JavaScript is disabled in your browser. Please enable JavaScript to view this website.
AB249794

Anti-Smac/Diablo antibody [EPR10934] - BSA and Azide free

Be the first to review this product! Submit a review

|

(1 Publication)

Rabbit Recombinant Monoclonal Smac/Diablo antibody. Carrier free. Suitable for IHC-P, WB and reacts with Human samples. Cited in 1 publication.

View Alternative Names

SMAC, DIABLO, Diablo IAP-binding mitochondrial protein, Direct IAP-binding protein with low pI, Second mitochondria-derived activator of caspases

3 Images
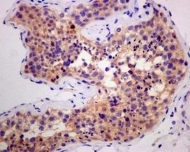
Immunohistochemistry (Formalin/PFA-fixed paraffin-embedded sections) - Anti-Smac/Diablo antibody [EPR10934] - BSA and Azide free (AB249794)
  • IHC-P

Supplier Data

Immunohistochemistry (Formalin/PFA-fixed paraffin-embedded sections) - Anti-Smac/Diablo antibody [EPR10934] - BSA and Azide free (AB249794)

This data was developed using ab174284, the same antibody clone in a different buffer formulation.

Immunohistochemical analysis of paraffinn embedded Human testis tissue labeling Smac / Diablo with ab174284 at 1/50.

Perform heat mediated antigen retrieval before commencing with IHC staining protocol.

Western blot - Anti-Smac/Diablo antibody [EPR10934] - BSA and Azide free (AB249794)
  • WB

Supplier Data

Western blot - Anti-Smac/Diablo antibody [EPR10934] - BSA and Azide free (AB249794)

This data was developed using ab174284, the same antibody clone in a different buffer formulation.

All lanes:

Western blot - Anti-Smac/Diablo antibody [EPR10934] (<a href='/en-us/products/primary-antibodies/smac-diablo-antibody-epr10934-ab174284'>ab174284</a>) at 1/1000 dilution

Lane 1:

HeLa cell line lysate at 10 µg

Lane 2:

MCF7 cell line lysate at 10 µg

Lane 3:

Jurkat cell line lysate at 10 µg

Lane 4:

293T cell line lysate at 10 µg

Lane 5:

Human testis tissue lysate at 10 µg

Secondary

All lanes:

Goat anti-rabbit HRP conjugated antibody at 1/500 dilution

Predicted band size: 27 kDa

true

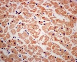
Immunohistochemistry (Formalin/PFA-fixed paraffin-embedded sections) - Anti-Smac/Diablo antibody [EPR10934] - BSA and Azide free (AB249794)
  • IHC-P

Supplier Data

Immunohistochemistry (Formalin/PFA-fixed paraffin-embedded sections) - Anti-Smac/Diablo antibody [EPR10934] - BSA and Azide free (AB249794)

This data was developed using ab174284, the same antibody clone in a different buffer formulation.

Immunohistochemical analysis of paraffinn embedded Human heart tissue labeling Smac / Diablo with ab174284 at 1/50.

Perform heat mediated antigen retrieval before commencing with IHC staining protocol.

Key facts

Host species

Rabbit

Clonality

Monoclonal

Clone number

EPR10934

Isotype

IgG

Carrier free

Yes

Reacts with

Human

Applications

WB, IHC-P

applications

Immunogen

The exact immunogen used to generate this antibody is proprietary information.

Reactivity data

{ "title": "Reactivity Data", "filters": { "stats": ["", "Species", "Dilution Info", "Notes"], "tabs": { "all-applications": {"fullname" : "All Applications", "shortname": "All Applications"}, "IHCP" : {"fullname" : "Immunohistochemistry (Formalin/PFA-fixed paraffin-embedded sections)", "shortname":"IHC-P"}, "IP" : {"fullname" : "Immunoprecipitation", "shortname":"IP"}, "FlowCyt" : {"fullname" : "Flow Cytometry", "shortname":"Flow Cyt"}, "WB" : {"fullname" : "Western blot", "shortname":"WB"}, "ICCIF" : {"fullname" : "Immunocytochemistry/ Immunofluorescence", "shortname":"ICC/IF"} }, "product-promise": { "all": "all", "testedAndGuaranteed": "tested", "guaranteed": "expected", "predicted": "predicted", "notRecommended": "not-recommended" } }, "values": { "Human": { "IHCP-species-checked": "testedAndGuaranteed", "IHCP-species-dilution-info": "", "IHCP-species-notes": "<p></p>", "IP-species-checked": "notRecommended", "IP-species-dilution-info": "", "IP-species-notes": "<p></p>", "FlowCyt-species-checked": "notRecommended", "FlowCyt-species-dilution-info": "", "FlowCyt-species-notes": "<p></p>", "WB-species-checked": "testedAndGuaranteed", "WB-species-dilution-info": "", "WB-species-notes": "<p></p>", "ICCIF-species-checked": "notRecommended", "ICCIF-species-dilution-info": "", "ICCIF-species-notes": "<p></p>" }, "Mouse": { "IHCP-species-checked": "predicted", "IHCP-species-dilution-info": "", "IHCP-species-notes": "", "IP-species-checked": "notRecommended", "IP-species-dilution-info": "", "IP-species-notes": "", "FlowCyt-species-checked": "notRecommended", "FlowCyt-species-dilution-info": "", "FlowCyt-species-notes": "", "WB-species-checked": "predicted", "WB-species-dilution-info": "", "WB-species-notes": "", "ICCIF-species-checked": "notRecommended", "ICCIF-species-dilution-info": "", "ICCIF-species-notes": "" }, "Rat": { "IHCP-species-checked": "predicted", "IHCP-species-dilution-info": "", "IHCP-species-notes": "", "IP-species-checked": "notRecommended", "IP-species-dilution-info": "", "IP-species-notes": "", "FlowCyt-species-checked": "notRecommended", "FlowCyt-species-dilution-info": "", "FlowCyt-species-notes": "", "WB-species-checked": "predicted", "WB-species-dilution-info": "", "WB-species-notes": "", "ICCIF-species-checked": "notRecommended", "ICCIF-species-dilution-info": "", "ICCIF-species-notes": "" } } }

Product details

ab249794 is the carrier-free version of ab174284.

