JavaScript is disabled in your browser. Please enable JavaScript to view this website.
AB325393

Anti-Slit3 antibody [EPR30531-538]

Be the first to review this product! Submit a review

|

(0 Publication)

Rabbit Recombinant Monoclonal SLIT3 antibody. Suitable for WB and reacts with Mouse samples.

View Alternative Names

Slit homolog 3 protein, Slit-3, Slit3

2 Images
Western blot - Anti-Slit3 antibody [EPR30531-538] (AB325393)
  • WB

Lab

Western blot - Anti-Slit3 antibody [EPR30531-538] (AB325393)

Blocking and diluting buffer and concentration : 5% NFDM/TBST.

Low expression : liver (PMID : 12609596), spleen.

This blot was developed using a high-sensitivity ECL substrate, allowing for the detection of proteins in the mid-femtogram range.

In Western blot, Anti-Vinculin antibody [EPR8185] (ab129002) (1 : 10000) (124KDa).

All lanes:

Western blot - Anti-Slit3 antibody [EPR30531-538] (ab325393) at 1/1000 dilution

Lane 1:

Mouse white fat lysate at 50 µg

Lane 2:

Mouse E17.5 embryo lysate at 50 µg

Lane 3:

Mouse lung lysate at 50 µg

Lane 4:

Mouse E17 lung lysate at 50 µg

Lane 5:

Mouse liver lysate at 50 µg

Lane 6:

Mouse spleen lysate at 50 µg

Secondary

All lanes:

Western blot - Goat Anti-Rabbit IgG H&L (HRP) (<a href='/en-us/products/secondary-antibodies/goat-rabbit-igg-h-l-hrp-ab97051'>ab97051</a>) at 1/20000 dilution

Observed band size: 200 kDa,124 kDa

true

Exposure time: 180s

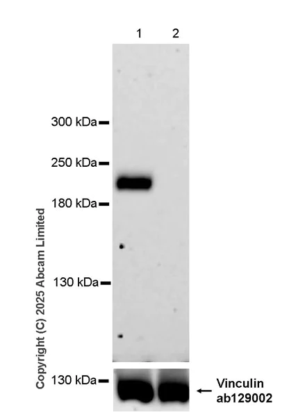
Western blot - Anti-Slit3 antibody [EPR30531-538] (AB325393)
  • WB

Lab

Western blot - Anti-Slit3 antibody [EPR30531-538] (AB325393)

Blocking and diluting buffer and concentration : 5% NFDM/TBST.

Low expression : F9.

This blot was developed using a high-sensitivity ECL substrate, allowing for the detection of proteins in the mid-femtogram range.

In Western blot, Anti-Vinculin antibody [EPR8185] (ab129002) (1 : 10000) (124KDa).

All lanes:

Western blot - Anti-Slit3 antibody [EPR30531-538] (ab325393) at 1/1000 dilution

Lane 1:

CT26.WT (mouse colon fibroblast) whole cell lysate at 50 µg

Lane 2:

F9 (mouse embryonal carcinoma epithelial cell) whole cell lysate at 50 µg

Secondary

All lanes:

Western blot - Goat Anti-Rabbit IgG H&L (HRP) (<a href='/en-us/products/secondary-antibodies/goat-rabbit-igg-h-l-hrp-ab97051'>ab97051</a>) at 1/20000 dilution

Observed band size: 200 kDa,124 kDa

true

Exposure time: 180s

Key facts

Host species

Rabbit

Clonality

Monoclonal

Clone number

EPR30531-538

Isotype

IgG

Carrier free

No

Reacts with

Mouse

Applications

WB

applications

Immunogen

The exact immunogen used to generate this antibody is proprietary information.

Reactivity data

{ "title": "Reactivity Data", "filters": { "stats": ["", "Species", "Dilution Info", "Notes"], "tabs": { "all-applications": {"fullname" : "All Applications", "shortname": "All Applications"}, "WB" : {"fullname" : "Western blot", "shortname":"WB"}, "IHCFr" : {"fullname" : "Immunohistochemistry (Frozen sections)", "shortname":"IHC-Fr"}, "IHCP" : {"fullname" : "Immunohistochemistry (Formalin/PFA-fixed paraffin-embedded sections)", "shortname":"IHC-P"} }, "product-promise": { "all": "all", "testedAndGuaranteed": "tested", "guaranteed": "expected", "predicted": "predicted", "notRecommended": "not-recommended" } }, "values": { "Human": { "WB-species-checked": "notRecommended", "WB-species-dilution-info": "", "WB-species-notes": "<p></p>", "IHCFr-species-checked": "notRecommended", "IHCFr-species-dilution-info": "", "IHCFr-species-notes": "", "IHCP-species-checked": "notRecommended", "IHCP-species-dilution-info": "", "IHCP-species-notes": "<p></p>" }, "Mouse": { "WB-species-checked": "testedAndGuaranteed", "WB-species-dilution-info": "1/1000", "WB-species-notes": "<p></p>", "IHCFr-species-checked": "notRecommended", "IHCFr-species-dilution-info": "", "IHCFr-species-notes": "<p></p>", "IHCP-species-checked": "notRecommended", "IHCP-species-dilution-info": "", "IHCP-species-notes": "<p></p>" } } }

Product details

Patented technology
Our RabMAb® technology is a patented hybridoma-based technology for making rabbit monoclonal antibodies. For details on our patents, please refer to RabMAb® patents.

What are the advantages of a recombinant monoclonal antibody?
This product is a recombinant monoclonal antibody, which offers several advantages including:

  • - High batch-to-batch consistency and reproducibility
  • - Improved sensitivity and specificity
  • - Long-term security of supply
  • - Animal-free batch production

For more information, read more on recombinant antibodies.

Properties and storage information

Form
Liquid
Purification technique
Affinity purification Protein A
Storage buffer
pH: 7.2 - 7.4 Preservative: 0.01% Sodium azide Constituents: PBS, 40% Glycerol (glycerin, glycerine), 0.05% BSA
Shipped at conditions
Blue Ice
Appropriate short-term storage duration
1-2 weeks
Appropriate short-term storage conditions
+4°C
Appropriate long-term storage conditions
-20°C
Aliquoting information
Upon delivery aliquot
Storage information
Avoid freeze / thaw cycle

Product protocols

For this product, it's our understanding that no specific protocols are required. You can visit:

Target data

May act as molecular guidance cue in cellular migration, and function may be mediated by interaction with roundabout homolog receptors.
See full target information Slit3

Product promise

We are committed to supporting your work with high-quality reagents, and we're here for you every step of the way. In the unlikely event that one of our products does not perform as expected, you're protected by our Product Promise.
For full details, please see our Terms & Conditions

Please note: All products are 'FOR RESEARCH USE ONLY. NOT FOR USE IN DIAGNOSTIC OR THERAPEUTIC PROCEDURES'.

For licensing inquiries, please contact partnerships@abcam.com