JavaScript is disabled in your browser. Please enable JavaScript to view this website.
AB255278

Anti-Slow Skeletal Myosin Heavy chain antibody [EPR22697-17] - BSA and Azide free

  • BOND RX™ Validated
  • Recombinant
  • Advanced Validation
  • RabMAb
  • What is this?

Be the first to review this product! Submit a review

|

(0 Publication)

Rabbit Recombinant Monoclonal MYH7 antibody. Carrier free. Suitable for mIHC, IHC-Fr, IHC-P and reacts with Mouse, Human, Rat samples.

View Alternative Names

MYHCB, MYH7, Myosin-7, Myosin heavy chain 7, Myosin heavy chain slow isoform, MyHC-slow, MyHC-beta

9 Images
Immunohistochemistry (Formalin/PFA-fixed paraffin-embedded sections) - Anti-Slow Skeletal Myosin Heavy chain antibody [EPR22697-17] - BSA and Azide free (AB255278)
  • IHC-P

Unknown

Immunohistochemistry (Formalin/PFA-fixed paraffin-embedded sections) - Anti-Slow Skeletal Myosin Heavy chain antibody [EPR22697-17] - BSA and Azide free (AB255278)

Immunohistochemical analysis of paraffin-embedded human skeletal muscle tissue labeling Slow Skeletal Myosin Heavy chain using ab234431 at 1/2000 dilution, followed by a ready to use Rabbit specific IHC polymer detection kit HRP/DAB (ab209101). Cytoplasmic staining on the human skeletal muscle (PMID : 22530000). The section was incubated with ab234431 for 30 mins at room temperature. The immunostaining was performed on a Leica Biosystems BOND® RX instrument. Counterstained with hematoxylin.

Secondary antibody only control : Used PBS instead of primary antibody, secondary antibody is a ready to use Rabbit specific IHC polymer detection kit HRP/DAB (ab209101).

This data was developed using the same antibody clone in a different buffer formulation containing PBS, BSA, glycerol, and sodium azide (ab234431).

Perform heat mediated antigen retrieval with Tris/EDTA buffer pH 9.0 before commencing with IHC staining protocol.

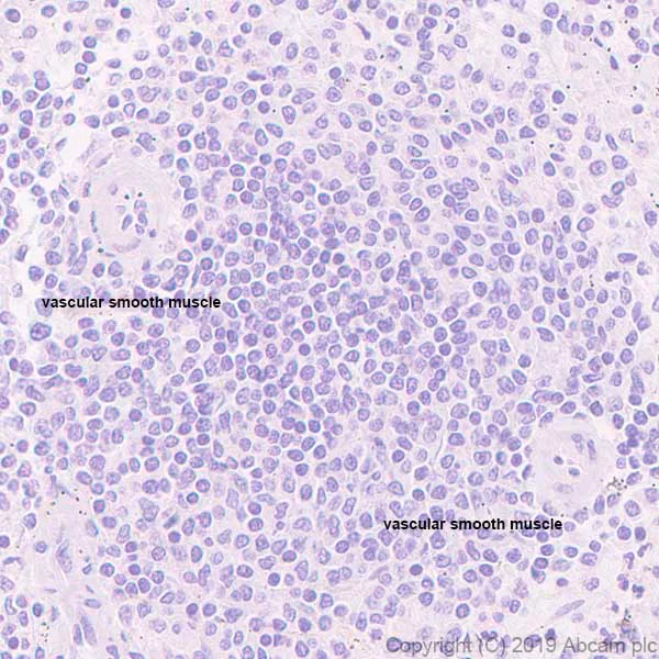
Immunohistochemistry (Formalin/PFA-fixed paraffin-embedded sections) - Anti-Slow Skeletal Myosin Heavy chain antibody [EPR22697-17] - BSA and Azide free (AB255278)
  • IHC-P

Unknown

Immunohistochemistry (Formalin/PFA-fixed paraffin-embedded sections) - Anti-Slow Skeletal Myosin Heavy chain antibody [EPR22697-17] - BSA and Azide free (AB255278)

Immunohistochemical analysis of paraffin-embedded human spleen tissue labeling Slow Skeletal Myosin Heavy chain using ab234431 at 1/2000 dilution, followed by a ready to use Rabbit specific IHC polymer detection kit HRP/DAB (ab209101). Negative staining on the smooth muscle in the human spleen (PMID : 22530000). The section was incubated with ab234431 for 30 mins at room temperature. The immunostaining was performed on a Leica Biosystems BOND® RX instrument. Counterstained with hematoxylin.

