JavaScript is disabled in your browser. Please enable JavaScript to view this website.
AB246503

Anti-Slit2 antibody [EPR23272-227]

Be the first to review this product! Submit a review

|

(0 Publication)

Rabbit Recombinant Monoclonal SLIT2 antibody. Suitable for WB and reacts with Rat, Human, Mouse, Transfected cell line - Human samples.

View Alternative Names

SLIL3, SLIT2, Slit homolog 2 protein, Slit-2

4 Images
Western blot - Anti-Slit2 antibody [EPR23272-227] (AB246503)
  • WB

Lab

Western blot - Anti-Slit2 antibody [EPR23272-227] (AB246503)

Blocking and diluting buffer and concentration : 5% NFDM/TBST.

A~25 kDa degraded band is observed. Freshly made lysates can decrease the degradation.

The antibody detects Slit2-full(200KDa) and Slit2-N fragment (150KDa).

The molecular weight observed is consistent with what has been described in the literature (PMID : 11404413).

Negative control : T-47D (PMID : 17268810)

Exposure time :

Lanes 1-2 : 136 seconds;

Lanes 3-4 : 26 seconds.

All lanes:

Western blot - Anti-Slit2 antibody [EPR23272-227] (ab246503) at 1/1000 dilution

Lane 1:

PC-3 (human prostate adenocarcinoma epithelial cell) whole cell lysate at 20 µg

Lane 2:

T-47D(Human ductal breast epithelial tumor epithelial cell), whole cell lysate at 20 µg

Lane 3:

mIMCD3 (mouse inner medlary collecting duct epithelial cell), whole cell lysate at 20 µL

Lane 4:

Mouse E14.5 brain tissue lysate at 20 µg

Secondary

All lanes:

Western blot - Goat Anti-Rabbit IgG H&L (HRP) (<a href='/en-us/products/secondary-antibodies/goat-rabbit-igg-h-l-hrp-ab97051'>ab97051</a>) at 1/20000 dilution

Predicted band size: 169 kDa

false

Western blot - Anti-Slit2 antibody [EPR23272-227] (AB246503)
  • WB

Lab

Western blot - Anti-Slit2 antibody [EPR23272-227] (AB246503)

Blocking and diluting buffer and concentration : 5% NFDM/TBST.

Fresh lysate was used in lane 1.

Band detected around 25KDa in lane 2 is caused by degradation as it disappeared in fresh lysate.

Exposure time : 37 seconds.

All lanes:

Western blot - Anti-Slit2 antibody [EPR23272-227] (ab246503) at 1/1000 dilution

All lanes:

293T (human embryonic kidney epithelial cell), whole cell lysate at 20 µg

Secondary

All lanes:

Western blot - Goat Anti-Rabbit IgG H&L (HRP) (<a href='/en-us/products/secondary-antibodies/goat-rabbit-igg-h-l-hrp-ab97051'>ab97051</a>) at 1/20000 dilution

Predicted band size: 169 kDa

false

Western blot - Anti-Slit2 antibody [EPR23272-227] (AB246503)
  • WB

Lab

Western blot - Anti-Slit2 antibody [EPR23272-227] (AB246503)

Blocking and diluting buffer and concentration : 5% NFDM/TBST.

The antibody detects Slit2-full(200KDa) and Slit2-N fragment (150KDa).

The molecular weight observed is consistent with what has been described in the literature (PMID : 11404413).

Exposure time : 3 minutes.

All lanes:

Western blot - Anti-Slit2 antibody [EPR23272-227] (ab246503) at 1/1000 dilution

All lanes:

Rat brain tissue lysate at 20 µg

Secondary

All lanes:

Western blot - Goat Anti-Rabbit IgG H&L (HRP) (<a href='/en-us/products/secondary-antibodies/goat-rabbit-igg-h-l-hrp-ab97051'>ab97051</a>) at 1/20000 dilution

Predicted band size: 169 kDa

false

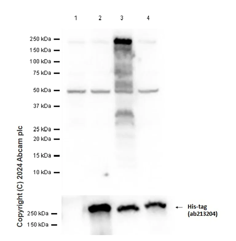
Western blot - Anti-Slit2 antibody [EPR23272-227] (AB246503)
  • WB

Lab

Western blot - Anti-Slit2 antibody [EPR23272-227] (AB246503)

Blocking and diluting buffer and concentration : 5% NFDM/TBST. ab213204 was used as a His tag loading control.

