JavaScript is disabled in your browser. Please enable JavaScript to view this website.
AB234431

Anti-Slow Skeletal Myosin Heavy chain antibody [EPR22697-17]

  • BOND RX™ Validated
  • 20ul selling size
  • Recombinant
  • Advanced Validation
  • RabMAb
  • What is this?

5

(1 Review)

|

(18 Publications)

Anti-Slow Skeletal Myosin Heavy chain antibody [EPR22697-17] (ab234431) is a rabbit monoclonal antibody detecting Slow Skeletal Myosin Heavy chain in IHC-P, IHC-Fr, mIHC. Suitable for Human, Mouse, Rat.

- Multiplex IHC validated on the Leica BOND® MAX using Opal reagents
- Biophysical QC for unrivalled batch-batch consistency

View Alternative Names

MYHCB, MYH7, Myosin-7, Myosin heavy chain 7, Myosin heavy chain slow isoform, MyHC-slow, MyHC-beta

9 Images
Immunohistochemistry (Formalin/PFA-fixed paraffin-embedded sections) - Anti-Slow Skeletal Myosin Heavy chain antibody [EPR22697-17] (AB234431)
  • IHC-P

Unknown

Immunohistochemistry (Formalin/PFA-fixed paraffin-embedded sections) - Anti-Slow Skeletal Myosin Heavy chain antibody [EPR22697-17] (AB234431)

Immunohistochemical analysis of paraffin-embedded human skeletal muscle tissue labeling Slow Skeletal Myosin Heavy chain using ab234431 at 1/2000 dilution, followed by a ready to use Rabbit specific IHC polymer detection kit HRP/DAB (ab209101). Cytoplasmic staining on the human skeletal muscle (PMID : 22530000). The section was incubated with ab234431 for 30 mins at room temperature. The immunostaining was performed on a Leica Biosystems BOND® RX instrument. Counterstained with hematoxylin.

Secondary antibody only control : Used PBS instead of primary antibody, secondary antibody is a ready to use Rabbit specific IHC polymer detection kit HRP/DAB (ab209101).

Perform heat mediated antigen retrieval with Tris/EDTA buffer pH 9.0 before commencing with IHC staining protocol.

Immunohistochemistry (Formalin/PFA-fixed paraffin-embedded sections) - Anti-Slow Skeletal Myosin Heavy chain antibody [EPR22697-17] (AB234431)
  • IHC-P

Unknown

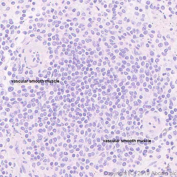
Immunohistochemistry (Formalin/PFA-fixed paraffin-embedded sections) - Anti-Slow Skeletal Myosin Heavy chain antibody [EPR22697-17] (AB234431)

Immunohistochemical analysis of paraffin-embedded human spleen tissue labeling Slow Skeletal Myosin Heavy chain using ab234431 at 1/2000 dilution, followed by a ready to use Rabbit specific IHC polymer detection kit HRP/DAB (ab209101). Negative staining on the smooth muscle in the human spleen (PMID : 22530000). The section was incubated with ab234431 for 30 mins at room temperature. The immunostaining was performed on a Leica Biosystems BOND® RX instrument. Counterstained with hematoxylin.

Secondary antibody only control : Used PBS instead of primary antibody, secondary antibody is a ready to use Rabbit specific IHC polymer detection kit HRP/DAB (ab209101).

Perform heat mediated antigen retrieval with Tris/EDTA buffer pH 9.0 before commencing with IHC staining protocol.