Patented technology
Our RabMAb® technology is a patented hybridoma-based technology for making rabbit monoclonal antibodies. For details on our patents, please refer to RabMAb® patents.

What are the advantages of a recombinant monoclonal antibody?
This product is a recombinant monoclonal antibody, which offers several advantages including:

  • - High batch-to-batch consistency and reproducibility
  • - Improved sensitivity and specificity
  • - Long-term security of supply
  • - Animal-free batch production

For more information, read more on recombinant antibodies.

Conjugation ready
Our carrier-free antibodies are typically supplied in a PBS-only formulation, purified and free of BSA, sodium azide and glycerol. This conjugation-ready format is designed for use with fluorochromes, metal isotopes, oligonucleotides, and enzymes, which makes them ideal for antibody labelling, functional and cell-based assays, flow-based assays (e.g. mass cytometry) and Multiplex Imaging applications.

Use our conjugation kits for antibody conjugates that are ready-to-use in as little as 20 minutes with 1 minute hands-on-time and 100% antibody recovery: available for fluorescent dyes, HRP, biotin and gold.

Compatibility
This product is compatible with the Maxpar® Antibody Labeling Kit from Fluidigm, without the need for antibody preparation. Maxpar® is a trademark of Fluidigm Canada Inc.

Properties and storage information

Form
Liquid
Purification technique
Affinity purification
Storage buffer
pH: 7.2 - 7.4 Constituents: PBS
Shipped at conditions
Blue Ice
Appropriate short-term storage conditions
+4°C
Appropriate long-term storage conditions
+4°C
Storage information
Do Not Freeze

Supplementary information

This supplementary information is collated from multiple sources and compiled automatically.

Smac/Diablo is a mitochondrial protein that promotes apoptosis by interfering with inhibitor of apoptosis proteins (IAPs). The protein also known as Second Mitochondria-derived Activator of Caspases weighs approximately 27 kDa. Researchers detect Smac/Diablo in various tissues with higher expression levels in organs like the heart and brain. This protein's expression also varies depending on the cell's state and external stimuli.
Biological function summary

Smac/Diablo plays a significant role in programmed cell death by binding to IAPs and negating their inhibition of caspases the key executors of apoptosis. Smac/Diablo releases from mitochondria into the cytosol when apoptotic signals activate. It does not form complexes but interacts with IAPs facilitating the activation of caspases and enhancing the apoptotic response. Its interaction with IAPs highlights its important function in apoptosis regulation.

Pathways

Smac/Diablo integrates into the mitochondrial apoptosis pathway contributing to the intrinsic pathway of apoptosis. It closely interacts with proteins such as caspases and IAPs. This integration is important for apoptosis regulation linking mitochondrial outer membrane permeabilization with the activation of caspases. Additionally the protein engages in the cytochrome c pathway promoting apoptosis by restricting IAPs and aiding in the release of cytochrome c important for apoptosis progression.

Researchers associate Smac/Diablo with cancer and neurodegenerative diseases like Alzheimer's disease. In cancer elevated Smac/Diablo levels can result in increased apoptotic death of cancerous cells potentially serving as a target for therapy. It also interacts with proteins like XIAP in these disease contexts. In neurodegenerative disorders dysregulation of apoptosis pathways involving Smac/Diablo might contribute to excessive neuronal cell death. Understanding Smac/Diablo's role in these diseases provides insights into possible therapeutic interventions.

Product protocols

For this product, it's our understanding that no specific protocols are required. You can visit:

Target data

Promotes apoptosis by activating caspases in the cytochrome c/Apaf-1/caspase-9 pathway. Acts by opposing the inhibitory activity of inhibitor of apoptosis proteins (IAP). Inhibits the activity of BIRC6/BRUCE by inhibiting its binding to caspases (PubMed : 15200957, PubMed : 36758104, PubMed : 36758105, PubMed : 36758106).. Isoform 3. Attenuates the stability and apoptosis-inhibiting activity of XIAP/BIRC4 by promoting XIAP/BIRC4 ubiquitination and degradation through the ubiquitin-proteasome pathway. Also disrupts XIAP/BIRC4 interacting with processed caspase-9 and promotes caspase-3 activation.. Isoform 1. Defective in the capacity to down-regulate the XIAP/BIRC4 abundance.
See full target information DIABLO

Publications (1)

Recent publications for all applications. Explore the full list and refine your search

Frontiers in cell and developmental biology 9:775642 PubMed35004677

2021

HIF-1α Induces HECTD2 Up-Regulation and Aggravates the Malignant Progression of Renal Cell Cancer Repressing miR-320a.

Applications

Unspecified application

Species

Unspecified reactive species

Dong Lv,Taimin Shen,Juncheng Yao,Qi Yang,Ying Xiang,Zhiwei Ma
View all publications

Product promise

We are committed to supporting your work with high-quality reagents, and we're here for you every step of the way. In the unlikely event that one of our products does not perform as expected, you're protected by our Product Promise.
For full details, please see our Terms & Conditions

Please note: All products are 'FOR RESEARCH USE ONLY. NOT FOR USE IN DIAGNOSTIC OR THERAPEUTIC PROCEDURES'.

For licensing inquiries, please contact partnerships@abcam.com