JavaScript is disabled in your browser. Please enable JavaScript to view this website.
AB134166

Anti-Slit2 antibody [EPR2771]

Be the first to review this product! Submit a review

|

(26 Publications)

Rabbit Recombinant Monoclonal SLIT2 antibody. Suitable for IHC-P, WB and reacts with Human, Transfected cell line - Human samples. Cited in 26 publications.

View Alternative Names

SLIL3, SLIT2, Slit homolog 2 protein, Slit-2

5 Images
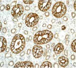
Immunohistochemistry (Formalin/PFA-fixed paraffin-embedded sections) - Anti-Slit2 antibody [EPR2771] (AB134166)
  • IHC-P

Unknown

Immunohistochemistry (Formalin/PFA-fixed paraffin-embedded sections) - Anti-Slit2 antibody [EPR2771] (AB134166)

Immunohistochemical analysis of paraffin embedded Human fetal kidney tissue labelled with ab134166 at 1/100 dilution.

Perform heat mediated antigen retrieval with citrate buffer pH 6 before commencing with IHC staining protocol.

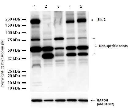
Western blot - Anti-Slit2 antibody [EPR2771] (AB134166)
  • WB

Supplier Data

Western blot - Anti-Slit2 antibody [EPR2771] (AB134166)

Blocking buffer and concentration :  5% NFDM/TBST  Diluting buffer and concentration :  5% NFDM/TBST The expression level of Slit2 in T-47D and A549 are consistent with describes in PMID : 24287947 and PMID : 12384551. Negative control : T-47D and A549 (PMID : 24287947 and PMID : 12384551). Slit2 is a secretory protein, so Brefeldin A (BFA) would help to increase the detection of Slit2 in cell lysate. ab181602 was used as a loading control.

All lanes:

Western blot - Anti-Slit2 antibody [EPR2771] (ab134166) at 1/1000 dilution

Lane 1:

HEK-293 (Human embryonic kidney epithelial cell) whole cell lysate at 20 µg

Lane 2:

T-47(Human ductal breast epithelial tumor epithelial cell) whole cell lysate at 20 µg

Lane 3:

A549 (Human lung carcinoma epithelial cell) whole cell lysate at 20 µg

Lane 4:

Untreated PC-3 (Human prostate adenocarcinoma epithelial cell) whole cell lysate at 20 µg

Lane 5:

PC-3 (Human prostate adenocarcinoma epithelial cell) treated with 300ng/ml Brefeldin A (BFA) for 24 hours whole cell lysate at 20 µg

Secondary

All lanes:

Western blot - Goat Anti-Rabbit IgG H&L (HRP) (<a href='/en-us/products/secondary-antibodies/goat-rabbit-igg-h-l-hrp-ab97051'>ab97051</a>) at 1/20000 dilution

Predicted band size: 169 kDa

Observed band size: 200 kDa

false

Exposure time: 40s

Western blot - Anti-Slit2 antibody [EPR2771] (AB134166)
  • WB

Lab

Western blot - Anti-Slit2 antibody [EPR2771] (AB134166)

ab134166 was shown to react with SLIT2 in wild-type HAP1 cells in Western blot with loss of signal observed in a SLIT2 knockout cell line. Wild-type HAP1 and SLIT2 knockout cell lysates were subjected to SDS-PAGE. Membranes were blocked in 5% milk in TBST for 1 hr before incubation with ab134166 overnight at 4 °C at a 1/1000 dilution. Blots were incubated with secondary antibodies at 0.2 µg/mL before imaging.

These data were provided by YCharOS Inc., an open science company with the mission of characterizing commercially available antibody reagents for all human proteins. Abcam and YCharOS are working together to help address the reproducibility crisis by enabling the life science community to better evaluate commercially available antibodies.

All lanes:

Western blot - Anti-Slit2 antibody [EPR2771] (ab134166) at 1/1000 dilution

Lane 1:

Wild-type HAP1 lysate at 40 µg

Lane 2:

SLIT2 knock-out HAP1 lysate at 40 µg

false

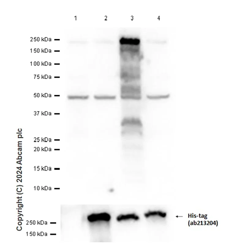
Western blot - Anti-Slit2 antibody [EPR2771] (AB134166)
  • WB

Lab

Western blot - Anti-Slit2 antibody [EPR2771] (AB134166)

Blocking and diluting buffer and concentration : 5% NFDM/TBST.

ab213204 was used as a His tag loading control.