Multiplex immunohistochemistry - Anti-Slow Skeletal Myosin Heavy chain antibody [EPR22697-17] (AB234431)
  • mIHC

Supplier Data

Multiplex immunohistochemistry - Anti-Slow Skeletal Myosin Heavy chain antibody [EPR22697-17] (AB234431)

Fluorescence multiplex immunohistochemical analysis of the human skeletal muscle (Formalin/PFA-fixed paraffin-embedded sections). Panel A : merged staining of anti-delta Sarcoglycan (ab137101, green; Opal™690), anti-Fast Myosin Skeletal Heavy chain + MYH4 (ab221149, magenta; Opal™520) and anti-Slow Skeletal Myosin Heavy chain (ab234431, red; Opal™570) on human skeletal muscle. Panel B : anti-Fast Myosin Skeletal Heavy chain + MYH4 stained on fast type fibers. Panel C : anti-Slow Skeletal Myosin Heavy chain stained on slow type fibers. Panel D : anti-delta Sarcoglycan stained on membrane of skeletal muscle. Opal Polymer HRP Ms + Rb was used as a secondary antibody. The section was incubated in three rounds of staining : in the order of ab137101 at 1/1000 (1.043 μg/ml), ab221149 at 1/1000 (0.505 μg/ml, and ab234431 at 1/4000 (0.255 μg/ml) for 30 mins at room temperature. Each round was followed by a separate fluorescent tyramide signal amplification system. DAPI (blue) was used as a nuclear counter stain. The immunostaining was performed on a Leica Biosystems BOND® RX instrument with an Opal™ 4-color kit. Image acquisition was performed with Leica SP8 confocal microscope. Heat mediated antigen retrieval with Tris-EDTA buffer (pH 9.0, epitope retrieval solution2) for 20 mins.

Immunohistochemistry (Formalin/PFA-fixed paraffin-embedded sections) - Anti-Slow Skeletal Myosin Heavy chain antibody [EPR22697-17] (AB234431)
  • IHC-P

Unknown

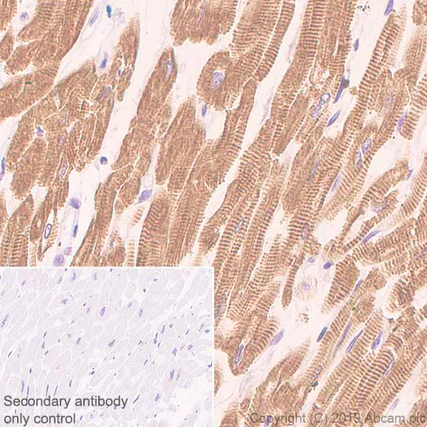
Immunohistochemistry (Formalin/PFA-fixed paraffin-embedded sections) - Anti-Slow Skeletal Myosin Heavy chain antibody [EPR22697-17] (AB234431)

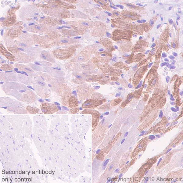
Immunohistochemical analysis of paraffin-embedded human cardiac muscle tissue labeling Slow Skeletal Myosin Heavy chain using ab234431 at 1/2000 dilution, followed by a ready to use Rabbit specific IHC polymer detection kit HRP/DAB (ab209101). Cytoplasmic staining on the human cardiac muscle (PMID : 22530000). The section was incubated with ab234431 for 30 mins at room temperature. The immunostaining was performed on a Leica Biosystems BOND® RX instrument. Counterstained with hematoxylin.

Secondary antibody only control : Used PBS instead of primary antibody, secondary antibody is a ready to use Rabbit specific IHC polymer detection kit HRP/DAB (ab209101).

Perform heat mediated antigen retrieval with Tris/EDTA buffer pH 9.0 before commencing with IHC staining protocol.

Immunohistochemistry (Frozen sections) - Anti-Slow Skeletal Myosin Heavy chain antibody [EPR22697-17] (AB234431)
  • IHC-Fr

Unknown

Immunohistochemistry (Frozen sections) - Anti-Slow Skeletal Myosin Heavy chain antibody [EPR22697-17] (AB234431)

Immunohistochemical analysis of 4% paraformaldehyde-fixed 0.2% Triton X-100 permeabilized mouse skeletal muscle tissue labeling Slow Skeletal Myosin Heavy chain using ab234431 at 1/2000 dilution (green), followed by an AlexaFluor®488 Goat anti-Rabbit secondary (ab150077) at 1/1000 dilution. Cytoplasmic staining on the mouse skeletal muscle (PMID : 29193153). The nuclear counterstain was DAPI (Blue).