Secondary antibody only control : Used PBS instead of primary antibody, secondary antibody is a ready to use Rabbit specific IHC polymer detection kit HRP/DAB (ab209101).

This data was developed using the same antibody clone in a different buffer formulation containing PBS, BSA, glycerol, and sodium azide (ab234431).

Perform heat mediated antigen retrieval with Tris/EDTA buffer pH 9.0 before commencing with IHC staining protocol.

Multiplex immunohistochemistry - Anti-Slow Skeletal Myosin Heavy chain antibody [EPR22697-17] - BSA and Azide free (AB255278)
  • mIHC

Supplier Data

Multiplex immunohistochemistry - Anti-Slow Skeletal Myosin Heavy chain antibody [EPR22697-17] - BSA and Azide free (AB255278)

Fluorescence multiplex immunohistochemical analysis of the human skeletal muscle (Formalin/PFA-fixed paraffin-embedded sections). Panel A : merged staining of anti-delta Sarcoglycan (ab137101, green; Opal™690), anti-Fast Myosin Skeletal Heavy chain + MYH4 (ab221149, magenta; Opal™520) and anti-Slow Skeletal Myosin Heavy chain (ab234431, red; Opal™570) on human skeletal muscle. Panel B : anti-Fast Myosin Skeletal Heavy chain + MYH4 stained on fast type fibers. Panel C : anti-Slow Skeletal Myosin Heavy chain stained on slow type fibers. Panel D : anti-delta Sarcoglycan stained on membrane of skeletal muscle. Opal Polymer HRP Ms + Rb was used as a secondary antibody. The section was incubated in three rounds of staining : in the order of ab137101 at 1/1000 (1.043 μg/ml), ab221149 at 1/1000 (0.505 μg/ml, and ab234431 at 1/4000 (0.255 μg/ml) for 30 mins at room temperature. Each round was followed by a separate fluorescent tyramide signal amplification system. DAPI (blue) was used as a nuclear counter stain. The immunostaining was performed on a Leica Biosystems BOND® RX instrument with an Opal™ 4-color kit. Image acquisition was performed with Leica SP8 confocal microscope. Heat mediated antigen retrieval with Tris-EDTA buffer (pH 9.0, epitope retrieval solution2) for 20 mins. This data was developed using the same antibody clone in a different buffer formulation containing PBS, BSA, glycerol, and sodium azide (ab234431).

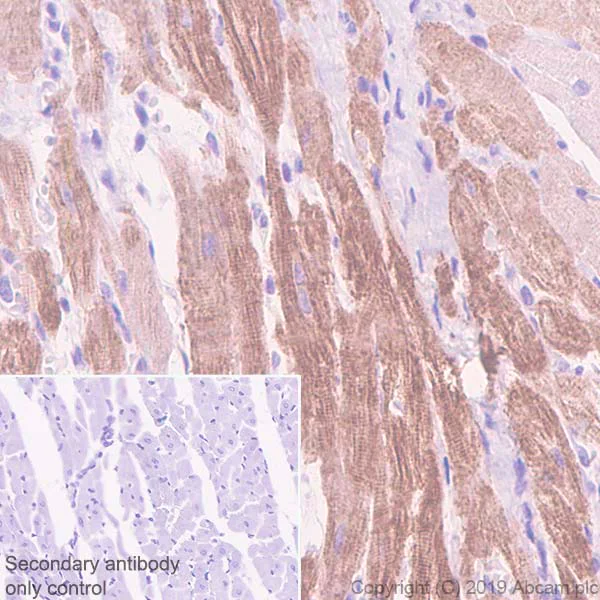
Immunohistochemistry (Formalin/PFA-fixed paraffin-embedded sections) - Anti-Slow Skeletal Myosin Heavy chain antibody [EPR22697-17] - BSA and Azide free (AB255278)
  • IHC-P

Unknown

Immunohistochemistry (Formalin/PFA-fixed paraffin-embedded sections) - Anti-Slow Skeletal Myosin Heavy chain antibody [EPR22697-17] - BSA and Azide free (AB255278)

Immunohistochemical analysis of paraffin-embedded human cardiac muscle tissue labeling Slow Skeletal Myosin Heavy chain using ab234431 at 1/2000 dilution, followed by a ready to use Rabbit specific IHC polymer detection kit HRP/DAB (ab209101). Cytoplasmic staining on the human cardiac muscle (PMID : 22530000). The section was incubated with ab234431 for 30 mins at room temperature. The immunostaining was performed on a Leica Biosystems BOND® RX instrument. Counterstained with hematoxylin.