All lanes:

Western blot - Anti-Slit2 antibody [EPR2771] (ab134166) at 1/1000 dilution

Lane 1:

293T cells transfected with an empty vector containing a His tag whole cell lysate at 20 µg

Lane 2:

293T cells transfected with a human Slit1 expression vector containing a His-tag whole cell lysate at 20 µg

Lane 3:

293T cells transfected with a human Slit2 expression vector containing a His-tag whole cell lysate at 20 µg

Lane 4:

293T cells transfected with a human Slit3 expression vector containing a His-tag whole cell lysate at 20 µg

Secondary

All lanes:

Western blot - Goat Anti-Rabbit IgG H&L (HRP) (<a href='/en-us/products/secondary-antibodies/goat-rabbit-igg-h-l-hrp-ab97051'>ab97051</a>) at 1/20000 dilution

Observed band size: 250 kDa

false

Exposure time: 1s

Western blot - Anti-Slit2 antibody [EPR2771] (AB134166)
  • WB

CiteAb

Western blot - Anti-Slit2 antibody [EPR2771] (AB134166)

Slit2 western blot using anti-Slit2 antibody [EPR2771] ab134166. Publication image and figure legend from Zhao, S. J., Shen, Y. F., et al., 2018, Cell Death Dis, PubMed 29523788.

ab134166 was used in this publication in western blot. This may not be the same as the application(s) guaranteed by Abcam. For a full list of applications guaranteed by Abcam for ab134166 please see the product overview.

c-MYC and PFKFB2 are essential for SLIT2/ROBO1 axis-mediated Warburg effect.a The mRNA expression levels of PFKFBs (PFKFB1, PFKFB2, PFKFB3, and PFKFB4) in sh-Control and sh-ROBO1 U-2OS cells, Values are means ± SD, *p < 0.05, **p < 0.01. b The expression of PFKFBs (PFKFB1, PFKFB2, PFKFB3, and PFKFB4) was detected via real-time polymerase chain reaction (RT-qPCR) in sh-Control and sh-ROBO1 Saos-2 cells. β-actin was used as an internal control in this study. Values are means ± SD, *p < 0.05. c Altered protein expression level of SRC, p-SRC, ERK, p-ERK, c-MYC, and PFKFB2 was detected using western blot upon knockdown of ROBO1 or SLIT2 in OS cells (U-2OS or Saos-2). d A ChIP assay was performed to confirm the potential c-MYC-binding site in the PFKFB2 promoter region in U-2OS and MNNG-HOS cell lines. IgG and input fractions were used as controls. e Luciferase activities of OS cells (U-2OS and Saos-2) in luciferase reporter plasmid containing wild-type and mutant PFKFB2 promoter (mutation site : red). The data shown are mean ± SD, **p < 0.01, ***p < 0.001. f Schematic of SLIT2/ROBO1 axis upregulated PFKFB2 expression through the SRC/ERK/c-MYC pathway in OS cells.

false

  • Carrier free

    Anti-Slit2 antibody [EPR2771] - BSA and Azide free

  • 519 Alexa Fluor® 488

    Alexa Fluor® 488 Anti-Slit2 antibody [EPR2771]

  • 617 Alexa Fluor® 594

    Alexa Fluor® 594 Anti-Slit2 antibody [EPR2771]

  • 665 Alexa Fluor® 647

    Alexa Fluor® 647 Anti-Slit2 antibody [EPR2771]

  • 660 APC

    APC Anti-Slit2 antibody [EPR2771]

  • 578 PE

    PE Anti-Slit2 antibody [EPR2771]

  • 565 Alexa Fluor® 555

    Alexa Fluor® 555 Anti-Slit2 antibody [EPR2771]

Key facts

Host species

Rabbit

Clonality

Monoclonal

Clone number

EPR2771

Isotype

IgG

Carrier free

No

Reacts with

Human

Applications

WB, IHC-P

applications

Immunogen

The exact immunogen used to generate this antibody is proprietary information.

Specificity

Slit2 is a secretory protein, so Brefeldin A (BFA) would help to increase the detection of Slit2 in cell lysate.