Secondary antibody only control : Used PBS instead of primary antibody, secondary antibody is an AlexaFluor®488 Goat anti-Rabbit secondary (ab150077) at 1/1000 dilution.

Multiplex immunohistochemistry - Anti-Slow Skeletal Myosin Heavy chain antibody [EPR22697-17] (AB234431)
  • mIHC

Lab

Multiplex immunohistochemistry - Anti-Slow Skeletal Myosin Heavy chain antibody [EPR22697-17] (AB234431)

Multiplex immunohistochemistry analysis of formalin/PFA-fixed paraffin-embedded Mouse skeletal muscle tissue staining Slow Skeletal Myosin Heavy chain with ab234431 at a 1/2500 dilution, A2BP1 with ab254413 at 1/2000 (0.26 µg/ml) dilution and Dystrophin with ab218198 at 1/5000 ( 0.110 µg/ml) dilution.

Panel A : merged staining of anti-Slow Skeletal Myosin Heavy chain (green; Opal™520), anti-A2BP1 (gray; Opal™570) and anti-Dystrophin (magenta; Opal™690) on mouse skeletal muscle.
Panel B : anti-Slow Skeletal Myosin Heavy chain staining slow type fibers in mouse skeletal muscle.
Panel C : anti-A2BP1 staining nucleus in mouse skeletal muscle.
Panel D : anti-Dystrophin staining membrane in mouse skeletal muscle.
Nuclear DNA was labeled with DAPI (shown in blue).

The section was incubated in three rounds of staining : in the order of ab234431, ab254413 and ab218198 for 30 mins at room temperature. Each round was followed by a separate fluorescent tyramide signal amplification system.

The immunostaining was performed on a Leica Biosystems BOND® RX instrument with an Opal™ 4-color kit. Image acquisition was performed with Leica SP8 confocal microscope.

Heat mediated antigen retrieval with Tris-EDTA buffer (pH 9.0 epitope retrieval solution2) for 20 mins.

Immunohistochemistry (Formalin/PFA-fixed paraffin-embedded sections) - Anti-Slow Skeletal Myosin Heavy chain antibody [EPR22697-17] (AB234431)
  • IHC-P

Unknown

Immunohistochemistry (Formalin/PFA-fixed paraffin-embedded sections) - Anti-Slow Skeletal Myosin Heavy chain antibody [EPR22697-17] (AB234431)

Immunohistochemical analysis of paraffin-embedded rat cardiac muscle tissue labeling Slow Skeletal Myosin Heavy chain using ab234431 at 1/2000 dilution, followed by a ready to use Rabbit specific IHC polymer detection kit HRP/DAB (ab209101). Cytoplasmic staining on the rat cardiac muscle (PMID : 22530000). The section was incubated with ab234431 for 30 mins at room temperature. The immunostaining was performed on a Leica Biosystems BOND® RX instrument. Counterstained with hematoxylin.

Secondary antibody only control : Used PBS instead of primary antibody, secondary antibody is a ready to use Rabbit specific IHC polymer detection kit HRP/DAB (ab209101).

Perform heat mediated antigen retrieval with Tris/EDTA buffer pH 9.0 before commencing with IHC staining protocol.

Immunohistochemistry (Frozen sections) - Anti-Slow Skeletal Myosin Heavy chain antibody [EPR22697-17] (AB234431)
  • IHC-Fr

Unknown

Immunohistochemistry (Frozen sections) - Anti-Slow Skeletal Myosin Heavy chain antibody [EPR22697-17] (AB234431)

Immunohistochemical analysis of 4% paraformaldehyde-fixed 0.2% Triton X-100 permeabilized rat skeletal muscle tissue labeling Slow Skeletal Myosin Heavy chain using ab234431 at 1/2000 dilution (green), followed by an AlexaFluor®488 Goat anti-Rabbit secondary (ab150077) at 1/1000 dilution. Cytoplasmic staining on the rat skeletal muscle (PMID : 29193153). The nuclear counterstain was DAPI (Blue).

