JavaScript is disabled in your browser. Please enable JavaScript to view this website.
AB121737

Anti-SLFN13 antibody

Be the first to review this product! Submit a review

|

(1 Publication)

Rabbit Polyclonal SLFN13 antibody. Suitable for IHC-P, ICC/IF and reacts with Human samples. Cited in 1 publication. Immunogen corresponding to Recombinant Fragment Protein within Human SLFN13 aa 100-250.

View Alternative Names

Schlafen family member 13, Schlafen-13, hSLFN13, SLFN13

2 Images
Immunocytochemistry/ Immunofluorescence - Anti-SLFN13 antibody (AB121737)
  • ICC/IF

Unknown

Immunocytochemistry/ Immunofluorescence - Anti-SLFN13 antibody (AB121737)

Immunofluorescent staining of Human cell line U-2 OS shows positivity in cytoplasm. Recommended concentration of ab121737 1-4 µg/ml. Cells treated with PFA/Triton X-100.

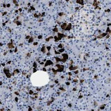
Immunohistochemistry (Formalin/PFA-fixed paraffin-embedded sections) - Anti-SLFN13 antibody (AB121737)
  • IHC-P

Unknown

Immunohistochemistry (Formalin/PFA-fixed paraffin-embedded sections) - Anti-SLFN13 antibody (AB121737)

ab121737 at 1/40 dilution staining SLFN13 in Paraffin-embedded Human Pancreas tissue by Immunohistochemistry. Note : strong cytoplasmic positivity in a subset of exocrine glandular cells.

Key facts

Host species

Rabbit

Clonality

Polyclonal

Isotype

IgG

Carrier free

No

Reacts with

Human

Applications

IHC-P, ICC/IF

applications

Immunogen

Recombinant Fragment Protein within Human SLFN13 aa 100-250. The exact immunogen used to generate this antibody is proprietary information.

Q68D06

Reactivity data

{ "title": "Reactivity Data", "filters": { "stats": ["", "Species", "Dilution Info", "Notes"], "tabs": { "all-applications": {"fullname" : "All Applications", "shortname": "All Applications"}, "IHCP" : {"fullname" : "Immunohistochemistry (Formalin/PFA-fixed paraffin-embedded sections)", "shortname":"IHC-P"}, "ICCIF" : {"fullname" : "Immunocytochemistry/ Immunofluorescence", "shortname":"ICC/IF"} }, "product-promise": { "all": "all", "testedAndGuaranteed": "tested", "guaranteed": "expected", "predicted": "predicted", "notRecommended": "not-recommended" } }, "values": { "Human": { "IHCP-species-checked": "testedAndGuaranteed", "IHCP-species-dilution-info": "1/20 - 1/50", "IHCP-species-notes": "<p></p> Perform heat-mediated antigen retrieval with citrate buffer pH 6 before commencing with IHC staining protocol.", "ICCIF-species-checked": "testedAndGuaranteed", "ICCIF-species-dilution-info": "1-4 µg/mL", "ICCIF-species-notes": "<p>Recommend PFA Fixation and Triton X-100 treatment</p>" } } }

Properties and storage information

Form
Liquid
Purification technique
Affinity purification Immunogen
Storage buffer
pH: 7.2 Preservative: 0.02% Sodium azide Constituents: PBS, 40% Glycerol (glycerin, glycerine)
Shipped at conditions
Blue Ice
Appropriate short-term storage conditions
+4°C
Appropriate long-term storage conditions
-20°C
Aliquoting information
Upon delivery aliquot
Storage information
Avoid freeze / thaw cycle

Supplementary information

This supplementary information is collated from multiple sources and compiled automatically.

SLFN13 also known as Schlafen family member 13 is a protein involved in various cellular processes. It has a molecular mass of about 86 kDa. This protein is mainly expressed in immune-related tissues including the spleen and lymph nodes. Mechanistically SLFN13 contains a unique SLFN domain and an ATP binding site suggesting a role in nucleic acid metabolism and possibly in regulating other processes within the cell.
Biological function summary

SLFN13 influences immune cell function and development. It is not part of a larger protein complex but it does interact with other cellular machinery involved in immune responses. Studies show SLFN13 modulates T-cell proliferation and influences inflammatory signaling pathways. This highlights its significance in coordinating immune responses during infections and immune challenges.

Pathways

SLFN13 takes part in the immune response signaling and inflammatory pathways. It interacts specifically in pathways like the interferon response and Th1 differentiation. Through these pathways SLFN13 connects with proteins such as STAT1 and IRF9 which play roles in activating the immune response when an organism faces pathogens.

SLFN13 holds relevance in autoimmune disorders and infectious diseases. Its altered expression levels can link to conditions such as systemic lupus erythematosus and viral infections where immune function is compromised or hyperactive. In these contexts SLFN13 influences or gets influenced by proteins like IFN-α and TNF-α which are critical in immune system regulation and chronic inflammation settings.

Product protocols

For this product, it's our understanding that no specific protocols are required. You can visit:

Target data

Endoribonuclease that cleaves tRNAs and rRNAs (PubMed : 29563550). Cleaves tRNAs 11 nucleotides from the 3'-terminus at the acceptor stem (PubMed : 29563550). Does not act on tRNA(Sec) (PubMed : 29563550). Able to restrict HIV-1 virus replication; ability to inhibit HIV-1 replication is dependent on endoribonuclease activity (PubMed : 29563550).
See full target information SLFN13

Publications (1)

Recent publications for all applications. Explore the full list and refine your search

Scientific reports 7:15585 PubMed29138412

2017

Novel KIAA0753 mutations extend the phenotype of skeletal ciliopathies.

Applications

Unspecified application

Species

Unspecified reactive species

A Hammarsjö,Z Wang,R Vaz,F Taylan,M Sedghi,K M Girisha,D Chitayat,K Neethukrishna,P Shannon,R Godoy,K Gowrishankar,A Lindstrand,J Nasiri,M Baktashian,P T Newton,L Guo,W Hofmeister,M Pettersson,A S Chagin,G Nishimura,L Yan,N Matsumoto,A Nordgren,N Miyake,G Grigelioniene,S Ikegawa
View all publications

Product promise

We are committed to supporting your work with high-quality reagents, and we're here for you every step of the way. In the unlikely event that one of our products does not perform as expected, you're protected by our Product Promise.
For full details, please see our Terms & Conditions

Please note: All products are 'FOR RESEARCH USE ONLY. NOT FOR USE IN DIAGNOSTIC OR THERAPEUTIC PROCEDURES'.

For licensing inquiries, please contact partnerships@abcam.com