JavaScript is disabled in your browser. Please enable JavaScript to view this website.
AB121731

Anti-SLFN11 antibody

Be the first to review this product! Submit a review

|

(9 Publications)

Rabbit Polyclonal SLFN11 antibody. Suitable for IHC-P, WB, ICC/IF and reacts with Human samples. Cited in 9 publications. Immunogen corresponding to Recombinant Fragment Protein within Human SLFN11 aa 250-350.

View Alternative Names

Schlafen family member 11, SLFN11

3 Images
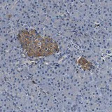
Immunohistochemistry (Formalin/PFA-fixed paraffin-embedded sections) - Anti-SLFN11 antibody (AB121731)
  • IHC-P

Unknown

Immunohistochemistry (Formalin/PFA-fixed paraffin-embedded sections) - Anti-SLFN11 antibody (AB121731)

ab121731 at 1/15 dilution staining SLFN11 in Paraffin-embedded Human Pancreas tissue by Immunohistochemistry. Note : moderate cytoplasmic positivity in islet cells.

Immunocytochemistry/ Immunofluorescence - Anti-SLFN11 antibody (AB121731)
  • ICC/IF

Unknown

Immunocytochemistry/ Immunofluorescence - Anti-SLFN11 antibody (AB121731)

Immunofluorescent staining of Human cell line A-431 shows positivity in nucleus but not nucleoli and cytoplasm. Recommended concentration of ab121731 1-4 µg/ml. Cells treated with PFA/Triton X-100.

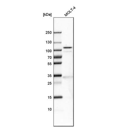
Western blot - Anti-SLFN11 antibody (AB121731)
  • WB

Supplier Data

Western blot - Anti-SLFN11 antibody (AB121731)

Western blot analysis in human cell line MOLT-4 staining SLFN11 with ab121731

All lanes:

Western blot - Anti-SLFN11 antibody (ab121731)

All lanes:

MOLT-4

Secondary

All lanes:

SLFN11

Predicted band size: 103 kDa

Observed band size: 103 kDa

false

Key facts

Host species

Rabbit

Clonality

Polyclonal

Isotype

IgG

Carrier free

No

Reacts with

Human

Applications

ICC/IF, WB, IHC-P

applications

Immunogen

Recombinant Fragment Protein within Human SLFN11 aa 250-350. The exact immunogen used to generate this antibody is proprietary information.

Q7Z7L1

Reactivity data

{ "title": "Reactivity Data", "filters": { "stats": ["", "Species", "Dilution Info", "Notes"], "tabs": { "all-applications": {"fullname" : "All Applications", "shortname": "All Applications"}, "IHCP" : {"fullname" : "Immunohistochemistry (Formalin/PFA-fixed paraffin-embedded sections)", "shortname":"IHC-P"}, "WB" : {"fullname" : "Western blot", "shortname":"WB"}, "ICCIF" : {"fullname" : "Immunocytochemistry/ Immunofluorescence", "shortname":"ICC/IF"} }, "product-promise": { "all": "all", "testedAndGuaranteed": "tested", "guaranteed": "expected", "predicted": "predicted", "notRecommended": "not-recommended" } }, "values": { "Human": { "IHCP-species-checked": "testedAndGuaranteed", "IHCP-species-dilution-info": "1/20 - 1/50", "IHCP-species-notes": "<p></p> Perform heat-mediated antigen retrieval with citrate buffer pH 6 before commencing with IHC staining protocol.", "WB-species-checked": "testedAndGuaranteed", "WB-species-dilution-info": "0.04-0.4 µg/mL", "WB-species-notes": "<p></p>", "ICCIF-species-checked": "testedAndGuaranteed", "ICCIF-species-dilution-info": "0.25-2 µg/mL", "ICCIF-species-notes": "<p></p>" } } }

Properties and storage information

Form
Liquid
Purification technique
Affinity purification Immunogen
Storage buffer
pH: 7.2 Preservative: 0.02% Sodium azide Constituents: PBS, 40% Glycerol (glycerin, glycerine)
Shipped at conditions
Blue Ice
Appropriate short-term storage conditions
+4°C
Appropriate long-term storage conditions
-20°C
Aliquoting information
Upon delivery aliquot
Storage information
Avoid freeze / thaw cycle

Supplementary information

This supplementary information is collated from multiple sources and compiled automatically.

