JavaScript is disabled in your browser. Please enable JavaScript to view this website.
AB188813

Anti-SLITRK6 antibody

Be the first to review this product! Submit a review

|

(1 Publication)

Rabbit Polyclonal SLITRK6 antibody. Suitable for IHC-P and reacts with Human samples. Cited in 1 publication. Immunogen corresponding to Synthetic Peptide within Human SLIT and NTRK-like protein 6.

View Alternative Names

SLIT and NTRK-like protein 6, SLITRK6

2 Images
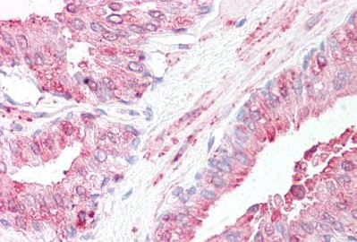
Immunohistochemistry (Formalin/PFA-fixed paraffin-embedded sections) - Anti-SLITRK6 antibody (AB188813)
  • IHC-P

Supplier Data

Immunohistochemistry (Formalin/PFA-fixed paraffin-embedded sections) - Anti-SLITRK6 antibody (AB188813)

Immunohistochemistry of formalin-fixed, paraffin-embedded human prostate tissue labeling SLITRK6 with ab188813 at 15 μg/ml.

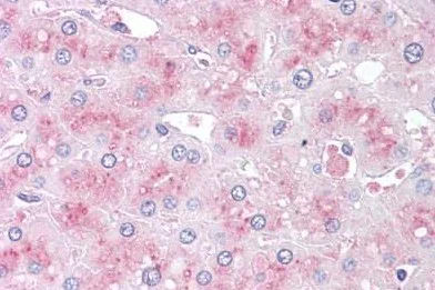
Immunohistochemistry (Formalin/PFA-fixed paraffin-embedded sections) - Anti-SLITRK6 antibody (AB188813)
  • IHC-P

Supplier Data

Immunohistochemistry (Formalin/PFA-fixed paraffin-embedded sections) - Anti-SLITRK6 antibody (AB188813)

Immunohistochemistry of formalin-fixed, paraffin-embedded human liver tissue labeling SLITRK6 with ab188813 at 15 μg/ml.

Key facts

Host species

Rabbit

Clonality

Polyclonal

Isotype

IgG

Carrier free

No

Reacts with

Human

Applications

IHC-P

applications

Immunogen

Synthetic Peptide within Human SLIT and NTRK-like protein 6. The exact immunogen used to generate this antibody is proprietary information.

Q9H5Y7

Specificity

BLAST analysis of the peptide immunogen showed no homology with other human proteins.

Reactivity data

{ "title": "Reactivity Data", "filters": { "stats": ["", "Species", "Dilution Info", "Notes"], "tabs": { "all-applications": {"fullname" : "All Applications", "shortname": "All Applications"}, "IHCP" : {"fullname" : "Immunohistochemistry (Formalin/PFA-fixed paraffin-embedded sections)", "shortname":"IHC-P"} }, "product-promise": { "all": "all", "testedAndGuaranteed": "tested", "guaranteed": "expected", "predicted": "predicted", "notRecommended": "not-recommended" } }, "values": { "Human": { "IHCP-species-checked": "testedAndGuaranteed", "IHCP-species-dilution-info": "15 µg/mL", "IHCP-species-notes": "<p></p> Perform heat-mediated antigen retrieval before commencing with IHC staining protocol." }, "Mouse": { "IHCP-species-checked": "predicted", "IHCP-species-dilution-info": "", "IHCP-species-notes": "" }, "Cow": { "IHCP-species-checked": "predicted", "IHCP-species-dilution-info": "", "IHCP-species-notes": "" }, "Dog": { "IHCP-species-checked": "predicted", "IHCP-species-dilution-info": "", "IHCP-species-notes": "" }, "Gorilla": { "IHCP-species-checked": "predicted", "IHCP-species-dilution-info": "", "IHCP-species-notes": "" }, "Hamster": { "IHCP-species-checked": "predicted", "IHCP-species-dilution-info": "", "IHCP-species-notes": "" }, "Monkey": { "IHCP-species-checked": "predicted", "IHCP-species-dilution-info": "", "IHCP-species-notes": "" }, "Pig": { "IHCP-species-checked": "predicted", "IHCP-species-dilution-info": "", "IHCP-species-notes": "" } } }

Properties and storage information

Form
Liquid
Purification technique
Affinity purification Immunogen
Storage buffer
pH: 7.4 Preservative: 0.1% Sodium azide Constituents: 99% PBS
Shipped at conditions
Blue Ice
Appropriate short-term storage duration
1-2 weeks
Appropriate short-term storage conditions
+4°C
Appropriate long-term storage conditions
-20°C
Aliquoting information
Upon delivery aliquot
Storage information
Avoid freeze / thaw cycle

Supplementary information

This supplementary information is collated from multiple sources and compiled automatically.

SLITRK6 also known as SLIT and NTRK-like family protein 6 is a transmembrane protein weighing approximately 103 kDa. It belongs to the SLITRK family and is characterized by containing leucine-rich repeat (LRR) domains. SLITRK6 is mainly expressed in the nervous system particularly in the retina and specific regions of the brain such as the olfactory bulb and limbic system. In addition it shows expression in non-neuronal tissues including the kidney and prostate tissue demonstrating a diverse tissue distribution.
Biological function summary

SLITRK6 plays a critical role in neural development and cell signaling processes. It participates in neurite outgrowth regulation impacting both neuronal differentiation and synaptic connectivity. SLITRK6 does not function in isolation but may form complexes with other proteins contributing to axon guidance and synaptic maintenance. The protein's involvement in cell signaling extends its influence on tissue organization and stability.

Pathways

SLITRK6 interacts with neurotrophin pathways impacting neural growth and survival. Specifically it modulates pathways involving the NTRK family of receptors which are central to neurotrophic signaling. SLITRK6 is related to the SLIT and ROBO proteins through shared roles in axonal pathfinding and synapse formation. The cross-talk with neurotrophic pathways suggests SLITRK6 as a mediator in neuronal network formation and structural integrity.

SLITRK6 has been linked to sensorineural hearing loss and psychiatric conditions such as schizophrenia. Its connection to neurotrophic pathways implicates an association with cognitive and sensory disorders. In some cancers it also appears to interact with other molecules affecting tumor growth and resistance for example interacting with NTRK family members in cancer pathways. Elucidating SLITRK6's role furthers understanding in neurologic disorders and potential therapeutic targets.

Product protocols

For this product, it's our understanding that no specific protocols are required. You can visit:

Target data

Regulator of neurite outgrowth required for normal hearing and vision.
See full target information SLIT and NTRK-like protein 6

Publications (1)

Recent publications for all applications. Explore the full list and refine your search

BMC pediatrics 22:192 PubMed35410162

2022

Increased expression of OLFM4 and lysozyme during necrotizing enterocolitis in neonates: an observational research study.

Applications

Unspecified application

Species

Unspecified reactive species

Sonja Diez,Marcus Renner,Veronika Bahlinger,Arndt Hartmann,Manuel Besendörfer,Hanna Müller
View all publications

Product promise

We are committed to supporting your work with high-quality reagents, and we're here for you every step of the way. In the unlikely event that one of our products does not perform as expected, you're protected by our Product Promise.
For full details, please see our Terms & Conditions

Please note: All products are 'FOR RESEARCH USE ONLY. NOT FOR USE IN DIAGNOSTIC OR THERAPEUTIC PROCEDURES'.

For licensing inquiries, please contact partnerships@abcam.com