Secondary antibody only control : Used PBS instead of primary antibody, secondary antibody is an AlexaFluor®488 Goat anti-Rabbit secondary (ab150077) at 1/1000 dilution.

Immunohistochemistry (Formalin/PFA-fixed paraffin-embedded sections) - Anti-Slow Skeletal Myosin Heavy chain antibody [EPR22697-17] (AB234431)
  • IHC-P

Unknown

Immunohistochemistry (Formalin/PFA-fixed paraffin-embedded sections) - Anti-Slow Skeletal Myosin Heavy chain antibody [EPR22697-17] (AB234431)

Immunohistochemical analysis of paraffin-embedded mouse cardiac muscle tissue labeling Slow Skeletal Myosin Heavy chain using ab234431 at 1/2000 dilution, followed by a ready to use Rabbit specific IHC polymer detection kit HRP/DAB (ab209101). Cytoplasmic staining on the mouse cardiac muscle (PMID : 22530000). The section was incubated with ab234431 for 30 mins at room temperature. The immunostaining was performed on a Leica Biosystems BOND® RX instrument. Counterstained with hematoxylin.

Secondary antibody only control : Used PBS instead of primary antibody, secondary antibody is a ready to use Rabbit specific IHC polymer detection kit HRP/DAB (ab209101).

Perform heat mediated antigen retrieval with Tris/EDTA buffer pH 9.0 before commencing with IHC staining protocol.

  • Carrier free

    Anti-Slow Skeletal Myosin Heavy chain antibody [EPR22697-17] - BSA and Azide free

Key facts

Host species

Rabbit

Clonality

Monoclonal

Clone number

EPR22697-17

Isotype

IgG

Carrier free

No

Reacts with

Mouse, Rat, Human

Applications

mIHC, IHC-Fr, IHC-P

applications

Immunogen

The exact immunogen used to generate this antibody is proprietary information.