Secondary antibody only control : Used PBS instead of primary antibody, secondary antibody is a ready to use Rabbit specific IHC polymer detection kit HRP/DAB (ab209101).

This data was developed using the same antibody clone in a different buffer formulation containing PBS, BSA, glycerol, and sodium azide (ab234431).

Perform heat mediated antigen retrieval with Tris/EDTA buffer pH 9.0 before commencing with IHC staining protocol.

Immunohistochemistry (Frozen sections) - Anti-Slow Skeletal Myosin Heavy chain antibody [EPR22697-17] - BSA and Azide free (AB255278)
  • IHC-Fr

Unknown

Immunohistochemistry (Frozen sections) - Anti-Slow Skeletal Myosin Heavy chain antibody [EPR22697-17] - BSA and Azide free (AB255278)

Immunohistochemical analysis of 4% paraformaldehyde-fixed 0.2% Triton X-100 permeabilized mouse skeletal muscle tissue labeling Slow Skeletal Myosin Heavy chain using ab234431 at 1/2000 dilution (green), followed by an AlexaFluor®488 Goat anti-Rabbit secondary (ab150077) at 1/1000 dilution. Cytoplasmic staining on the mouse skeletal muscle (PMID : 29193153). The nuclear counterstain was DAPI (Blue).

Secondary antibody only control : Used PBS instead of primary antibody, secondary antibody is an AlexaFluor®488 Goat anti-Rabbit secondary (ab150077) at 1/1000 dilution.

This data was developed using the same antibody clone in a different buffer formulation containing PBS, BSA, glycerol, and sodium azide (ab234431).

Multiplex immunohistochemistry - Anti-Slow Skeletal Myosin Heavy chain antibody [EPR22697-17] - BSA and Azide free (AB255278)
  • mIHC

Lab

Multiplex immunohistochemistry - Anti-Slow Skeletal Myosin Heavy chain antibody [EPR22697-17] - BSA and Azide free (AB255278)

This data was developed using ab234431 the same antibody clone in a different buffer formulation.

Multiplex immunohistochemistry analysis of formalin/PFA-fixed paraffin-embedded Mouse skeletal muscle tissue staining Slow Skeletal Myosin Heavy chain with ab234431 at a 1/2500 dilution, A2BP1 with ab254413 at 1/2000 (0.26 µg/ml) dilution and Dystrophin with ab218198 at 1/5000 ( 0.110 µg/ml) dilution.

Panel A : merged staining of anti-Slow Skeletal Myosin Heavy chain (green; Opal™520), anti-A2BP1 (gray; Opal™570) and anti-Dystrophin (magenta; Opal™690) on mouse skeletal muscle.
Panel B : anti-Slow Skeletal Myosin Heavy chain staining slow type fibers in mouse skeletal muscle.
Panel C : anti-A2BP1 staining nucleus in mouse skeletal muscle.
Panel D : anti-Dystrophin staining membrane in mouse skeletal muscle.
Nuclear DNA was labeled with DAPI (shown in blue).

The section was incubated in three rounds of staining : in the order of ab234431, ab254413 and ab218198 for 30 mins at room temperature. Each round was followed by a separate fluorescent tyramide signal amplification system.

The immunostaining was performed on a Leica Biosystems BOND® RX instrument with an Opal™ 4-color kit. Image acquisition was performed with Leica SP8 confocal microscope.

Heat mediated antigen retrieval with Tris-EDTA buffer (pH 9.0 epitope retrieval solution2) for 20 mins.