Reactivity data

{ "title": "Reactivity Data", "filters": { "stats": ["", "Species", "Dilution Info", "Notes"], "tabs": { "all-applications": {"fullname" : "All Applications", "shortname": "All Applications"}, "IHCP" : {"fullname" : "Immunohistochemistry (Formalin/PFA-fixed paraffin-embedded sections)", "shortname":"IHC-P"}, "FlowCyt" : {"fullname" : "Flow Cytometry", "shortname":"Flow Cyt"}, "WB" : {"fullname" : "Western blot", "shortname":"WB"}, "ICCIF" : {"fullname" : "Immunocytochemistry/ Immunofluorescence", "shortname":"ICC/IF"} }, "product-promise": { "all": "all", "testedAndGuaranteed": "tested", "guaranteed": "expected", "predicted": "predicted", "notRecommended": "not-recommended" } }, "values": { "Human": { "IHCP-species-checked": "testedAndGuaranteed", "IHCP-species-dilution-info": "1/100 - 1/250", "IHCP-species-notes": "<p></p>", "FlowCyt-species-checked": "notRecommended", "FlowCyt-species-dilution-info": "", "FlowCyt-species-notes": "<p></p>", "WB-species-checked": "testedAndGuaranteed", "WB-species-dilution-info": "1/1000 - 1/10000", "WB-species-notes": "<p></p>", "ICCIF-species-checked": "notRecommended", "ICCIF-species-dilution-info": "", "ICCIF-species-notes": "<p></p>" }, "Mouse": { "IHCP-species-checked": "predicted", "IHCP-species-dilution-info": "", "IHCP-species-notes": "", "FlowCyt-species-checked": "notRecommended", "FlowCyt-species-dilution-info": "", "FlowCyt-species-notes": "", "WB-species-checked": "predicted", "WB-species-dilution-info": "", "WB-species-notes": "", "ICCIF-species-checked": "notRecommended", "ICCIF-species-dilution-info": "", "ICCIF-species-notes": "" }, "Rat": { "IHCP-species-checked": "predicted", "IHCP-species-dilution-info": "", "IHCP-species-notes": "", "FlowCyt-species-checked": "notRecommended", "FlowCyt-species-dilution-info": "", "FlowCyt-species-notes": "", "WB-species-checked": "predicted", "WB-species-dilution-info": "", "WB-species-notes": "", "ICCIF-species-checked": "notRecommended", "ICCIF-species-dilution-info": "", "ICCIF-species-notes": "" }, "Transfected cell line - Human": { "IHCP-species-checked": "notRecommended", "IHCP-species-dilution-info": "", "IHCP-species-notes": "", "FlowCyt-species-checked": "notRecommended", "FlowCyt-species-dilution-info": "", "FlowCyt-species-notes": "", "WB-species-checked": "testedAndGuaranteed", "WB-species-dilution-info": "1/1000 - 1/10000", "WB-species-notes": "<p></p>", "ICCIF-species-checked": "notRecommended", "ICCIF-species-dilution-info": "", "ICCIF-species-notes": "" } } }

Product details

Patented technology
Our RabMAb® technology is a patented hybridoma-based technology for making rabbit monoclonal antibodies. For details on our patents, please refer to RabMAb® patents.

What are the advantages of a recombinant monoclonal antibody?
This product is a recombinant monoclonal antibody, which offers several advantages including:

  • - High batch-to-batch consistency and reproducibility
  • - Improved sensitivity and specificity
  • - Long-term security of supply
  • - Animal-free batch production

For more information, read more on recombinant antibodies.

Properties and storage information

Form
Liquid
Purification technique
Affinity purification Protein A
Storage buffer
pH: 7.2 - 7.4 Preservative: 0.05% Sodium azide Constituents: 50% Tissue culture supernatant, 40% Glycerol (glycerin, glycerine), 9.85% Tris glycine, 0.1% BSA
Shipped at conditions
Blue Ice
Appropriate short-term storage conditions
+4°C
Appropriate long-term storage conditions
-20°C
Aliquoting information
Upon delivery aliquot
Storage information
Avoid freeze / thaw cycle

Supplementary information

This supplementary information is collated from multiple sources and compiled automatically.