Reactivity data

{ "title": "Reactivity Data", "filters": { "stats": ["", "Species", "Dilution Info", "Notes"], "tabs": { "all-applications": {"fullname" : "All Applications", "shortname": "All Applications"}, "mIHC" : {"fullname" : "Multiplex immunohistochemistry", "shortname":"mIHC"}, "IP" : {"fullname" : "Immunoprecipitation", "shortname":"IP"}, "WB" : {"fullname" : "Western blot", "shortname":"WB"}, "ICCIF" : {"fullname" : "Immunocytochemistry/ Immunofluorescence", "shortname":"ICC/IF"}, "IHCFr" : {"fullname" : "Immunohistochemistry (Frozen sections)", "shortname":"IHC-Fr"}, "IHCP" : {"fullname" : "Immunohistochemistry (Formalin/PFA-fixed paraffin-embedded sections)", "shortname":"IHC-P"} }, "product-promise": { "all": "all", "testedAndGuaranteed": "tested", "guaranteed": "expected", "predicted": "predicted", "notRecommended": "not-recommended" } }, "values": { "Human": { "mIHC-species-checked": "testedAndGuaranteed", "mIHC-species-dilution-info": "1/2500", "mIHC-species-notes": "<p></p> Perform heat-mediated antigen retrieval with Tris/EDTA buffer pH 9.0 before commencing with IHC staining protocol.", "IP-species-checked": "notRecommended", "IP-species-dilution-info": "", "IP-species-notes": "<p></p>", "WB-species-checked": "notRecommended", "WB-species-dilution-info": "", "WB-species-notes": "<p></p>", "ICCIF-species-checked": "notRecommended", "ICCIF-species-dilution-info": "", "ICCIF-species-notes": "<p></p>", "IHCFr-species-checked": "guaranteed", "IHCFr-species-dilution-info": "", "IHCFr-species-notes": "", "IHCP-species-checked": "testedAndGuaranteed", "IHCP-species-dilution-info": "1/2000", "IHCP-species-notes": "<p>Heat mediated antigen retrieval with Tris-EDTA buffer (pH 9.0, epitope retrieval solution 2) for 20 mins.</p> Perform heat-mediated antigen retrieval with Tris/EDTA buffer pH 9.0 before commencing with IHC staining protocol." }, "Mouse": { "mIHC-species-checked": "testedAndGuaranteed", "mIHC-species-dilution-info": "1/2500", "mIHC-species-notes": "<p></p>", "IP-species-checked": "notRecommended", "IP-species-dilution-info": "", "IP-species-notes": "<p></p>", "WB-species-checked": "notRecommended", "WB-species-dilution-info": "", "WB-species-notes": "<p></p>", "ICCIF-species-checked": "notRecommended", "ICCIF-species-dilution-info": "", "ICCIF-species-notes": "<p></p>", "IHCFr-species-checked": "testedAndGuaranteed", "IHCFr-species-dilution-info": "1/200", "IHCFr-species-notes": "<p>Heat mediated antigen retrieval using sodium citrate buffer (10mM citrate pH 6.0 + 0.05% Tween-20)</p>", "IHCP-species-checked": "testedAndGuaranteed", "IHCP-species-dilution-info": "1/2000", "IHCP-species-notes": "<p>Heat mediated antigen retrieval with Tris-EDTA buffer (pH 9.0, epitope retrieval solution 2) for 20 mins.</p> Perform heat-mediated antigen retrieval with Tris/EDTA buffer pH 9.0 before commencing with IHC staining protocol." }, "Rat": { "mIHC-species-checked": "guaranteed", "mIHC-species-dilution-info": "", "mIHC-species-notes": "", "IP-species-checked": "notRecommended", "IP-species-dilution-info": "", "IP-species-notes": "<p></p>", "WB-species-checked": "notRecommended", "WB-species-dilution-info": "", "WB-species-notes": "<p></p>", "ICCIF-species-checked": "notRecommended", "ICCIF-species-dilution-info": "", "ICCIF-species-notes": "<p></p>", "IHCFr-species-checked": "guaranteed", "IHCFr-species-dilution-info": "", "IHCFr-species-notes": "", "IHCP-species-checked": "testedAndGuaranteed", "IHCP-species-dilution-info": "1/2000", "IHCP-species-notes": "<p>Heat mediated antigen retrieval with Tris-EDTA buffer (pH 9.0, epitope retrieval solution 2) for 20 mins.</p> Perform heat-mediated antigen retrieval with Tris/EDTA buffer pH 9.0 before commencing with IHC staining protocol." } } }

Product details

What is this antibody validated in?
Anti-Slow Skeletal Myosin Heavy chain antibody [EPR22697-17] (ab234431) is a rabbit recombinant monoclonal antibody and is validated for use in Immunohistochemistry (IHC-P), Immunohistochemistry (IHC-Fr), Multiplex IHC (mIHC) in Human, Mouse, Rat samples.

Trial sizes available!
Test your antibody or perform pre-screening before committing to a larger quantity. Sold in 10µl. Discover our selection of trial-size antibodies.

Other related products
We have a range of other formats of antibody clone [EPR22697-17] also available for your convenience: ab234431, Carrier free - ab255278

Patented technology
Our RabMAb® technology is a patented hybridoma-based technology for making rabbit monoclonal antibodies. For details on our patents, please refer to RabMAb® patents.

What are the advantages of a recombinant monoclonal antibody?
This product is a recombinant monoclonal antibody, which offers several advantages including:

  • - High batch-to-batch consistency and reproducibility
  • - Improved sensitivity and specificity
  • - Long-term security of supply
  • - Animal-free batch production

For more information, read more on recombinant antibodies.

Properties and storage information

Form
Liquid
Purification technique
Affinity purification Protein A
Storage buffer
pH: 7.2 - 7.4 Preservative: 0.01% Sodium azide Constituents: PBS, 40% Glycerol (glycerin, glycerine), 0.05% BSA
Shipped at conditions
Blue Ice
Appropriate short-term storage duration
1-2 weeks
Appropriate short-term storage conditions
+4°C
Appropriate long-term storage conditions
-20°C
Aliquoting information
Upon delivery aliquot
Storage information
Avoid freeze / thaw cycle

Supplementary information

This supplementary information is collated from multiple sources and compiled automatically.

