JavaScript is disabled in your browser. Please enable JavaScript to view this website.
AB8114

Anti-Smac/Diablo antibody

Be the first to review this product! Submit a review

|

(10 Publications)

Rabbit Polyclonal Smac/Diablo antibody. Suitable for WB, IHC-P and reacts with Mouse, Human samples. Cited in 10 publications. Immunogen corresponding to Synthetic Peptide within Human DIABLO aa 200 to C-terminus.

View Alternative Names

SMAC, DIABLO, Diablo IAP-binding mitochondrial protein, Direct IAP-binding protein with low pI, Second mitochondria-derived activator of caspases

4 Images
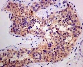
Immunohistochemistry (Formalin/PFA-fixed paraffin-embedded sections) - Anti-Smac/Diablo antibody (AB8114)
  • IHC-P

Supplier Data

Immunohistochemistry (Formalin/PFA-fixed paraffin-embedded sections) - Anti-Smac/Diablo antibody (AB8114)

Immunohistochemical analysis of paraffin-embedded human ovary tissue with ab8114 at 5 μg/mL. Sections were fixed with formaldehyde and blocked with 10% serum for 1 h at RT; antigen retrieval was by heat mediation with a citrate buffer (pH6). Samples were incubated with primary antibody overnight at 4˚C. A goat anti-rabbit IgG H&L (HRP) at 1/250 was used as secondary. Counter stained with Hematoxylin.

Western blot - Anti-Smac/Diablo antibody (AB8114)
  • WB

Supplier Data

Western blot - Anti-Smac/Diablo antibody (AB8114)

All lanes:

Western blot - Anti-Smac/Diablo antibody (ab8114) at 1 µg/mL

All lanes:

NIH3T3 cell lysate at 15 µg

Secondary

All lanes:

Goat anti-rabbit IgG HRP conjugate at 1/10000 dilution

Predicted band size: 27 kDa

false

Western blot - Anti-Smac/Diablo antibody (AB8114)
  • WB

Supplier Data

Western blot - Anti-Smac/Diablo antibody (AB8114)

All lanes : Anti-Smac / Diablo antibody (ab8114) at 1 μg/mL, 1h incubation at RT in 5% NFM/TBST.

Loading : 15 μg of lysates per lane.

Secondary : Goat anti-rabbit IgG HRP conjugate at 1/10000 dilution.

All lanes:

Western blot - Anti-Smac/Diablo antibody (ab8114)

Predicted band size: 27 kDa

false

Western blot - Anti-Smac/Diablo antibody (AB8114)
  • WB

Unknown

Western blot - Anti-Smac/Diablo antibody (AB8114)

All lanes:

Western blot - Anti-Smac/Diablo antibody (ab8114) at 1 µg/mL

Lane 1:

human heart tissue lysate with absence of blocking peptide

Lane 2:

human heart tissue lysate with Smac / Diablo peptide (<a href='/en-us/products/unavailable/smac-diablo-peptide-ab8380'>ab8380</a>)

Predicted band size: 27 kDa

Observed band size: 25 kDa

false

Key facts

Host species

Rabbit

Clonality

Polyclonal

Isotype

IgG

Carrier free

No

Reacts with

Mouse, Human

Applications

IHC-P, WB

applications

Immunogen

Synthetic Peptide within Human DIABLO aa 200 to C-terminus. The exact immunogen used to generate this antibody is proprietary information.

Q9NR28

Reactivity data

{ "title": "Reactivity Data", "filters": { "stats": ["", "Species", "Dilution Info", "Notes"], "tabs": { "all-applications": {"fullname" : "All Applications", "shortname": "All Applications"}, "WB" : {"fullname" : "Western blot", "shortname":"WB"}, "IHCP" : {"fullname" : "Immunohistochemistry (Formalin/PFA-fixed paraffin-embedded sections)", "shortname":"IHC-P"} }, "product-promise": { "all": "all", "testedAndGuaranteed": "tested", "guaranteed": "expected", "predicted": "predicted", "notRecommended": "not-recommended" } }, "values": { "Human": { "WB-species-checked": "testedAndGuaranteed", "WB-species-dilution-info": "0.5-1 µg/mL", "WB-species-notes": "<p></p>", "IHCP-species-checked": "testedAndGuaranteed", "IHCP-species-dilution-info": "5 µg/mL", "IHCP-species-notes": "<p></p>" }, "Mouse": { "WB-species-checked": "testedAndGuaranteed", "WB-species-dilution-info": "0.5-1 µg/mL", "WB-species-notes": "<p></p>", "IHCP-species-checked": "guaranteed", "IHCP-species-dilution-info": "", "IHCP-species-notes": "" } } }