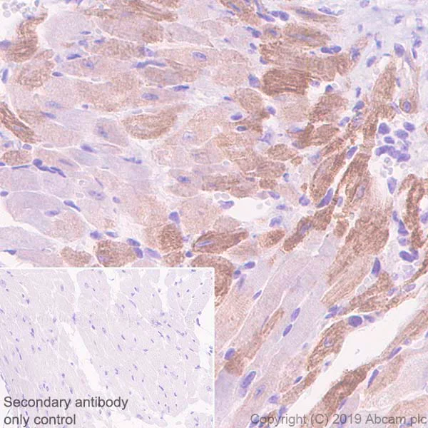
Immunohistochemistry (Formalin/PFA-fixed paraffin-embedded sections) - Anti-Slow Skeletal Myosin Heavy chain antibody [EPR22697-17] - BSA and Azide free (AB255278)
  • IHC-P

Unknown

Immunohistochemistry (Formalin/PFA-fixed paraffin-embedded sections) - Anti-Slow Skeletal Myosin Heavy chain antibody [EPR22697-17] - BSA and Azide free (AB255278)

Immunohistochemical analysis of paraffin-embedded rat cardiac muscle tissue labeling Slow Skeletal Myosin Heavy chain using ab234431 at 1/2000 dilution, followed by a ready to use Rabbit specific IHC polymer detection kit HRP/DAB (ab209101). Cytoplasmic staining on the rat cardiac muscle (PMID : 22530000). The section was incubated with ab234431 for 30 mins at room temperature. The immunostaining was performed on a Leica Biosystems BOND® RX instrument. Counterstained with hematoxylin.

Secondary antibody only control : Used PBS instead of primary antibody, secondary antibody is a ready to use Rabbit specific IHC polymer detection kit HRP/DAB (ab209101).

This data was developed using the same antibody clone in a different buffer formulation containing PBS, BSA, glycerol, and sodium azide (ab234431).

Perform heat mediated antigen retrieval with Tris/EDTA buffer pH 9.0 before commencing with IHC staining protocol.

Immunohistochemistry (Frozen sections) - Anti-Slow Skeletal Myosin Heavy chain antibody [EPR22697-17] - BSA and Azide free (AB255278)
  • IHC-Fr

Unknown

Immunohistochemistry (Frozen sections) - Anti-Slow Skeletal Myosin Heavy chain antibody [EPR22697-17] - BSA and Azide free (AB255278)

Immunohistochemical analysis of 4% paraformaldehyde-fixed 0.2% Triton X-100 permeabilized rat skeletal muscle tissue labeling Slow Skeletal Myosin Heavy chain using ab234431 at 1/2000 dilution (green), followed by an AlexaFluor®488 Goat anti-Rabbit secondary (ab150077) at 1/1000 dilution. Cytoplasmic staining on the rat skeletal muscle (PMID : 29193153). The nuclear counterstain was DAPI (Blue).

Secondary antibody only control : Used PBS instead of primary antibody, secondary antibody is an AlexaFluor®488 Goat anti-Rabbit secondary (ab150077) at 1/1000 dilution.

This data was developed using the same antibody clone in a different buffer formulation containing PBS, BSA, glycerol, and sodium azide (ab234431).

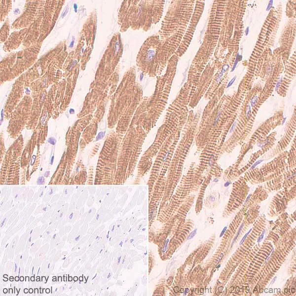
Immunohistochemistry (Formalin/PFA-fixed paraffin-embedded sections) - Anti-Slow Skeletal Myosin Heavy chain antibody [EPR22697-17] - BSA and Azide free (AB255278)
  • IHC-P

Unknown

Immunohistochemistry (Formalin/PFA-fixed paraffin-embedded sections) - Anti-Slow Skeletal Myosin Heavy chain antibody [EPR22697-17] - BSA and Azide free (AB255278)

Immunohistochemical analysis of paraffin-embedded mouse cardiac muscle tissue labeling Slow Skeletal Myosin Heavy chain using ab234431 at 1/2000 dilution, followed by a ready to use Rabbit specific IHC polymer detection kit HRP/DAB (ab209101). Cytoplasmic staining on the mouse cardiac muscle (PMID : 22530000). The section was incubated with ab234431 for 30 mins at room temperature. The immunostaining was performed on a Leica Biosystems BOND® RX instrument. Counterstained with hematoxylin.

