with

Mouse

Applications

WB, ICC/IF, IHC-P, mIHC, Flow Cyt (Intra)

applications

Immunogen

The exact immunogen used to generate this antibody is proprietary information.

Reactivity data

{ "title": "Reactivity Data", "filters": { "stats": ["", "Species", "Dilution Info", "Notes"], "tabs": { "all-applications": {"fullname" : "All Applications", "shortname": "All Applications"}, "ICCIF" : {"fullname" : "Immunocytochemistry/ Immunofluorescence", "shortname":"ICC/IF"}, "IHCP" : {"fullname" : "Immunohistochemistry (Formalin/PFA-fixed paraffin-embedded sections)", "shortname":"IHC-P"}, "WB" : {"fullname" : "Western blot", "shortname":"WB"}, "FlowCytIntra" : {"fullname" : "Flow Cytometry (Intracellular)", "shortname":"Flow Cyt (Intra)"}, "mIHC" : {"fullname" : "Multiplex immunohistochemistry", "shortname":"mIHC"} }, "product-promise": { "all": "all", "testedAndGuaranteed": "tested", "guaranteed": "expected", "predicted": "predicted", "notRecommended": "not-recommended" } }, "values": { "Human": { "ICCIF-species-checked": "notRecommended", "ICCIF-species-dilution-info": "", "ICCIF-species-notes": "<p></p>", "IHCP-species-checked": "notRecommended", "IHCP-species-dilution-info": "", "IHCP-species-notes": "", "WB-species-checked": "notRecommended", "WB-species-dilution-info": "", "WB-species-notes": "", "FlowCytIntra-species-checked": "notRecommended", "FlowCytIntra-species-dilution-info": "", "FlowCytIntra-species-notes": "", "mIHC-species-checked": "notRecommended", "mIHC-species-dilution-info": "", "mIHC-species-notes": "" }, "Mouse": { "ICCIF-species-checked": "testedAndGuaranteed", "ICCIF-species-dilution-info": "", "ICCIF-species-notes": "<p></p>", "IHCP-species-checked": "testedAndGuaranteed", "IHCP-species-dilution-info": "", "IHCP-species-notes": "<p></p> Perform heat-mediated antigen retrieval with Tris/EDTA buffer pH 9.0 before commencing with IHC staining protocol.", "WB-species-checked": "testedAndGuaranteed", "WB-species-dilution-info": "", "WB-species-notes": "<p></p>", "FlowCytIntra-species-checked": "testedAndGuaranteed", "FlowCytIntra-species-dilution-info": "", "FlowCytIntra-species-notes": "<p></p>", "mIHC-species-checked": "testedAndGuaranteed", "mIHC-species-dilution-info": "", "mIHC-species-notes": "<p></p> Perform heat-mediated antigen retrieval with Tris/EDTA buffer pH 9.0 before commencing with IHC staining protocol." } } }

Product details

ab325953 is the carrier-free version of ab324354

Patented technology
Our RabMAb® technology is a patented hybridoma-based technology for making rabbit monoclonal antibodies. For details on our patents, please refer to RabMAb® patents.

What are the advantages of a recombinant monoclonal antibody?
This product is a recombinant monoclonal antibody, which offers several advantages including:

  • - High batch-to-batch consistency and reproducibility
  • - Improved sensitivity and specificity
  • - Long-term security of supply
  • - Animal-free batch production

For more information, read more on recombinant antibodies.

Conjugation ready
Our carrier-free antibodies are typically supplied in a PBS-only formulation, purified and free of BSA, sodium azide and glycerol. This conjugation-ready format is designed for use with fluorochromes, metal isotopes, oligonucleotides, and enzymes, which makes them ideal for antibody labelling, functional and cell-based assays, flow-based assays (e.g. mass cytometry) and Multiplex Imaging applications.

Use our conjugation kits for antibody conjugates that are ready-to-use in as little as 20 minutes with 1 minute hands-on-time and 100% antibody recovery: available for fluorescent dyes, HRP, biotin and gold.

Compatibility
This product is compatible with the Maxpar® Antibody Labeling Kit from Fluidigm, without the need for antibody preparation. Maxpar® is a trademark of Fluidigm Canada Inc.

Properties and storage information

Form
Liquid
Purification technique
Affinity purification Protein A
Storage buffer
pH: 7.2 - 7.4 Constituents: PBS
Shipped at conditions
Blue Ice
Appropriate short-term storage conditions
+4°C
Appropriate long-term storage conditions
+4°C
Storage information
Do Not Freeze

Product protocols

For this product, it's our understanding that no specific protocols are required. You can visit:

Target data

The heterodimer with SLC3A2 functions as a sodium-independent, high-affinity transporter that mediates uptake of large neutral amino acids such as phenylalanine, tyrosine, histidine, met hionine, tryptophan, valine, isoleucine and alanine (By similarity). The heterodimer with SLC3A2 mediates the uptake of L-DOPA and leucine (PubMed : 11011012, PubMed : 9915839). Functions as an amino acid exchanger (By similarity). May play a role in the transport of L-DOPA across the blood-brain barrier (PubMed : 11011012). May act as the major transporter of tyrosine in fibroblasts (By similarity). May mediate blood-to-retina L-leucine transport across the inner blood-retinal barrier (By similarity). Can mediate the transport of thyroid hormones diiodothyronine (T2), triiodothyronine (T3) and thyroxine (T4) across the cell membrane. When associated with LAPTM4B, the heterodimer formed by SLC3A2 and SLC7A5 is recruited to lysosomes to promote leucine uptake into these organelles, and thereby mediates mTORC1 activation. Involved in the uptake of toxic methylmercury (MeHg) when administered as the L-cysteine or D,L-homocysteine complexes. Involved in the cellular activity of small molecular weight nitrosothiols, via the stereoselective transport of L-nitrosocysteine (L-CNSO) across the membrane (By similarity).
See full target information Slc7a5

Product promise

We are committed to supporting your work with high-quality reagents, and we're here for you every step of the way. In the unlikely event that one of our products does not perform as expected, you're protected by our Product Promise.
For full details, please see our Terms & Conditions

Please note: All products are 'FOR RESEARCH USE ONLY. NOT FOR USE IN DIAGNOSTIC OR THERAPEUTIC PROCEDURES'.

For licensing inquiries, please contact partnerships@abcam.com