Properties and storage information

Form
Liquid
Purification technique
Affinity purification DEAE-C
Purification notes
Smac Antibody is affinity chromatography purified via peptide column.
Storage buffer
pH: 7.2 Preservative: 0.02% Sodium azide
Shipped at conditions
Blue Ice
Appropriate short-term storage duration
1-2 weeks
Appropriate short-term storage conditions
+4°C
Appropriate long-term storage conditions
-20°C
Aliquoting information
Upon delivery aliquot
Storage information
Avoid freeze / thaw cycle|Stable for 12 months at -20°C

Supplementary information

This supplementary information is collated from multiple sources and compiled automatically.

Smac/Diablo is a mitochondrial protein that promotes apoptosis by interfering with inhibitor of apoptosis proteins (IAPs). The protein also known as Second Mitochondria-derived Activator of Caspases weighs approximately 27 kDa. Researchers detect Smac/Diablo in various tissues with higher expression levels in organs like the heart and brain. This protein's expression also varies depending on the cell's state and external stimuli.
Biological function summary

Smac/Diablo plays a significant role in programmed cell death by binding to IAPs and negating their inhibition of caspases the key executors of apoptosis. Smac/Diablo releases from mitochondria into the cytosol when apoptotic signals activate. It does not form complexes but interacts with IAPs facilitating the activation of caspases and enhancing the apoptotic response. Its interaction with IAPs highlights its important function in apoptosis regulation.

Pathways

Smac/Diablo integrates into the mitochondrial apoptosis pathway contributing to the intrinsic pathway of apoptosis. It closely interacts with proteins such as caspases and IAPs. This integration is important for apoptosis regulation linking mitochondrial outer membrane permeabilization with the activation of caspases. Additionally the protein engages in the cytochrome c pathway promoting apoptosis by restricting IAPs and aiding in the release of cytochrome c important for apoptosis progression.

Researchers associate Smac/Diablo with cancer and neurodegenerative diseases like Alzheimer's disease. In cancer elevated Smac/Diablo levels can result in increased apoptotic death of cancerous cells potentially serving as a target for therapy. It also interacts with proteins like XIAP in these disease contexts. In neurodegenerative disorders dysregulation of apoptosis pathways involving Smac/Diablo might contribute to excessive neuronal cell death. Understanding Smac/Diablo's role in these diseases provides insights into possible therapeutic interventions.

Product protocols

For this product, it's our understanding that no specific protocols are required. You can visit:

Target data

Promotes apoptosis by activating caspases in the cytochrome c/Apaf-1/caspase-9 pathway. Acts by opposing the inhibitory activity of inhibitor of apoptosis proteins (IAP). Inhibits the activity of BIRC6/BRUCE by inhibiting its binding to caspases (PubMed : 15200957, PubMed : 36758104, PubMed : 36758105, PubMed : 36758106).. Isoform 3. Attenuates the stability and apoptosis-inhibiting activity of XIAP/BIRC4 by promoting XIAP/BIRC4 ubiquitination and degradation through the ubiquitin-proteasome pathway. Also disrupts XIAP/BIRC4 interacting with processed caspase-9 and promotes caspase-3 activation.. Isoform 1. Defective in the capacity to down-regulate the XIAP/BIRC4 abundance.
See full target information DIABLO

Publications (10)

Recent publications for all applications. Explore the full list and refine your search

eLife 12: PubMed37129366

2023

Mitochondrial protein import clogging as a mechanism of disease.

Applications

Unspecified application

Species

Unspecified reactive species

Liam P Coyne,Xiaowen Wang,Jiyao Song,Ebbing de Jong,Karin Schneider,Paul T Massa,Frank A Middleton,Thomas Becker,Xin Jie Chen

iScience 25:103715 PubMed35072007

2022

Cytosolic adaptation to mitochondria-induced proteostatic stress causes progressive muscle wasting.

Applications

Unspecified application

Species

Unspecified reactive species

Xiaowen Wang,Frank A Middleton,Rabi Tawil,Xin Jie Chen

The Journal of biological chemistry 295:3029-3039 PubMed31996372

2020

Alternative splicing of the bicistronic gene molybdenum cofactor synthesis 1 () uncovers a novel mitochondrial protein maturation mechanism.

