JavaScript is disabled in your browser. Please enable JavaScript to view this website.
AB249042

Anti-Slit1 antibody [EP5797(2)] - BSA and Azide free

Be the first to review this product! Submit a review

|

(1 Publication)

Rabbit Recombinant Monoclonal SLIT1 antibody. Carrier free. Suitable for WB and reacts with Human, Transfected cell lysate - Human samples. Cited in 1 publication.

View Alternative Names

KIAA0813, MEGF4, SLIL1, SLIT1, Slit homolog 1 protein, Slit-1, Multiple epidermal growth factor-like domains protein 4, Multiple EGF-like domains protein 4

2 Images
Western blot - Anti-Slit1 antibody [EP5797(2)] - BSA and Azide free (AB249042)
  • WB

Unknown

Western blot - Anti-Slit1 antibody [EP5797(2)] - BSA and Azide free (AB249042)

This data was developed using ab151724, the same antibody clone in a different buffer formulation.

All lanes:

Western blot - Anti-Slit1 antibody [EP5797(2)] (<a href='/en-us/products/primary-antibodies/slit1-antibody-ep57972-ab151724'>ab151724</a>) at 1/1000 dilution

All lanes:

Human fetal brain lysate at 10 µg

Secondary

All lanes:

Goat anti-rabbit HRP at 1/2000 dilution

Predicted band size: 168 kDa

false

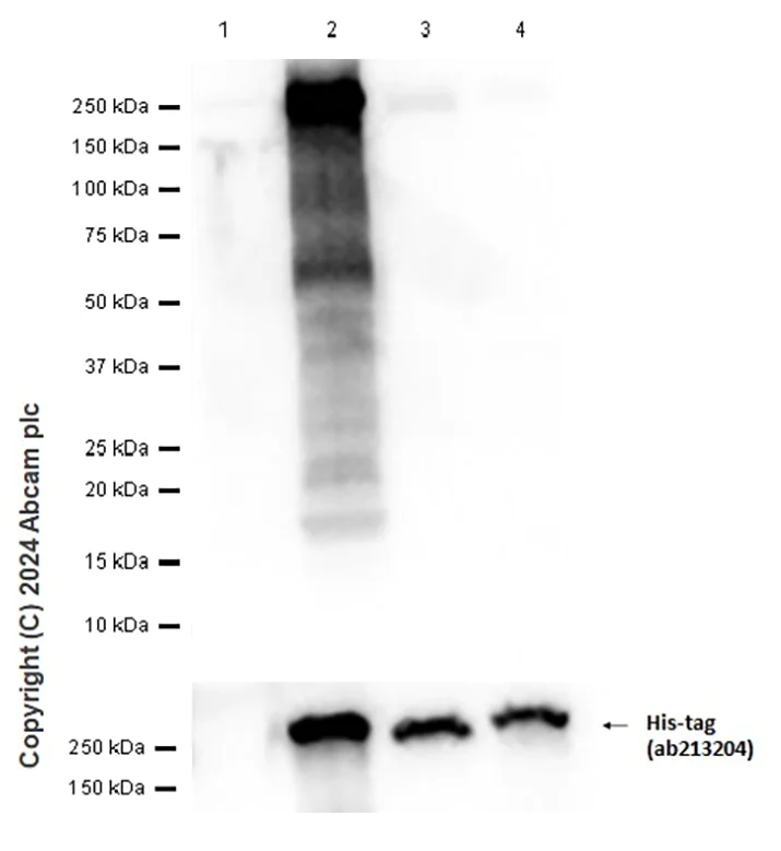
Western blot - Anti-Slit1 antibody [EP5797(2)] - BSA and Azide free (AB249042)
  • WB

Lab

Western blot - Anti-Slit1 antibody [EP5797(2)] - BSA and Azide free (AB249042)

This data was developed using ab151724, the same antibody clone in a different buffer formulation.