SLFN11 also known as Schlafen family member 11 is an important protein involved in the regulation of cellular response to DNA damage. With a molecular mass of approximately 104 kDa SLFN11 is extensively expressed in tumor cells and certain normal tissues particularly in the spleen thymus and testis. This protein contributes to the modulation of interferon-mediated immune responses and impacts translational control by tRNA activation playing a role in ribosomal assembly and function.
Biological function summary

SLFN11 functions to enhance the sensitivity of cells to DNA-damaging agents including chemotherapeutic drugs. It is important for impairing replication fork stability by inhibiting the expression of trans-translation machinery. SLFN11 serves as an important determinant within the DNA damage response (DDR) network and is known to interact with other DDR proteins emphasizing its impact on genome integrity and cellular survival under stress conditions.

Pathways

SLFN11 plays a notable role within the pathways associated with the DNA damage response and cell cycle regulation. The protein interacts notably with the ATR signaling pathway which is essential for sensing DNA damage. Additionally SLFN11 forms part of a complex interaction with other DNA repair proteins such as BRCA1 influencing the homologous recombination repair pathway contributing to the cellular determination of treatment response.

SLFN11 has significant implications in cancer particularly in the context of treatment response to chemotherapy. Cancers with high SLFN11 expression often exhibit increased sensitivity to cisplatin and other DNA-damaging agents pointing to its potential role as a biomarker for therapeutic efficacy. Moreover the protein is implicated in neurodegenerative disorders like amyotrophic lateral sclerosis (ALS) where its regulation could contribute to the pathophysiology. Its relationship with proteins such as p53 further highlights SLFN11's involvement in cancer and neuroprotection pathways.

Product protocols

For this product, it's our understanding that no specific protocols are required. You can visit:

Target data

Inhibitor of DNA replication that promotes cell death in response to DNA damage (PubMed : 22927417, PubMed : 26658330, PubMed : 29395061). Acts as a guardian of the genome by killing cells with defective replication (PubMed : 29395061). Persistently blocks stressed replication forks by opening chromatin across replication initiation sites at stressed replication forks, possibly leading to unwind DNA ahead of the MCM helicase and block fork progression, ultimately leading to cell death (PubMed : 29395061). Upon DNA damage, inhibits translation of ATR or ATM based on distinct codon usage without disrupting early DNA damage response signaling (PubMed : 30374083). Antiviral restriction factor with manganese-dependent type II tRNA endoribonuclease (PubMed : 36115853). A single tRNA molecule is bound and cleaved by the SLFN11 dimer (PubMed : 36115853). Specifically abrogates the production of retroviruses such as human immunodeficiency virus 1 (HIV-1) by acting as a specific inhibitor of the synthesis of retroviruses encoded proteins in a codon-usage-dependent manner (PubMed : 23000900). Impairs the replication of human cytomegalovirus (HCMV) and some Flaviviruses (PubMed : 35105802, PubMed : 36115853). Exploits the unique viral codon bias towards A/T nucleotides (PubMed : 23000900). Also acts as an interferon (IFN)-induced antiviral protein which acts as an inhibitor of retrovirus protein synthesis (PubMed : 23000900).
See full target information SLFN11

Publications (9)

Recent publications for all applications. Explore the full list and refine your search

International journal of molecular sciences 26: PubMed40806549

2025

Assessing Determinants of Response to PARP Inhibition in Germline Mutant Melanoma.

Applications

Unspecified application

Species

Unspecified reactive species

Eleonora Allavena,Michela Croce,Bruna Dalmasso,Cecilia Profumo,Valentina Rigo,Virginia Andreotti,Irene Vanni,Benedetta Pellegrino,Antonino Musolino,Nicoletta Campanini,William Bruno,Luca Mastracci,Gabriele Zoppoli,Enrica Teresa Tanda,Francesco Spagnolo,Paola Ghiorzo,Lorenza Pastorino

British journal of cancer 133:381-393 PubMed40442403

2025

Sequential ATR and PARP inhibition overcomes acquired DNA damaging agent resistance in pancreatic ductal adenocarcinoma.

Applications

Unspecified application

Species

Unspecified reactive species

Katharine J Herbert,Rosie Upstill-Goddard,Stephan B Dreyer,Selma Rebus,Christian Pilarsky,Mukhopadhyay Debabrata,Christopher J Lord,Andrew V Biankin,Fieke E M Froeling,David K Chang

Virus research 334:199162 PubMed37356582

2023

Human Schlafen 11 inhibits influenza A virus production.

Applications

Unspecified application

Species

Unspecified reactive species

Kunlakanya Jitobaom,Thanyaporn Sirihongthong,Chompunuch Boonarkart,Supinya Phakaratsakul,Ornpreya Suptawiwat,Prasert Auewarakul

Cancers 14: PubMed35625957

2022

Can Schlafen 11 Help to Stratify Ovarian Cancer Patients Treated with DNA-Damaging Agents?