Applications

Unspecified application

Species

Unspecified reactive species

Simon J Mayr,Juliane Röper,Guenter Schwarz

BioMed research international 2019:2035682 PubMed31737654

2019

Sodium Selenite Accentuates the Therapeutic Effect of Adriamycin Prodrug (PADM) against Gastric Cancer.

Applications

Unspecified application

Species

Unspecified reactive species

Shengquan Tan,Jiapeng Mo,Zixiong Zhang,Chuying Huang,Yi Zou,Jianhua Sun

Molecular biology of the cell 30:1272-1284 PubMed30893019

2019

Mitochondrial carrier protein overloading and misfolding induce aggresomes and proteostatic adaptations in the cytosol.

Applications

Unspecified application

Species

Unspecified reactive species

Yaxin Liu,Xiaowen Wang,Liam P Coyne,Yuan Yang,Yue Qi,Frank A Middleton,Xin Jie Chen

The American journal of Chinese medicine 47:39-61 PubMed30612456

2019

Ferulic Acid Exerts Anti-apoptotic Effects against Ischemic Injury by Activating HSP70/Bcl-2- and HSP70/Autophagy-Mediated Signaling after Permanent Focal Cerebral Ischemia in Rats.

Applications

Unspecified application

Species

Unspecified reactive species

Chin-Yi Cheng,Shung-Te Kao,Yu-Chen Lee

Oncology reports 41:67-76 PubMed30365143

2018

Gemcitabine combined with an engineered oncolytic vaccinia virus exhibits a synergistic suppressive effect on the tumor growth of pancreatic cancer.

Applications

Unspecified application

Species

Unspecified reactive species

Wanyuan Chen,Weimin Fan,Guoqing Ru,Fang Huang,Xiaming Lu,Xin Zhang,Xiaozhou Mou,Shibing Wang

Frontiers in endocrinology 6:191 PubMed26834700

2016

GIT2 Acts as a Systems-Level Coordinator of Neurometabolic Activity and Pathophysiological Aging.

Applications

Unspecified application

Species

Unspecified reactive species

Bronwen Martin,Wayne Chadwick,Jonathan Janssens,Richard T Premont,Robert Schmalzigaug,Kevin G Becker,Elin Lehrmann,William H Wood,Yongqing Zhang,Sana Siddiqui,Sung-Soo Park,Wei-Na Cong,Caitlin M Daimon,Stuart Maudsley

BMC complementary and alternative medicine 15:241 PubMed26187498

2015

Electroacupuncture at different frequencies (5Hz and 25Hz) ameliorates cerebral ischemia-reperfusion injury in rats: possible involvement of p38 MAPK-mediated anti-apoptotic signaling pathways.

Applications

WB

Species

Rat

Chin-Yi Cheng,Jaung-Geng Lin,Nou-Ying Tang,Shung-Te Kao,Ching-Liang Hsieh

Brain : a journal of neurology 137:2329-45 PubMed24934289

2014

A mitochondrial origin for frontotemporal dementia and amyotrophic lateral sclerosis through CHCHD10 involvement.

Applications

Unspecified application

Species

Unspecified reactive species

Sylvie Bannwarth,Samira Ait-El-Mkadem,Annabelle Chaussenot,Emmanuelle C Genin,Sandra Lacas-Gervais,Konstantina Fragaki,Laetitia Berg-Alonso,Yusuke Kageyama,Valérie Serre,David G Moore,Annie Verschueren,Cécile Rouzier,Isabelle Le Ber,Gaëlle Augé,Charlotte Cochaud,Françoise Lespinasse,Karine N'Guyen,Anne de Septenville,Alexis Brice,Patrick Yu-Wai-Man,Hiromi Sesaki,Jean Pouget,Véronique Paquis-Flucklinger
View all publications

Product promise

We are committed to supporting your work with high-quality reagents, and we're here for you every step of the way. In the unlikely event that one of our products does not perform as expected, you're protected by our Product Promise.
For full details, please see our Terms & Conditions

Please note: All products are 'FOR RESEARCH USE ONLY. NOT FOR USE IN DIAGNOSTIC OR THERAPEUTIC PROCEDURES'.

For licensing inquiries, please contact partnerships@abcam.com