Blocking and diluting buffer and concentration : 5% NFDM/TBST

All lanes:

Western blot - Anti-Slit1 antibody [EP5797(2)] (<a href='/en-us/products/primary-antibodies/slit1-antibody-ep57972-ab151724'>ab151724</a>) at 1/1000 dilution

Lane 1:

293T cells transfected with an empty vector containing a His tag whole cell lysate at 20 µg

Lane 2:

293T cells transfected with a human Slit1 expression vector containing a His-tag whole cell lysate at 20 µg

Lane 3:

293T cells transfected with a human Slit2 expression vector containing a His-tag whole cell lysate at 20 µg

Lane 4:

293T cells transfected with a human Slit3 expression vector containing a His-tag whole cell lysate at 20 µg

Secondary

All lanes:

Western blot - Goat Anti-Rabbit IgG H&L (HRP) (<a href='/en-us/products/secondary-antibodies/goat-rabbit-igg-h-l-hrp-ab97051'>ab97051</a>) at 1/20000 dilution

Observed band size: 250 kDa

false

Exposure time: 1s

Key facts

Host species

Rabbit

Clonality

Monoclonal

Clone number

EP5797(2)

Isotype

IgG

Carrier free

Yes

Reacts with

Human

Applications

WB

applications

Immunogen

The exact immunogen used to generate this antibody is proprietary information.

Reactivity data

{ "title": "Reactivity Data", "filters": { "stats": ["", "Species", "Dilution Info", "Notes"], "tabs": { "all-applications": {"fullname" : "All Applications", "shortname": "All Applications"}, "IP" : {"fullname" : "Immunoprecipitation", "shortname":"IP"}, "WB" : {"fullname" : "Western blot", "shortname":"WB"}, "IHCP" : {"fullname" : "Immunohistochemistry (Formalin/PFA-fixed paraffin-embedded sections)", "shortname":"IHC-P"}, "ICCIF" : {"fullname" : "Immunocytochemistry/ Immunofluorescence", "shortname":"ICC/IF"} }, "product-promise": { "all": "all", "testedAndGuaranteed": "tested", "guaranteed": "expected", "predicted": "predicted", "notRecommended": "not-recommended" } }, "values": { "Human": { "IP-species-checked": "notRecommended", "IP-species-dilution-info": "", "IP-species-notes": "<p></p>", "WB-species-checked": "testedAndGuaranteed", "WB-species-dilution-info": "", "WB-species-notes": "<p></p>", "IHCP-species-checked": "notRecommended", "IHCP-species-dilution-info": "", "IHCP-species-notes": "<p></p>", "ICCIF-species-checked": "notRecommended", "ICCIF-species-dilution-info": "", "ICCIF-species-notes": "<p></p>" }, "Transfected cell lysate - Human": { "IP-species-checked": "notRecommended", "IP-species-dilution-info": "", "IP-species-notes": "", "WB-species-checked": "testedAndGuaranteed", "WB-species-dilution-info": "", "WB-species-notes": "<p></p>", "IHCP-species-checked": "notRecommended", "IHCP-species-dilution-info": "", "IHCP-species-notes": "", "ICCIF-species-checked": "notRecommended", "ICCIF-species-dilution-info": "", "ICCIF-species-notes": "" } } }

Product details

ab249042 is the carrier-free version of ab151724.

Patented technology
Our RabMAb® technology is a patented hybridoma-based technology for making rabbit monoclonal antibodies. For details on our patents, please refer to RabMAb® patents.

What are the advantages of a recombinant monoclonal antibody?
This product is a recombinant monoclonal antibody, which offers several advantages including:

  • - High batch-to-batch consistency and reproducibility
  • - Improved sensitivity and specificity
  • - Long-term security of supply
  • - Animal-free batch production

For more information, read more on recombinant antibodies.

Conjugation ready
Our carrier-free antibodies are typically supplied in a PBS-only formulation, purified and free of BSA, sodium azide and glycerol. This conjugation-ready format is designed for use with fluorochromes, metal isotopes, oligonucleotides, and enzymes, which makes them ideal for antibody labelling, functional and cell-based assays, flow-based assays (e.g. mass cytometry) and Multiplex Imaging applications.