Slit2 also known as Slit homolog 2 protein is a guidance cue protein with a mass of approximately 200 kDa. It plays a role in axonal guidance and cellular migration. Slit2 is expressed in the central nervous system where it contributes to neural development. It is also found in various tissues such as the liver lungs and kidneys. Slit2 mediates its effects primarily through interaction with Roundabout (Robo) receptors.
Biological function summary

Slit2 functions in guiding axons during neuronal development and preventing them from straying from their pathways. It complexes with Robo receptors to transmit repulsive directional signals. This interaction is essential in the development of the nervous system ensuring proper neural circuit formation and synaptic connectivity. Besides neural guidance Slit2 also regulates other cellular events like angiogenesis and immune cell migration.

Pathways

Slit2 participates in the axon guidance pathway where it influences neural network structuring by interacting with Robo receptors and other guidance cues. The Slit-Robo pathway plays an important role in axonal repulsion working alongside the Netrin signaling pathway that involves proteins like DCC and UNC5. This way Slit2 and its pathways balance attractive and repulsive cues to form functional neuronal networks.

Slit2 has associations with cancers particularly glioblastoma where it affects tumor cell migration and invasion. Dysregulation of the Slit-Robo signaling may lead to enhanced cancer cell metastasis. Additionally Slit2 is linked to congenital heart diseases where its malfunctioning affects cardiac development. Its interaction with Robo and other proteins like Ephrin can influence these disease processes suggesting a broader role in both developmental and pathological contexts.

Product protocols

For this product, it's our understanding that no specific protocols are required. You can visit:

Target data

Thought to act as molecular guidance cue in cellular migration, and function appears to be mediated by interaction with roundabout homolog receptors. During neural development involved in axonal navigation at the ventral midline of the neural tube and projection of axons to different regions. SLIT1 and SLIT2 seem to be essential for midline guidance in the forebrain by acting as repulsive signal preventing inappropriate midline crossing by axons projecting from the olfactory bulb. In spinal cord development may play a role in guiding commissural axons once they reached the floor plate by modulating the response to netrin. In vitro, silences the attractive effect of NTN1 but not its growth-stimulatory effect and silencing requires the formation of a ROBO1-DCC complex. May be implicated in spinal cord midline post-crossing axon repulsion. In vitro, only commissural axons that crossed the midline responded to SLIT2. In the developing visual system appears to function as repellent for retinal ganglion axons by providing a repulsion that directs these axons along their appropriate paths prior to, and after passage through, the optic chiasm. In vitro, collapses and repels retinal ganglion cell growth cones. Seems to play a role in branching and arborization of CNS sensory axons, and in neuronal cell migration. In vitro, Slit homolog 2 protein N-product, but not Slit homolog 2 protein C-product, repels olfactory bulb (OB) but not dorsal root ganglia (DRG) axons, induces OB growth cones collapse and induces branching of DRG axons. Seems to be involved in regulating leukocyte migration.
See full target information SLIT2

Publications (26)

Recent publications for all applications. Explore the full list and refine your search

Nature communications 15:6697 PubMed39107299

2024

Bone controls browning of white adipose tissue and protects from diet-induced obesity through Schnurri-3-regulated SLIT2 secretion.

Applications

Unspecified application

Species

Unspecified reactive species

Zan Li,Baohong Shi,Na Li,Jun Sun,Xiangchen Zeng,Rui Huang,Seoyeon Bok,Xiaohui Chen,Jie Han,Alisha R Yallowitz,Shawon Debnath,Michelle Cung,Zheng Ling,Chuan-Qi Zhong,Yixang Hong,Gang Li,Mascha Koenen,Paul Cohen,Xinhui Su,Hongbin Lu,Matthew B Greenblatt,Ren Xu

eLife 13: PubMed38591541

2024

N-cadherin directs the collective Schwann cell migration required for nerve regeneration through Slit2/3-mediated contact inhibition of locomotion.

Applications

Unspecified application

Species

Unspecified reactive species

Julian J A Hoving,Elizabeth Harford-Wright,Patrick Wingfield-Digby,Anne-Laure Cattin,Mariana Campana,Alex Power,Toby Morgan,Erica Torchiaro,Victor Quereda,Alison C Lloyd

Frontiers in cellular neuroscience 18:1330412 PubMed38450283

2024

A selective defect in the glial wedge as part of the neuroepithelium disruption in hydrocephalus development in the mouse hyh model is associated with complete corpus callosum dysgenesis.