All lanes:

Western blot - Anti-Slit2 antibody [EPR23272-227] (ab246503) at 1/1000 dilution

Lane 1:

293T cells transfected with an empty vector containing a His tag whole cell lysate at 20 µg

Lane 2:

293T cells transfected with a human Slit1 expression vector containing a His-tag whole cell lysate at 20 µg

Lane 3:

293T cells transfected with a human Slit2 expression vector containing a His-tag whole cell lysate at 20 µg

Lane 4:

293T cells transfected with a human Slit3 expression vector containing a His-tag whole cell lysate at 20 µg

Secondary

All lanes:

Western blot - Goat Anti-Rabbit IgG H&L (HRP) (<a href='/en-us/products/secondary-antibodies/goat-rabbit-igg-h-l-hrp-ab97051'>ab97051</a>) at 1/20000 dilution

Observed band size: 250 kDa

false

Exposure time: 1s

  • Carrier free

    Anti-Slit2 antibody [EPR23272-227] - BSA and Azide free

Key facts

Host species

Rabbit

Clonality

Monoclonal

Clone number

EPR23272-227

Isotype

IgG

Carrier free

No

Reacts with

Mouse, Rat, Human

Applications

WB

applications

Immunogen

The exact immunogen used to generate this antibody is proprietary information.

Reactivity data

{ "title": "Reactivity Data", "filters": { "stats": ["", "Species", "Dilution Info", "Notes"], "tabs": { "all-applications": {"fullname" : "All Applications", "shortname": "All Applications"}, "ICCIF" : {"fullname" : "Immunocytochemistry/ Immunofluorescence", "shortname":"ICC/IF"}, "IP" : {"fullname" : "Immunoprecipitation", "shortname":"IP"}, "FlowCyt" : {"fullname" : "Flow Cytometry", "shortname":"Flow Cyt"}, "WB" : {"fullname" : "Western blot", "shortname":"WB"}, "IHCP" : {"fullname" : "Immunohistochemistry (Formalin/PFA-fixed paraffin-embedded sections)", "shortname":"IHC-P"} }, "product-promise": { "all": "all", "testedAndGuaranteed": "tested", "guaranteed": "expected", "predicted": "predicted", "notRecommended": "not-recommended" } }, "values": { "Human": { "ICCIF-species-checked": "notRecommended", "ICCIF-species-dilution-info": "", "ICCIF-species-notes": "<p></p>", "IP-species-checked": "notRecommended", "IP-species-dilution-info": "", "IP-species-notes": "<p></p>", "FlowCyt-species-checked": "notRecommended", "FlowCyt-species-dilution-info": "", "FlowCyt-species-notes": "<p></p>", "WB-species-checked": "testedAndGuaranteed", "WB-species-dilution-info": "1/1000", "WB-species-notes": "<p></p>", "IHCP-species-checked": "notRecommended", "IHCP-species-dilution-info": "", "IHCP-species-notes": "<p></p>" }, "Mouse": { "ICCIF-species-checked": "notRecommended", "ICCIF-species-dilution-info": "", "ICCIF-species-notes": "<p></p>", "IP-species-checked": "notRecommended", "IP-species-dilution-info": "", "IP-species-notes": "<p></p>", "FlowCyt-species-checked": "notRecommended", "FlowCyt-species-dilution-info": "", "FlowCyt-species-notes": "<p></p>", "WB-species-checked": "testedAndGuaranteed", "WB-species-dilution-info": "1/1000", "WB-species-notes": "<p></p>", "IHCP-species-checked": "notRecommended", "IHCP-species-dilution-info": "", "IHCP-species-notes": "<p></p>" }, "Rat": { "ICCIF-species-checked": "notRecommended", "ICCIF-species-dilution-info": "", "ICCIF-species-notes": "<p></p>", "IP-species-checked": "notRecommended", "IP-species-dilution-info": "", "IP-species-notes": "<p></p>", "FlowCyt-species-checked": "notRecommended", "FlowCyt-species-dilution-info": "", "FlowCyt-species-notes": "<p></p>", "WB-species-checked": "testedAndGuaranteed", "WB-species-dilution-info": "1/1000", "WB-species-notes": "<p></p>", "IHCP-species-checked": "notRecommended", "IHCP-species-dilution-info": "", "IHCP-species-notes": "<p></p>" }, "Transfected cell line - Human": { "ICCIF-species-checked": "notRecommended", "ICCIF-species-dilution-info": "", "ICCIF-species-notes": "", "IP-species-checked": "notRecommended", "IP-species-dilution-info": "", "IP-species-notes": "", "FlowCyt-species-checked": "notRecommended", "FlowCyt-species-dilution-info": "", "FlowCyt-species-notes": "", "WB-species-checked": "testedAndGuaranteed", "WB-species-dilution-info": "1/1000", "WB-species-notes": "<p></p>", "IHCP-species-checked": "notRecommended", "IHCP-species-dilution-info": "", "IHCP-species-notes": "" } } }

Product details

Patented technology
Our RabMAb® technology is a patented hybridoma-based technology for making rabbit monoclonal antibodies. For details on our patents, please refer to RabMAb® patents.

