JavaScript is disabled in your browser. Please enable JavaScript to view this website.
AB63356

Anti-Smad1 antibody

5

(5 Reviews)

|

(12 Publications)

Rabbit Polyclonal SMAD1 antibody. Suitable for IHC-P, WB, ICC/IF and reacts with Human samples. Cited in 12 publications. Immunogen corresponding to Synthetic Peptide within Human SMAD1.

View Alternative Names

BSP1, MADH1, MADR1, SMAD1, Mothers against decapentaplegic homolog 1, MAD homolog 1, Mothers against DPP homolog 1, JV4-1, Mad-related protein 1, SMAD family member 1, Transforming growth factor-beta-signaling protein 1, SMAD 1, Smad1, hSMAD1, BSP-1

3 Images
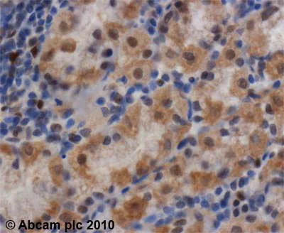
Immunohistochemistry (Formalin/PFA-fixed paraffin-embedded sections) - Anti-Smad1 antibody (AB63356)
  • IHC-P

Unknown

Immunohistochemistry (Formalin/PFA-fixed paraffin-embedded sections) - Anti-Smad1 antibody (AB63356)

ab63356 (1μg/ml) staining SMAD1 in human stomach using an automated system (DAKO Autostainer Plus). Using this protocol there is strong cytoplasmic and nuclear staining.
Sections were rehydrated and antigen retrieved with the Dako 3 in 1 AR buffer EDTA pH 9.0 in a DAKO PT link. Slides were peroxidase blocked in 3% H2O2 in methanol for 10 mins. They were then blocked with Dako Protein block for 10 minutes (containing casein 0.25% in PBS) then incubated with primary antibody for 20 min and detected with Dako envision flex amplification kit for 30 minutes. Colorimetric detection was completed with Diaminobenzidine for 5 minutes. Slides were counterstained with Haematoxylin and coverslipped under DePeX. Please note that, for manual staining, optimization of primary antibody concentration and incubation time is recommended. Signal amplification may be required.

Immunocytochemistry/ Immunofluorescence - Anti-Smad1 antibody (AB63356)
  • ICC/IF

Unknown

Immunocytochemistry/ Immunofluorescence - Anti-Smad1 antibody (AB63356)

Immunofluorescence analysis of Smad1 expression in HeLa cells, using 1/500 ab63356

Western blot - Anti-Smad1 antibody (AB63356)
  • WB

Unknown

Western blot - Anti-Smad1 antibody (AB63356)

The amount of positive control loading for the WB is 5-30 ug of total protein. The amount of the peptide for the WB is 5-10 ug.

All lanes:

Western blot - Anti-Smad1 antibody (ab63356) at 1/500 dilution

Lane 1:

extracts from 293 cell line

Lane 2:

extracts from 293 cell line, with immunizing peptide

Predicted band size: 52 kDa

Observed band size: 60 kDa

false

Key facts

Host species

Rabbit

Clonality

Polyclonal

Isotype

IgG

Carrier free

No

Reacts with

Human

Applications

WB, ICC/IF, IHC-P

applications

Immunogen

Synthetic Peptide within Human SMAD1. The exact immunogen used to generate this antibody is proprietary information.

Q15797

Reactivity data

{ "title": "Reactivity Data", "filters": { "stats": ["", "Species", "Dilution Info", "Notes"], "tabs": { "all-applications": {"fullname" : "All Applications", "shortname": "All Applications"}, "IHCP" : {"fullname" : "Immunohistochemistry (Formalin/PFA-fixed paraffin-embedded sections)", "shortname":"IHC-P"}, "WB" : {"fullname" : "Western blot", "shortname":"WB"}, "ICCIF" : {"fullname" : "Immunocytochemistry/ Immunofluorescence", "shortname":"ICC/IF"} }, "product-promise": { "all": "all", "testedAndGuaranteed": "tested", "guaranteed": "expected", "predicted": "predicted", "notRecommended": "not-recommended" } }, "values": { "Human": { "IHCP-species-checked": "testedAndGuaranteed", "IHCP-species-dilution-info": "1 µg/mL", "IHCP-species-notes": "<p></p> Perform heat-mediated antigen retrieval before commencing with IHC staining protocol.", "WB-species-checked": "testedAndGuaranteed", "WB-species-dilution-info": "1/500 - 1/1000", "WB-species-notes": "<p></p>", "ICCIF-species-checked": "testedAndGuaranteed", "ICCIF-species-dilution-info": "1/500 - 1/1000", "ICCIF-species-notes": "<p></p>" } } }

