JavaScript is disabled in your browser. Please enable JavaScript to view this website.
AB241467

Anti-SLCO2B1/OATP2B1 antibody [EPR22212] - BSA and Azide free

Be the first to review this product! Submit a review

|

(0 Publication)

Rabbit Recombinant Monoclonal SLCO2B1/OATP2B1 antibody. Carrier free. Suitable for Flow Cyt, IHC-P and reacts with Human samples.

View Alternative Names

KIAA0880, OATP2B1, OATPB, SLC21A9, SLCO2B1, Solute carrier organic anion transporter family member 2B1, Organic anion transporter B, Organic anion transporter polypeptide-related protein 2, Organic anion transporting polypeptide 2B1, Solute carrier family 21 member 9, OATP-B, OATP-RP2, OATPRP2

1 Images
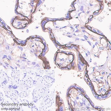
Immunohistochemistry (Formalin/PFA-fixed paraffin-embedded sections) - Anti-SLCO2B1/OATP2B1 antibody [EPR22212] - BSA and Azide free (AB241467)
  • IHC-P

Supplier Data

Immunohistochemistry (Formalin/PFA-fixed paraffin-embedded sections) - Anti-SLCO2B1/OATP2B1 antibody [EPR22212] - BSA and Azide free (AB241467)

Immunohistochemical analysis of paraffin-embedded human placenta tissue labeling SLCO2B1/OATP2B1 with ab222094 at 1/500 dilution, followed by a ready to use Goat Anti-Rabbit IgG H&L (HRP). Basolateral membranous staining on human placenta (PMID : 17020956; PMID : 20159975) is observed. Counter stained with Hematoxylin.

Secondary antibody only control : Used PBS instead of primary antibody, secondary antibody is a ready to use Goat Anti-Rabbit IgG H&L (HRP).

This data was developed using the same antibody clone in a different buffer formulation containing PBS, BSA, glycerol, and sodium azide (ab222094).

Perform heat mediated antigen retrieval with Tris/EDTA buffer pH 9.0 before commencing with IHC staining protocol.

Key facts

Host species

Rabbit

Clonality

Monoclonal

Clone number

EPR22212

Isotype

IgG

Carrier free

Yes

Reacts with

Human

Applications

Flow Cyt, IHC-P

applications

Immunogen

The exact immunogen used to generate this antibody is proprietary information.

Reactivity data

{ "title": "Reactivity Data", "filters": { "stats": ["", "Species", "Dilution Info", "Notes"], "tabs": { "all-applications": {"fullname" : "All Applications", "shortname": "All Applications"}, "FlowCyt" : {"fullname" : "Flow Cytometry", "shortname":"Flow Cyt"}, "IHCP" : {"fullname" : "Immunohistochemistry (Formalin/PFA-fixed paraffin-embedded sections)", "shortname":"IHC-P"} }, "product-promise": { "all": "all", "testedAndGuaranteed": "tested", "guaranteed": "expected", "predicted": "predicted", "notRecommended": "not-recommended" } }, "values": { "Human": { "FlowCyt-species-checked": "guaranteed", "FlowCyt-species-dilution-info": "", "FlowCyt-species-notes": "<p></p>", "IHCP-species-checked": "testedAndGuaranteed", "IHCP-species-dilution-info": "", "IHCP-species-notes": "<p></p>" } } }

Product details

ab241467 is the carrier-free version of ab222094.

Patented technology
Our RabMAb® technology is a patented hybridoma-based technology for making rabbit monoclonal antibodies. For details on our patents, please refer to RabMAb® patents.

What are the advantages of a recombinant monoclonal antibody?
This product is a recombinant monoclonal antibody, which offers several advantages including:

  • - High batch-to-batch consistency and reproducibility
  • - Improved sensitivity and specificity
  • - Long-term security of supply
  • - Animal-free batch production

For more information, read more on recombinant antibodies.

Conjugation ready
Our carrier-free antibodies are typically supplied in a PBS-only formulation, purified and free of BSA, sodium azide and glycerol. This conjugation-ready format is designed for use with fluorochromes, metal isotopes, oligonucleotides, and enzymes, which makes them ideal for antibody labelling, functional and cell-based assays, flow-based assays (e.g. mass cytometry) and Multiplex Imaging applications.

Use our conjugation kits for antibody conjugates that are ready-to-use in as little as 20 minutes with 1 minute hands-on-time and 100% antibody recovery: available for fluorescent dyes, HRP, biotin and gold.

Compatibility
This product is compatible with the Maxpar® Antibody Labeling Kit from Fluidigm, without the need for antibody preparation. Maxpar® is a trademark of Fluidigm Canada Inc.

Properties and storage information

Form
Liquid
Purification technique
Affinity purification Protein A
Storage buffer
pH: 7.2 - 7.4 Constituents: PBS
Shipped at conditions
Blue Ice
Appropriate short-term storage conditions
+4°C
Appropriate long-term storage conditions
+4°C
Storage information
Do Not Freeze

Supplementary information

This supplementary information is collated from multiple sources and compiled automatically.