Secondary antibody only control : Used PBS instead of primary antibody, secondary antibody is a ready to use Rabbit specific IHC polymer detection kit HRP/DAB (ab209101).

This data was developed using the same antibody clone in a different buffer formulation containing PBS, BSA, glycerol, and sodium azide (ab234431).

Perform heat mediated antigen retrieval with Tris/EDTA buffer pH 9.0 before commencing with IHC staining protocol.

Key facts

Host species

Rabbit

Clonality

Monoclonal

Clone number

EPR22697-17

Isotype

IgG

Carrier free

Yes

Reacts with

Mouse, Rat, Human

Applications

mIHC, IHC-Fr, IHC-P

applications

Immunogen

The exact immunogen used to generate this antibody is proprietary information.

Reactivity data

{ "title": "Reactivity Data", "filters": { "stats": ["", "Species", "Dilution Info", "Notes"], "tabs": { "all-applications": {"fullname" : "All Applications", "shortname": "All Applications"}, "mIHC" : {"fullname" : "Multiplex immunohistochemistry", "shortname":"mIHC"}, "IP" : {"fullname" : "Immunoprecipitation", "shortname":"IP"}, "WB" : {"fullname" : "Western blot", "shortname":"WB"}, "ICCIF" : {"fullname" : "Immunocytochemistry/ Immunofluorescence", "shortname":"ICC/IF"}, "IHCFr" : {"fullname" : "Immunohistochemistry (Frozen sections)", "shortname":"IHC-Fr"}, "IHCP" : {"fullname" : "Immunohistochemistry (Formalin/PFA-fixed paraffin-embedded sections)", "shortname":"IHC-P"} }, "product-promise": { "all": "all", "testedAndGuaranteed": "tested", "guaranteed": "expected", "predicted": "predicted", "notRecommended": "not-recommended" } }, "values": { "Human": { "mIHC-species-checked": "testedAndGuaranteed", "mIHC-species-dilution-info": "", "mIHC-species-notes": "<p></p>", "IP-species-checked": "notRecommended", "IP-species-dilution-info": "", "IP-species-notes": "<p></p>", "WB-species-checked": "notRecommended", "WB-species-dilution-info": "", "WB-species-notes": "<p></p>", "ICCIF-species-checked": "notRecommended", "ICCIF-species-dilution-info": "", "ICCIF-species-notes": "<p></p>", "IHCFr-species-checked": "guaranteed", "IHCFr-species-dilution-info": "", "IHCFr-species-notes": "", "IHCP-species-checked": "testedAndGuaranteed", "IHCP-species-dilution-info": "", "IHCP-species-notes": "<p>Heat mediated antigen retrieval with Tris-EDTA buffer (pH 9.0, epitope retrieval solution 2) for 20 mins.</p>" }, "Mouse": { "mIHC-species-checked": "testedAndGuaranteed", "mIHC-species-dilution-info": "", "mIHC-species-notes": "<p></p>", "IP-species-checked": "notRecommended", "IP-species-dilution-info": "", "IP-species-notes": "<p></p>", "WB-species-checked": "notRecommended", "WB-species-dilution-info": "", "WB-species-notes": "<p></p>", "ICCIF-species-checked": "notRecommended", "ICCIF-species-dilution-info": "", "ICCIF-species-notes": "<p></p>", "IHCFr-species-checked": "testedAndGuaranteed", "IHCFr-species-dilution-info": "", "IHCFr-species-notes": "<p>Heat mediated antigen retrieval using sodium citrate buffer (10mM citrate pH 6.0 + 0.05% Tween-20)</p>", "IHCP-species-checked": "testedAndGuaranteed", "IHCP-species-dilution-info": "", "IHCP-species-notes": "<p>Heat mediated antigen retrieval with Tris-EDTA buffer (pH 9.0, epitope retrieval solution 2) for 20 mins.</p>" }, "Rat": { "mIHC-species-checked": "guaranteed", "mIHC-species-dilution-info": "", "mIHC-species-notes": "", "IP-species-checked": "notRecommended", "IP-species-dilution-info": "", "IP-species-notes": "<p></p>", "WB-species-checked": "notRecommended", "WB-species-dilution-info": "", "WB-species-notes": "<p></p>", "ICCIF-species-checked": "notRecommended", "ICCIF-species-dilution-info": "", "ICCIF-species-notes": "<p></p>", "IHCFr-species-checked": "testedAndGuaranteed", "IHCFr-species-dilution-info": "", "IHCFr-species-notes": "<p>Heat mediated antigen retrieval using sodium citrate buffer (10mM citrate pH 6.0 + 0.05% Tween-20)</p>", "IHCP-species-checked": "testedAndGuaranteed", "IHCP-species-dilution-info": "", "IHCP-species-notes": "<p>Heat mediated antigen retrieval with Tris-EDTA buffer (pH 9.0, epitope retrieval solution 2) for 20 mins.</p>" } } }

Product details

ab255278 is the carrier-free version of ab234431.