Applications

Unspecified application

Species

Unspecified reactive species

Marketa Bednarikova,Jitka Hausnerova,Lucie Ehrlichova,Kvetoslava Matulova,Eliska Gazarkova,Lubos Minar,Vit Weinberger

British journal of cancer 125:1666-1676 PubMed34663950

2021

Retrospective analysis of Schlafen11 (SLFN11) to predict the outcomes to therapies affecting the DNA damage response.

Applications

Unspecified application

Species

Unspecified reactive species

Sophie E Willis,Claudia Winkler,Martine P Roudier,Tarrion Baird,Paola Marco-Casanova,Emma V Jones,Philip Rowe,Jaime Rodriguez-Canales,Helen K Angell,Felicia S L Ng,Paul M Waring,Darren Hodgson,Jonathan A Ledermann,Johanne I Weberpals,Emma Dean,Elizabeth A Harrington,J Carl Barrett,Andrew J Pierce,Elisabetta Leo,Gemma N Jones

JCI insight 6: PubMed34549724

2021

SLFN11 captures cancer-immunity interactions associated with platinum sensitivity in high-grade serous ovarian cancer.

Applications

Unspecified application

Species

Unspecified reactive species

Claudia Winkler,Matthew King,Julie Berthe,Domenico Ferraioli,Anna Garuti,Federica Grillo,Jaime Rodriguez-Canales,Lorenzo Ferrando,Nicolas Chopin,Isabelle Ray-Coquard,Oona Delpuech,Darawan Rinchai,Davide Bedognetti,Alberto Ballestrero,Elisabetta Leo,Gabriele Zoppoli

Clinical cancer research : an official journal of the American Association for Cancer Research 27:5213-5224 PubMed34301752

2021

Ceralasertib (AZD6738), an Oral ATR Kinase Inhibitor, in Combination with Carboplatin in Patients with Advanced Solid Tumors: A Phase I Study.

Applications

Unspecified application

Species

Unspecified reactive species

Timothy A Yap,Matthew G Krebs,Sophie Postel-Vinay,Anthony El-Khouiery,Jean-Charles Soria,Juanita Lopez,Alienor Berges,S Y Amy Cheung,Itziar Irurzun-Arana,Andrew Goldwin,Brunella Felicetti,Gemma N Jones,Alan Lau,Paul Frewer,Andrew J Pierce,Glen Clack,Christine Stephens,Simon A Smith,Emma Dean,Simon J Hollingsworth

Cancer research 81:5089-5101 PubMed34215619

2021

and Mutations Exert Divergent Effects on DNA Repair and Sensitivity of Leukemia Cells to PARP Inhibitors.

Applications

Unspecified application

Species

Unspecified reactive species

Silvia Maifrede,Bac Viet Le,Margaret Nieborowska-Skorska,Konstantin Golovine,Katherine Sullivan-Reed,Wangisa M B Dunuwille,Joseph Nacson,Michael Hulse,Kelsey Keith,Jozef Madzo,Lisa Beatrice Caruso,Zachary Gazze,Zhaorui Lian,Antonella Padella,Kumaraswamy N Chitrala,Boris A Bartholdy,Ksenia Matlawska-Wasowska,Daniela Di Marcantonio,Giorgia Simonetti,Georg Greiner,Stephen M Sykes,Peter Valent,Elisabeth M Paietta,Martin S Tallman,Hugo F Fernandez,Mark R Litzow,Mark D Minden,Jian Huang,Giovanni Martinelli,George S Vassiliou,Italo Tempera,Katarzyna Piwocka,Neil Johnson,Grant A Challen,Tomasz Skorski

Life science alliance 1:e201800070 PubMed30456350

2018

Proteomics and neuropathology identify ribosomes as poly-GR/PR interactors driving toxicity.

Applications

Unspecified application

Species

Unspecified reactive species

Hannelore Hartmann,Daniel Hornburg,Mareike Czuppa,Jakob Bader,Meike Michaelsen,Daniel Farny,Thomas Arzberger,Matthias Mann,Felix Meissner,Dieter Edbauer
View all publications

Product promise

We are committed to supporting your work with high-quality reagents, and we're here for you every step of the way. In the unlikely event that one of our products does not perform as expected, you're protected by our Product Promise.
For full details, please see our Terms & Conditions

Please note: All products are 'FOR RESEARCH USE ONLY. NOT FOR USE IN DIAGNOSTIC OR THERAPEUTIC PROCEDURES'.

For licensing inquiries, please contact partnerships@abcam.com