What are the advantages of a recombinant monoclonal antibody?
This product is a recombinant monoclonal antibody, which offers several advantages including:

  • - High batch-to-batch consistency and reproducibility
  • - Improved sensitivity and specificity
  • - Long-term security of supply
  • - Animal-free batch production

For more information, read more on recombinant antibodies.

Properties and storage information

Form
Liquid
Purification technique
Affinity purification Protein A
Storage buffer
Preservative: 0.01% Sodium azide Constituents: 59% PBS, 40% Glycerol (glycerin, glycerine), 0.05% BSA
Shipped at conditions
Blue Ice
Appropriate short-term storage duration
1-2 weeks
Appropriate short-term storage conditions
+4°C
Appropriate long-term storage conditions
-20°C
Aliquoting information
Upon delivery aliquot
Storage information
Avoid freeze / thaw cycle

Supplementary information

This supplementary information is collated from multiple sources and compiled automatically.

Slit2 also known as Slit homolog 2 protein is a guidance cue protein with a mass of approximately 200 kDa. It plays a role in axonal guidance and cellular migration. Slit2 is expressed in the central nervous system where it contributes to neural development. It is also found in various tissues such as the liver lungs and kidneys. Slit2 mediates its effects primarily through interaction with Roundabout (Robo) receptors.
Biological function summary

Slit2 functions in guiding axons during neuronal development and preventing them from straying from their pathways. It complexes with Robo receptors to transmit repulsive directional signals. This interaction is essential in the development of the nervous system ensuring proper neural circuit formation and synaptic connectivity. Besides neural guidance Slit2 also regulates other cellular events like angiogenesis and immune cell migration.

Pathways

Slit2 participates in the axon guidance pathway where it influences neural network structuring by interacting with Robo receptors and other guidance cues. The Slit-Robo pathway plays an important role in axonal repulsion working alongside the Netrin signaling pathway that involves proteins like DCC and UNC5. This way Slit2 and its pathways balance attractive and repulsive cues to form functional neuronal networks.

Slit2 has associations with cancers particularly glioblastoma where it affects tumor cell migration and invasion. Dysregulation of the Slit-Robo signaling may lead to enhanced cancer cell metastasis. Additionally Slit2 is linked to congenital heart diseases where its malfunctioning affects cardiac development. Its interaction with Robo and other proteins like Ephrin can influence these disease processes suggesting a broader role in both developmental and pathological contexts.

Product protocols

For this product, it's our understanding that no specific protocols are required. You can visit:

Target data

Thought to act as molecular guidance cue in cellular migration, and function appears to be mediated by interaction with roundabout homolog receptors. During neural development involved in axonal navigation at the ventral midline of the neural tube and projection of axons to different regions. SLIT1 and SLIT2 seem to be essential for midline guidance in the forebrain by acting as repulsive signal preventing inappropriate midline crossing by axons projecting from the olfactory bulb. In spinal cord development may play a role in guiding commissural axons once they reached the floor plate by modulating the response to netrin. In vitro, silences the attractive effect of NTN1 but not its growth-stimulatory effect and silencing requires the formation of a ROBO1-DCC complex. May be implicated in spinal cord midline post-crossing axon repulsion. In vitro, only commissural axons that crossed the midline responded to SLIT2. In the developing visual system appears to function as repellent for retinal ganglion axons by providing a repulsion that directs these axons along their appropriate paths prior to, and after passage through, the optic chiasm. In vitro, collapses and repels retinal ganglion cell growth cones. Seems to play a role in branching and arborization of CNS sensory axons, and in neuronal cell migration. In vitro, Slit homolog 2 protein N-product, but not Slit homolog 2 protein C-product, repels olfactory bulb (OB) but not dorsal root ganglia (DRG) axons, induces OB growth cones collapse and induces branching of DRG axons. Seems to be involved in regulating leukocyte migration.
See full target information SLIT2

Product promise

We are committed to supporting your work with high-quality reagents, and we're here for you every step of the way. In the unlikely event that one of our products does not perform as expected, you're protected by our Product Promise.
For full details, please see our Terms & Conditions

Please note: All products are 'FOR RESEARCH USE ONLY. NOT FOR USE IN DIAGNOSTIC OR THERAPEUTIC PROCEDURES'.

For licensing inquiries, please contact partnerships@abcam.com