The slow skeletal myosin heavy chain also known as anti-slow or anti-sluggish is an essential protein component of muscle tissue. This protein is identified as MYH7 chain or type D chain with a molecular mass around 220 kDa. It is predominantly expressed in slow-twitch muscle fibers which are found in skeletal muscles responsible for enduring low-intensity (endurance) activities. Myosin staining techniques often highlight the distribution and density of these fibers in muscle tissues providing insights into fiber-type composition.
Biological function summary

This myosin heavy chain participates in muscle contraction by interacting with actin filaments forming cross-bridges through ATP-dependent mechanisms. As a part of the sarcomeric structure MYH7 works within the thick filament complex contributing to the contractile force of slow-twitch muscles. This particular myosin isoform is important for maintaining muscle stamina and efficiency over prolonged activities providing the necessary mechanical support for the generation of force at a lower contraction speed compared to fast-twitch fibers.

Pathways

The slow skeletal myosin heavy chain is integral to the calcium signaling pathway that regulates muscle contraction. This protein interacts with troponin and tropomyosin to modulate the actin-myosin interaction in a calcium-dependent manner. Additionally it plays a role in the heart muscle contraction pathway linking it to proteins such as actin which is important for cardiac function and rhythmic contraction.

Slow skeletal myosin heavy chain mutations are linked to cardiomyopathy particularly hypertrophic cardiomyopathy and dilated cardiomyopathy. These conditions compromise heart muscle function leading to symptoms such as fatigue and shortness of breath. The MYH7-associated disorder is often observed alongside alterations in other sarcomeric proteins like troponin T which further disrupts muscle contraction and cardiac output. Understanding these connections can aid in developing interventions and treatments for muscle-related diseases.

Product protocols

For this product, it's our understanding that no specific protocols are required. You can visit:

Target data

Myosins are actin-based motor molecules with ATPase activity essential for muscle contraction. Forms regular bipolar thick filaments that, together with actin thin filaments, constitute the fundamental contractile unit of skeletal and cardiac muscle.
See full target information MYH7

Publications (18)

Recent publications for all applications. Explore the full list and refine your search

Animal nutrition (Zhongguo xu mu shou yi xue hui) 22:363-374 PubMed40896477

2025

Indole-3-propionic acid enhances glycolytic myofiber formation in piglets through PI3K-mTOR activation and gut microbiota-driven tryptophan metabolic alteration.

Applications

Unspecified application

Species

Unspecified reactive species

Yezi Kong,Qi Wang,Jing Wang,Xiaoyu Qiu,Yong Yang,Jingbo Liu,Feiyun Yang,Renli Qi

Foods (Basel, Switzerland) 14: PubMed40647060

2025

Effects of Muscle Fiber Composition on Meat Quality, Flavor Characteristics, and Nutritional Traits in Lamb.

Applications

Unspecified application

Species

Unspecified reactive species

Yu Fu,Yang Chen,Xuewen Han,Dandan Tan,Jinlin Chen,Cuiyu Lai,Xiaofan Yang,Xuesong Shan,Luiz H P Silva,Huaizhi Jiang

Stem cell research & therapy 16:336 PubMed40597262

2025

VEGF-B-mediated myofiber types involved in high-fat diet-induced hyperglycemia through PKA-NFATs signaling pathway.

Applications

Unspecified application

Species

Unspecified reactive species

Liu-Liu Shi,Yu-Ting Sun,Jia-Nan Sun,Jing Yue,Wei Chen,Kun Meng,Long Chen,Chang-Qing Hu,Rui Chen,Dong-Sheng Sun,Cheng-Bao Xu,Wei Yuan,Xin-Li Li,Dan Zhao,Yan Wu,Shi-Bing Xi,Xiao-Ying Zhao,Jun-Ming Tang

International journal of biological sciences 21:3444-3460 PubMed40520025

2025

Endothelial SIRT3 deficiency predisposes brown adipose tissue to whitening in diet-induced obesity.