Conjugation ready
Our carrier-free antibodies are typically supplied in a PBS-only formulation, purified and free of BSA, sodium azide and glycerol. This conjugation-ready format is designed for use with fluorochromes, metal isotopes, oligonucleotides, and enzymes, which makes them ideal for antibody labelling, functional and cell-based assays, flow-based assays (e.g. mass cytometry) and Multiplex Imaging applications.

Use our conjugation kits for antibody conjugates that are ready-to-use in as little as 20 minutes with 1 minute hands-on-time and 100% antibody recovery: available for fluorescent dyes, HRP, biotin and gold.

Compatibility
This product is compatible with the Maxpar® Antibody Labeling Kit from Fluidigm, without the need for antibody preparation. Maxpar® is a trademark of Fluidigm Canada Inc.

Properties and storage information

Form
Liquid
Purification technique
Affinity purification Protein A
Storage buffer
pH: 7.2 - 7.4 Constituents: PBS
Shipped at conditions
Blue Ice
Appropriate short-term storage conditions
+4°C
Appropriate long-term storage conditions
+4°C
Storage information
Do Not Freeze

Supplementary information

This supplementary information is collated from multiple sources and compiled automatically.

The slow skeletal myosin heavy chain also known as anti-slow or anti-sluggish is an essential protein component of muscle tissue. This protein is identified as MYH7 chain or type D chain with a molecular mass around 220 kDa. It is predominantly expressed in slow-twitch muscle fibers which are found in skeletal muscles responsible for enduring low-intensity (endurance) activities. Myosin staining techniques often highlight the distribution and density of these fibers in muscle tissues providing insights into fiber-type composition.
Biological function summary

This myosin heavy chain participates in muscle contraction by interacting with actin filaments forming cross-bridges through ATP-dependent mechanisms. As a part of the sarcomeric structure MYH7 works within the thick filament complex contributing to the contractile force of slow-twitch muscles. This particular myosin isoform is important for maintaining muscle stamina and efficiency over prolonged activities providing the necessary mechanical support for the generation of force at a lower contraction speed compared to fast-twitch fibers.

Pathways

The slow skeletal myosin heavy chain is integral to the calcium signaling pathway that regulates muscle contraction. This protein interacts with troponin and tropomyosin to modulate the actin-myosin interaction in a calcium-dependent manner. Additionally it plays a role in the heart muscle contraction pathway linking it to proteins such as actin which is important for cardiac function and rhythmic contraction.

Slow skeletal myosin heavy chain mutations are linked to cardiomyopathy particularly hypertrophic cardiomyopathy and dilated cardiomyopathy. These conditions compromise heart muscle function leading to symptoms such as fatigue and shortness of breath. The MYH7-associated disorder is often observed alongside alterations in other sarcomeric proteins like troponin T which further disrupts muscle contraction and cardiac output. Understanding these connections can aid in developing interventions and treatments for muscle-related diseases.

Product protocols

For this product, it's our understanding that no specific protocols are required. You can visit:

Target data

Myosins are actin-based motor molecules with ATPase activity essential for muscle contraction. Forms regular bipolar thick filaments that, together with actin thin filaments, constitute the fundamental contractile unit of skeletal and cardiac muscle.
See full target information MYH7

Product promise

We are committed to supporting your work with high-quality reagents, and we're here for you every step of the way. In the unlikely event that one of our products does not perform as expected, you're protected by our Product Promise.
For full details, please see our Terms & Conditions

Please note: All products are 'FOR RESEARCH USE ONLY. NOT FOR USE IN DIAGNOSTIC OR THERAPEUTIC PROCEDURES'.

For licensing inquiries, please contact partnerships@abcam.com