Properties and storage information

Form
Liquid
Purification technique
Affinity purification Immunogen
Storage buffer
pH: 7.4 Preservative: 0.02% Sodium azide Constituents: PBS, 50% Glycerol (glycerin, glycerine), 0.87% Sodium chloride
Shipped at conditions
Blue Ice
Appropriate short-term storage conditions
+4°C
Appropriate long-term storage conditions
-20°C
Storage information
Stable for 12 months at -20°C

Supplementary information

This supplementary information is collated from multiple sources and compiled automatically.

Smad1 also known as Mothers against decapentaplegic homolog 1 (MADH1) is a protein encoded by the SMAD1 gene in humans. It has a molecular mass of approximately 53 kDa and functions as a receptor-regulated Smad protein. Smad1 primarily transmits signals from the bone morphogenetic proteins (BMPs) a group of growth factors and cytokines. Expression of Smad1 occurs in various tissues including the lung heart and kidney. It plays an important role in mediating signaling pathways within different cellular environments.
Biological function summary

Smad1 participates in the transmission of BMP signals from the cell surface to the nucleus ensuring transcriptional regulation of target genes. In the presence of BMPs Smad1 forms complexes with Smad4 upon activation. These Smad complexes then translocate to the nucleus where they regulate gene expression. Smad1 influences cellular responses such as proliferation differentiation and apoptosis. In particular it plays a significant role in bone development and osteogenesis.

Pathways

Smad1 plays an important role within the BMP signaling pathway which is important for early development and tissue homeostasis. Within this pathway BMPs trigger the phosphorylation of Smad1 which then associates with Smad4 to propagate downstream signaling. Another associated pathway includes the TGF-beta signaling pathway where Smads like Smad2 and Smad3 show functional similarities and differences with Smad1. The interactions of Smad1 with related proteins like Smad4 highlight its significant contribution to cellular processes regulated by these pathways.

Smad1 associates with various pathological conditions. For instance aberrant Smad1 signaling has implications in cancer particularly in processes like tumor progression and metastasis. Disruptions in the BMP pathway involving Smad1 and Smad4 can influence the onset and development of disorders such as pulmonary hypertension where inappropriate cell growth and remodeling occur. Understanding Smad1's role in these contexts provides insights into potential therapeutic avenues for treatment and management of these conditions.

Product protocols

For this product, it's our understanding that no specific protocols are required. You can visit:

Target data

Transcriptional modulator that plays a role in various cellular processes, including embryonic development, cell differentiation, and tissue homeostasis (PubMed : 9335504). Upon BMP ligand binding to their receptors at the cell surface, is phosphorylated by activated type I BMP receptors (BMPRIs) and associates with SMAD4 to form a heteromeric complex which translocates into the nucleus acting as transcription factor (PubMed : 33667543). In turn, the hetero-trimeric complex recognizes cis-regulatory elements containing Smad Binding Elements (SBEs) to modulate the outcome of the signaling network (PubMed : 33667543). SMAD1/OAZ1/PSMB4 complex mediates the degradation of the CREBBP/EP300 repressor SNIP1. Positively regulates BMP4-induced expression of odontogenic development regulator MSX1 following IPO7-mediated nuclear import (By similarity).
See full target information SMAD1

Publications (12)

Recent publications for all applications. Explore the full list and refine your search

Nature communications 15:3225 PubMed38622181

2024

Nerve growth factor receptor limits inflammation to promote remodeling and repair of osteoarthritic joints.

Applications

Unspecified application

Species

Unspecified reactive species

Lan Zhao,Yumei Lai,Hongli Jiao,Jian Huang

Biology direct 18:53 PubMed37658413

2023

METTL3-induced lncRNA GBAP1 promotes hepatocellular carcinoma progression by activating BMP/SMAD pathway.