Applications

Unspecified application

Species

Unspecified reactive species

Qing Zhou,Zongshi Lu,Bowen Wang,Yuyan Wang,Li Li,Mei You,Lijuan Wang,Tingbing Cao,Dan Tong,Jie Xiang,Yu Zhao,Qiang Li,Aidi Mou,Wentao Shu,Hongbo He,Zhigang Zhao,Daoyan Liu,Zhiming Zhu,Peng Gao,Zhencheng Yan

Journal of cachexia, sarcopenia and muscle 16:e13752 PubMed40079370

2025

snRNA-Seq and Spatial Transcriptome Reveal Cell-Cell Crosstalk Mediated Metabolic Regulation in Porcine Skeletal Muscle.

Applications

Unspecified application

Species

Unspecified reactive species

Liu Guo,Mengmeng Han,Junfei Xu,Wenyue Zhou,Hanjing Shi,Sisi Chen,Weijun Pang,Xing Zhang,Yehui Duan,Yulong Yin,Fengna Li

Journal of cachexia, sarcopenia and muscle 16:e13717 PubMed39871746

2025

Aptamer-Conjugated Exosomes Ameliorate Diabetes-Induced Muscle Atrophy by Enhancing SIRT1/FoxO1/3a-Mediated Mitochondrial Function.

Applications

Unspecified application

Species

Unspecified reactive species

Jia Song,Mengmeng Yang,Longqing Xia,Liming Wang,Kewei Wang,Yingyue Xiang,Jun Cheng,Jun Chen,Jidong Liu,Ruxing Zhao,Fuqiang Liu,Zheng Sun,Xinguo Hou,Nan Zang,Li Chen

International journal of molecular sciences 25: PubMed39596480

2024

SMN Deficiency Induces an Early Non-Atrophic Myopathy with Alterations in the Contractile and Excitatory Coupling Machinery of Skeletal Myofibers in the SMN∆7 Mouse Model of Spinal Muscular Atrophy.

Applications

Unspecified application

Species

Unspecified reactive species

María T Berciano,Alaó Gatius,Alba Puente-Bedia,Alexis Rufino-Gómez,Olga Tarabal,José C Rodríguez-Rey,Jordi Calderó,Miguel Lafarga,Olga Tapia

PloS one 19:e0303833 PubMed38768175

2024

Ninjin'yoeito reduces fatigue-like conditions by alleviating inflammation of the brain and skeletal muscles in aging mice.

Applications

Unspecified application

Species

Unspecified reactive species

Shotaro Otsuka,Ryoma Matsuzaki,Shogo Kakimoto,Yuta Tachibe,Takuya Kawatani,Seiya Takada,Akira Tani,Kazuki Nakanishi,Teruki Matsuoka,Yuki Kato,Masaki Inadome,Nao Nojima,Harutoshi Sakakima,Keita Mizuno,Yosuke Matsubara,Ikuro Maruyama

Frontiers in aging 5:1351860 PubMed38487591

2024

Dietary pyrroloquinoline quinone hinders aging progression in male mice and D-galactose-induced cells.

Applications

Unspecified application

Species

Unspecified reactive species

Nur Syafiqah Mohamad Ishak,Midori Kikuchi,Kazuto Ikemoto

Journal of animal science and biotechnology 14:141 PubMed37919760

2023

Single-base editing in IGF2 improves meat production and intramuscular fat deposition in Liang Guang Small Spotted pigs.

Applications

Unspecified application

Species

Unspecified reactive species

Tianqi Duo,Xiaohong Liu,Delin Mo,Yu Bian,Shufang Cai,Min Wang,Ruiqiang Li,Qi Zhu,Xian Tong,Ziyun Liang,Weilun Jiang,Shiyi Chen,Yaosheng Chen,Zuyong He
View all publications

Product promise

We are committed to supporting your work with high-quality reagents, and we're here for you every step of the way. In the unlikely event that one of our products does not perform as expected, you're protected by our Product Promise.
For full details, please see our Terms & Conditions

Please note: All products are 'FOR RESEARCH USE ONLY. NOT FOR USE IN DIAGNOSTIC OR THERAPEUTIC PROCEDURES'.

For licensing inquiries, please contact partnerships@abcam.com