Applications

Unspecified application

Species

Unspecified reactive species

Luis-Manuel Rodríguez-Pérez,Javier López-de-San-Sebastián,Isabel de Diego,Aníbal Smith,Ruth Roales-Buján,Antonio J Jiménez,Patricia Paez-Gonzalez

Neuroscience bulletin 40:719-731 PubMed38055107

2023

Three-phase Enriched Environment Improves Post-stroke Gait Dysfunction via Facilitating Neuronal Plasticity in the Bilateral Sensorimotor Cortex: A Multimodal MRI/PET Analysis in Rats.

Applications

Unspecified application

Species

Unspecified reactive species

Yun Lu,Ziyue Lin,Mingcong Li,Yuming Zhuang,Binbin Nie,Jianfeng Lei,Yuanyuan Zhao,Hui Zhao

Nature communications 14:861 PubMed36792623

2023

Coadaptation fostered by the SLIT2-ROBO1 axis facilitates liver metastasis of pancreatic ductal adenocarcinoma.

Applications

Unspecified application

Species

Unspecified reactive species

Qing Li,Xiao-Xin Zhang,Li-Peng Hu,Bo Ni,Dong-Xue Li,Xu Wang,Shu-Heng Jiang,Hui Li,Min-Wei Yang,Yong-Sheng Jiang,Chun-Jie Xu,Xue-Li Zhang,Yan-Li Zhang,Pei-Qi Huang,Qin Yang,Yang Zhou,Jian-Ren Gu,Gary Gui-Shan Xiao,Yong-Wei Sun,Jun Li,Zhi-Gang Zhang

Science advances 8:eabo7792 PubMed36054348

2022

Genome-wide in vivo screen of circulating tumor cells identifies as a regulator of metastasis.

Applications

Unspecified application

Species

Unspecified reactive species

Fan Xia,Yuan Ma,Kangfu Chen,Bill Duong,Sharif Ahmed,Randy Atwal,David Philpott,Troy Ketela,Jennifer Pantea,Sichun Lin,Stephane Angers,Shana O Kelley

Frontiers in pharmacology 13:851746 PubMed35559236

2022

Magnetic Resonance Imaging Investigation of Neuroplasticity After Ischemic Stroke in Tetramethylpyrazine-Treated Rats.

Applications

Unspecified application

Species

Unspecified reactive species

Xue-Feng Feng,Jian-Feng Lei,Man-Zhong Li,Yu Zhan,Le Yang,Yun Lu,Ming-Cong Li,Yu-Ming Zhuang,Lei Wang,Hui Zhao

Medicine 100:e26981 PubMed34414975

2021

Expression of the axon guidance factor Slit2 and its receptor Robo1 in patients with Hirschsprung disease: An observational study.

Applications

Unspecified application

Species

Unspecified reactive species

Meng Kong,Tao Zhou,Bo Xiang

Nature 586:299-304 PubMed32999457

2020

Tumoural activation of TLR3-SLIT2 axis in endothelium drives metastasis.

Applications

Unspecified application

Species

Unspecified reactive species

Bernardo Tavora,Tobias Mederer,Kai J Wessel,Simon Ruffing,Mahan Sadjadi,Marc Missmahl,Benjamin N Ostendorf,Xuhang Liu,Ji-Young Kim,Olav Olsen,Alana L Welm,Hani Goodarzi,Sohail F Tavazoie

American journal of translational research 12:4354-4370 PubMed32913511

2020

Rho-kinase inhibition by Fasudil promotes tumor maturation and apoptosis in small-cell lung cancer.

Applications

Unspecified application

Species

Unspecified reactive species

Zitian Huo,Yinxia Su,Yuting Dong,Yiyun Zheng,Qian Zhang,Yaqi Duan,Guoping Wang
View all publications

Product promise

We are committed to supporting your work with high-quality reagents, and we're here for you every step of the way. In the unlikely event that one of our products does not perform as expected, you're protected by our Product Promise.
For full details, please see our Terms & Conditions

Please note: All products are 'FOR RESEARCH USE ONLY. NOT FOR USE IN DIAGNOSTIC OR THERAPEUTIC PROCEDURES'.

For licensing inquiries, please contact partnerships@abcam.com