The SLCO2B1 also known as OATP2B1 is a member of the organic anion transporting polypeptides family. It functions as a transporter responsible for mediating the uptake of various drugs hormones and other organic compounds. This protein has a molecular mass of about 80 kDa. SLCO2B1 is primarily expressed in the human intestine and liver with significant presence in the brain lung and placenta. It plays a role in the absorption and clearance of pharmacologically relevant compounds.
Biological function summary

SLCO2B1 regulates the transport of endogenous and exogenous substrates across cell membranes. It does not form part of a larger protein complex but interacts with many substrates such as steroid hormones and therapeutic agents. SLCO2B1 influences how drugs are distributed and eliminated affecting the pharmacokinetics and bioavailability in tissues where it is expressed.

Pathways

SLCO2B1 integrates into processes related to drug metabolism and transport. It is important in the absorption and elimination phases within the pharmacokinetic pathway and has a role in the metabolism of steroid hormones. In this context SLCO2B1 cooperates with other transporters and metabolizing enzymes including cytochrome P450s to control the intracellular concentration of various substances.

SLCO2B1 plays a role in influencing drug efficacy and toxicity impacting personalized medicine approaches for individuals with specific genetic transporter variants. SLCO2B1 has implications in cardiovascular diseases related to the pharmacological metabolism of drugs affecting heart rhythm. Additionally its function in hormone regulation connects it with metabolic disorders. In these diseases SLCO2B1 interacts with proteins like MDR1 which also impact drug transport and resistance.

Product protocols

For this product, it's our understanding that no specific protocols are required. You can visit:

Target data

Mediates the Na(+)-independent transport of steroid sulfate conjugates and other specific organic anions (PubMed : 10873595, PubMed : 11159893, PubMed : 11932330, PubMed : 12724351, PubMed : 14610227, PubMed : 16908597, PubMed : 18501590, PubMed : 20507927, PubMed : 22201122, PubMed : 23531488, PubMed : 25132355, PubMed : 26383540, PubMed : 27576593, PubMed : 28408210, PubMed : 29871943, PubMed : 34628357). Responsible for the transport of estrone 3-sulfate (E1S) through the basal membrane of syncytiotrophoblast, highlighting a potential role in the placental absorption of fetal-derived sulfated steroids including the steroid hormone precursor dehydroepiandrosterone sulfate (DHEA-S) (PubMed : 11932330, PubMed : 12409283). Also facilitates the uptake of sulfated steroids at the basal/sinusoidal membrane of hepatocytes, therefore accounting for the major part of organic anions clearance of liver (PubMed : 11159893). Mediates the intestinal uptake of sulfated steroids (PubMed : 12724351, PubMed : 28408210). Mediates the uptake of the neurosteroids DHEA-S and pregnenolone sulfate (PregS) into the endothelial cells of the blood-brain barrier as the first step to enter the brain (PubMed : 16908597, PubMed : 25132355). Also plays a role in the reuptake of neuropeptides such as substance P/TAC1 and vasoactive intestinal peptide/VIP released from retinal neurons (PubMed : 25132355). May act as a heme transporter that promotes cellular iron availability via heme oxygenase/HMOX2 and independently of TFRC (PubMed : 35714613). Also transports heme by-product coproporphyrin III (CPIII), and may be involved in their hepatic disposition (PubMed : 26383540). Mediates the uptake of other substrates such as prostaglandins D2 (PGD2), E1 (PGE1) and E2 (PGE2), taurocholate, L-thyroxine, leukotriene C4 and thromboxane B2 (PubMed : 10873595, PubMed : 14610227, PubMed : 19129463, PubMed : 29871943, Ref.25). May contribute to regulate the transport of organic compounds in testis across the blood-testis-barrier (Probable). Shows a pH-sensitive substrate specificity which may be ascribed to the protonation state of the binding site and leads to a stimulation of substrate transport in an acidic microenvironment (PubMed : 14610227, PubMed : 19129463, PubMed : 22201122). The exact transport mechanism has not been yet deciphered but most likely involves an anion exchange, coupling the cellular uptake of organic substrate with the efflux of an anionic compound (PubMed : 19129463, PubMed : 20507927, PubMed : 26277985). Hydrogencarbonate/HCO3(-) acts as a probable counteranion that exchanges for organic anions (PubMed : 19129463). Cytoplasmic glutamate may also act as counteranion in the placenta (PubMed : 26277985). An inwardly directed proton gradient has also been proposed as the driving force of E1S uptake with a (H(+) : E1S) stoichiometry of (1 : 1) (PubMed : 20507927).. Isoform 3. Has estrone 3-sulfate (E1S) transport activity comparable with the full-length isoform 1.
See full target information SLCO2B1

Product promise

We are committed to supporting your work with high-quality reagents, and we're here for you every step of the way. In the unlikely event that one of our products does not perform as expected, you're protected by our Product Promise.
For full details, please see our Terms & Conditions

Please note: All products are 'FOR RESEARCH USE ONLY. NOT FOR USE IN DIAGNOSTIC OR THERAPEUTIC PROCEDURES'.

For licensing inquiries, please contact partnerships@abcam.com