Applications

Unspecified application

Species

Unspecified reactive species

Runkun Liu,Guozhi Yin,Hang Tuo,Yixian Guo,Yifeng Zhu,Lei Zhang,Wei Yang,Qingguang Liu,Yufeng Wang

Inflammation 44:1815-1830 PubMed33881681

2021

Adipose-Derived Mesenchymal Stem Cells-Derived Exosomes Carry MicroRNA-671 to Alleviate Myocardial Infarction Through Inactivating the TGFBR2/Smad2 Axis.

Applications

Unspecified application

Species

Unspecified reactive species

Xue Wang,Yuhai Zhu,Chengcheng Wu,Wennan Liu,Yujie He,Qing Yang

Journal of cellular and molecular medicine 24:10768-10784 PubMed32750747

2020

BMP2 signalling activation enhances bone metastases of non-small cell lung cancer.

Applications

Unspecified application

Species

Unspecified reactive species

Fei Huang,Yaqiang Cao,Gui Wu,Junying Chen, CaihongWang,Wanzun Lin,Ruilong Lan,Bing Wu,Xianhe Xie,Jinsheng Hong,Lengxi Fu

Cancers 12: PubMed32731498

2020

TrkB Inhibits the BMP Signaling-Mediated Growth Inhibition of Cancer Cells.

Applications

Unspecified application

Species

Unspecified reactive species

Min Soo Kim,Wook Jin

Experimental and therapeutic medicine 18:225-229 PubMed31258657

2019

Expression of BMP-4 and Smad1 in patients with Hirschsprung disease and its clinical significance.

Applications

Unspecified application

Species

Unspecified reactive species

Jianjun Zhang,Fengli Liu

Molecular therapy. Nucleic acids 14:536-549 PubMed30769134

2019

MicroRNA-672-5p Identified during Weaning Reverses Osteopenia and Sarcopenia in Ovariectomized Mice.

Applications

Unspecified application

Species

Unspecified reactive species

Naseer Ahmad,Priyanka Kushwaha,Anirudha Karvande,Ashish Kumar Tripathi,Priyanka Kothari,Sulekha Adhikary,Vikram Khedgikar,Vijay Kumar Mishra,Ritu Trivedi

Journal of agricultural and food chemistry 67:5437-5445 PubMed30424599

2018

Green Tea Catechins Effectively Altered Hepatic Fibrogenesis in Rats by Inhibiting ERK and Smad1/2 Phosphorylation.

Applications

Unspecified application

Species

Unspecified reactive species

Liwen Wang,Guliang Yang,Li Yuan,Yiwen Yang,Hui Zhao,Chi-Tang Ho,Shiming Li

Molecular therapy : the journal of the American So 26:2751-2765 PubMed30301667

2018

miR-30 Family Reduction Maintains Self-Renewal and Promotes Tumorigenesis in NSCLC-Initiating Cells by Targeting Oncogene TM4SF1.

Applications

Unspecified application

Species

Unspecified reactive species

Yu-Shui Ma,Fei Yu,Xiao-Ming Zhong,Gai-Xia Lu,Xian-Ling Cong,Shao-Bo Xue,Wen-Ting Xie,Li-Kun Hou,Li-Juan Pang,Wei Wu,Wei Zhang,Le-Le Cong,Tie Liu,Hui-Deng Long,Ran Sun,Hong-Yan Sun,Zhong-Wei Lv,Chun-Yan Wu,Da Fu

The Journal of biological chemistry 291:24594-24606 PubMed27758858

2016

Enhancer of Zeste Homolog 2 Inhibition Stimulates Bone Formation and Mitigates Bone Loss Caused by Ovariectomy in Skeletally Mature Mice.

Applications

Unspecified application

Species

Unspecified reactive species

Amel Dudakovic,Emily T Camilleri,Scott M Riester,Christopher R Paradise,Martina Gluscevic,Thomas M O'Toole,Roman Thaler,Jared M Evans,Huihuang Yan,Malayannan Subramaniam,John R Hawse,Gary S Stein,Martin A Montecino,Meghan E McGee-Lawrence,Jennifer J Westendorf,Andre J van Wijnen
View all publications

Product promise

We are committed to supporting your work with high-quality reagents, and we're here for you every step of the way. In the unlikely event that one of our products does not perform as expected, you're protected by our Product Promise.
For full details, please see our Terms & Conditions

Please note: All products are 'FOR RESEARCH USE ONLY. NOT FOR USE IN DIAGNOSTIC OR THERAPEUTIC PROCEDURES'.

For licensing inquiries, please contact partnerships@abcam.com