Use our conjugation kits for antibody conjugates that are ready-to-use in as little as 20 minutes with 1 minute hands-on-time and 100% antibody recovery: available for fluorescent dyes, HRP, biotin and gold.

Compatibility
This product is compatible with the Maxpar® Antibody Labeling Kit from Fluidigm, without the need for antibody preparation. Maxpar® is a trademark of Fluidigm Canada Inc.

Properties and storage information

Form
Liquid
Purification technique
Affinity purification
Storage buffer
pH: 7.2 - 7.4 Constituents: PBS
Shipped at conditions
Blue Ice
Appropriate short-term storage conditions
+4°C
Appropriate long-term storage conditions
+4°C
Storage information
Do Not Freeze

Supplementary information

This supplementary information is collated from multiple sources and compiled automatically.

Slit1 also known as Slit homolog 1 protein is a large extracellular matrix protein with a mass of approximately 200 kDa. This protein is expressed in the developing and adult nervous system particularly in the brain. It contributes to axon guidance and cellular migration through its interaction with Robo receptors. By serving as a secreted ligand Slit1 plays a critical role in nervous system development guiding neurons to their correct positions.
Biological function summary

Slit1 facilitates the formation of neural circuits by promoting axonal repulsion during neural development. It interacts as part of a receptor-ligand complex with Robo receptors on the cell surface which triggers intracellular signaling cascades. Slit1 also influences the shaping of synaptic connections and acts in a chemorepulsive manner ensuring appropriate neural wiring. Its presence aids cellular organization impacting cell division and movement in the nervous system.

Pathways

Slit1 protein is an integral player in the axon guidance and neuronal network formation pathways. In these processes it modulates actin cytoskeleton dynamics and affects growth cone collapse through signaling with proteins like Robo1 and Robo2. The Slit-Robo signaling pathway works to coordinate cell movement and communication within the developing brain aligning with pathways that involve other guidance cues like Netrins and Semaphorins for balanced nervous system organization.

Slit1 has connections to neurological conditions such as schizophrenia and autism spectrum disorders. Its dysfunction can disrupt normal neural pathways contributing to improper brain connectivity and circuit formation. Slit1 interacts with other proteins implicated in these disorders such as Netrin-1 which supports its role in maintaining neural network integrity. Understanding Slit1's involvement provides insights into potential therapeutic targets for treating such developmental and neurological disorders.

Product protocols

For this product, it's our understanding that no specific protocols are required. You can visit:

Target data

Thought to act as molecular guidance cue in cellular migration, and function appears to be mediated by interaction with roundabout homolog receptors. During neural development involved in axonal navigation at the ventral midline of the neural tube and projection of axons to different regions (By similarity). SLIT1 and SLIT2 together seem to be essential for midline guidance in the forebrain by acting as repulsive signal preventing inappropriate midline crossing by axons projecting from the olfactory bulb.
See full target information SLIT1

Publications (1)

Recent publications for all applications. Explore the full list and refine your search

Developmental cell 60:2744-2760.e9 PubMed40460835

2025

ATG9A and ARFIP2 cooperate to control PI4P levels for lysosomal repair.

Applications

Unspecified application

Species

Unspecified reactive species

Stefano De Tito,Eugenia Almacellas,Daniel Dai Yu,Emily Millard,Wenxin Zhang,Cecilia de Heus,Christophe Queval,Javier H Hervás,Enrica Pellegrino,Ioanna Panagi,Ditte Fogde,Teresa L M Thurston,Judith Klumperman,Maximiliano Gutierrez,Sharon A Tooze
View all publications

Product promise

We are committed to supporting your work with high-quality reagents, and we're here for you every step of the way. In the unlikely event that one of our products does not perform as expected, you're protected by our Product Promise.
For full details, please see our Terms & Conditions

Please note: All products are 'FOR RESEARCH USE ONLY. NOT FOR USE IN DIAGNOSTIC OR THERAPEUTIC PROCEDURES'.

For licensing inquiries, please contact partnerships@abcam.com